Với hơn 8 năm kinh nghiệm, trong đó có 5 năm làm việc trong lĩnh vực Nội khoa và 3 năm chuyên về tiêm chủng, bác sĩ đã đóng góp quan trọng vào việc nâng cao chất lượng chăm sóc sức khỏe cộng đồng.
Bác sĩHoàng Thị Lệ
Với hơn 8 năm kinh nghiệm, trong đó có 5 năm làm việc trong lĩnh vực Nội khoa và 3 năm chuyên về tiêm chủng, bác sĩ đã đóng góp quan trọng vào việc nâng cao chất lượng chăm sóc sức khỏe cộng đồng.
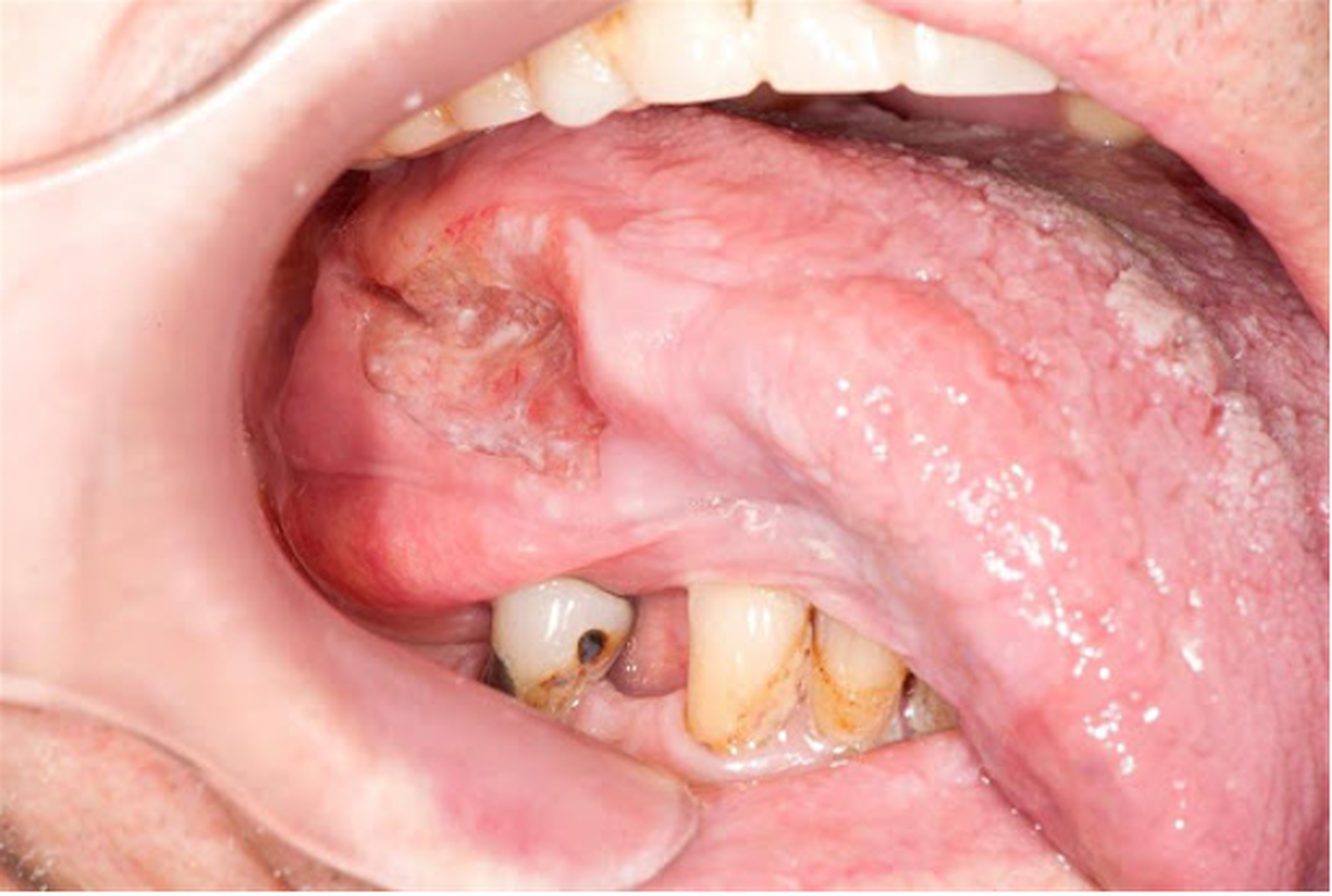
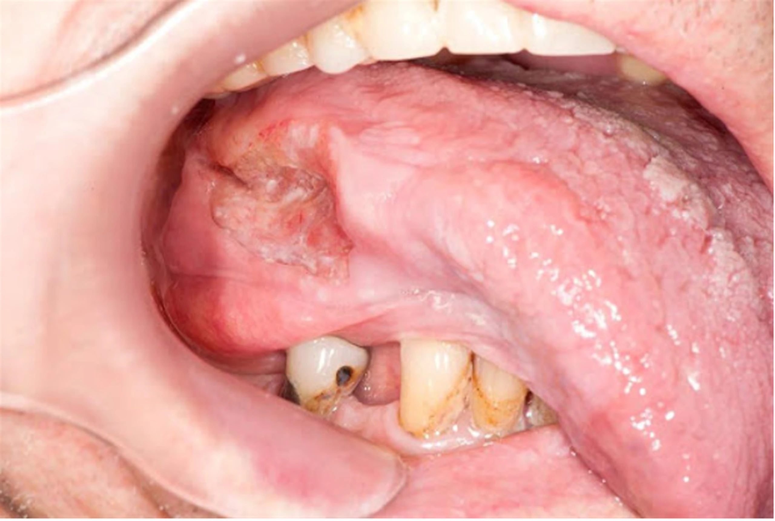
Ung thư miệng xảy ra khi các tế bào tăng sinh và phát triển bất thường trong các mô của miệng hoặc cổ họng. Các tế bào vảy là các tế bào mỏng, phẳng nằm bên trong miệng thường là nơi bắt đầu ung thư miệng. Hút thuốc và uống rượu là những yếu tố nguy cơ chính gây nên gây bệnh. Chúng ta hãy cùng tìm hiểu cụ thể hơn ung thư miệng là gì cũng như những biện pháp phòng tránh qua bài viết sau.
Ung thư miệng thuộc về một nhóm ung thư lớn được gọi là ung thư đầu và cổ, nó là ung thư phát triển trong các mô của miệng hoặc cổ họng. Ung thư biểu mô tế bào vảy là ung thư chiếm đa số trong các loại ung thư miệng. Loại ung thư này bắt đầu từ các tế bào vảy, là những tế bào mỏng, phẳng tạo thành lớp niêm mạc của miệng và cổ họng.
Trong các tuyến sản xuất nước bọt, amidan ở phía sau miệng và một phần của cổ họng nối miệng với khí quản (hầu) cũng có thể hình thành các tế bào bất thường và các tế bào này sẽ phát triển thành khối u. Tuy nhiên, những dạng ung thư này ít phổ biến hơn.
