• Thực phẩm chức năng

  • Dược mỹ phẩm

  • Thuốc

  • Chăm sóc cá nhân

  • Thiết bị y tế

  • Tiêm chủng

  • Bệnh & Góc sức khỏe

  • Hệ thống nhà thuốc

    1. /
    2. Góc sức khỏe/
    3. Phòng bệnh & Sống khoẻ

    Lệch khớp cắn là gì? Nguyên nhân và cách điều trị lệch khớp cắn

    04/12/2025

    Kích thước chữ

    Lệch khớp cắn là một vấn đề sức khỏe răng miệng khá phổ biến, không những ảnh hưởng tới chức năng nhai của răng mà còn làm mất đi tính thẩm mỹ của gương mặt. Vậy lệch khớp cắn là gì? Những nguyên nhân nào gây nên tình trạng lệch khớp cắn? Cùng tìm hiểu về vấn đề này qua bài viết dưới đây của Nhà Thuốc Long Châu nhé!

    Sai lệch khớp cắn là một khuyết điểm về răng khá thường gặp, gây ảnh hưởng tới chức năng nhai và vẻ đẹp của khuôn mặt. Chính vì vậy, các phương pháp cải thiện tình trạng sức khỏe răng miệng này cũng nhận được rất nhiều sự quan tâm. Bài viết sau đây sẽ cung cấp cho bạn những thông tin cần thiết về tình trạng lệch khớp cắn.

    Lệch khớp cắn là gì?

    Khớp cắn dùng để chỉ sự tương quan giữa 2 hàm cũng như giữa các răng ở hàm trên và răng ở hàm dưới, bao gồm sự cân xứng và diện tiếp xúc nhau ở cả trạng thái nghỉ ngơi và trạng thái nhai của răng và xương hàm. Một hàm răng đạt tiêu chuẩn đều đẹp và cân đối giữa 2 hàm thì được coi là khớp cắn chuẩn.

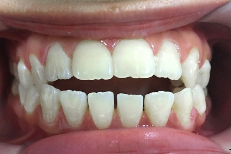
    Lệch khớp cắn là tình trạng không tương xứng, lệch tâm giữa răng hàm trên so với răng hàm dưới hay 2 hàm trên - dưới không cắn khít với nhau, các răng mọc lệch lạc, không đều và không thẳng hàng. Điều này gây ảnh hưởng đến độ thẩm mỹ của cả khuôn mặt, đồng thời gây khó khăn trong quá trình nhai và phát âm.

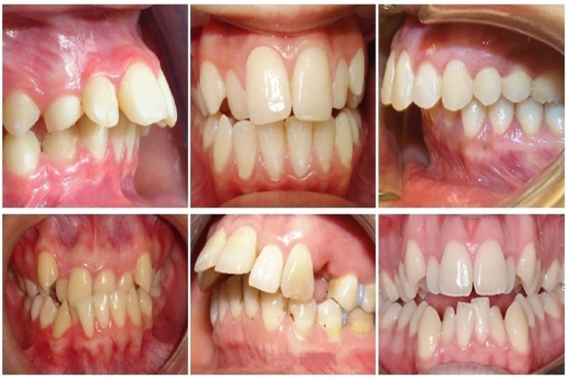
    Lệch khớp cắn là tình trạng lệch tâm giữa răng hàm trên với răng hàm dưới Lệch khớp cắn là một vấn đề sức khỏe răng miệng khá phổ biến

    Phân loại lệch khớp cắn

    Các loại sai lệch khớp cắn phổ biến:

