Dược sĩ chuyên ngành Dược lâm sàng, với nhiều năm kinh nghiệm làm việc trong lĩnh vực dược phẩm. Là Dược sĩ Long Châu đạt được chứng chỉ bệnh học cấp quốc tế. Hiện đang là giảng viên tại Trung tâm Đào tạo FPT Long Châu.
21/06/2023
Mặc định
Lớn hơn
Cao răng hình thành như thế nào? Việc lấy cao răng thường xuyên có ảnh hưởng gì đến men răng hay không? Chăm sóc phòng ngừa cao răng như thế nào?
Cao răng là một trong những thủ phạm gây nên nhiều vấn đề về răng miệng và ảnh hưởng tới thẩm mỹ của hàm răng bạn. Hiểu rõ về cao răng cũng là biện pháp giúp bạn phòng ngừa và nâng cao sức khỏe răng miệng. Vậy cao răng hình thành như thế nào và lấy cao răng có ảnh hưởng gì đến răng miệng không? Tất cả sẽ được giải đáp ngay trong bài viết dưới đây.
Có một sự thật mà bạn cần biết đó chính là ngay cả khi bạn đã chăm sóc răng miệng một cách đầy đủ tại nhà thì trong khoang miệng luôn hiện hữu nhiều loại vi khuẩn gây hại.
Những con vi khuẩn có thể dễ dàng trộn lẫn với protein trong thức ăn thừa dính trên răng và các sản phẩm phụ của thức ăn để tạo thành một màng dính gọi là mảng bám răng hay cao răng. Đây chính là quá trình hình thành cao răng.

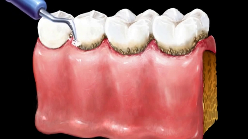
Cao răng hình thành tạo thành mảng bám trên răng.
Cao răng có thể bao phủ trên bề mặt răng, xung quanh chân răng (đường viền nướu) và lâu dài có thể làm hỏng men răng, dẫn tới sâu răng.
Câu trả lời là việc lấy cao răng không ảnh hưởng tới cấu trúc và hoạt động của răng, mà ngược lại việc lấy cao răng giúp bạn phòng ngừa hàng loạt các vấn đề về răng miệng.
Lý do cũng là bởi vì hiện nay có nhiều phương pháp hiện đại ra đời giúp cho việc lấy răng trở nên dễ dàng và an toàn hơn rất nhiều, chẳng hạn như sử dụng các thiết bị siêu âm hoặc thổi cát... để lấy vôi răng.
Tuy nhiên, bạn nên tới những cơ sở nha khoa uy tín và đảm bảo chất lượng để được tư vấn và lấy cao răng một cách kỹ lưỡng. Bởi nếu lấy cao răng ở những nơi mà bác sĩ có tay nghề không tốt thì có thể khiến cho răng ê buốt hoặc chảy máu chân răng.
Một nụ cười tỏa nắng với hàm răng trắng sáng sẽ giúp bạn tự tin hơn rất nhiều trong cuộc sống. Và để có được điều này thì trước tiên bạn cần bỏ túi ngay cho mình một số bí quyết giúp phòng ngừa sự hình thành cao răng như sau:
Theo Hiệp hội Nha khoa Hoa Kỳ (ADA), việc đánh răng 2 lần một ngày trong hai phút sẽ giữ cho hàm răng của bạn ở trạng thái tốt nhất. Ngoài ra hãy chải sạch lưỡi bằng bàn chải đánh răng lông mềm, chải kỹ các khe răng bằng kem đánh răng có chứa florua để giúp làm sạch thức ăn và loại bỏ vi khuẩn khỏi miệng.

Đánh răng sạch sẽ hàng ngày.
Một số Hiệp hội nha khoa ở châu Âu đã phát đi các cảnh bảo về tác hại của nước ngọt đối với sức khỏe của trẻ (có chứa thành phần soda) và răng miệng. Bởi trong loại nước này có chứa nhiều axit có thể tấn công răng lợi, làm ăn mòn răng.
Điều này kéo dài sẽ dẫn tới sự hình thành các lỗ sâu răng, để lại các mảng bám và ăn mòn cấu trúc bên trong răng. Chính vì thế, để tránh những tổn thương ở răng thì bạn hãy hạn chế uống nước ngọt, các loại rượu bia và chăm sóc răng miệng thật tốt nhé.
Chúng ta thường có thói quen dùng tăm xỉa răng để lấy thức ăn dính lại trong các kẽ răng. Điều này là rất nguy hại bởi xỉa răng bằng tăm có thể làm thưa răng và gây chảy máu chân răng.
Vì vậy, để hạn chế tình trạng này thì các nha sĩ khuyên bạn nên sử dụng chỉ nha khoa hàng ngày để loại bỏ triệt để đồ ăn thừa có sót lại trong các khe răng và ngăn ngừa sự tích tụ của cao răng. Không những vậy, chỉ nha khoa còn không gây ảnh hưởng gì tới cấu trúc của răng, làm răng không bị thưa như tăm xỉa răng.

Dùng chỉ nha khoa vệ sinh răng miệng hàng ngày.
Nếu bạn cảm thấy việc sử dụng bàn chải đánh răng bằng sợi lông mềm chưa hiệu quả trong việc vệ sinh răng miệng thì bạn có thể sử dụng biện pháp thay thế đó chính là dùng bàn chải đánh răng điện tử.
Ở nước ta, hình thức sử dụng bàn chải đánh răng điện tử tuy còn nhiều mới lạ nhưng chúng đã sử dụng từ rất lâu đời tại châu Âu và các nước phương tây.
Các nghiên cứu đã phát hiện ra rằng bàn chải đánh răng điện tử hoặc có nguồn điện có thể loại bỏ mảng bám tốt hơn rất nhiều so với các loại bàn chải thủ công. Tuy nhiên, hãy lựa chọn thật kỹ lưỡng để lựa chọn được bàn chải điện tử có chất lượng tốt nhé bạn.
Không chỉ giúp hạn chế các bệnh liên quan tới vùng hầu họng mà việc súc miệng bằng nước muối, bằng các dung dịch sát khuẩn còn giúp loại bỏ những loại vi khuẩn gây ra mảng bám hay cao răng. Do đó, bạn nên sử dụng chúng hàng ngày, mỗi ngày hãy súc miệng ít nhất là 3 lần.
Hy vọng rằng qua những thông tin mà bài viết đã chia sẻ đã giúp bạn có thêm nhiều thông tin về cao răng hình thành như thế nào và lấy cao răng có ảnh hưởng gì đến răng không. Chúc bạn sẽ luôn chăm sóc răng miệng thật tốt và tự tin với nụ cười trắng sáng của mình.
Lâm Khuê
Dược sĩ Đại họcPhạm Nguyễn Hoàng Kim
Dược sĩ chuyên ngành Dược lâm sàng, với nhiều năm kinh nghiệm làm việc trong lĩnh vực dược phẩm. Là Dược sĩ Long Châu đạt được chứng chỉ bệnh học cấp quốc tế. Hiện đang là giảng viên tại Trung tâm Đào tạo FPT Long Châu.