• Thực phẩm chức năng

  • Dược mỹ phẩm

  • Thuốc

  • Chăm sóc cá nhân

  • Thiết bị y tế

  • Tiêm chủng

  • Bệnh & Góc sức khỏe

  • Hệ thống nhà thuốc

    1. /
    2. Góc sức khỏe/
    3. Mẹ & bé

    Cách nhận biết dính thắng lưỡi ở trẻ em

    21/06/2023

    Kích thước chữ

    Dính thắng lưỡi vốn là một dạng dị tật bẩm sinh có thể xảy ra ở trẻ nhỏ. Tuy vậy, không phải bất cứ bố mẹ nào cũng biết cách nhận biết dính thắng lưỡi để có thể đưa ra hướng khắc phục kịp thời.

    Dính thắng lưỡi có thể làm hạn chế quá trình cử động bình thường ở lưỡi và sự phát âm ở trẻ nhỏ. Thông qua một vài dấu hiệu cơ bản, cha mẹ hoàn toàn có thể biết được cách nhận biết dính thắng lưỡi.

    Bệnh dính thắng lưỡi là gì?

    Dính thắng lưỡi là một dị tật xuất hiện khi trẻ vừa mới chào đời. Nguyên nhân dẫn đến tình trạng này là do dây thắng lưỡi bị ngắn và khiến cho hoạt động của lưỡi bị hạn chế.

    Theo kết quả khảo sát cho thấy, có tới 5% số trẻ nhỏ bị dính thắng lưỡi và được phát hiện ngay từ tháng đầu tiên khi vừa chào đời nhờ vào việc thăm khám sức khỏe hoặc tiêm chủng. So với nữ giới thì tỷ lệ mắc dính thắng lưỡi ở bé nam thường cao hơn. Trên thực tế, trẻ có thể bị dính thắng lưỡi ít hoặc nhiều.

    Cách nhận biết dính thắng lưỡi ở trẻ em1 Tật dính thắng lưỡi gây cản trở đến các hoạt động hàng ngày

    Tùy thuộc vào chiều dài của thắng lưỡi mà mức độ dính thắng lưỡi sẽ có sự khác nhau. Chiều dài của dính thắng lưỡi được tính từ nơi bám tại sàn miệng tới vị trí bám vào của lưỡi. Cấp độ của dính thắng lưỡi được chia ra làm những mức độ như sau:

    • Mức độ 1: Nếu chiều dài của dính thắng lưỡi từ 12 đến 16 mm thì đầu lưỡi vẫn có thể chạm được vào vòm khẩu cái cứng và đưa được sang cả hai bên.
    • Mức độ 2: Với chiều dài thắng lưỡi từ 8 đến 11 mm thì chuyển động của đầu lưỡi khá hạn chế và không thể chạm vào được vòm khẩu cái cứng.
    • Mức độ 3: Với chiều dài thắng lưỡi từ 3 đến 7mm thì đầu lưỡi sẽ chuyển động rất khén và hầu như dính chặt vào sàn miệng.
    • Mức độ 4: Nếu chiều dài của thắng lưỡi nhỏ hơn 3mm thì tình trạng này được gọi là dính thắng lưỡi hoàn toàn.

    Cách nhận biết dính thắng lưỡi ở trẻ em

    Đối với trẻ nhỏ, tật dính thắng lưỡi tốt nhất là cần phải được phát hiện kịp thời để tránh những ảnh hưởng tiêu cực đến việc ăn uống cũng như phát âm ở trẻ nhỏ. Ngay sau khi phát hiện ra những dấu hiệu bất thường của dính thắng lưỡi, cha mẹ nên đưa trẻ đi thăm khám tại các cơ sở y tế.

    Những dấu hiệu của tật dính thắng lưỡi ở trẻ nhỏ:

    • Thắng lưỡi của trẻ ngắn và lưỡi khó có thể cử động như bình thường.
    • Đầu lưỡi trẻ không thè ra bên ngoài của môi hoặc không đụng được vào nóc của vòm họng.
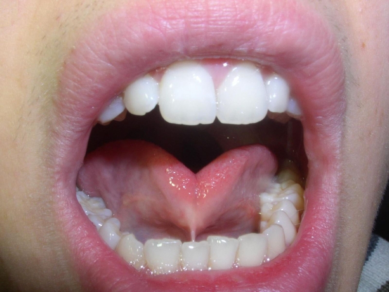
    • Đầu lưỡi thường có hình trái tim mỗi khi trẻ khóc.
    • Khi trẻ thè lưỡi thì lưỡi có hình nhọn hoặc hình vuông.
    • Răng cửa tại hàm dưới bị hở bất thường hoặc có tình trạng bị nghiêng.
    • Trẻ gặp vấn đề khó khăn mỗi khi bú và phát âm khó hơi so với bình thường.
    Cách nhận biết dính thắng lưỡi ở trẻ em2 Trẻ khó khăn khi phát âm là một trong số các cách nhận biết dính thắng lưỡi