Các bộ phận của khoang miệng có khả năng bị tăng sinh tế bào bất thường và phát triển thành ung thư miệng là:
Ung thư miệng được chia ra làm 4 giai đoạn dựa trên kích thước khối u cũng như khả năng di căn của nó:
:format(webp)/ung_thu_mieng_1_7c068fd88b.png)
:format(webp)/ung_thu_mieng_2_025d04fb8c.png)
:format(webp)/ung_thu_mieng_3_fe842b9707.png)
:format(webp)/ung_thu_mieng_4_462c4b715a.png)
:format(webp)/ung_thu_mieng_5_e0f45699e5.png)
:format(webp)/ung_thu_mieng_6_d6f6bea25d.png)
:format(webp)/ung_thu_mieng_7_de899843d7.png)
:format(webp)/ung_thu_mieng_1_7c068fd88b.png)
:format(webp)/ung_thu_mieng_2_025d04fb8c.png)
:format(webp)/ung_thu_mieng_3_fe842b9707.png)
:format(webp)/ung_thu_mieng_4_462c4b715a.png)
:format(webp)/ung_thu_mieng_5_e0f45699e5.png)
:format(webp)/ung_thu_mieng_6_d6f6bea25d.png)
:format(webp)/ung_thu_mieng_7_de899843d7.png)
Các triệu chứng của ung thư miệng bao gồm:
Nhiều dấu hiệu hay triệu chứng trên cũng có thể do các bệnh khác ngoài ung thư, hoặc thậm chí do các bệnh ung thư khác gây ra. Tuy nhiên, điều rất quan trọng là phải đến gặp bác sĩ hoặc nha sĩ nếu bất kỳ tình trạng nào trong số này kéo dài hơn 2 tuần để có thể tìm ra nguyên nhân và điều trị. Phát hiện sớm ung thư miệng có thể giúp tăng cơ hội sống sót của bạn từ 50% lên 90%.
Ung thư miệng hình thành khi các tế bào trên môi hoặc trong miệng phát triển những thay đổi (còn gọi là đột biến) trong DNA của chúng. Các đột biến sẽ làm cho các tế bào thay vì chết đi theo chu trình sau khi đã hoàn thành nhiệm vụ thì các tế bào lại tiếp tục phát triển và phân chia mạnh. Các tế bào bất thường tích tụ có thể tạo thành một khối u. Theo thời gian, chúng có thể lan rộng bên trong miệng và lan sang các vùng khác của đầu và cổ hoặc các bộ phận khác của cơ thể.
Hầu hết các bệnh ung thư miệng là ung thư biểu mô tế bào vảy. Tế bào vảy là là những tế bào mỏng, phẳng nằm ở môi và bên trong khoang miệng.
Chưa tìm được nguyên nhân cụ thể khiến các tế bào vảy bị đột biến dẫn đến ung thư miệng. Nhưng các bác sĩ đã xác định các yếu tố có thể làm tăng nguy cơ ung thư miệng.
Các nhà khoa học tin rằng một số yếu tố nguy cơ, chẳng hạn như thuốc lá hoặc sử dụng rượu nặng, có thể gây ra ung thư miệng bằng cách làm hỏng DNA của các tế bào nằm bên trong miệng và cổ họng.
Nhiều chất hóa học có trong thuốc lá có thể làm hỏng trực tiếp DNA. Các nhà khoa học không chắc liệu rượu có trực tiếp làm hỏng DNA hay không, nhưng họ đã chỉ ra rằng rượu giúp nhiều chất hóa học gây hại DNA xâm nhập vào tế bào dễ dàng hơn. Đây có thể là lý do tại sao sự kết hợp giữa thuốc lá và rượu làm tổn thương DNA nhiều hơn so với chỉ dùng thuốc lá.
Acetaldehyde, một sản phẩm phân hủy của rượu, được tìm thấy trong nước bọt, đã được chứng minh là cản trở quá trình sửa chữa DNA, cũng như làm rối loạn các chức năng khác của DNA. Mức độ acetaldehyde tăng lên khi mọi người uống nhiều rượu hơn, đó có thể là một cách rượu làm hỏng các tế bào lót trong khoang miệng.
Thiệt hại này có thể khiến một số gen nhất định (ví dụ, những gen chịu trách nhiệm bắt đầu hoặc ngừng phát triển tế bào) không hoạt động tốt. Các tế bào bất thường có thể bắt đầu phát triển ngoài tầm kiểm soát, tạo thành một khối u.
Khi thuốc lá và rượu làm hỏng các tế bào niêm mạc miệng và cổ họng, các tế bào ở lớp này cần phân chia thường xuyên hơn và tạo ra nhiều bản sao của chính chúng hơn. Điều này làm tăng khả năng mắc sai lầm khi sao chép DNA, có thể làm tăng khả năng trở thành ung thư.
