• Thực phẩm chức năng

  • Dược mỹ phẩm

  • Thuốc

  • Chăm sóc cá nhân

  • Thiết bị y tế

  • Tiêm chủng

  • Bệnh & Góc sức khỏe

  • Hệ thống nhà thuốc

    1. /
    2. Góc sức khỏe/
    3. Phòng bệnh & Sống khoẻ

    Các bệnh răng miệng nguy hiểm thường gặp

    21/06/2023

    Kích thước chữ

    Theo các nghiên cứu và thống kê thì có đến 90% dân số Việt Nam bị mắc các bệnh về răng. Chiếm phần lớn trong số đó các bệnh như sâu răng, viêm nướu (lợi), hôi miệng. Ngoài ra còn có các bệnh răng miệng nguy hiểm hơn có thể kể đến như viêm nha chu, viêm tủy răng, ung thư răng…

    Vấn đề về răng miệng không chỉ gây ra khó chịu cho người bệnh mà nó còn làm ảnh hưởng đến các sinh hoạt và giao tiếp hàng ngày. Hầu hết các bệnh về răng ban đầu thường dễ phòng ngừa và điều trị nếu bạn biết chăm sóc răng miệng đúng cách. Tuy nhiên, nếu chủ quan không phát hiện sớm và điều trị kịp thời thì nó có thể trở thành các bệnh răng miệng nguy hiểm, kéo theo các bệnh lý nặng hơn.

    Các bệnh răng miệng nguy hiểm thường gặp 1 Các bệnh về răng rất phổ biến trong cuộc sống hàng ngày

    Các bệnh răng miệng nguy hiểm

    Trên thực tế, hầu như tất cả chúng ta đều muốn sở hữu một hàm răng khỏe và đẹp. Tuy nhiên không phải ai cũng biết cách chăm sóc tốt răng miệng của mình. Các bệnh về răng chủ yếu do thói quen không tốt trong việc sinh hoạt và vệ sinh răng miệng hàng ngày.

    Các vấn đề về răng miệng gây ra rất nhiều hệ lụy, từ đó có ảnh hưởng tiêu cực đến công việc và các mối quan hệ trong cuộc sống. Một số bệnh về răng phổ biến dưới đây sẽ giúp bạn hiểu rõ hơn về nguyên nhân, những biến chứng nguy hiểm mà nó gây ra và cách điều trị sao cho hiệu quả.

    Viêm lợi

    Viêm lợi là bệnh làm tổn thương các mô xung quanh và các mô nâng đỡ răng. Khi lợi bị viêm sẽ gây ra sưng đỏ, rất dễ chảy máu nhất là khi đánh răng.

    Bệnh có thể chuyển biến nặng hơn và gây ra những tình trạng như viêm quanh răng hoặc mất răng. Ngoài ra nó còn có thể biến chứng nặng thành các bệnh như tim mạch, đột quỵ và viêm phổi.

    • Nguyên nhân: Do vi khuẩn của các mảm bám răng và cao răng tích tụ lâu ngày.
    • Điều trị: Bệnh viêm lợi điều trị đơn giản bằng cách làm sạch bề mặt răng để loại bỏ được các mảng bám ở răng, vệ sinh răng miệng thường xuyên và đúng cách.

    Sâu răng

    Có thể nói sâu răng là bệnh răng miệng phổ biến nhất vì bệnh có thể xuất hiện ở bất cứ độ tuổi nào. Sự tiêu hủy các cấu trúc vôi hóa vô cơ trong men răng tạo ra lỗ hổng trên bề mặt răng gây ra sâu răng. Nếu không được điều trị sớm có thể sẽ làm chết tủy răng, từ đó sinh ra các biến chứng nguy hiểm khác như viêm hạch, viêm quanh cuống răng, xiêm xương. Nặng nhất có thể dẫn đến tử vong.

    • Nguyên nhân: Chủ yếu do vệ sinh răng miệng kém, ăn vặt và ăn nhiều đồ ngọt.
    • Điều trị: Thường các nha sĩ sẽ điều trị sâu răng bằng cách vệ sinh bằng máy móc chuyên dụng để loại bỏ vi khuẩn và hàn lại lỗ hổng để bịt kín lỗ sâu răng. Từ đó không cho vi khuẩn xâm nhập lại.
    Các bệnh răng miệng nguy hiểm thường gặp 2 Sâu răng khi chuyển biến nặng sẽ kéo theo rất nhiều biến chứng nguy hiểm

    Hôi miệng

    Tuy không phải là một bệnh lý nguy hiểm nhưng hôi miệng lại ảnh hưởng rất nhiều đến cuộc sống hàng ngày. Đôi khi, nó làm người bệnh tự ti trong giao tiếp hàng ngày và làm giảm hiệu quả công việc.

