Tốt nghiệp đại học Khoa Dược. Có kinh nghiệm hơn 10 năm trong lĩnh vực Dược phẩm, tư vấn thuốc và thực phẩm chức năng. Hiện đang là giảng viên cho Dược sĩ tại Nhà thuốc Long Châu.
21/06/2023
Mặc định
Lớn hơn
Gaucher do những cơ quan trong cơ thể tích tụ trong gan, lá lách khiến chúng có kích thước to hơn, gây suy giảm chức năng.
Bệnh Gaucher gây ra do thiếu enzyme di truyền. Nó có thể dẫn đến một loạt các triệu chứng, bao gồm sưng bụng, thiếu máu và dễ bị bầm tím. Hãy cùng tìm hiểu căn bệnh Gaucher qua bài viết sau nhé!
Bệnh Gaucher là kết quả của sự tích tụ các chất béo trong các cơ quan nhất định, đặc biệt là lá lách và gan, điều này làm cho các cơ quan trên trở nên lớn hơn nhiều so với bình thường và có thể ảnh hưởng đến chức năng của chúng. Các chất béo liên quan đến bệnh Gaucher cũng có thể tích tụ trong mô xương, gây loãng xương và tăng nguy cơ gãy xương. Nếu tủy xương bị ảnh hưởng, nó có thể gây rối loạn huyết học.

Bệnh Gaucher có ba loại:
Bệnh Gaucher không có thuốc chữa, phương án điều trị cho loại 1 và 3 bao gồm thuốc và liệu pháp thay thế enzyme, hai phương pháp này thường rất hiệu quả. Tuy nhiên, không có lối điều trị dứt điểm cho tổn thương não loại 2 và 3.
Việc thiếu hụt enzym glucocerebrosidase chính là nguyên nhân gây nên tình trạng bệnh này. Đây là loại enzym quan trọng giúp phá vỡ các chất béo ở trong cơ thể. Việc thiếu hụt này khiến các chất béo bị phá vỡ không đúng cách hay tích tụ chất béo. Điều này khiến cho các cơ quan phình to ra.
Theo nghiên cứu, việc thiếu hụt enzym quan trọng này là một bệnh lý di truyền. Nếu như cả cha mẹ mang gen lặn, con cái sinh ra sẽ có tỷ lên 25% gen biểu hiện gây nên tình trạng bệnh.
Gaucher gây nên những triệu chứng khác nhau tùy vào từng cơ địa mỗi người, thậm chí có người còn không có bất cứ dấu hiệu nào của bệnh.
Các dấu hiệu và triệu chứng của bệnh Gaucher có thể rất khác nhau. Anh chị em, thậm chí anh em sinh đôi giống hệt nhau, nếu bị mắc bệnh Gaucher thì cũng có thể có mức độ nghiêm trọng khác nhau. Nhưng một số người mắc bệnh Gaucher không có triệu chứng gì cả.
Dấu hiệu của bệnh Gaucher là đau bụng do gan và lách to chèn ép cơ quanTrên đây chỉ là một số triệu chứng cơ bản thường gặp của bệnh. Ngoài ra có thể có một số trường hợp đặc biệt, người bệnh sẽ gặp một số triệu chứng hiếm gặp. Hãy báo cho bác sĩ kiểm tra nếu như bạn có bất cứ dấu hiệu nào bất thường trong cơ thể.
Trước hết muốn điều trị cần chẩn đoán bệnh:
Trong xét nghiệm vật lý, bác sĩ sẽ nhấn vào vùng bụng để kiểm tra kích thước của lá lách và gan. Từ đó đưa ra các tư vấn các phương pháp giúp phát hiện ra bệnh hiệu quả.
Xét nghiệm mẫu máu: Phương pháp này giúp kiểm tra nồng độ của các enzyme liên quan đến bệnh Gaucher. Phân tích di truyền cũng có thể cho biết bạn có bệnh hay không.
Kiểm tra bằng hình ảnh: Những người có bệnh Gaucher thường bắt buộc phải kiểm tra định kỳ để theo dõi diễn tiến của bệnh. Quy trình này có thể bao gồm các xét nghiệm hình ảnh như:
Xét nghiệm tầm soát và sàng lọc trước sinh: Bạn có thể xem xét việc sàng lọc di truyền trước khi lập gia đình hoặc nếu một trong hai bạn có tiền sử mắc bệnh Gaucher. Trong một số trường hợp, bác sĩ có thể khuyên bạn nên thử nghiệm trước khi sinh để xem thai nhi có nguy cơ bị bệnh Gaucher hay không.
