/https://cms-prod.s3-sgn09.fptcloud.com/bi_sung_loi_phai_lam_sao_nguyen_nhan_va_dau_hieu_cua_chung_sung_loi_0_b096a71872.jpg)
Sưng lợi là một bệnh lý răng miệng thường gặp, đây thường không phải là một loại bệnh nguy hiểm. Tuy nhiên, tình trạng sưng lợi kéo dài cũng có nguy cơ dẫn đến các căn bệnh tiềm ẩn về răng miệng khác. Vậy khi bị sưng lợi phải làm sao và làm cách nào để phát hiện các triệu chứng của tình trạng này?
/https://cms-prod.s3-sgn09.fptcloud.com/mach_ban_cach_tri_viem_nuou_rang_tai_nha_1232f87cea.jpg)
Viêm nướu răng không chỉ gây khó chịu mà còn có thể dẫn đến những vấn đề nghiêm trọng hơn nếu không được điều trị kịp thời. Với những biệ pháp đơn giản và hiệu quả tại nhà, bạn có thể giảm thiểu triệu chứng và ngăn ngừa bệnh tiến triển.
/https://cms-prod.s3-sgn09.fptcloud.com/nguyen_nhan_nuou_rang_sung_la_gi_nhung_dieu_can_biet_263507d394.jpg)
Nguyên nhân nướu răng sưng có thể do nhiều yếu tố như viêm nướu, viêm quanh răng, nhiễm trùng, chấn thương. Việc chẩn đoán chính xác và điều trị kịp thời là rất quan trọng để bảo vệ sức khỏe răng miệng.
/https://cms-prod.s3-sgn09.fptcloud.com/viem_nuou_trien_duong_nguyen_nhan_dau_hieu_va_cach_dieu_tri_8bdec6bad9.jpg)
Viêm nướu triển dưỡng là bệnh lý răng miệng mà nhiều người gặp phải. Đây là tình trạng nướu bị tổn thương do vi khuẩn tấn công. Vậy nguyên nhân, triệu chứng và cách điều trị bệnh viêm nướu triển dưỡng như thế nào?
/https://cms-prod.s3-sgn09.fptcloud.com/noi_cuc_cung_o_loi_do_dau_10_nguyen_nhan_gay_ra_va_phuong_phap_dieu_tri_1_0df2592132.png)
Bài viết này sẽ giới thiệu về vấn đề nổi cục cứng ở lợi, một tình trạng phổ biến trong lĩnh vực nha khoa. Nổi cục cứng trên lợi có thể xuất hiện với nhiều nguyên nhân khác nhau và có thể gây ra nhiều phiền toái cho sức khỏe miệng của bạn. Bài viết sẽ đi sâu vào các nguyên nhân, triệu chứng, và các phương pháp điều trị hiện đại để giúp bạn hiểu rõ hơn về vấn đề này.
/https://cms-prod.s3-sgn09.fptcloud.com/viem_nuou_rang_lam_sao_het_hanh_trinh_chinh_phuc_nu_cuoi_tu_tin_3_8069489f3b.jpg)
Viêm nướu không chỉ gây sưng đỏ, chảy máu, ảnh hưởng đến thẩm mỹ mà còn tiềm ẩn nguy cơ bệnh lý nguy hiểm. "Viêm nướu răng làm sao hết?" là câu hỏi không ít người thắc mắc.
/https://cms-prod.s3-sgn09.fptcloud.com/viem_nuou_la_gi_dau_hieu_nguyen_nhan_va_cach_phong_ngua_1_9b9aabea54.png)
Viêm nướu nếu không được điều trị kịp thời, có thể tiến triển thành viêm nha chu và dẫn đến mất răng. Vậy viêm nướu là gì? Nguyên nhân nào gây viêm nướu? Dấu hiệu, cách điều trị và phòng ngừa viêm nướu như thế nào? Hãy theo dõi bài viết dưới đây để có thêm thông tin về bệnh viêm nướu.
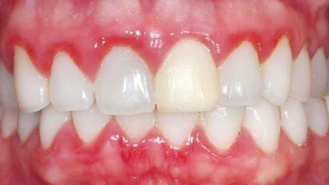
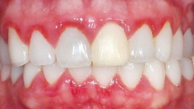
/https://cms-prod.s3-sgn09.fptcloud.com/nuou_rang_bi_do_1_2f1a3f9dd4.jpg)
Nướu răng bị đỏ cảnh báo điều gì? Cần chăm sóc răng miệng và điều trị như thế nào khi bị đỏ ở nướu răng? Bài viết dưới đây sẽ giúp bạn hiểu rõ về nguyên nhân và cách khắc phục tình trạng nướu răng bị đỏ.
/https://cms-prod.s3-sgn09.fptcloud.com/nuou_rang_bi_den_86c6195639.jpg)
Khi nướu răng khỏe mạnh sẽ có màu hồng san hô tự nhiên. Sự thay đổi màu sắc của nướu răng có thể là một dấu hiệu cảnh báo vấn đề về sức khỏe răng miệng. Một số người gặp tình trạng nướu răng bị đen. Để biết thêm nguyên nhân, triệu chứng và cách điều trị nướu đen, bạn đừng bỏ qua bài viết này nhé!
/https://cms-prod.s3-sgn09.fptcloud.com/viem_nuou_rang_co_nen_ngam_nuoc_muoi_khong_2_75f247d45f.png)
Nước muối từ lâu đã được biết đến với khả năng sát khuẩn, chống viêm và làm sạch. Do đó, nhiều người sử dụng nước muối để súc miệng và ngậm nhằm giảm bớt các triệu chứng của viêm nướu răng. Vậy, viêm nướu răng có nên ngậm nước muối không? Nhà thuốc Long Châu sẽ giúp bạn giải đáp ngay sau đây!