• Thực phẩm chức năng

  • Dược mỹ phẩm

  • Thuốc

  • Chăm sóc cá nhân

  • Thiết bị y tế

  • Tiêm chủng

  • Bệnh & Góc sức khỏe

  • Hệ thống nhà thuốc

    1. /
    2. Góc sức khỏe/
    3. Khỏe đẹp

    Giải đáp thắc mắc: Răng nhiễm fluor là gì?

    21/06/2023

    Kích thước chữ

    Răng nhiễm fluor là gì? Tình trạng răng bị nhiễm fluor xuất phát từ những yếu tố nào? Cùng tìm hiểu qua các thông tin trong bài viết này.

    Khi bị nhiễm fluor, răng không chỉ bị ố vàng, mà còn tăng độ xốp nên dễ bị gãy rụng. Tình trạng này khiến cho hàm răng của bạn mất thẩm mỹ, đồng thời suy giảm chức năng nhai. Vậy răng nhiễm fluor là gì? Vì sao răng bị nhiễm fluor? Răng sữa hay răng vĩnh viễn sẽ dễ bị nhiễm fluor hơn? Chúng ta sẽ đi tìm lời giải đáp cho những thắc mắc trên qua bài viết dưới đây.

    Răng nhiễm fluor là gì?

    Flour là một trong những thành phần quan trọng nhất trong việc hình thành và phát triển khung răng. Thành phần này có công dụng xây dựng cấu trúc xương răng hoàn thiện, giúp răng chắc khỏe và hạn chế hình thành các mảng bám thức ăn thừa tích tụ, từ đó ngăn ngừa sâu răng hiệu quả.

    Răng bị nhiễm fluor là tình trạng rối loạn men răng xảy trong thời gian răng phát triển phải tiếp xúc thường xuyên với nồng độ fluor cao. Về lâu dài sẽ khiến cho men răng giảm hàm lượng chất khoáng, và tăng độ xốp khiến bạn dễ bị sâu răng, hoặc gãy rụng.

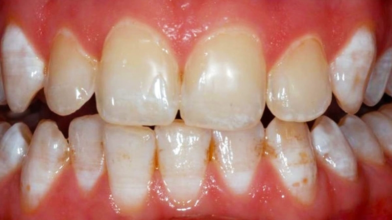
    Giải đáp thắc mắc "Răng nhiễm Fluor là gì 1 Răng nhiễm Fluor là gì? Nhiễm fluor là tình trạng rối loạn men răng.

    Thời gian tiếp xúc với nồng độ fluor nhiều hay ít sẽ quyết định mức độ răng bị nhiễm fluor sẽ cao hoặc thấp. Bên cạnh đó, răng bị nhiễm fluor như thế nào còn phụ thuộc vào các yếu tố khác như cơ địa của từng cá nhân, mức độ hoạt động thể chất, chế độ dinh dưỡng hàng ngày và sự phát triển của khung xương ở mỗi người. Ngoài ra, một vài yếu tố tác động khiến răng dễ bị nhiễm fluor nữa đó chính là tình trạng cơ thể bị suy dinh dưỡng hoặc bị suy thận.

    Vì sao răng bị nhiễm fluor?

    Sau khi đã hiểu rõ răng nhiễm fluor là gì, chúng ta sẽ cùng đi tìm nguyên nhân vì sao răng bị nhiễm fluor. Dưới đây là một số lý do chính dễ khiến cho răng của bạn bị nhiễm fluor:

    Tự ý dùng thuốc có thành phần chứa fluor

    Yếu tố đầu tiên dễ làm cho răng bị nhiễm fluor là bạn uống nhiều thuốc có chứa thành phần này. Việc tự ý uống thuốc có chứa nhiều fluor mà không tuân thủ theo sự hướng dẫn của bác sĩ không chỉ gây hại cho sức khỏe, mà bạn còn khó có thể kiểm soát tốt hàm lượng fluor tối đa dung nạp vào cơ thể. Sau một thời gian dài sử dụng thuốc có chứa nhiều flour, răng của bạn chắc chắn sẽ bị nhiễm fluor.

    Giải đáp thắc mắc "Răng nhiễm Fluor là gì 2 Việc tự ý dùng thuốc có thành phần chứa fluor sẽ dễ khiến răng bạn bị nhiễm fluor.

