:format(webp)/ung_thu_vom_hong_2_a4fa2acdfd.jpg)
Ung thư vòm họng là bệnh ác tính phát sinh từ tế bào ở vòm họng, phía sau mũi, thường là loại ung thư biểu mô không biệt hóa. Bệnh phổ biến hơn ở nam giới, với tỷ lệ mắc khoảng 2-3 nam so với 1 nữ
:format(webp)/ung_thu_vu_9c168ca9be.png)
Ung thư vú là một loại bệnh ung thư phát triển từ các tế bào trong các ống dẫn sữa và nhu mô tuyến của vú, nơi các tế bào phân chia không kiểm soát và có thể hình thành khối u. Ung thư vú là căn bệnh ung thư gây tử vong cao nhất ở nữ giới. Tuy nhiên, tỷ lệ sống sót có thể cao nếu được phát hiện sớm và điều trị kịp thời.
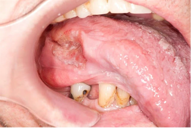
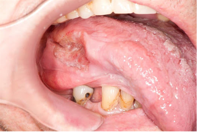
Ung thư miệng xảy ra khi các tế bào tăng sinh và phát triển bất thường trong các mô của miệng hoặc cổ họng. Các tế bào vảy là các tế bào mỏng, phẳng nằm bên trong miệng thường là nơi bắt đầu ung thư miệng. Hút thuốc và uống rượu là những yếu tố nguy cơ chính gây nên gây bệnh. Chúng ta hãy cùng tìm hiểu cụ thể hơn ung thư miệng là gì cũng như những biện pháp phòng tránh qua bài viết sau.
:format(webp)/ung_thu_vu_the_ong_nho_X_Pa_JO_1658737290_e345244623.jpg)
Chúng tôi xin chia sẻ với bạn về căn bệnh ung thư vú thể ống nhỏ. Mời bạn cùng tìm hiểu căn bệnh này qua những thông tin chia sẻ chi tiết của chúng tôi sau đây.
:format(webp)/ung_thu_vu_the_nhu_la_gi_trieu_chung_va_phuong_phap_dieu_tri_lhf_Zl_1655436657_f424cf55d5.png)
Thuật ngữ ung thư vú thể nhú là thuật ngữ nói chung cho những loại bệnh ung thư vú không đồng nhất. Các triệu chứng thường gặp như thay đổi kích thước vú, dày da vú, xuất hiện cục cứng bất thường, tiết dịch hoặc bị tụt núm vú.
:format(webp)/ung_thu_bieu_mo_tuyen_vu_the_di_san_la_gi_U_Spj_M_1653558240_dcf239a118.png)
Ung thư biểu mô tuyến vú thể dị sản là một dạng của bệnh ung thư vú. Khối u mô tuyến vú thể dị sản có thể là lành tính hay ác tính có khả năng phân chia và xâm lấn vào các cơ quan khác của cơ thể.
:format(webp)/nhung_phuong_phap_bao_ton_kha_nang_sinh_san_o_nam_gioi_ympd_O_1652934431_dd7e78c033.jpg)
Với sự tiến bộ của khoa học kỹ thuật hiện nay, có nhiều phương pháp điều trị vô sinh phổ biến đem lại cơ hội làm bố cho nhiều trường hợp vô sinh nam. Một số phương pháp được áp dụng nhiều ngày nay là đông lạnh tinh trùng, che chắn các tia xạ hay phẫu thuật tinh hoàn để lấy tinh trùng,... Các lựa chọn sẽ phụ thuộc vào từng loại ung thư mà bạn đang mắc phải và mong muốn của bệnh nhân.
:format(webp)/su_hinh_thanh_khoi_u_tieu_thuy_va_nguy_co_phat_trien_ung_thu_vu_Yk_Pn_I_1652331185_2fe9e81d3c.jpg)
Khối u tiểu thùy thường là một bệnh lành tính, tuy nhiên người bệnh cần sớm phát hiện, chẩn đoán và cùng với các bác sỹ chuyên môn đưa ra phương án điều trị thích hợp. Khối u tiểu thùy còn có thể gây tăng nhẹ ung thư vú, đặc biệt đối với phụ nữ có tiền sử gia đình nhiều người mắc ung thư vú. Vậy nên cần tìm hiểu thông tin cần thiết về căn bệnh này nhé.
:format(webp)/cac_thay_doi_o_mong_cua_nguoi_benh_ung_thu_w_G_Al_V_1652326215_564230fd6d.jpg)
Móng giúp bảo vệ đầu ngón tay và ngón chân, giúp các ngón tay thực hiện động tác như gãi hoặc nhặt đồ vật. Móng được cấu tạo với 2 phần: “Đĩa móng” (phần cứng nhất và là phần có thể nhìn thấy) và phần mô mềm nằm dưới “đĩa móng”. Quá trình thực hiện điều trị ung thư có thể làm ảnh hưởng đến sức khỏe của móng tay, chân.
:format(webp)/ung_thu_vu_the_ong_xam_nhap_la_gi_liys_T_1652241936_9be615e01c.jpg)
Ung thư vú thể ống xâm nhập chiếm khoảng 65-80% trong ung thư vú và là loại ung thư hay gặp nhất. Bạn cần trang bị đầy đủ kiến thức về các căn bệnh nguy hiểm này để kịp thời nhận biết dấu hiệu, thăm khám và có phương án điều trị thích hợp.