• Thực phẩm chức năng

  • Dược mỹ phẩm

  • Thuốc

  • Chăm sóc cá nhân

  • Thiết bị y tế

  • Tiêm chủng

  • Bệnh & Góc sức khỏe

  • Hệ thống nhà thuốc

    1. /
    2. Bệnh lý/
    3. Tim mạch/
    4. U trong tim

    U trong tim: Xuất hiện ở bất kỳ mô tim nào

    01/04/2026

    Bác sĩNguyễn Thị Thu Thảo

    Đã kiểm duyệt nội dung

    Tốt nghiệp Đại học Y Dược Thái Nguyên, bác sĩ đã có nhiều năm kinh nghiệm khám chữa bệnh Chuyên khoa Nội và Nhi. Với kiến thức chuyên môn vững chắc, bác sĩ luôn tận tâm chăm sóc sức khỏe cho bệnh nhân. Đặc biệt, bác sĩ đã hoàn thành khóa học về An toàn và Quản lý Chất lượng tại Đại học Y Hà Nội, đảm bảo việc khám chữa bệnh diễn ra an toàn, hiệu quả.

    Xem thêm thông tin

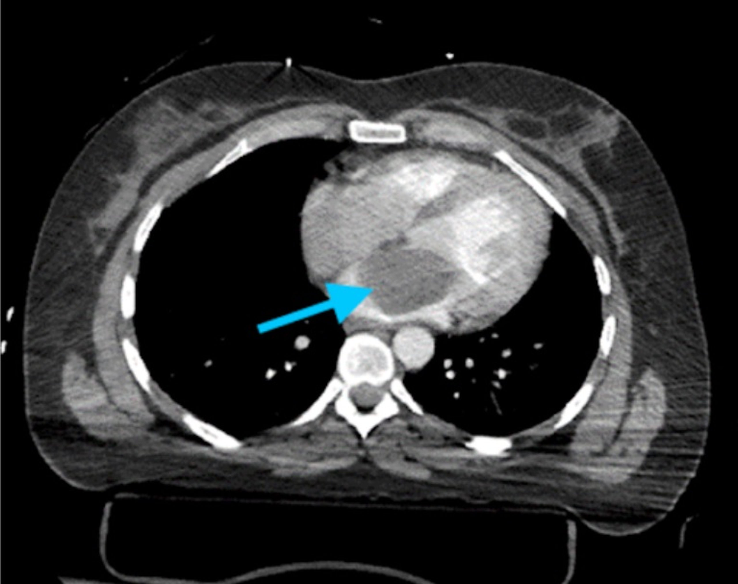
    Các khối u ở tim có thể xuất hiện ở bất kỳ mô tim nào. Khối u tim có thể là nguyên phát hoặc di căn. Điều trị các khối u lành tính bằng phẫu thuật cắt bỏ, tuy nhiên khối u có thể tái phát. Điều trị ung thư di căn phụ thuộc vào loại và nguồn gốc khối u, tiên lượng bệnh thường rất xấu.

    Nội dung chính

    Tìm hiểu chung u trong tim

    U trong tim là gì?

    U trong tim là các khối u mọc bất cứ nơi nào của tim, như cơ tim, lớp nội tâm mạc (lớp màng bao bọc bên trong tim) hoặc lớp ngoại tâm mạc (lớp màng bao bọc bên ngoài tim).

    U trong tim là bệnh hiếm gặp, chỉ chiếm tỷ lệ dưới 0,1%.

    Cũng như các cơ quan khác trong cơ thể, u trong tim có thể là u lành tính hoặc ác tính. U ác tính nguyên phát ở tim rất hiếm, đa số là lành tính (chiếm tỷ lệ trên 75%) và thường gặp nhất là u nhầy nhĩ trái.

    Các khối u tim nguyên phát lành tính bao gồm:

    U nhầy:

    Loại u phổ biến nhất, chiếm 50% trong các khối u nguyên phát ở tim. Tỷ lệ mắc bệnh ở phụ nữ cao gấp 2 - 4 lần nam giới. Khoảng 75% trường hợp u nhầy xuất hiện ở tâm nhĩ trái.

    Đường kính của u nhầy đôi khi lên đến 15 cm. Khoảng 75% u nhầy có cuống và có thể sa xuống van hai lá và cản trở đổ đầy tâm thất trong thời kỳ tâm trương. 25% còn lại là u không cuống và chân rộng. U nhầy dính và nhầy; nhẵn, mủn và không đều hoặc chắc và có thùy. Các khối u mủn, không đều có nguy cơ gây thuyên tắc hệ thống.

