Tốt nghiệp loại giỏi trường Đại học Y Dược Huế. Từng tham gia nghiên cứu khoa học đề tài về Dược liệu. Nhiều năm kinh nghiệm làm việc trong lĩnh vực Dược phẩm. Hiện đang là giảng viên cho Dược sĩ tại Nhà thuốc Long Châu.
Thị Thúy
08/10/2024
Mặc định
Lớn hơn
Viêm nướu triển dưỡng là bệnh lý răng miệng mà nhiều người gặp phải. Đây là tình trạng nướu bị tổn thương do vi khuẩn tấn công. Vậy nguyên nhân, triệu chứng và cách điều trị bệnh viêm nướu triển dưỡng như thế nào?
Viêm nướu triển dưỡng là bệnh răng miệng mà con người dễ mắc phải hay còn gọi là bệnh nha chu, không chỉ ảnh hưởng đến vẻ bề ngoài mà còn gây ra nhiều bệnh lý răng miệng nguy hiểm. Vì vậy, bạn cần phải hiểu rõ về căn bệnh này để có kinh nghiệm điều trị hiệu quả. Cùng Long Châu tìm hiểu nhé!
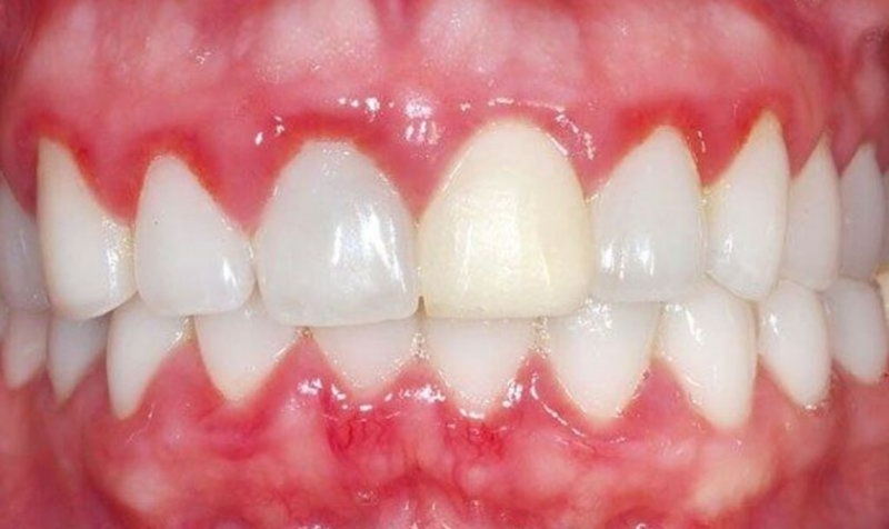
Viêm nướu triển dưỡng là tình trạng nướu bị viêm, sưng tấy và che phủ một phần hoặc toàn bộ răng. Đây là trường hợp viêm nướu ở giai đoạn nặng và cần được điều trị kịp thời. Bệnh có thể xảy ra ở mọi đối tượng khác nhau ở nhiều lứa tuổi và giới tính khác nhau.

Tuy không gây hại cho sức khỏe nhưng bệnh viêm nướu triển dưỡng khiến người bệnh gặp rất nhiều khó khăn trong cuộc sống hàng ngày. Các triệu chứng như sưng nướu, chảy máu, đau rát nếu không được điều trị kịp thời có thể dẫn đến viêm tủy, tụt lợi…, trường hợp nặng có thể gây hoại tử mô nướu và mất răng vĩnh viễn.
Theo các chuyên gia, viêm nướu là do không cung cấp đủ dưỡng chất cho mô nướu. Điều này làm cho mô nướu trở nên lỏng lẻo và dễ tổn thương. Bên cạnh đó, việc chăm sóc răng miệng không đúng cách cũng có thể dẫn đến tích tụ mảng bám. Đây là môi trường thuận lợi cho các loại vi khuẩn có hại phát triển.
Ngoài ra, dưới đây một số yếu tố sau có thể làm tăng nguy cơ viêm nướu:
Như đã đề cập trước đó, viêm nướu triển dưỡng thực chất là một bệnh viêm nướu và do đó có tất cả các triệu chứng của bệnh lý này. Từ triển dưỡng có thể hiểu là sưng tấy, biểu thị dấu hiệu của giai đoạn viêm nặng. Tình trạng viêm nướu ở mỗi bệnh nhân là khác nhau.
Nhìn chung, viêm nướu triển dưỡng sẽ có các triệu chứng sau:
Khi mắc bệnh răng miệng, người bệnh không tránh khỏi cảm giác đau nhức, khó chịu. Cảm giác nóng rát tăng lên khi người bệnh nhai, dẫn đến chán ăn. Về lâu dài sẽ khiến cơ thể thiếu chất dinh dưỡng, không đủ năng lượng để thực hiện các hoạt động hàng ngày.
Nhiễm trùng lâu ngày còn làm tăng nguy cơ hoại tử chân răng. Lúc này chân răng sẽ lỏng lẻo và răng sẽ có dấu hiệu lung lay. Nếu điều trị không triệt để có thể phát triển nhiều biến chứng khác như áp xe chân răng, tụt lợi…, dẫn đến mất răng vĩnh viễn.

Vì vậy, bệnh viêm nướu cần được điều trị kịp thời ngay khi xuất hiện triệu chứng để tránh những biến chứng nghiêm trọng về sau.
Các phương pháp điều trị viêm nướu triển dưỡng khác nhau tùy thuộc vào mức độ nghiêm trọng và tình trạng cụ thể. Hiện nay có 2 phương pháp điều trị phổ biến:
Hầu hết các trường hợp viêm nướu triển dưỡng đều có tổn thương khá nghiêm trọng và nguy cơ biến chứng cao. Để nhanh chóng giải quyết vấn đề, bác sĩ có thể thực hiện phẫu thuật để loại bỏ vùng nướu bị tổn thương.
Quy trình cắt nướu được thực hiện theo các bước sau:
Ngoài phẫu thuật cắt nướu, bác sĩ có thể kê đơn thuốc giúp giảm đau và ức chế sự phát triển của vi khuẩn một cách hiệu quả.
Một số loại thuốc thường được sử dụng bao gồm:

Để điều trị viêm nướu hiệu quả, người bệnh cần chú ý những yếu tố sau:
Viêm nướu triển dưỡng có thể điều trị được nếu các triệu chứng được phát hiện sớm và kiểm tra kịp thời. Vì vậy, khi xuất hiện những triệu chứng nghi ngờ, bạn nên đến cơ sở nha khoa uy tín để khám và điều trị càng sớm càng tốt.
Xem thêm:
Dược sĩ Đại họcNgô Kim Thúy
Tốt nghiệp loại giỏi trường Đại học Y Dược Huế. Từng tham gia nghiên cứu khoa học đề tài về Dược liệu. Nhiều năm kinh nghiệm làm việc trong lĩnh vực Dược phẩm. Hiện đang là giảng viên cho Dược sĩ tại Nhà thuốc Long Châu.