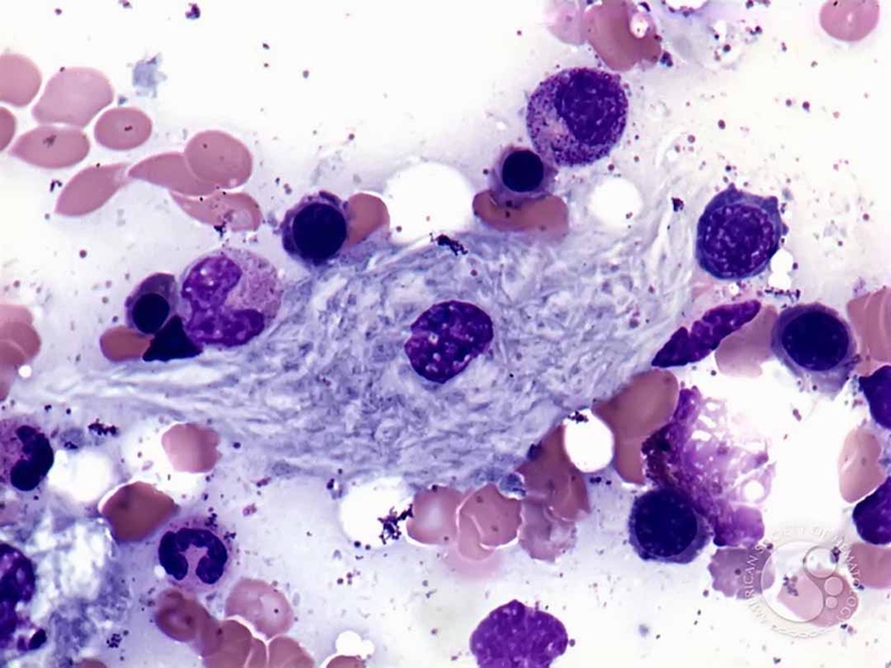
Tế bào bất thường ở người bị bệnh GaucherBệnh Gaucher hiện chưa có phương pháp điều trị dứt điểm. Mục đích của việc điều trị giúp kiểm soát tình trạng bệnh cũng như các triệu chứng gây nên bệnh. Với trường hợp bệnh nhẹ bạn có thể không cần phải điều trị.
Với một số trường hợp bệnh Gaucher gây biến chứng nguy hiểm bạn có thể được điều trị bằng nhiều biện pháp khác nhau. Chẳng hạn như thay thế enzym gây bệnh. Cơ thể sẽ được bổ sung enzym nhân tạo để kiểm soát bệnh tốt hơn.
Ngoài ra, phương pháp ức chế sản xuất bằng việc sử dụng thuốc can thiệp vào việc sản xuất chất béo tích tụ trong cơ thể hay điều trị tình trạng loãng xương giúp giảm thiểu biến chứng của bệnh.
Điều trị loãng xương cũng là phương pháp điều trị có thể giúp xây dựng lại cấu trúc xương bị suy yếu do bệnh Gaucher.
Đối với trường hợp bệnh nghiêm trọng hay những phương pháp điều trị trên không thể đáp ứng bạn có thể được cấy ghép tủy sống, khi đó bác sĩ sẽ thay thế tế bào tạo máu bị hư hại do bệnh Gaucher gây nên giúp đảo ngược dấu hiệu và triệu chứng bệnh.
Bạn cũng có thể được đề nghị cắt bỏ lá lách. Đây là phương án cuối cùng được đề nghị điều trị khi những cách khác không thể đảm bảo để điều trị Gaucher.
Lam Ngọc
Nguồn: Hellobacsi, MIMS
Dược sĩ Đại họcNguyễn Thị Hồng Nhung
Tốt nghiệp đại học Khoa Dược. Có kinh nghiệm hơn 10 năm trong lĩnh vực Dược phẩm, tư vấn thuốc và thực phẩm chức năng. Hiện đang là giảng viên cho Dược sĩ tại Nhà thuốc Long Châu.