• Thực phẩm chức năng

  • Dược mỹ phẩm

  • Thuốc

  • Chăm sóc cá nhân

  • Thiết bị y tế

  • Tiêm chủng

  • Bệnh & Góc sức khỏe

  • Hệ thống nhà thuốc

    1. /
    2. Góc sức khỏe/
    3. Phòng bệnh & Sống khoẻ

    6 bệnh răng miệng thường gặp

    21/06/2023

    Kích thước chữ

    Một số bệnh răng miệng thường gặp có thể kể đến như: Sâu răng, viêm lợi, viêm quanh răng… Bài viết dưới đây, Nhà Thuốc Long Châu sẽ đem đến cho bạn đọc hiểu biết về 6 bệnh răng miệng thường gặp.

    Có nhiều nguyên nhân gây ra các bệnh lý về răng miệng nhưng phổ biến nhất là: Chải răng không đúng cách, sử dụng tăm thay vì chỉ nha khoa, không sử dụng nước súc miệng. Do đó, hiểu về nguyên nhân gây các bệnh lý răng miệng thường gặp cách bảo vệ răng miệng khỏi nguy cơ mắc bệnh là điều cần thiết cho mỗi người. Cùng tìm hiểu nhé!

    6 bệnh răng miệng thường gặp

    Sâu răng

    Sâu răng là một trong những bệnh lý phổ biến nhất xuất hiện ở mọi lứa tuổi, đặc biệt là ở trẻ em. Hiểu một cách đơn giản, sâu răng là hiện tượng răng bị phá hủy tạo nên các lỗ sâu trên bề mặt răng, kéo theo đó là răng bị đau và trở nên nhạy cảm.

    • Triệu chứng: Ở giai đoạn nhẹ, xuất hiện lỗ nhỏ màu đen trên răng và không có triệu chứng. Dần dần, sâu tiến triển vào ngà răng gây đau. Ban đầu, răng sẽ chỉ đau khi tiếp xúc với đồ nóng hoặc lạnh, sau đó là đau khi chỉ cần tiếp xúc với thức ăn hoặc khi nhai, gõ.
    • Nguyên nhân: Khi răng không được vệ sinh đúng cách sẽ tạo nên lớp mảng bám răng chứa vi khuẩn. Trong đó, nhóm vi khuẩn Streptococcus mutans sản sinh ra acid gây sâu răng.
    • Điều trị: Nếu được phát hiện sớm có thể điều trị tái khoáng tại nhà bằng cách sử dụng thuốc đánh răng có hàm lượng fluor cao và các chế phẩm có chứa fluor. Nếu sâu răng đã tiến triển đến ngà răng, bác sĩ sẽ chỉ định hàn răng để lấp kín lỗ sâu răng.
    6 bệnh răng miệng thường gặp 1 Sâu răng là bệnh răng miệng phổ biến, thường gặp ở trẻ em

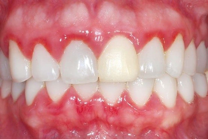
    Viêm lợi

    • Triệu chứng: Lợi bị sưng đỏ, dễ chảy máu khi gặp kích thích như ăn uống hay đánh răng, kèm theo tình trạng hôi miệng.
    • Nguyên nhân: Nguyên nhân phổ biến gây viêm lợi là do mảng bám tích tụ trên răng do không được vệ sinh sạch sẽ. Ngoài ra, còn một số nguyên nhân khác như: Chế độ ăn uống không lành mạnh, thay đổi nội tiết tố ở phụ nữ, sức đề kháng suy giảm, bệnh tiểu đường…
    • Điều trị: Ở giai đoạn nhẹ, bệnh nhân có thể tự điều trị tại nhà bằng cách vệ sinh răng miệng sạch sẽ, đúng cách kết hợp sử dụng các loại nước súc miệng có chức năng sát khuẩn. Khi bệnh trở nặng, bác sĩ sẽ chỉ định cho người bệnh sử dụng thuốc kháng sinh.
    6 bệnh răng miệng thường gặp 2 Viêm lợi có thể xảy ra ở mọi lứa tuổi, là một bệnh răng miệng thường gặp

    Viêm quanh răng

    Bệnh viêm quanh răng, hay còn gọi là bệnh nha chu, là bệnh viêm nhiễm mãn tính dẫn tới sự phá hủy các bộ phận nâng đỡ răng. Nếu không được điều trị, bệnh sẽ dẫn tới hiện tượng mất răng gây ảnh hưởng đến chất lượng cuộc sống và thẩm mỹ của người bệnh.

