• Thực phẩm chức năng

  • Dược mỹ phẩm

  • Thuốc

  • Chăm sóc cá nhân

  • Thiết bị y tế

  • Tiêm chủng

  • Bệnh & Góc sức khỏe

  • Hệ thống nhà thuốc

    1. /
    2. Góc sức khỏe/
    3. Phòng bệnh & Sống khoẻ

    Có bao nhiêu cách chữa cười hở lợi và hướng dẫn chăm sóc sau phẫu thuật?

    21/06/2023

    Kích thước chữ

    Cười hở lợi không chỉ ảnh hưởng đến thẩm mỹ, khiến người bệnh mất tự tin trong giao tiếp mà còn có thể dẫn đến nhiều bệnh lý răng miệng nguy hiểm. Tìm cách chữa cười hở lợi càng sớm càng giảm thiểu nguy cơ gây ra các biến chứng nguy hiểm. Tìm hiểu thêm về các phương pháp điều trị cười hở lợi được các trung tâm nha khoa áp dụng ở bài viết dưới đây nhé.

    Nụ cười là biểu hiện duy nhất vượt qua sự khác biệt về ngôn ngữ, văn hóa, chủng tộc và giới tính. Vậy điều gì làm nên sức hút cho nụ cười của mỗi người? Nhìn chung, một nụ cười đẹp là sự kết hợp hài hòa của 3 yếu tố: Răng, môi và nướu. Nhưng sự hài hòa về màu sắc, hình dạng và cấu trúc của nướu là điều vô cùng quan trọng để tạo nên tính thẩm mỹ, vẻ đẹp cho nụ cười. Vậy thế nào là cười hở lợi? Cách chữa cười hở lợi như thế nào?

    Tìm hiểu nụ cười hở lợi là như thế nào?

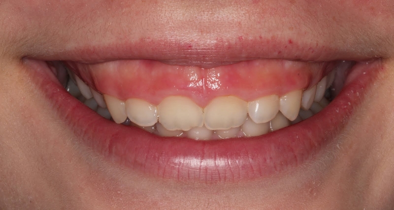
    Một nụ cười được coi là bình thường và thẩm mỹ khi nướu lộ ra ngoài không quá 2mm khi cười. Cười hở lợi là tình trạng phần nướu trên bị lộ ra ngoài quá mức khi cười khiến nụ cười kém duyên khiến người bị cảm thấy thiếu tự tin trong giao tiếp. Theo các bác sĩ nha khoa, cười hở lợi không phải là bệnh lý răng miệng mà chỉ gây mất thẩm mỹ khi cười. Tuy nhiên, trường hợp cười hở lợi cũng là một trong những dấu hiệu cảnh báo sức khỏe răng miệng đang gặp nguy hiểm nghiêm trọng. Cười hở lợi được chia thành các cấp độ cơ bản để bác sĩ có thể đưa ra phác đồ điều trị phù hợp nhất với tình trạng của từng người, cụ thể như sau:

    • Cười hở lợi nhẹ: Biểu hiện của tình trạng này là nụ cười lộ nướu trên 3mm và nhỏ hơn 25% chiều dài của răng.
    • Cười hở lợi vừa phải: Biểu hiện của tình trạng này là với nụ cười lộ ra nướu nhiều hơn 25% và ít hơn 50% chiều dài răng.
    • Cười hở lợi nặng: Biểu hiện của tình trạng này là khi cười, mô nướu bị lộ ra ngoài hơn 50% và nhỏ hơn chiều dài của răng.
    • Cười hở lợi rất nhiều: Biểu hiện của tình trạng này là khi cười, nướu lộ ra ngoài nhiều hơn so với chiều dài của răng.
    Có bao nhiêu cách chữa cười hở lợi và hướng dẫn chăm sóc sau phẫu thuật? 1 Nụ cười được coi là hở lợi khi nướu lộ ra ngoài quá 2mm

    Các phương pháp điều trị cười hở lợi

    Dựa vào nguyên nhân gây cười hở lợi, đánh giá mức độ và lựa chọn phương pháp điều trị hiệu quả để đảm bảo hiệu quả thẩm mỹ cao nhất, bác sĩ chuyên khoa cho biết, hiện nay có rất nhiều biện pháp chữa cười hở lợi. Tuy nhiên, các phương pháp phổ biến nhất vẫn là:

    Phương pháp 1: Nếu cười hở lợi do thân răng ngắn, phương pháp hiệu quả nhất trong trường hợp này là thực hiện phẫu thuật kéo dài thân răng, bao gồm cắt nướu hoặc dịch chuyển nướu về phía thân răng hoặc điều chỉnh xương ổ răng của hàm trên.

    Phương pháp 2: Nếu môi trên ngắn và gây cười hở lợi hãy thực hiện phẫu thuật thẩm mỹ để làm dài môi trên. Thông thường phương pháp này sẽ được thực hiện bởi bác sĩ phẫu thuật thẩm mỹ.

    Phương pháp 3: Nếu nguyên nhân là do cơ nâng môi trên, chuyên gia thực hiện điều trị bằng tiêm độc tố botulinum hoặc cắt và điều chỉnh lại cơ nâng của môi trên.

