Tốt nghiệp Đại Học Dược Hà Nội - chuyên môn Dược lâm sàng. Hiện đang là giảng viên cho Dược sĩ tại Nhà thuốc Long Châu.
21/06/2023
Mặc định
Lớn hơn
Những biến đổi bất thường trong quá trình phát triển của hệ xương khớp của trẻ sẽ gây ra các khối u xương ác tính. Dưới đây là những cách chẩn đoán về Sarcoma xương ở trẻ em và thanh thiếu niên.
Việc nhận biết sớm các khối u xương ác tính có vai trò vô cùng quan trọng, góp phần rút ngắn thời gian điều trị bệnh và tìm ra phương pháp điều trị hiệu quả. Bằng các phương pháp chẩn đoán Sarcoma xương phổ biến hiện nay, người bệnh hoàn toàn sẽ biết được chính xác tình trạng bệnh của mình hiện tại, thậm chí là tiên lượng được thời gian sống của bản thân.
Đối với ung thư nói chung và Sarcoma xương nói riêng, sinh thiết là phương pháp chắc chắn nhất giúp bác sĩ biết được một bộ phận cơ thể có bị ung thư hay không. Bên cạnh phương pháp này, bệnh nhân còn được chỉ định làm các xét nghiệm khác, phụ thuộc vào các yếu tố như:
Sau khi thăm khám lâm sàng, các bác sĩ sẽ yêu cầu thực hiện các xét nghiệm trong trường hợp nghi ngờ u xương ác tính. Cụ thể:
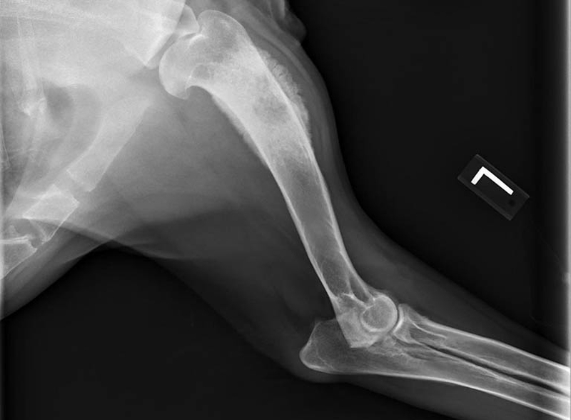
Chụp X-quang là phương pháp phản ánh hình ảnh của các cấu trúc bên trong cơ thể bằng cách sử dụng một lượng nhỏ bức xạ. Các bác sĩ sẽ chụp X-quang ở những khu vực bị sưng phù hoặc có u cục. Đây rất có thể là dấu hiệu bất thường cảnh báo sự xuất hiện của Sarcoma xương.
Chụp X-quang cho kết quả chính xác về Sarcoma xương
Chụp cắt lớp vi tính là phương pháp sử dụng tia X chụp từ các góc khác nhau để tạo nên những hình ảnh của các bộ phận bên trong cơ thể. Sau đó, máy tính sẽ kết hợp những hình ảnh này thành một hình ảnh 3 chiều chi tiết, giúp phát hiện các khối u trong cơ thể. Khác với chụp X-quang, chụp CT có thể đo được chính xác kích thước của khối u.
Thông thường, xét nghiệm này thường được sử dụng để khảo sát phổi – nơi mà Sarcoma xương (u xương ác tính) hay di căn. CT scan cũng có thể được sử dụng tại vị trí khối u ban đầu để xác định các đặc điểm của khối u và sự liên quan của nó với các cấu trúc quan trọng khác. Xét nghiệm này sẽ được thực hiện trước khi sinh thiết để đảm bảo việc sinh thiết được thực hiện chính xác.
