Tốt nghiệp tại Đại học Y Dược Cần Thơ và sở hữu chứng chỉ Chuyên khoa I - Y học gia đình tại Đại học Y Dược TP. Hồ Chí Minh. Đồng thời có hơn 7 năm kinh nghiệm chuyên môn trong lĩnh vực khám sàng lọc tiêm chủng.
:format(webp)/422_u_trung_that_9980_5b1a_large_636f616953.jpg)
:format(webp)/422_u_trung_that_9980_5b1a_large_636f616953.jpg)
Bác sĩDương Bích Tuyền
Tốt nghiệp tại Đại học Y Dược Cần Thơ và sở hữu chứng chỉ Chuyên khoa I - Y học gia đình tại Đại học Y Dược TP. Hồ Chí Minh. Đồng thời có hơn 7 năm kinh nghiệm chuyên môn trong lĩnh vực khám sàng lọc tiêm chủng.
U trung thất có thể lành tính hoặc là khối u ác tính. Hiện nay chưa có biện pháp nào để phòng ngừa bệnh u trung thất. Tuy nhiên, bạn có thể cải thiện cơ hội điều trị bằng cách khám sức khỏe tổng quát định kỳ, phát hiện sớm khối u nếu có. Nếu bạn bị khó thở, ho hoặc các triệu chứng khác kéo dài hơn hai tuần, hãy đến gặp bác sĩ để được thăm khám và điều trị sớm, tránh nguy cơ tăng nặng của bệnh.
U trung thất là khối u nằm ở trong lồng ngực, khối u có thể là lành tính hoặc ác tính, thường phát triển âm thầm và ít khi được phát hiện sớm. Ở người lớn các khối u có thể không có triệu chứng hoặc gây ra triệu chứng tắc nghẽn đường thở xảy ra nhiều ở trẻ em.
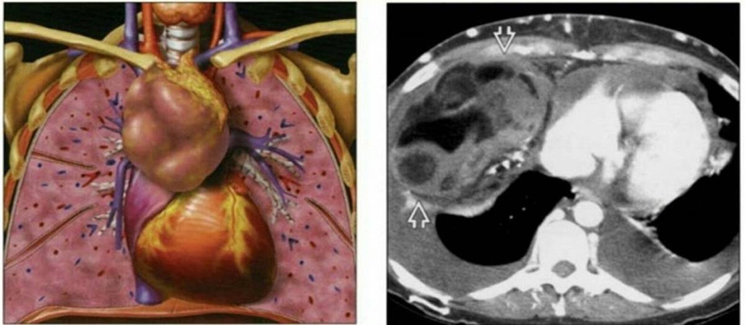
Trung thất là một vùng ở giữa ngực không bao gồm phổi, được bao quanh bởi xương ức ở phía trước, cột sống ở phía sau và phổi ở mỗi bên. Trung thất của bạn chứa tim, động mạch chủ, thực quản, tuyến ức, tuyến giáp, khí quản, hạch bạch huyết và dây thần kinh. Tuyến ức của bạn là một cơ quan thuộc hệ thống miễn dịch của bạn. Hệ thống bạch huyết của bạn, hay hệ thống bạch huyết, cũng là một phần của hệ thống miễn dịch và giúp bảo vệ cơ thể bạn.
U trung thất rất hiếm, chỉ xảy ra ở dưới 1% dân số. Hầu hết hình thành ở phần trước (phía trước) của trung thất. Các loại phổ biến nhất là u tuyến ức, u nang trung thất lành tính và u lympho.
Do vị trí của chúng, u trung thất không được điều trị có thể gây ra các vấn đề nghiêm trọng, ngay cả khi chúng không phải là ung thư. Các vấn đề này bao gồm di căn đến tim, màng ngoài tim (lớp lót xung quanh tim) và các mạch máu lớn (động mạch chủ và tĩnh mạch chủ). Các khối u ở trung thất sau (phía sau) của bạn có thể gây áp lực lên tủy sống của bạn.
Chỉ có khoảng 25% khối u trung thất là ung thư. Tuy nhiên, khả năng hoá ác tính tăng lên nếu nó ở phần trước của trung thất. Khoảng 60% khối u trung thất trước là ung thư.
