• Thực phẩm chức năng

  • Dược mỹ phẩm

  • Thuốc

  • Chăm sóc cá nhân

  • Thiết bị y tế

  • Tiêm chủng

  • Bệnh & Góc sức khỏe

  • Hệ thống nhà thuốc

    1. /
    2. Góc sức khỏe/
    3. Phòng bệnh & Sống khoẻ/
    4. Kiến thức y khoa

    Nguyên nhân nướu răng sưng là gì? Những điều cần biết

    Thục Hiền

    30/12/2024

    Kích thước chữ

    Nguyên nhân nướu răng sưng có thể do nhiều yếu tố như viêm nướu, viêm quanh răng, nhiễm trùng, chấn thương. Việc chẩn đoán chính xác và điều trị kịp thời là rất quan trọng để bảo vệ sức khỏe răng miệng.

    Vậy nguyên nhân nướu răng sưng là gì? Bài viết dưới đây sẽ giải thích chi tiết các yếu tố gây ra tình trạng này và cách phòng ngừa, điều trị hiệu quả để bạn luôn có nụ cười khỏe mạnh.

    Nhận biết nướu răng sưng

    Trước khi tìm hiểu nguyên nhân nướu răng sưng chúng ta cần hiểu rõ các triệu chứng và biểu hiện của tình trạng này. Các triệu chứng của nướu răng sưng có thể khác nhau tùy theo từng người, nhưng những dấu hiệu thường gặp bao gồm:

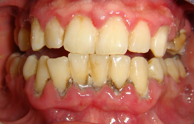
    • Nướu thay đổi từ màu hồng nhạt sang màu đỏ đậm.
    • Vùng nướu sưng có thể hình thành túi mủ, gây sưng má hoặc mặt và có thể dẫn đến chảy máu.
    • Người bệnh thường cảm thấy đau và khó chịu khi ăn uống, dẫn đến mất hứng thú với việc ăn.
    • Nướu trở nên nhạy cảm khi ăn thực phẩm cay, mặn, hoặc ở nhiệt độ quá nóng hoặc quá lạnh.
    • Hơi thở có mùi hôi.
    • Lợi quanh chân răng có xu hướng tách ra, khiến răng trở nên hơi lung lay.
    • Trong một số trường hợp, sưng nướu có thể kèm theo sốt, đau đầu và mất ngủ.
    nguyen-nhan-nuou-rang-sung-la-gi-nhung-dieu-can-biet 1
    Nướu chuyển sang màu đỏ đậm là dấu hiệu nướu răng sưng

    Nguyên nhân nướu răng sưng

    Tình trạng nướu răng sưng có thể do các nguyên nhân sau:

    Bệnh lý răng miệng

    Các bệnh lý về răng miệng là nguyên nhân phổ biến gây đau răng và sưng lợi, cụ thể như:

    • Viêm nướu: Đây là nguyên nhân chính dẫn đến sưng và chảy máu nướu, kèm theo các triệu chứng như đau nướu, tụt lợi, răng bị lung lay. Nếu không được điều trị kịp thời, viêm nướu có thể tiến triển thành viêm nha chu hoặc dẫn đến rụng răng.
    • Viêm nha chu: Tình trạng này do vi khuẩn xâm nhập vào mô nha chu, gây viêm nhiễm và sưng đau nướu. Nếu không được điều trị, viêm nha chu kéo dài có thể làm răng lung lay hoặc mất răng.
    • Nhiễm trùng: Nhiễm trùng do nấm hoặc virus, như bệnh Herpes, nấm men, hoặc sâu răng, có thể gây sưng đỏ nướu.
    • Áp xe chân răng: Đây là tình trạng nhiễm trùng nghiêm trọng với sự hình thành ổ mủ dưới chân răng. Khi bị áp xe chân răng, nướu thường sưng và đau nhức nghiêm trọng, kèm theo hơi thở có mùi khó chịu.
    nguyen-nhan-nuou-rang-sung-la-gi-nhung-dieu-can-biet 2
    Viêm nha chu là nguyên nhân gây đau răng và sưng nướu răng

    Mọc răng khôn

    Viêm và sưng nướu khi mọc răng khôn là hiện tượng thường thấy. Khi răng khôn mọc, lợi quanh chân răng có thể bị tách ra, khiến vụn thức ăn dễ mắc kẹt gây viêm đỏ. Điều này có thể dẫn đến đau nhức, chảy mủ và hơi thở có mùi hôi.