    Phương pháp 4: Nếu nguyên nhân do xương hàm phát triển quá mức. Bác sĩ sẽ tiến hành niềng răng kéo hàm trên để giảm hô, giảm hở nướu và kết hợp cắt nướu sau khi chỉnh nha. Trong những trường hợp nghiêm trọng, phẫu thuật dịch chuyển hàm trên có thể được yêu cầu để cải thiện tính thẩm mỹ của gương mặt.

    Tìm hiểu: Đồng tiền trên má

    Quy trình cách chữa cười hở lợi hiện nay

    Dù phẫu thuật hay không phẫu thuật, điều trị cắt nướu răng cần được thực hiện tại cơ sở nha khoa có bác sĩ nhiều kinh nghiệm chuyên môn, trang thiết bị hiện đại để đảm bảo hiệu quả và an toàn cho mọi bệnh nhân. Quy trình điều trị cười hở lợi được áp dụng phổ biến tại nha khoa như sau:

    Bước 1: Thăm khám, tư vấn để bác sĩ xác định nguyên nhân và mức độ tụt lợi. Từ đó có thể đưa ra phác đồ điều trị phù hợp và an toàn nhất cho từng người.

    Bước 2: Làm sạch khoang miệng để loại bỏ vi khuẩn có thể gây viêm nhiễm trong quá trình phẫu thuật. Sau đó bác sĩ sẽ gây tê nhẹ vùng nướu bị cắt để giảm đau và giúp người bệnh thoải mái hơn trong quá trình phẫu thuật.

    Bước 3: Phẫu thuật cắt bỏ phần nướu thừa bằng trang thiết bị hiện đại được thực hiện bởi bác sĩ giỏi chuyên môn và giàu kinh nghiệm.

    Bước 4: Vệ sinh răng miệng và kết thúc quá trình phẫu thuật. Sau đó bác sĩ sẽ kê đơn thuốc kháng sinh và hướng dẫn bệnh nhân cách chăm sóc răng miệng tại nhà và sắp xếp lịch tái khám để kiểm tra tình trạng sức khỏe răng miệng một cách tốt nhất.

    Có bao nhiêu cách chữa cười hở lợi và hướng dẫn chăm sóc sau phẫu thuật? 2 Trước khi phẫu thuật cắt lợi phải đảm bảo các bệnh lý răng miệng đã được điều trị dứt điểm

    Cách chăm sóc sau khi cắt lợi

    Lựa chọn thức ăn phù hợp

    Sau khi tiểu phẫu cắt lợi nên chọn những thức ăn mềm, dễ nuốt để hạn chế ảnh hưởng đến vết thương. Bạn nên hạn chế các loại thực phẩm như thịt gà, đồ nếp, rau muống, thịt bò,… vì dễ khiến vết thương lâu lành hơn. Tránh ăn những thức ăn quá cứng và dai để đảm bảo thức ăn không dính vào vùng tiểu phẫu nướu.

    Uống thuốc theo đơn của bác sĩ

    Ngoài thói quen ăn uống, sau phẫu thuật nướu bác sĩ sẽ kê đơn thuốc để hạn đau nhức sau khi hết thuốc tê. Một số trường hợp có thể không cần dùng thuốc vì cơ địa không cảm thấy đau sau phẫu thuật, cảm giác như bị kiến ​​cắn một thời gian và kết thúc.

    Có bao nhiêu cách chữa cười hở lợi và hướng dẫn chăm sóc sau phẫu thuật? 3 Tuân thủ hướng dẫn uống thuốc của bác sĩ để hạn chế đau nhức răng sau khi hết thuốc tê

    Tuân thủ hướng dẫn của bác sĩ

    Sau tiểu phẫu, khi thuốc tê hết tác dụng, bạn sẽ cảm thấy hơi tê và máu hơi rỉ. Lúc này bác sĩ khuyên bạn nên cắn mạnh vào miếng bông, sau 30 phút thay bông cho đến khi máu ngừng chảy. Ngoài ra, với những vấn đề như chảy máu dai dẳng và đau dữ dội, bạn nên quay lại nha khoa để được bác sĩ thăm khám và xử lý. Tránh vận động mạnh, cười nhiều, tránh các chất kích thích như rượu hoặc thuốc lá. Đồng thời, nên kết hợp vệ sinh răng miệng nhẹ nhàng, tránh chạm vào vùng nướu.

    Hiện nay có rất nhiều cách chữa cười hở lợi tuỳ vào từng trường hợp mà các bác sĩ ở trung tâm nha khoa sẽ áp dụng để giúp mọi người có được nụ cười tự tin và rạng rỡ hơn. Bạn phải lựa chọn địa chỉ nha khoa được cấp phép, uy tín và được bác sĩ nha khoa có chuyên môn cao thăm khám, tư vấn và điều trị đúng cách.

    Cao Hiếu

    Nguồn tham khảo: Tổng hợp

    Có thể bạn quan tâm

    Thông tin và sản phẩm gợi ý trong bài viết chỉ mang tính chất tham khảo, vui lòng liên hệ với Bác sĩ, Dược sĩ hoặc chuyên viên y tế để được tư vấn cụ thể. Xem thêm

    Dược sĩ Đại họcNguyễn Thanh Hải

    Đã kiểm duyệt nội dung

    Tốt nghiệp Đại học Dược Hà Nội, với hơn 10 năm kinh nghiệm trong lĩnh vực Dược phẩm. Hiện là giảng viên giảng dạy các môn Dược lý, Dược lâm sàng,...

    Xem thêm thông tin
    Chủ đề:răng miệng