    U nguyên bào sợi nhú:

    Là u nhú vô mạch thường xuất hiện trên van tim bên trái, chủ yếu ở van động mạch chủ và van hai lá (> 80% trường hợp). Nam và nữ đều có nguy cơ mắc như nhau. U có các lá nhú phân nhánh từ trung tâm, giống như loài hải quỳ. Khoảng 45% u có cuống. Loại u này không gây rối loạn chức năng van tim nhưng làm tăng nguy cơ thuyên tắc.

    U cơ vân tim:

    Ảnh hưởng chủ yếu đến trẻ sơ sinh và trẻ em, 80% kèm bệnh xơ cứng củ. Các u cơ vân có nhiều khối và nằm trong thành tự do hoặc vách tâm thất trái, ảnh hưởng đến hệ thống dẫn truyền tim. U có dạng tiểu thùy rắn chắc, màu trắng, thường thoái triển theo tuổi tác. Một số ít bệnh nhân tiến triển loạn nhịp nhanh và suy tim do tắc nghẽn đường ra thất trái.

    U xơ:

    Chủ yếu xảy ra ở trẻ em, có liên quan đến u thận và u tuyến bã da. Chúng xuất hiện chủ yếu ở bên trái tim, thường nằm trong cơ tim tâm thất và có thể phát triển khi cơ tim bị viêm. U xâm nhập hoặc chèn ép hệ thống dẫn truyền của tim, gây rối loạn nhịp tim và đột tử.

    U máu:

    Thường được phát hiện tình cờ khi bệnh nhân thăm khám vì các bệnh lý khác vì u này chỉ gây triệu chứng ở một số ít bệnh nhân.

    U màng tim:

    Ảnh hưởng chủ yếu đến trẻ sơ sinh và trẻ em. U này thường dính vào các mạch máu lớn và khoảng 90% nằm ở trung thất trước, 10% còn lại ở trung thất sau.

    U mỡ:

    Có thể gặp ở nhiều lứa tuổi. U mỡ có nguồn gốc từ ngoại tâm mạc hoặc nội tâm mạc và có cuống lớn. Nhiều loại không có triệu chứng, nhưng một số cản trở dòng chảy hoặc loạn nhịp tim.

    U cận hạch:

    Bao gồm u tuỷ thượng thận, hiếm khi xảy ra ở tim. U khu trú ở đáy tim gần các đầu dây thần kinh phế vị. Triệu chứng của u xuất hiện do tăng tiết catecholamine (tăng nhịp tim, tăng huyết áp, đổ mồ hôi nhiều, run). U cận hạch có thể lành tính hoặc ác tính.

    Nang màng ngoài tim:

    Có thể giống khối u ở tim hoặc tràn dịch màng ngoài tim trên phim chụp X-quang lồng ngực. Nang thường không có triệu chứng, một số lại gây triệu chứng chèn ép như đau ngực, khó thở, ho.

    Triệu chứng u trong tim

    Những dấu hiệu và triệu chứng của u trong tim

    Các khối u tim có triệu chứng và dấu hiệu điển hình của các bệnh lý tim phổ biến như suy tim, đột quỵ, bệnh mạch vành. Các triệu chứng và dấu hiệu của u tim nguyên phát lành tính phụ thuộc vào loại khối u, kích thước, vị trí và độ rắn chắc.

    Triệu chứng ngoài tim

    Có thể là do cơ địa hoặc cơ học. Các triệu chứng cơ bản như sốt, ớn lạnh, đau khớp, mệt mỏi và sụt cân gặp ở u nhầy do giải phóng cytokine (interleukin-6). Các đốm xuất huyết cũng có thể xuất hiện, gây nhầm lẫn với viêm nội tâm mạc do vi khuẩn, rối loạn mô liên kết hoặc ung thư tiềm ẩn.

    Với một số khối u (đặc biệt là u nguyên bào keo), huyết khối hoặc các mảnh khối u có thể đi vào hệ thống tuần hoàn và gây tắc mạch não, động mạch vành, thận, lá lách, tứ chi hoặc phổi... và gây ra các biểu hiện đặc trưng cho các cơ quan đó.

    Các triệu chứng cơ học (khó thở, tức ngực) do chèn ép các buồng tim hoặc động mạch vành, do kích thích màng ngoài tim, chèn ép do tăng sinh hoặc xuất huyết trong màng ngoài tim. Khối u ở màng ngoài tim có thể gây ra tiếng cọ màng ngoài tim.