    Vệ sinh răng miệng kém

    Vệ sinh răng miệng không đúng cách có thể tạo ra mảng bám trên kẽ răng, tạo điều kiện cho vi khuẩn tấn công men răng. Điều này dẫn đến việc hình thành các chất gây phá hủy liên kết giữa lợi và răng, gây viêm nhiễm, sưng đau lợi.

    Thiếu hụt dưỡng chất

    Sưng nướu cũng có thể do chế độ ăn thiếu dinh dưỡng, đặc biệt là thiếu vitamin B và C, những vitamin quan trọng cho sức khỏe và phục hồi nướu. Thiếu hụt các vitamin này có thể dẫn đến bệnh Scorbut, với triệu chứng như sưng lợi và chảy máu nướu.

    Một số nguyên nhân khác

    Nướu răng bị sưng cũng có thể do một số nguyên nhân khác như:

    • Sưng nướu trong thời kỳ mang thai.
    • Sưng nướu do kích ứng.
    • Sưng nướu do tác dụng phụ của thuốc.
    • Sưng nướu do biến chứng của một số bệnh lý toàn thân như tiểu đường hoặc nhiễm trùng huyết.

    Phương pháp điều trị và phòng ngừa nướu răng sưng

    Nếu sưng nướu nhẹ, tình trạng có thể tự khỏi nếu bạn chăm sóc răng miệng đúng cách và duy trì chế độ dinh dưỡng hợp lý. Tuy nhiên, nếu nướu sưng kèm theo mủ, đây là tình trạng nghiêm trọng cần gặp bác sĩ để được điều trị kịp thời, nhằm tránh ảnh hưởng đến các răng xung quanh.

    Cách điều trị nướu răng sưng

    • Vệ sinh răng miệng cẩn thận: Duy trì thói quen chải răng ít nhất 2 lần mỗi ngày và sử dụng chỉ nha khoa thường xuyên, đặc biệt là sau mỗi bữa ăn.
    • Súc miệng bằng nước muối: Muối giúp ngăn ngừa sự phát triển của vi khuẩn trong miệng và hỗ trợ giảm sưng nướu. Để giảm sưng nướu hiệu quả, bạn có thể nhẹ nhàng chà nướu bằng nước muối pha loãng sau khi đánh răng, rồi súc miệng bằng nước ấm. Thực hiện điều này 3 lần mỗi tuần.
    • Chườm nóng/lạnh: Khi nướu sưng đau, chườm miếng vải ấm lên khu vực nướu bị sưng. Sau đó, thay bằng miếng vải lạnh và lặp lại chu kỳ nóng – lạnh khoảng 2 – 3 lần để cải thiện tình trạng sưng đau.
    • Sử dụng oxy già: Súc miệng bằng dung dịch oxy già nồng độ dưới 3% để làm giảm cơn đau do sưng nướu răng.
    nguyen-nhan-nuou-rang-sung-la-gi-nhung-dieu-can-biet 3
    Chườm lạnh để cải thiện tình trạng sưng đau

    Ngăn ngừa nướu răng sưng

    Ngoài việc tìm hiểu nguyên nhân nướu răng sưng và cách điều trị, phòng ngừa nướu răng sưng cũng rất quan trọng. Dưới đây là một số biện pháp bạn nên thực hiện để phòng tránh tình trạng này:

    • Đánh răng đúng cách: Hãy giữ thói quen đánh răng ít nhất hai lần mỗi ngày, vào buổi sáng và trước khi đi ngủ. Khi đánh răng, bạn nên thao tác nhẹ nhàng, kỹ lưỡng, đảm bảo làm sạch tất cả các bề mặt răng. Kết hợp sử dụng chỉ nha khoa hàng ngày để làm sạch các kẽ răng, nơi mà bàn chải khó tiếp cận được.
    • Khám răng định kỳ: Mỗi 6 tháng, bạn nên gặp nha sĩ để kiểm tra và làm sạch răng, nướu. Khám răng định kỳ giúp nhận diện sớm các vấn đề về răng miệng, ngăn ngừa chúng tiến triển nặng hơn. Nha sĩ cũng sẽ loại bỏ mảng bám và cao răng, góp phần duy trì sức khỏe răng miệng tốt hơn.
    • Hạn chế hút thuốc lá và rượu bia: Hút thuốc lá và uống rượu bia nhiều không chỉ gây hại cho sức khỏe tổng thể mà còn ảnh hưởng xấu đến sức khỏe răng miệng. Chất nicotine và cồn có thể làm giảm lượng máu đến nướu, làm tăng nguy cơ sưng viêm nướu. Hãy cố gắng giảm hoặc từ bỏ thói quen này để bảo vệ sức khỏe nướu.
    • Bổ sung vitamin C: Thiếu hụt vitamin C có thể dẫn đến tình trạng sưng lợi và chảy máu nướu. Hãy đảm bảo bổ sung đầy đủ vitamin C qua chế độ ăn uống hàng ngày bằng cách ăn nhiều trái cây và rau xanh như cam, chanh, dâu tây, ớt chuông, cải bó xôi. Bạn cũng có thể sử dụng thực phẩm chức năng chứa vitamin C nếu cần thiết.
    • Massage lợi răng: Thực hiện massage lợi nhẹ nhàng có thể giúp tăng cường lưu thông máu đến khu vực nướu, giúp nướu khỏe mạnh và giảm nguy cơ đau răng.
    • Giữ vệ sinh miệng đúng cách: Ngoài việc đánh răng và dùng chỉ nha khoa, bạn cũng nên súc miệng bằng nước muối loãng hoặc nước súc miệng kháng khuẩn để loại bỏ vi khuẩn gây hại. Hãy tránh ăn quá nhiều đồ ngọt và thức ăn có đường, vì chúng có thể gây sâu răng và viêm nướu.
    nguyen-nhan-nuou-rang-sung-la-gi-nhung-dieu-can-biet 4
    Khám răng định kỳ mỗi 6 tháng giúp phát hiện và điều trị sớm các vấn đề về răng miệng

    Việc hiểu rõ các nguyên nhân nướu răng sưng là bước đầu tiên quan trọng trong việc phòng ngừa, điều trị tình trạng này. Để duy trì sức khỏe nướu và răng miệng, bạn cần chú ý đến việc vệ sinh răng miệng hàng ngày, duy trì chế độ ăn uống cân bằng và kiểm tra răng định kỳ. Nếu gặp phải tình trạng sưng nướu kéo dài, hãy tìm đến sự tư vấn của các chuyên gia nha khoa để có biện pháp điều trị kịp thời, hiệu quả.

    Xem thêm: Mách bạn cách trị viêm nướu răng tại nhà

    Có thể bạn quan tâm

    Thông tin và sản phẩm gợi ý trong bài viết chỉ mang tính chất tham khảo, vui lòng liên hệ với Bác sĩ, Dược sĩ hoặc chuyên viên y tế để được tư vấn cụ thể. Xem thêm

    Dược sĩ Đại họcNguyễn Thị Hồng Nhung

    Đã kiểm duyệt nội dung

    Tốt nghiệp đại học Khoa Dược. Có kinh nghiệm hơn 10 năm trong lĩnh vực Dược phẩm, tư vấn thuốc và thực phẩm chức năng. Hiện đang là giảng viên cho Dược sĩ tại Nhà thuốc Long Châu.

    Xem thêm thông tin