Phương pháp MRI sử dụng từ trường để tạo ra các hình ảnh chi tiết của cơ thể. MRI cũng có thể được sử dụng để đo kích thước của khối u. MRI tạo ra hình ảnh dựa trên những đặc tính vật lý khác nhau của khối u. Phương pháp này được sử dụng để đánh giá thêm về vị trí khối u ban đầu. Tương tự như CT scan, MRI giúp bác sĩ lên kế hoạch phẫu thuật cắt bỏ khối u được chính xác hơn.
Chụp MRI là phương pháp thường được áp dụng trong chẩn đoán u xương ác tính
Chụp PET thường được kết hợp với phương pháp chụp CT scan. Đây là một cách để các bác sĩ quan sát các cơ quan và mô bên trong cơ thể. Trước khi tiến hành chụp PET, một lượng nhỏ hợp chất đường phóng xạ sẽ được tiêm vào cơ thể bệnh nhân, sau đó được hấp thụ bởi các tế bào. Nguyên nhân là do các tế bào ung thư có xu hướng sử dụng nhiều năng lượng. Vì vậy, nó sẽ hấp thụ chất phóng xạ này nhiều hơn. Chính nhờ điều này, máy quét sẽ phát hiện ra nơi tích tụ hợp chất này để xác định vị trí khối u đã di căn xa vị trí khối u ban đầu.
Xạ hình xương là phương pháp sử dụng chất đồng vị phóng xạ để khảo sát bên trong xương. Chất đồng vị phóng xạ sẽ được tiêm vào tĩnh mạch của bệnh nhân và sau đó, chúng được lưu giữ tại các vùng khác nhau của xương và một máy quét đặc biệt được sử dụng để phát hiện ra các chất này. Những vùng xương khỏe mạnh sẽ thể hiện màu xám trên máy quét, trong khi đó, những vùng xương bất thường, thường là những vùng gây ra bởi khối u, sẽ hiện ra màu đen. Xạ hình xương là phương pháp giúp xác định xem liệu u xương ác tính đã lan tràn sang các xương khác ngoài vị trí ban đầu hay chưa.
Sinh thiết là phương pháp lấy một lượng mô nhỏ để phân tích dưới kính hiển vi. Các xét nghiệm khác có thể chỉ ra các dấu hiệu của ung thư, tuy nhiên chỉ có sinh thiết mới có thể chẩn đoán chính xác được vị trí cũng như kích thước của khối u.
Sinh thiết thường được tiến hành trong lúc phẫu thuật. Tuy nhiên, các bác sĩ cũng có thể sử dụng phương pháp sinh thiết bằng cách lấy mô bằng kim. Sarcoma xương (u xương ác tính) sẽ hiện lên rõ ràng dưới góc độ của kính hiển vi. Ngoài ra, các bác sĩ có thể tiến hành phân tích gen hoặc các đặc điểm khác của các tế bào ung thư, thường là để phân biệt u xương ác tính với các loại ung thư khác có các đặc điểm di truyền đặc trưng hơn.
Mẫu mô sau khi sinh thiết được quan sát dưới kính hiển vi
Sau khi thực hiện xong các xét nghiệm hỗ trợ chẩn đoán, bác sĩ sẽ thông báo kết quả cho bệnh nhân và gia đình. Vì vậy, nếu phát hiện ra trên cơ thể trẻ có bất cứ dấu hiệu bất thường nào, đừng ngần ngại mà hãy cho con đến thăm khám tại các cơ sở y tế uy tín để được điều trị kịp thời. Mong rằng bài viết về các cách chẩn đoán Sarcoma xương ở trẻ em và thanh thiếu niên đã mang đến cho bạn nhiều thông tin bổ ích.
Thu Trang
Nguồn tham khảo: Yhoccongdong.com
:format(webp)/KF_1b_LIQ_Tx_J_Pb27_Vsh90_QN_6b_Xz_OB_Jo_U_f0e2294e2e.png)
Dược sĩ Đại họcNguyễn Chí Chương
Tốt nghiệp Đại Học Dược Hà Nội - chuyên môn Dược lâm sàng. Hiện đang là giảng viên cho Dược sĩ tại Nhà thuốc Long Châu.