Tốt nghiệp loại giỏi trường Đại học Y Dược Huế. Từng tham gia nghiên cứu khoa học đề tài về Dược liệu. Nhiều năm kinh nghiệm làm việc trong lĩnh vực Dược phẩm. Hiện đang là giảng viên cho Dược sĩ tại Nhà thuốc Long Châu.
Phương Nhi
09/01/2024
Mặc định
Lớn hơn
Những người bị hô xương ổ răng thường có thể gặp các vấn đề thẩm mỹ như nụ cười không đều, hở lợi nhiều hơn bình thường. Ngoài ra, tình trạng này cũng có thể gây khó khăn trong việc nhai, làm cho việc xé nhỏ thức ăn trở nên khó khăn hơn và gây áp lực không đều lên các răng.
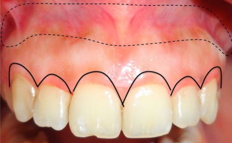
Hô xương ổ răng là tình trạng khi xương hàm trên phát triển quá mức, đẩy hàm trên về phía trước nhiều hơn so với hàm dưới. Điều này có thể dẫn đến sự không cân đối giữa hai hàm và gây ra một số vấn đề liên quan đến cấu trúc răng và hàm.
Xương ổ răng là cấu trúc không thể thiếu trong việc giữ cho chiếc răng vững chắc trong cung hàm, là một tổ chức phức tạp trong mô xương xốp, được bao bọc bởi màng xương. Hình dạng của nó phù hợp với mỗi chân răng, chính là nơi ổ lót cho chúng.

Chức năng chính của xương ổ răng là tạo nền móng cho các răng, giúp chúng bám chắc vào cung hàm thông qua dây chằng nha chu. Đồng thời, nó cũng chịu trách nhiệm trong việc tiếp nhận và phân phối lực khi nhai thức ăn, giảm thiểu sốc cho cung hàm khi đối mặt với thức ăn cứng.
Xương ổ răng bao gồm hai thành phần chính là xương ổ chính danh và xương ổ nâng đỡ:
Tình trạng hô xương ổ răng thường xảy ra khi xương hàm trên phát triển quá mức, đẩy hàm trên về phía trước hơn so với hàm dưới. Hiện tượng này có thể gây ra tình trạng khớp cắn không chính xác, dẫn đến hô xương ổ răng. Những hậu quả của việc này không chỉ đến từ mặt thẩm mỹ mà còn ảnh hưởng đến việc ăn uống và giao tiếp hàng ngày.

Hô xương ổ răng gây trở ngại trong giao tiếp, khiến người bị ảnh hưởng cả về nụ cười và khả năng giao tiếp. Nụ cười trở nên thiếu tự tin do sự mất cân đối của hàm trên, và có thể dẫn đến tình trạng răng vẩu, gây thêm lo ngại và mất tự tin khi giao tiếp xã hội.
Hô xương ổ răng cũng gây khó khăn trong việc ăn uống. Lệch khớp cắn khiến răng cửa của hai hàm không chạm vào nhau, gây trở ngại trong việc cắn nhỏ thức ăn. Điều này có thể dẫn đến việc răng cối phải làm việc vất vả hơn, và người bệnh phải dành nhiều cố gắng hơn khi nhai thức ăn, ảnh hưởng đến khớp thái dương hàm theo thời gian.
Ngoài ra, hô xương ổ răng có thể dễ gây chấn thương cho răng hơn so với những trường hợp xương ổ không bị hô. Trong các hoạt động thể thao, va chạm vào phần xương ổ răng bị hô có thể gây ra chấn thương, làm lung lay răng cửa, thậm chí gây gãy răng hoặc vỡ xương ổ răng.
Nhận biết và điều trị tình trạng hô xương ổ răng là quan trọng để ngăn ngừa những vấn đề trên. Quá trình điều trị có thể bao gồm sử dụng nhiều phương pháp khác nhau như niềng răng, các phương pháp nha khoa hoặc phẫu thuật để điều chỉnh sự cân đối giữa hai hàm và giảm tình trạng hô xương ổ răng, giúp cải thiện không chỉ về mặt thẩm mỹ mà còn sức khỏe và chất lượng cuộc sống hàng ngày.
Đa phần các trường hợp hô xương ổ răng thường được điều trị thông qua kỹ thuật mài xương ổ răng. Đây là phương pháp mà các nha sĩ sử dụng mũi khoan để mài bớt độ dày của phần xương hàm gây ra tình trạng hô.

Quá trình điều trị bằng kỹ thuật mài xương ổ răng thường được kết hợp với phẫu thuật cắt lợi. Khi mài bớt phần xương ổ, phần lợi ban đầu của người bệnh thường bám xuống thân răng nhiều hơn, dẫn đến tình trạng cười hở lợi. Điều này yêu cầu sự khéo léo và kỹ năng cao trong việc điều chỉnh tỷ lệ lợi và răng, một khía cạnh quan trọng để duy trì sự cân đối và đảm bảo kết quả sau điều trị.
Tuy nhiên, quá trình điều trị hô xương ổ răng không chỉ đơn giản là việc mài xương, mà còn đòi hỏi sự chuyên nghiệp và kinh nghiệm rộng rãi từ phía nha sĩ. Người thực hiện cần phải có kiến thức sâu rộng về phẫu thuật và chỉnh nha để có thể điều chỉnh một cách chính xác, đảm bảo kết quả tốt nhất cho bệnh nhân.
Kỹ thuật mài xương ổ răng không chỉ giúp giảm bớt độ dày của phần xương hàm, mà còn đóng vai trò quan trọng trong việc cân chỉnh cấu trúc của hàm và khớp cắn. Quá trình này yêu cầu sự cẩn trọng và chính xác để đảm bảo rằng việc điều chỉnh không chỉ giúp cải thiện về thẩm mỹ mà còn duy trì được sức khỏe và chức năng của hàm.
Khi có biểu hiện nghi ngờ hô xương ổ răng, bạn nên đến cơ sở y tế hoặc phòng khám nha khoa uy tín, đặc biệt việc lựa chọn nha sĩ có kinh nghiệm và uy tín trong lĩnh vực này giúp bạn đánh giá, lập kế hoạch điều trị, theo dõi quá trình hồi phục sau điều trị và chăm sóc răng miệng.
Hy vọng qua nội dung bài viết trên đã giúp bạn hiểu rõ về thông tin hô xương ổ răng là gì? Hô xương ổ răng phải làm sao? Sự tận tâm và chuyên nghiệp của nha sĩ sẽ giúp bạn cải thiện tình trạng hàm và có nụ cười tươi rạng rỡ.
Xem thêm: Giải thích ý nghĩa tên gọi răng 9630
Dược sĩ Đại họcNgô Kim Thúy
Tốt nghiệp loại giỏi trường Đại học Y Dược Huế. Từng tham gia nghiên cứu khoa học đề tài về Dược liệu. Nhiều năm kinh nghiệm làm việc trong lĩnh vực Dược phẩm. Hiện đang là giảng viên cho Dược sĩ tại Nhà thuốc Long Châu.