    Những ảnh hưởng của dính thắng lưỡi đối với trẻ

    Mặc dù không phải là một bệnh lý ảnh hưởng trực tiếp đến sức khỏe của trẻ nhưng nếu tật dính thắng lưỡi không được phát hiện cũng như điều trị kịp thời thì sẽ khiến cho trẻ gặp phải những vấn đề nhất định:

    • Khả năng vận động của lưỡi bị hạn chế, lưỡi khó chuyển động hơn so với bình thường.
    • Trẻ sơ sinh khi bị dính thắng lưỡi sẽ gặp nhiều khó khăn hơn trong việc bú sữa mẹ. Điều này sẽ khiến cho thể chất của trẻ bị ảnh hưởng như tăng cân kém, chậm phát triển, quấy khóc…
    • Gây khó khăn cho việc phát âm và quá trình nhai nuốt ở trẻ.
    • Tật dính thắng lưỡi sẽ có thể khiến cho việc mọc răng ở trẻ bị lệch hoặc mọc nghiêng ngoài ý muốn, gây mất thẩm mỹ.

    Cách điều trị tật dính thắng lưỡi ở trẻ

    Nếu như trẻ bị dính thắng lưỡi ở cấp độ 1 và cấp độ 2 thì sẽ được các bác sĩ chỉ định theo dõi tình trạng. Nếu như dính thắng lưỡi ở mức độ 3 hoặc 4 thì cần phải có sự can thiệp kịp thời. Trong số đó, phẫu thuật cắt dính thắng lưỡi chính là phương án điều trị khá đơn giản và được sử dụng nhiều trong điều trị tật dính thắng lưỡi ở trẻ.

    Hầu hết các bậc phụ huynh đều tỏ ra lo lắng và không biết nếu phẫu thuật cắt dính thắng lưỡi có nguy hiểm không. Trên thực tế, phẫu thuật dính thắng lưỡi ở trẻ được thực hiện khá đơn giản, không hề gây nguy hiểm, tuy nhiên, để đảm bảo sự an toàn cho bé và ngăn ngừa những biến chứng phẫu thuật có thể xảy ra thì tốt nhất là bé cần phải được thực hiện phẫu thuật tại những cơ sở uy tín.

    Cách nhận biết dính thắng lưỡi ở trẻ em3 Phẫu thuật cắt dính thắng lưỡi

    Nếu như cần phải cắt dính thắng lưỡi, bố mẹ nên cho bé thực hiện việc điều trị càng sớm càng tốt. Tùy vào từng độ tuổi mà phương pháp phẫu thuật sẽ được thực hiện khác nhau. Đa số các bé chỉ cần gây tê tại chỗ (thực hiện tại cơ sở y tế) và nếu gây mê toàn thân thì cần phải nhập viện để tiến hành. Trẻ sau khi được cắt dính dây thắng lưỡi bằng gây tê có thể ra về ngay trong ngày, sử dụng thuốc giảm đau thông thường. Trẻ có thể uống sữa lạnh hay bú mẹ sau 30 phút cắt.

    Bài viết trên đã chia sẻ tới các bạn cách nhận biết dính thắng lưỡi và cách điều trị dị tật này. Khi nhận thấy trẻ có các triệu chứng điển hình của dính thắng lưỡi, phụ huynh nên đưa trẻ đi thăm khám và điều trị càng sớm càng tốt nhé.

    Lê Hồng

    Nguồn tham khảo: Tổng hợp

    Thông tin và sản phẩm gợi ý trong bài viết chỉ mang tính chất tham khảo, vui lòng liên hệ với Bác sĩ, Dược sĩ hoặc chuyên viên y tế để được tư vấn cụ thể. Xem thêm

    Dược sĩ Đại họcNguyễn Thị Thảo Nguyên

    Đã kiểm duyệt nội dung

    Tốt nghiệp Khoa Dược trường Đại học Nam Cần Thơ. Có nhiều năm kinh nghiệm công tác trong lĩnh vực Dược phẩm. Hiện đang giảng viên cho Dược sĩ tại Nhà thuốc Long Châu.

    Xem thêm thông tin