Ung thư miệng có thể di căn nếu không được phát hiện và điều trị kịp thời. Khối u trong miệng có thể lan đến các hạch bạch huyết gần đó và đôi khi di căn sang các cơ quan khác trong cơ thể, như phổi, gan hoặc xương. Quá trình di căn này thường được đánh giá qua hệ thống TNM, trong đó "T" chỉ kích thước và vị trí của khối u nguyên phát, "N" đánh giá sự di căn đến hạch bạch huyết và "M" chỉ mức độ di căn xa đến các cơ quan khác. Phát hiện sớm và điều trị ung thư miệng kịp thời có thể giúp ngăn ngừa sự di căn và cải thiện tiên lượng điều trị.
Sau khi hoàn tất quá trình điều trị ung thư miệng, bạn nên tiếp tục theo dõi sức khỏe định kỳ với bác sĩ và nha sĩ. Việc tái khám giúp phát hiện sớm bất kỳ dấu hiệu tái phát hoặc biến chứng nào. Ngoài ra, bạn cũng cần chăm sóc sức khỏe miệng một cách kỹ lưỡng, thực hiện các bài tập khôi phục chức năng nếu cần thiết, như cải thiện khả năng nhai, nuốt và nói. Duy trì một chế độ ăn uống lành mạnh, tránh thuốc lá, rượu và bảo vệ miệng khỏi tổn thương sẽ giúp bạn phục hồi nhanh chóng và giảm nguy cơ ung thư tái phát.
Ung thư miệng có thể điều trị thành công nếu được phát hiện sớm. Khi ung thư miệng được phát hiện ở giai đoạn đầu, khả năng điều trị và phục hồi là rất cao. Việc chẩn đoán sớm kết hợp với điều trị thích hợp, như phẫu thuật, xạ trị hoặc hóa trị, có thể giúp tiêu diệt tế bào ung thư và ngăn ngừa chúng lây lan. Tuy nhiên, kết quả điều trị còn phụ thuộc vào nhiều yếu tố, bao gồm giai đoạn phát hiện, sức khỏe tổng thể của bệnh nhân và phương pháp điều trị được áp dụng.
Để phát hiện ung thư miệng tiềm ẩn, bạn nên thực hiện tự kiểm tra miệng, họng và cổ hàng tháng. Bắt đầu bằng cách cảm nhận môi, phía trước nướu và vòm miệng để phát hiện các bất thường. Kiểm tra cổ và dưới hàm để tìm khối u hoặc hạch bạch huyết sưng. Sử dụng đèn sáng và gương để kiểm tra bên trong miệng, bao gồm vòm miệng, niêm mạc má và nướu sau. Đảm bảo kiểm tra kỹ lưỡng lưỡi, bao gồm cả phần trên, dưới và hai bên, cũng như sàn miệng. Nếu phát hiện bất kỳ dấu hiệu nào lạ, hãy liên hệ ngay với bác sĩ để được khám và chẩn đoán kịp thời.
Xem thêm thông tin: Hình ảnh ung thư miệng: Phát hiện bệnh sớm để bảo vệ sức khoẻ
Ung thư miệng có thể ảnh hưởng nghiêm trọng đến cơ thể bệnh nhân bằng cách gây ra các triệu chứng như đau miệng, khó nuốt, thay đổi giọng nói, và khó khăn khi nhai hoặc nói. Khi khối u phát triển, nó có thể lan ra các mô xung quanh, gây tắc nghẽn hoặc tổn thương các cấu trúc quan trọng như lưỡi, lợi, nướu và các mô miệng khác. Nếu ung thư miệng di căn, nó có thể ảnh hưởng đến các bộ phận xa hơn của cơ thể, như hạch bạch huyết, phổi, hoặc gan. Tình trạng này có thể làm giảm chất lượng cuộc sống và gây ảnh hưởng nghiêm trọng đến khả năng ăn uống và giao tiếp của bệnh nhân.
Hỏi đáp (0 bình luận)