    • Triệu chứng: Xuất hiện nhiều mảng bám, lợi sưng đỏ, dễ chảy máu, chảy dịch, có thể có mủ. Hơi thở có mùi khó chịu. Răng lung lay, có hiện tượng tụt lợi.
    • Nguyên nhân: Nguyên nhân chủ yếu gây bệnh là do các vi khuẩn trong mảng bám tích tụ trên răng. Ngoài ra còn một số nguyên nhân khác liên quan đến chứng suy giảm miễn dịch do các bệnh toàn thân như: Ung thư máu, tiểu đường, thay đổi nội tiết tố…
    • Điều trị: Điều trị các yếu tố nguy cơ: Vệ sinh răng miệng kém, tiểu đường, hút thuốc lá; lấy cao răng và làm nhẵn chân răng. Ngoài ra, bác sĩ có thể tiến hành sử dụng thuốc kháng sinh hoặc phẫu thuật, nhổ răng để điều trị bệnh lý này nếu trở nặng.
    6 bệnh răng miệng thường gặp 3 Viêm quanh răng là bệnh phát triển theo giai đoạn

    Hôi miệng

    Hôi miệng là bệnh lý không gây nguy hiểm nhưng khiến người bệnh mất tự tin trong giao tiếp, từ đó ảnh hưởng đến chất lượng cuộc sống và công việc.

    Hôi miệng do nhiều nguyên nhân gây ra, chủ yếu do răng miệng không được vệ sinh sạch sẽ tạo điều kiện cho vi khuẩn sinh sôi, phát triển gây ra mùi hôi. Ngoài ra, một số bệnh lý cũng có thể dẫn tới hiện tượng hôi miệng như: Sâu răng, viêm lợi, nha chu, giảm tiết nước bọt…

    Để điều trị hôi miệng có thể tham khảo một số cách sau:

    • Chú ý đến việc vệ sinh răng miệng đúng cách.
    • Nên đánh răng ít nhất 2 lần trong ngày, kết hợp sử dụng chỉ nha khoa và nước súc miệng.
    • Sau khi ăn xong nên uống một chút nước để làm trôi phần thức ăn còn sót lại trên răng.
    • Nên cạo lưỡi hằng ngày giúp loại bỏ các mảng bám gây hôi miệng trên bề mặt lưỡi.
    • Nếu bị hôi miệng kéo dài, người bệnh cần đến gặp bác sĩ để xác định rõ nguyên nhân và tìm cách chữa trị dứt điểm.
    6 bệnh răng miệng thường gặp 4 Hôi miệng khiến người bệnh ngại giao tiếp

    Viêm tủy răng

    • Triệu chứng: Sưng, đau răng, răng nhạy cảm với thức ăn. Ở bệnh nhân viêm tủy răng không hồi phục còn xuất hiện các triệu chứng sốt, sưng hạch bạch huyết, hơi thở có mùi hôi...
    • Nguyên nhân: Lớp mô cứng bảo vệ tủy răng bị tổn thương và phá hủy tạo điều kiện cho vi khuẩn xâm nhập vào tủy răng. Có nhiều nguyên nhân gây tổn thương lớp mô này như: Sâu răng, chấn thương răng, thói quen vệ sinh răng miệng, tật nghiến răng…
    • Điều trị: Viêm tủy là bệnh lý nguy hiểm, nếu không được điều trị kịp thời sẽ gây nhiễm trùng vùng xung quanh và có thể làm mất răng. Do đó, khi phát hiện các triệu chứng trên, bệnh nhân cần được thăm khám và điều trị càng sớm càng tốt.

    Loét miệng

    Bệnh loét miệng (nhiệt miệng) là bệnh lý răng miệng thường gặp ở mọi lứa tuổi. Loét miệng gây đau đớn, làm ảnh hưởng đến việc ăn uống và giao tiếp hằng ngày.

