Tốt nghiệp Đại Học Dược Hà Nội - chuyên môn Dược lâm sàng. Hiện đang là giảng viên cho Dược sĩ tại Nhà thuốc Long Châu.
21/06/2023
Mặc định
Lớn hơn
Tụt lợi không phải là vấn đề hiếm gặp ngày nay. Đây là một trong những bệnh lý về răng miệng tương đối phổ biến. Một số người thắc mắc về vấn đề tụt lợi có nên bọc răng sứ hay không và cần nên lưu ý những gì để chữa trị tụt lợi tốt nhất.
Người mắc bệnh lý tụt lợi sẽ khiến cho chân răng lộ rõ ra, bị chảy máu, nhạy cảm và kèm theo những cơn ê buốt, có thể gây mất thẩm mỹ cho hàm răng của bạn. Nhiều người mong muốn khắc phục bằng phương pháp bọc răng sứ. Vậy thực tế bị tụt lợi có nên bọc răng sứ hay không? Cùng tìm hiểu chi tiết trong bài viết dưới đây nhé.
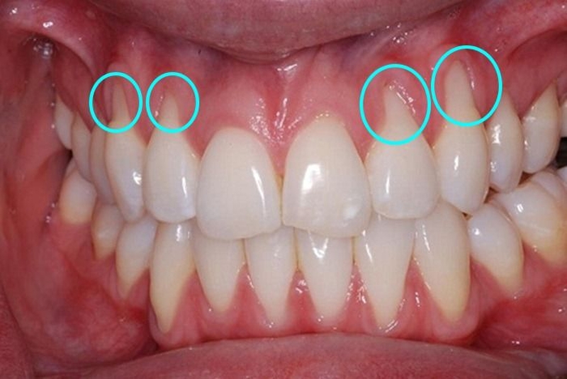
Tụt lợi là một trong những bệnh lý về răng miệng, có dấu hiệu khi chân răng bị lộ nướu khi đang co lại hoặc do sự di chuyển của phần nướu về phía chóp chân răng. Khi đó, các mô quanh chân răng dần biến mất và lộ ra màu trắng ngà của răng.
Vì vậy, người mắc chứng tụt lợi thường xuyên gặp phải cảm giác ê buốt, khó chịu, rất dễ mắc thức ăn ở kẽ răng, gây mòn chân răng và có nguy cơ mắc một số bệnh lý nguy hiểm khác.
Hiện nay có nhiều người tìm đến một số phương pháp để cải thiện vấn đề tụt lợi. Một trong số đó chính là việc sử dụng bọc răng sứ cho răng. Vậy thực chất tụt lợi có nên bọc răng sứ hay không?
Tìm hiểu nguyên nhân gây tụt lợiĐể có thể xác nhận được tụt lợi có nên bọc răng sứ hay không thì trước hết chúng ta phải tìm hiểu nguyên nhân gây tụt lợi chân răng.
Có khá nhiều nguyên nhân gây ra hiện tượng tụt lợi ở răng miệng. Đối với những nguyên nhân khác nhau, sẽ có một số cách cải thiện khác nhau. Tuy nhiên, một trong những câu hỏi được khách hàng thắc mắc nhiều nhất, đó là tụt lợi có nên bọc răng sứ hay không? Cùng giải đáp thắc mắc ở phần sau nhé.
Tình trạng tụt lợi chân răng gây ê buốt, đau nhứcKhi bị tình trạng tụt lợi ở răng miệng, căn cứ vào những mức độ nặng nhẹ cũng như các nguyên nhân gây bệnh khác nhau mà bác sĩ chuyên khoa sẽ có các chỉ định điều trị và có những giải pháp riêng. Một trong số các cách điều trị chính là bọc răng sứ.
Tình trạng tụt lợi hoàn toàn có thể chữa trị bằng cách tiến hành bọc răng sứ. Tuy nhiên, trước khi đi vào quá trình bọc răng, người bệnh sẽ được các bác sĩ chuyên khoa điều trị dứt điểm răng bị tụt nướu cũng như các bệnh lý khác. Điều này giúp cho quá trình bọc răng sứ được thuận lợi cũng như điều chỉnh răng đúng vị trí và đảm bảo cho sức khỏe của răng miệng.
Người bị tụt lợi có nên bọc răng sứ hay không?Bạn nên bọc răng sứ trong tình trạng tụt lợi khi có chỉ định của bác sĩ có chuyên môn. Nếu làm răng sứ khi chưa được khám và tư vấn cụ thể có thể dẫn đến một số tình trạng không tốt cho sức khỏe răng miệng như viêm lợi sau khi bọc răng sứ, ê buốt răng kéo dài,..
Khi bệnh nhân thắc mắc tụt lợi có nên bọc răng sứ không và có nhu cầu bọc răng sứ thì bác sĩ chuyên khoa sẽ dựa vào các mức độ cũng như nguyên nhân gây ra tình trạng tụt lợi mà đưa ra các giải pháp điều trị. Cụ thể là:
Bọc răng sứ: Giải pháp cải thiện tình trạng răng xấu nhanh chóngTrên đây là bài viết tư vấn về vấn đề khi bị tụt lợi có nên bọc răng sứ hay không và một số nguyên nhân cũng như giải pháp dành cho vấn đề này. Hy vọng các thông tin trên đây là hữu ích và có thể hỗ trợ được cho bạn.
Cẩm Ly
Nguồn: Tổng hợp
:format(webp)/KF_1b_LIQ_Tx_J_Pb27_Vsh90_QN_6b_Xz_OB_Jo_U_f0e2294e2e.png)
Dược sĩ Đại họcNguyễn Chí Chương
Tốt nghiệp Đại Học Dược Hà Nội - chuyên môn Dược lâm sàng. Hiện đang là giảng viên cho Dược sĩ tại Nhà thuốc Long Châu.