    • Nguyên nhân: Vệ sinh răng miệng kém tạo cơ hội cho các vi khuẩn phát triển. Có thể do các thức ăn còn sót lại trong kẽ răng lâu ngày bị phân hủy gây ra mùi hôi. Lượng nước bọt ít, không đủ làm sạch răng cũng là nguyên nhân gây hôi miệng. Ngoài ra cũng có thể do bạn bị hở van dạ dày hoặc mắc các bệnh về phổi như viêm, nhiễm trùng, ung thư phổi.
    • Điều trị: Chủ yếu vẫn là vệ sinh răng miệng đúng cách để loại bỏ tối đa các thức ăn thừa còn sót lại sau khi ăn. Nếu hôi miệng do những nguyên nhân từ bệnh lý kể trên thì hãy đến bác sĩ để được thăm khám và điều trị.

    Răng nhạy cảm

    Răng nhạy cảm cũng là một tình trạng hay gặp. Dễ nhận thấy nhất là cảm giác ê buốt khi ta ăn hoặc uống những đồ nóng, lạnh. Cảm giác ê buốt răng rất khó chịu, đôi khi còn nó còn làm bạn đau đầu.

    • Nguyên nhân: Có thể do răng của bạn đang bị mòn khiến chân răng bị lộ, ảnh hưởng đến tủy răng gây ra cảm giác ê buốt.
    • Điều trị: Hạn chế ăn, uống đồ quá nóng hoặc quá lạnh, chọn loại kem đánh răng có tác dụng chống ê buốt. Nếu các cách trên không làm tình trạng răng ê buốt thuyên giảm, bạn có thể phải chữa bằng các phương pháp khác như trám răng, chữa tủy răng.

    Viêm nha chu

    Viêm nha chu là bệnh gây tổn thương đến lợi, xương răng và các dây chằng quanh răng. Bệnh gây đau, chảy máu răng, hơi thở có mùi, nướu đỏ bị sưng tấy và có thể khiến răng bị lung lay và mất răng.

    Những biến chứng nặng hơn từ bệnh như đau đầu (đau thái dương), gây khó khăn khi nhai từ đó dễ dẫn đến bệnh đau dạ dày và ảnh hưởng nhiều đến việc tiêu hóa.

    • Nguyên nhân: Viêm nha chu cũng do các vi khuẩn chứa trong mảng bám và cao răng dẫn đến tổn thương lợi. Ngoài ra bệnh cũng có thể do các yếu tố bên trong gây nên như suy dinh dưỡng hay thiếu vitamin C, sức đề kháng kém hoặc do thay đổi nội tiết trong thời gian dậy thì.
    • Điều trị: Hiện vẫn chưa có phương pháp điều trị viêm nha chu hiệu quả. Do vậy, hãy phòng ngừa bệnh từ sớm như vệ sinh răng miệng thường xuyên, bổ sung vitamin C hàng ngày để có được sức đề kháng tốt.

    Vôi hóa tuyến nước bọt

    Vôi hóa tuyến nước bọt cũng là một bệnh răng miệng phổ biến. Bệnh rất dễ phát hiện nhưng thường hay bị mọi người bỏ qua.

    • Nguyên nhân: Do lượng canxi trong nước bọt bị lắng đọng xung quanh khối viêm lâu ngày tạo thành những viên sỏi. Tuyến nước bọt bị những viên sỏi chắn ngang nên khi nhai thức ăn sẽ khiến tuyến nước bọt bị sưng và phồng lên. Sỏi bị tắc nghẽn lâu ngày sẽ gây ra viêm tấy, có thể gây áp xe và sưng to, đau hàm. Nặng nhất có thể gây tổn thương hệ thần kinh của cơ mặt, dẫn đến liệt mặt.
    • Điều trị: Phương pháp điều trị vôi hóa tuyến nước bọt hiện nay là phẫu thuật lấy sỏi. Nhưng trong trường hợp viên sỏi lớn thì có thể phải cắt cả tuyến nước bọt.

    Biến chứng do răng khôn

    Khi đến độ tuổi trưởng thành, đa số chúng ta đều mọc răng khôn. Răng khôn là răng mọc muộn nhất, và thường là không còn đủ chỗ trên khung hàm, dẫn đến răng mọc bị lệch, mọc ngầm gây ảnh hưởng đến các răng lân cận.

    • Nguyên nhân: Do răng bị mọc lệch, chèn và xô đẩy các răng xung quanh gây ra sự mất cân bằng ở khung hàm.
    • Điều trị: Nếu răng khôn mọc lệch và sưng tấy ở vùng lợi, có cảm giác đau nhức, hãy nhờ sự can thiệp từ bác sĩ nha khoa để nhổ và loại bỏ răng đó trước khi nó gây ra biến chứng nặng hơn.
    Các bệnh răng miệng nguy hiểm thường gặp 3 Răng khôn mọc ngầm và mọc lệch sẽ làm ảnh hưởng đến các răng lân cận

    Viêm tủy răng

    Viêm tủy răng thường có các biểu hiện như đau đầu từng cơn dữ dội, rùng mình khi thức ăn và đồ uống lọt vào chỗ sâu. Một số biến chứng nặng có thể xuất hiện những bọc mủ, sốt cao…

    • Nguyên nhân: Chủ yếu là do vi khuẩn từ bệnh sâu răng gây ra. Ngoài ra, bệnh còn do ảnh hưởng từ việc tiếp xúc phải các hóa chất gây ăn mòn răng, do va đập làm răng bị sứt mẻ làm đứt các mạch máu nuôi tủy răng.
    • Điều trị: Khi bị viêm tủy răng, hãy nhờ sự giúp đỡ từ nha sĩ để có những phương pháp chữa trị tủy răng.