    Bên cạnh đó, nhiều bậc phụ huynh hiện nay lo lắng men răng của trẻ nhỏ yếu nên tự ý cho bé uống thuốc flour, hoặc mua các loại thuốc có chứa fluor bôi lên bề mặt răng của trẻ. Họ cho rằng điều này sẽ giúp cấu trúc răng bé chắc khỏe hơn. Thế nhưng, nếu sử dụng quá liều cũng sẽ dẫn đến tình trạng răng nhiễm fluor.

    Nạp nhiều thức ăn có chứa fluor dồi dào

    Một số loại thực phẩm như các loại hải sản, khoai tây, nho khô, trà đen,... có thành phần chứa fluor dồi dào. Do đó, khi bạn dung nạp quá nhiều những thực phẩm này sẽ rất dễ làm cho men răng tăng fluor, từ đó dẫn đến việc răng bị nhiễm fluor.

    Nguồn nước uống có chứa nhiều fluor

    Tuy rằng lý do làm cho răng bị nhiễm fluor do nguồn nước là không nhiều, nhưng cũng không phải không xảy ra. Ở một số nơi, nguồn nước uống có chứa nhiều fluor. Khi bạn sử dụng hàng ngày không chỉ gây ảnh hưởng ít nhiều đến sức khỏe, mà còn khiến cho răng dễ bị tăng fluor.

    Dùng kem đánh răng chứa flour vượt mức cho phép

    Kem đánh răng là một sản phẩm hỗ trợ làm sạch răng miệng, bổ sung fluor giúp răng chắc khỏe hơn. Thế nhưng, nếu loại kem đánh răng mà bạn đang sử dụng có nồng độ fluor vượt ngưỡng cho phép sẽ là nguyên nhân khiến cho răng bị nhiễm fluor. Đối với các bé đang trong giai đoạn phát triển khung xương răng và nướu sẽ có nguy cơ nhiễm fluor từ kem đánh răng cao hơn người lớn.

    Giải đáp thắc mắc "Răng nhiễm Fluor là gì 3 Không nên dùng kem đánh răng có nồng độ fluor vượt ngưỡng cho phép.

    Làm thế nào để nhận biết răng bị nhiễm fluor?

    Muốn kiểm tra xem răng có bị nhiễm fluor hay không thì bạn phải thực hiện khi bề mặt răng khô và sạch sẽ hoàn toàn, ở điều kiện ánh sáng đầy đủ. Khi quan sát bằng mắt thường, những chiếc răng bị nhiễm fluor nhẹ sẽ có nhiều vân trắng đục chạy theo chiều ngang ở hai bên bề mặt răng. Hoặc chúng cũng có thể tập trung lại thành từng đốm trắng.

    Đối với các răng nhiễm fluor nặng, bề mặt răng sẽ có nhiều lỗ thâm trên bề mặt, đồng thời răng sẽ bị đổi màu. Những vết ố vàng sẽ lớn dần theo thời gian. Răng sẽ ngày càng xốp và dễ gãy rụng hơn do cấu trúc đã bị thay đổi.

    Trên đây là những thông tin giúp bạn giải đáp các thắc mắc “Răng nhiễm fluor là gì?”, “Vì sao răng bị nhiễm fluor?”. Qua đó, chúng tôi mong rằng sẽ giúp bạn tích lũy thêm nhiều kinh nghiệm trong việc chăm sóc và bảo vệ sức khỏe răng miệng. Một hàm răng chắc khỏe, trắng sáng chắc chắn sẽ giúp nụ cười của bạn thêm rạng rỡ và nổi bật hơn. Nhờ vậy, nhan sắc cũng thêm phần thăng hạng, bạn sẽ luôn tự tin trong giao tiếp.

    Bảo Vân

    Nguồn tham khảo: Tổng hợp

    Có thể bạn quan tâm

    Thông tin và sản phẩm gợi ý trong bài viết chỉ mang tính chất tham khảo, vui lòng liên hệ với Bác sĩ, Dược sĩ hoặc chuyên viên y tế để được tư vấn cụ thể. Xem thêm

    Dược sĩ Đại họcNguyễn Vũ Kiều Ngân

    Đã kiểm duyệt nội dung

    Tốt nghiệp Đại học Y Dược TP. Hồ Chí Minh. Có nhiều năm trong lĩnh vực dược phẩm. Hiện đang là giảng viên cho Dược sĩ tại Nhà thuốc Long Châu.

    Xem thêm thông tin