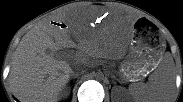
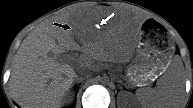
:format(webp)/kich_thuoc_not_voi_hoa_gan_cho_thay_dieu_gi_cd7bdb53e8.jpg)
Vôi hóa gan có thể ảnh hưởng đến chức năng gan và gây ra các biến chứng nguy hiểm như viêm gan mạn tính, xơ gan, và thậm chí ung thư gan. Kích thước nốt vôi hoá gan giúp bác sĩ kết luận về nguy cơ ảnh hưởng đến chức năng gan.
:format(webp)/voi_hoa_gan_la_benh_gi_dieu_tri_benh_voi_hoa_gan_nhu_the_nao_3feb8ccd23.jpg)
Vôi hoá gan là một bệnh lý thường gặp ở những bệnh nhân có tiền sử mắc bệnh viêm gan. Nốt vôi hóa trong gan ít hay nhiều và mức độ tổn thương đối với gan cũng như sức khỏe của người bệnh là khác nhau trong từng trường hợp.
:format(webp)/voi_hoa_day_chang_benh_ly_gay_dau_nhuc_khop_va_cach_khac_phuc_52dfc8b62d.jpg)
Bạn có bao giờ trải qua cảm giác đau nhức tại các khớp xương và tự hỏi nguyên nhân là gì? Có thể đó là biểu hiện của vôi hóa dây chằng, một bệnh lý phổ biến ở người cao tuổi, người lao động nặng hoặc ít vận động. Vậy làm thế nào để nhận biết và đối phó với vôi hóa dây chằng? Cùng theo dõi nội dung bài viết sau đây để tìm hiểu thông tin chi tiết hơn!
:format(webp)/voi_hoa_tui_mat_la_benh_nhu_the_nao_co_nguy_hiem_toi_tinh_mang_hay_khong_6fca442d4b.jpg)
Vôi hóa túi mật là một hiện tượng đặc biệt xảy ra trong cơ thể, khi các đốm và hạt chứa canxi tích tụ trong niêm mạc của túi mật. Điều này dẫn đến sự thay đổi cấu trúc và chức năng của túi mật, ảnh hưởng đến khả năng co bóp và lưu thông chất mật, gây ra nhiều vấn đề sức khỏe nghiêm trọng cho bệnh nhân. Hãy cùng Nhà thuốc Long Châu tìm hiểu chi tiết về hiện tượng vôi hóa túi mật và những hậu quả tiềm ẩn của nó trong bài viết sau đây.
:format(webp)/cat_tuyen_mang_tai_co_gay_nguy_hiem_cho_day_than_kinh_so_vii_khong_d1cf03410e.jpg)
Phẫu thuật cắt tuyến mang tai thường được chỉ định trong các trường hợp: U tuyến mang tai, viêm tuyến mang tai do sỏi... Tuyến mang tai có sự liên kết với dây thần kinh số VII, vì vậy khi phẫu thuật cần phải thật sự cẩn trọng.
:format(webp)/soi_tuyen_nuoc_bot_nhung_thong_tin_quan_trong_ban_can_biet_2_Cropped_eddb8fb082.jpg)
Sỏi tuyến nước bọt là bệnh lý không hiếm nhưng ít người biết, đây không phải là bệnh quá nguy hiểm tuy nhiên khi sỏi sưng phồng lên sẽ gây nhiều biến chứng khôn lường. Cùng xem nguyên nhân và cách phòng, điều trị bệnh này.
:format(webp)/thong_tin_ve_thu_thuat_cat_tuyen_duoi_ham_Cropped_9ede1bc848.jpg)
Hai tuyến nước bọt nằm dưới xương hàm tạo thành tuyến dưới hàm, đóng vai trò quan trọng trong các hoạt động hàng ngày của cơ thể. Tuy nhiên, khi gặp vấn đề như tắc nghẽn, hẹp bẩm sinh hoặc các tình trạng viêm nhiễm nghiêm trọng, thường có sự quyết định về việc thực hiện phẫu thuật cắt tuyến dưới hàm để khắc phục tình trạng này.
:format(webp)/voi_hoa_tuyen_nuoc_bot_la_benh_gi_co_nguy_hiem_khong_Cropped_11a4974613.png)
Vôi hóa tuyến nước bọt là một tình trạng có thể gây tắc nghẽn, ảnh hưởng đến chức năng của tuyến nước bọt và có thể dẫn đến nhiều vấn đề sức khỏe. Vậy nên mọi người không nên chủ quan khi phát hiện căn bệnh này nhé.
:format(webp)/viem_tuyen_nuoc_bot_co_lay_khong_1_be64849e60.jpg)
Viêm tuyến nước bọt xuất hiện khi tuyến nước bọt hoặc đường ống nước bọt bị nhiễm khuẩn hoặc virus. Các triệu chứng thường bao gồm sưng cấp tính của tuyến, đau, và sưng khi ăn. Nhiều người thường đặt câu hỏi liệu rằng viêm tuyến nước bọt có lây không. Hãy cùng tìm hiểu về điều này.
:format(webp)/soi_tuyen_nuoc_bot_duoi_ham_1_9001b48f9c.jpg)
Sỏi tuyến nước bọt dưới hàm chiếm đến 90% tỷ lệ của tất cả các loại sỏi tuyến nước bọt. Phương pháp chính để điều trị là thực hiện phẫu thuật lấy sỏi hoặc tán sỏi. Cùng tìm hiểu về bệnh lý này ở bài viết dưới đây nhé.