    Triệu chứng cơ tim

    Gây ra do rối loạn nhịp tim, thường là nhịp nhanh kịch phát trên thất, block nhĩ thất hoặc khối trong thất, nhịp nhanh thất do chèn ép hoặc xâm lấn vào hệ thống dẫn truyền (đặc biệt là u cơ vân và u xơ).

    Triệu chứng buồng tim

    Do các khối u cản trở chức năng van tim, dòng chảy của máu hoặc cả hai (gây hẹp van tim, suy van hoặc suy tim). Các triệu chứng và dấu hiệu có thể thay đổi theo tư thế bệnh nhân, do thay đổi huyết động và lực tác động vật lý liên quan đến khối u.

    Các triệu chứng theo loại u

    U nhầy biểu hiện bằng suy tim, thuyên tắc mạch và các triệu chứng toàn thân của suy tim. U nhầy có thể gây ra tiếng thổi tâm trương giống tiếng thổi của bệnh hẹp van hai lá nhưng âm lượng và vị trí của chúng thay đổi theo nhịp tim và tư thế. U nhầy cũng có thể gây loạn nhịp tim. Hội chứng Raynaud và ngón tay dùi trống ít điển hình hơn nhưng có thể xảy ra.

    U nguyên bào sợi thường không có triệu chứng và chỉ phát hiện khi khám nghiệm tử thi; tuy nhiên, cũng có thể là gây triệu chứng tắc mạch.

    U cơ vân tim thường không có triệu chứng.

    U xơ gây ra loạn nhịp tim, có thể gây triệu chứng tắc nghẽn và đột tử.

    U máu thường không có triệu chứng nhưng có thể gây biểu hiện trong buồng tim, cơ tim hoặc biểu hiện ngoài tim.

    U quái gây suy hô hấp và tím tái do chèn ép động mạch chủ và động mạch phổi, hoặc hội chứng SVC do chèn ép tĩnh mạch chủ trên.

    Các triệu chứng và dấu hiệu của khối u tim ác tính khởi phát và tiến triển nhanh hơn so với khối u lành tính. Sarcoma tim thường gây triệu chứng tắc nghẽn đường vào tâm thất và chèn ép màng ngoài tim. U trung biểu mô gây triệu chứng của viêm màng ngoài tim hoặc chèn ép.

    Ung thư hạch nguyên phát gây suy tim tiến triển khó chữa, chèn ép, loạn nhịp tim và hội chứng SVC. Các khối u di căn ở tim có thể biểu hiện như to tim đột ngột, chèn ép (do tràn dịch màng ngoài tim xuất huyết tích tụ nhanh), block tim, rối loạn nhịp tim khác, suy tim đột ngột không rõ nguyên nhân. Sốt, khó chịu, sụt cân, đổ mồ hôi ban đêm và chán ăn cũng có thể xuất hiện.

    Khi nào cần gặp bác sĩ?

    Nếu có bất kỳ triệu chứng nào nêu trên xảy ra, bạn nên liên hệ ngay với bác sĩ để được kiểm tra và tư vấn. Chẩn đoán và điều trị sớm sẽ giảm nguy cơ tăng nặng của bệnh và giúp bạn mau chóng hồi phục sức khỏe.

    Nguyên nhân u trong tim

    Nguyên nhân dẫn đến u trong tim

    Nguyên nhân gây u tim lành tính và ác tính nguyên phát tại tim khá phức tạp và chưa được nghiên cứu nhiều vì tỉ lệ bệnh nhân mắc bệnh lý này khá thấp.

    Chia sẻ:
    Nguồn tham khảo

    Câu hỏi thường gặp về bệnh u trong tim

    U trong tim có nguy hiểm không?

    U trong tim là tình trạng hiếm gặp nhưng có thể nguy hiểm, tùy thuộc vào vị trí, kích thước và loại u. Một số loại u lành tính như myxoma (u nhầy) có thể gây ra các triệu chứng nghiêm trọng như tắc nghẽn dòng máu, gây khó thở, đau ngực, hoặc thậm chí đột quỵ nếu mảnh u vỡ ra và di chuyển.

    Nguyên nhân gây u trong tim là do đâu?

    Làm thế nào thể phát hiện sớm u trong tim?

    U trong tim có phải phẫu thuật không?

    Bị u trong tim có cần kiêng gì không?

    Hỏi đáp (0 bình luận)

    Infographic về u trong tim

    Dấu hiệu nhận biết phình động mạch chủ ngực

    Từ da đến thận: Bệnh viêm đa vi mạch khiến toàn thân rối loạn

    U trong tim có mấy loại? Phân biệt u lành tính, ác tính và u di căn

    Hỏi đáp (0 bình luận)