:format(webp)/NGUC_UTRUNGTHAT_CAROUSEL_240530_1_V1_560c17fb33.png)
:format(webp)/NGUC_UTRUNGTHAT_CAROUSEL_240530_2_V1_eecbfda94e.png)
:format(webp)/NGUC_UTRUNGTHAT_CAROUSEL_240530_3_V1_e1b22c3d97.png)
:format(webp)/NGUC_UTRUNGTHAT_CAROUSEL_240530_4_V1_874db43103.png)
:format(webp)/NGUC_UTRUNGTHAT_CAROUSEL_240530_5_V1_4c1cb53ee9.png)
:format(webp)/NGUC_UTRUNGTHAT_CAROUSEL_240530_6_V1_e123b50f17.png)
:format(webp)/NGUC_UTRUNGTHAT_CAROUSEL_240530_7_V1_64bb6b6b75.png)
:format(webp)/NGUC_UTRUNGTHAT_CAROUSEL_240530_1_V1_560c17fb33.png)
:format(webp)/NGUC_UTRUNGTHAT_CAROUSEL_240530_2_V1_eecbfda94e.png)
:format(webp)/NGUC_UTRUNGTHAT_CAROUSEL_240530_3_V1_e1b22c3d97.png)
:format(webp)/NGUC_UTRUNGTHAT_CAROUSEL_240530_4_V1_874db43103.png)
:format(webp)/NGUC_UTRUNGTHAT_CAROUSEL_240530_5_V1_4c1cb53ee9.png)
:format(webp)/NGUC_UTRUNGTHAT_CAROUSEL_240530_6_V1_e123b50f17.png)
:format(webp)/NGUC_UTRUNGTHAT_CAROUSEL_240530_7_V1_64bb6b6b75.png)
Khối u trung thất thường tiến triển một cách âm thầm lặng lẽ, vì vậy giai đoạn đầu bệnh nhân gần như không có triệu chứng. Một số triệu chứng phổ biến khi có tổn thương ác tính hay khối u ở trẻ em như:
Dấu hiệu và triệu chứng phụ thuộc vào vị trí của khối u trung thất:
Việc điều trị khối u trung thất lành tính hay ác tính là cần thiết. Vì khối u trung thất nếu không điều trị, khi khối u phát triển chúng sẽ chèn ép các cơ quan và mô xung quanh, gây ảnh hưởng đến chức năng của các cơ quan này.
Bên cạnh đó, các khối u trung thất ác tính có thể xâm lấn, di căn sang các cơ quan khác của cơ thể, chẳng hạn như: Khối u xâm lấn vào cột sống gây chèn ép tủy sống hoặc xâm xâm lấn vào tim, các mạch máu của tim người bệnh, có nguy cơ gây tử vong.
Điều trị u trung thất bằng phương pháp phẫu thuật, hóa trị hay xạ trị, người bệnh có thể gặp một số tác dụng phụ, chẳng hạn như:
Đối với phương pháp phẫu thuật, người bệnh có thể gặp một số tác dụng phụ như: Đau, sưng tấy, nhiễm trùng…
Đối với phương pháp xạ trị, tác dụng phụ có thể gặp là: Chán ăn, khó nuốt, đau cổ họng, da bị bỏng rát, phồng rộp, viêm loét da…
Đối với phương pháp hóa trị, tác dụng phụ có thể là: Nhiễm trùng, mệt mỏi, mất cảm giác ngon miệng, rụng tóc, thiếu máu…
Hãy đến gặp bác sĩ ngay khi bạn có các dấu hiệu hoặc có nguy cơ cao của bệnh u trung thất như như: Đau ngực, ho, sốt, khó thở, sút cân... Chẩn đoán và điều trị sớm, giảm tình trạng tăng nặng của bệnh, giúp người bệnh mau chóng phục hồi sức khỏe.
Vị trí phổ biến nhất của các khối u ở trung thất phụ thuộc vào độ tuổi của người bệnh.
Nguyên nhân gây u trung thất ở trẻ em:
Ở trẻ em, các khối u phổ biến hơn ở trung thất sau. Các khối u này thường bắt đầu ở các dây thần kinh và không phải ung thư (lành tính).