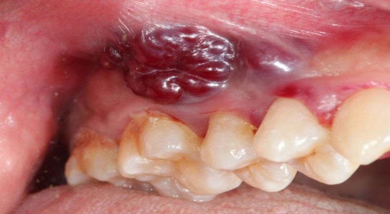
    Ung thư răng

    Đây có thể nói là một trong các bệnh răng miệng nguy hiểm nhất. Nếu không phát hiện ở giai đoạn sớm và điều trị kịp thời, có thể ảnh hưởng đến tính mạng. Bệnh có thể gặp ở bất kỳ đối tượng và độ tuổi nào. Nhưng nhiều hơn là ở những người hay hút thuốc, uống nhiều bia rượu và vệ sinh răng miệng kém.

    • Nguyên nhân: Do sự hình thành và phát triển của các tế bào ung thư trong nướu răng.
    • Điều trị: Khi mắc các bệnh về ung thư nói chung, chắc chắn phải điều trị theo phác đồ của bác sĩ đưa ra. Tùy theo bệnh phát hiện ở giai đoạn sớm hay muộn, bác sĩ sẽ chỉ định các các phương pháp như phẫu thuật, xạ trị hoặc hóa trị.
    Các bệnh răng miệng nguy hiểm thường gặp 4 Ung thư răng là một trong các bệnh răng miệng nguy hiểm nhất

    Phòng ngừa các bệnh về răng

    Các bệnh về răng tuy phổ biến nhưng lại không khó để phòng ngừa từ sớm. Các biện pháp phòng ngừa thường rất đơn giản và quen thuộc với chúng ta trong cuộc sống hàng ngày. Tuy nhiên, không phải ai cũng có thể thực hiện tốt và đầy đủ những điều này. Chủ yếu do tâm lý chủ quan mà không để ý và chăm sóc kỹ lưỡng cho răng miệng.

    Dưới đây là một số biện pháp đơn giản phần nào giúp bạn tránh được những biến chứng nặng hơn do các bệnh răng miệng nguy hiểm gây ra:

    • Vệ sinh răng miệng thường xuyên, nên đánh răng ít nhất 2 lần mỗi ngày.
    • Chải răng đúng cách, tránh chải quá mạnh gây ra tổn thương lợi.
    • Nên dùng kem đánh răng phù hợp với tình trạng răng lợi của mình.
    • Sử dụng nước muối loãng hoặc các sản phẩm nước súc miệng sau khi ăn.
    • Tránh ăn nhiều các đồ quá nóng hoặc quá lạnh, những đồ ngọt và cay.
    • Bổ sung vitamin C và các dưỡng chất hàng ngày giúp cơ thể có sức đề kháng tốt hơn.
    • Hạn chế ăn vặt.
    • Nên dùng các loại chỉ nha khoa để có thể loại bỏ tối đa cá thức ăn hoặc mảng bám còn sót lại sau khi ăn.
    • Không nên uống rượu, bia, cà phê quá nhiều.
    • Lấy cao răng thường xuyên.
    • Nên đặt lịch khám và kiểm tra răng định kỳ để có thể phòng ngừa cũng như phát hiện sớm những tiềm ẩn của các bệnh răng miệng nguy hiểm khác.

    Có thể nói, các vấn đề về răng ban đầu tưởng chừng như rất đơn giản, nhưng nếu không biết cách phòng ngừa, phát hiện sớm để điều trị thì nó sẽ trở thành các bệnh răng miệng nguy hiểm và để lại những hậu quả rất nghiêm trọng. Hãy cố gắng chăm sóc răng miệng của mình thật tốt. Khi các vấn đề về răng miệng không còn là nỗi ám ảnh, bạn sẽ có tâm lý thoải mái và tự tin hơn trong giao tiếp hàng ngày, điều đó góp phần không nhỏ để bạn đạt được hiệu quả cao trong công việc cũng như các mối quan hệ xung quanh. Chúc bạn luôn có một nụ cười rạng rỡ và tự tin!

    Ánh Vũ

    Nguồn tham khảo: Tổng hợp

    Có thể bạn quan tâm

    Thông tin và sản phẩm gợi ý trong bài viết chỉ mang tính chất tham khảo, vui lòng liên hệ với Bác sĩ, Dược sĩ hoặc chuyên viên y tế để được tư vấn cụ thể. Xem thêm

    Dược sĩ Đại họcNgô Kim Thúy

    Đã kiểm duyệt nội dung

    Tốt nghiệp loại giỏi trường Đại học Y Dược Huế. Từng tham gia nghiên cứu khoa học đề tài về Dược liệu. Nhiều năm kinh nghiệm làm việc trong lĩnh vực Dược phẩm. Hiện đang là giảng viên cho Dược sĩ tại Nhà thuốc Long Châu.

    Xem thêm thông tin