    • Triệu chứng: Xuất hiện vết loét trên lưỡi, trên vòm miệng, trong má hoặc trên lợi. Vết loét hình tròn, màu trắng, có viền đỏ. Ngoài ra, người bệnh còn có thể bị đau bụng, tiêu chảy, tiêu hóa kém…
    • Nguyên nhân: Hiện nay, các nhà khoa học vẫn chưa tìm được chính xác nguyên nhân gây nhiệt miệng, chỉ có thể xác định bệnh có liên quan đến môi trường, chế độ dinh dưỡng, vi sinh vật gây nhiễm trùng hoặc ký sinh trùng…
    • Điều trị: Để điều trị loét miệng có thể súc miệng thường xuyên, hạn chế đồ ăn cay nóng, nhiều dầu mỡ hoặc sử dụng trà để giảm đau và giảm viêm. Nếu bệnh trở nên nghiêm trọng hơn, người bệnh nên đi khám để được bác sĩ chỉ định dùng kháng sinh.
    6 bệnh răng miệng thường gặp 5 Hầu hết bệnh nhân có thể tự điều trị loét miệng tại nhà

    Cách bảo vệ răng miệng

    Nguyên nhân chủ yếu gây ra các bệnh răng miệng phổ biến là do vệ sinh hằng ngày chưa đúng cách. Dưới đây là một số biện pháp bảo vệ răng miệng hiệu quả:

    • Đánh răng ít nhất 2 lần trong ngày: Đây là phương pháp bảo vệ răng cơ bản và cần thiết đối với tất cả mọi người. Đánh răng ít nhất 2 lần vào buổi sáng sau khi thức dậy và buổi tối trước khi đi ngủ. Nên thay bàn chải đánh răng sau 3 - 4 tháng sử dụng.
    • Đánh răng đúng cách: Phần lớn mọi người vẫn mắc các sai lầm khi đánh răng như: Chải răng theo chiều ngang thay vì chiều dọc hoặc xoay tròn, chải răng quá mạnh…
    • Sử dụng chỉ nha khoa thay vì tăm: Tăm xỉa răng thường không tiếp cận được các kẽ nhỏ, dễ làm tổn thương chân răng và nướu. Trong khi đó, chỉ nha khoa có thể dễ dàng lấy đi thức ăn thừa kẹt trong kẽ răng một cách nhẹ nhàng từ đó giúp làm sạch khoang miệng tốt hơn.
    • Sử dụng nước súc miệng: Nước súc miệng có tác dụng tái khoáng cho răng, làm giảm lượng acid trong miệng và làm sạch những nơi mà bàn chải không tiếp cận được.
    • Hạn chế hút thuốc lá: Thuốc lá làm răng xỉn màu gây mất thẩm mỹ, hôi miệng. Hút thuốc còn làm tăng nguy cơ mắc ung thư vòm họng.
    • Chế độ ăn uống lành mạnh: Chế độ ăn uống lành mạnh không những bảo vệ sức khỏe răng nướu mà còn mang lại lợi ích cho sức khỏe cơ thể bạn.
    • Khám nha khoa định kỳ: Đa số người dân Việt Nam chưa hình thành thói quen khám nha khoa định kỳ. Gặp nha sĩ 2 lần mỗi năm giúp bạn phát hiện sớm các bệnh lý về răng miệng, từ đó có biện pháp điều trị và chăm sóc kịp thời.

    Hy vọng bài viết đã cung cấp cho bạn đọc những thông tin cơ bản về các bệnh răng miệng thường gặp cũng như cách bảo vệ hàm răng khỏe mạnh. Tình trạng răng miệng tại Việt Nam rất phổ biến và đang được đặt trong tình huống báo động, do đó mỗi người cần trang bị kiến thức để bảo vệ sức khỏe bản thân và gia đình.

    Ánh Vũ

    Nguồn tham khảo: Tổng hợp

    Có thể bạn quan tâm

    Thông tin và sản phẩm gợi ý trong bài viết chỉ mang tính chất tham khảo, vui lòng liên hệ với Bác sĩ, Dược sĩ hoặc chuyên viên y tế để được tư vấn cụ thể. Xem thêm

    Dược sĩ Đại họcTrần Huỳnh Minh Nhật

    Đã kiểm duyệt nội dung

    Dược sĩ chuyên khoa Dược lý - Dược lâm sàng. Tốt nghiệp 2 trường đại học Mở và Y Dược TP. Hồ Chí Minh. Có kinh nghiệm nghiên cứu về lĩnh vực sức khỏe, đạt được nhiều giải thưởng khoa học. Hiện là Dược sĩ chuyên môn phụ trách xây dựng nội dung và triển khai dự án đào tạo - Hội đồng chuyên môn tại Nhà thuốc Long Châu.

    Xem thêm thông tin