Một số nguyên nhân gây u trung thất ở người lớn:
Hầu hết các khối u trung thất ở người lớn xảy ra ở trung thất trước. Chúng thường là u lympho ác tính, u tế bào mầm hoặc u tuyến ức (ung thư tuyến ức). Các khối u này phổ biến nhất ở người lớn tuổi và trung niên
Khối u trung thất có thể rất nghiêm trọng do vị trí của chúng, ngay cả khi không phải là ung thư. Nếu không được điều trị, chúng có thể gây ra các vấn đề nghiêm trọng như ảnh hưởng đến tim, màng ngoài tim, và các mạch máu lớn như động mạch chủ và tĩnh mạch chủ. Các khối u ở phần trung thất sau có thể gây áp lực lên tủy sống. Mặc dù chỉ khoảng 25% khối u trung thất là ung thư, nhưng nguy cơ ung thư cao hơn nếu khối u nằm ở phần trước của trung thất, với khoảng 60% khối u trung thất trước là ác tính.
Xem thêm thông tin: U trung thất có nguy hiểm không?
Nếu bạn nghi ngờ mình có u trung thất, hãy gặp bác sĩ chuyên khoa để được chẩn đoán chính xác. Bác sĩ có thể yêu cầu các xét nghiệm hình ảnh như CT scan hoặc MRI để xác định khối u. Nếu được chẩn đoán, hãy tuân thủ kế hoạch điều trị của bác sĩ, bao gồm phẫu thuật, hóa trị, xạ trị, hoặc các phương pháp khác. Đảm bảo đúng hẹn theo dõi định kỳ để kiểm tra hiệu quả điều trị và phát hiện sớm bất kỳ thay đổi nào. Đồng thời, hãy chăm sóc bản thân bằng cách duy trì lối sống lành mạnh và tìm kiếm sự hỗ trợ từ các chuyên gia sức khỏe tâm lý nếu cần.
Có, u trung thất có thể ảnh hưởng nghiêm trọng đến các cơ quan khác trong cơ thể. Tùy thuộc vào vị trí và kích thước của khối u, nó có thể gây áp lực hoặc xâm lấn vào các cấu trúc gần kề như tim, phổi, cột sống và các mạch máu lớn. Có thể dẫn đến các biến chứng nguy hiểm khác đối với bệnh nhân.
U trung thất không thể phòng ngừa hoàn toàn, nhưng bạn có thể cải thiện cơ hội điều trị thành công bằng cách phát hiện sớm. Để làm điều này, hãy đến gặp bác sĩ ngay nếu bạn gặp phải triệu chứng như khó thở, ho dai dẳng hoặc các vấn đề khác kéo dài hơn hai tuần. Việc phát hiện và điều trị kịp thời có thể giúp tăng hiệu quả điều trị và giảm nguy cơ biến chứng nghiêm trọng.
So với phẫu thuật mở truyền thống, phẫu thuật nội soi để loại bỏ u trung thất giúp giảm thiểu biến chứng trong và sau ca mổ. Tuy nhiên, phương pháp xâm lấn tối thiểu này vẫn có thể gặp phải một số rủi ro. Những rủi ro này bao gồm tổn thương các khu vực xung quanh như tim, màng ngoài tim và tủy sống, chảy máu nhiều trong quá trình mổ dẫn đến việc bệnh nhân cần truyền máu và bác sĩ phải thực hiện rạch đường mổ lớn hơn, tràn dịch màng phổi, cần dẫn lưu hậu phẫu, và nguy cơ nhiễm trùng hoặc chảy máu nhiều trong giai đoạn hậu phẫu.
Các bác sĩ sẽ cung cấp hướng dẫn chi tiết để bệnh nhân chuẩn bị tốt cho phẫu thuật, và trong giai đoạn hồi phục, bệnh nhân sẽ nhận được hướng dẫn về chăm sóc vết mổ, chế độ ăn uống phù hợp và các hoạt động vận động để hồi phục nhanh chóng.
Xem thêm thông tin: Phẫu thuật trung thất qua nội soi lồng ngực
Hỏi đáp (0 bình luận)