    • Khớp cắn ngược: Là một dạng sai lệch khớp cắn nghiêm trọng nguyên nhân do xương hàm dưới phát triển dài hơn bình thường, đưa ra phía trước quá mức trong khi xương hàm trên lại ngắn cụp vào bên trong. Khi nhìn nghiêng sẽ thấy hiện tượng môi dưới chìa hẳn ra ngoài so với môi trên. Trong những trường hợp khớp cắn ngược ở mức độ nặng, cằm cũng sẽ bị đưa hẳn ra phía trước rất mất thẩm mỹ. Khớp cắn ngược không chỉ khiến cho khuôn mặt trở nên biến dạng, mất cân đối mà còn ảnh hưởng xấu tới cử động của hàm.
    • Khớp cắn sâu: Là tình trạng mất cân đối giữa hàm trên và hàm dưới nguyên nhân do sự sai lệch khớp cắn khiến cho hàm dưới khuất sâu thậm chí lọt thỏm vào phía trong so với hàm trên. Khi nhìn nghiêng sẽ thấy hàm dưới bị che đi rất nhiều, làm mất đi sự tương quan giữa 3 phần trán, mũi và cằm nhìn giống như bị hô. Những người gặp tình trạng khớp cắn sâu sẽ gặp nhiều khó khăn trong quá trình nhai thức ăn.
    • Khớp cắn chéo: Thông thường, khớp cắn chéo sẽ không biểu hiện rõ trên gương mặt mà chỉ để lộ ra khi cười. Để nhận biết một người bị khớp cắn chéo không khó. Thông thường, toàn bộ răng và các kẽ răng bình thường sẽ cân đối và hài hòa, nhưng ở những người có khớp cắn chéo sẽ khiến răng bị xô lệch, không đều nhau, cái thò cái thụt, không theo một trật tự nào, khó nhận định là móm hay hô.
    • Khớp cắn hở: Đây là loại lệch khớp cắn nghiêm trọng nhất, ảnh hưởng lớn tới thẩm mỹ cũng như chức năng nhai và phát âm của răng. Do răng cửa bị hở nên có thể nhìn thấy cả lưỡi ngay cả khi răng khép ở trạng thái nghỉ. Nhóm răng ở hàm trên và dưới không thể chạm khít nhau tạo nên một khoảng hở khiến cho người bị khớp cắn hở gặp khó khăn trong việc phát âm, cắn và nhai thức ăn.
    Phân loại lệch khớp cắn Khớp cắn hở là loại lệch khớp cắn nghiêm trọng nhất

    Biểu hiện của lệch khớp cắn

    Biểu hiện ở răng:

    • Răng mọc chen chúc trên hàm, có răng thừa.
    • Phần khe giữa 2 răng cửa ở hàm trên và hàm dưới không tạo thành một đường thẳng.
    • Thấy có khoảng trống lớn giữa các răng hay tỷ lệ các răng mọc xa cách nhau.
    • Răng hàm trên chìa ra ngoài nhiều so với răng hàm dưới (răng hô) hay răng hàm dưới chìa ra ngoài hơn răng hàm trên (răng móm).
    • Khớp cắn bị hở, có thể nhìn thấy lưỡi khi răng ở trạng thái nghỉ, khi cắn 2 hàm có thể khít nhau nhưng lại xuất hiện một khoảng hở giữa răng cửa của 2 hàm.

    Biểu hiện về thói quen:

    • Khi nói chuyện hay nhai thức ăn thường xuyên bị cắn vào má hay lưỡi.
    • Thấy khó chịu, khó khăn trong khi cắn và nhai thức ăn, nhanh mỏi cơ hàm khi nhai.
    • Khó hay không thể phát âm chuẩn, gây khó khăn trong quá trình giao tiếp.
    • Khó ngậm miệng và khép kín 2 hàm.
    Biểu hiện của lệch khớp cắn Lệch khớp cắn gây khó khăn trong việc phát âm cũng như thẩm mỹ của khuôn mặt

    Trên đây là các biểu hiện của lệch khớp cắn mà bạn có thể tự mình kiểm tra ngay tại nhà. Tuy nhiên, để có thể đánh giá tình trạng răng một cách chính xác nhất, bạn nên tìm đến các bác răng hàm mặt để được kiểm tra cụ thể và chính xác.

    Nguyên nhân lệch khớp cắn là gì?

    Có nhiều nguyên nhân gây nên tình trạng lệch khớp cắn. Sau đây là một số nguyên nhân thường gặp:

    • Do các yếu tố về răng hàm: Có thể do tình trạng mất răng sữa sớm, kích cỡ của răng quá lớn so với hàm (thường gặp ở răng cửa), sự khác biệt nhiều về kích thước giữa hàm trên và hàm dưới. Ngoài ra có thể do các dị tật bẩm sinh như sứt môi, hở hàm ếch.
    • Do yếu tố di truyền: Theo các thống kê, yếu tố di truyền chiếm tới 70% trong các nguyên nhân gây nên lệch khớp cắn. Tình trạng này thậm chí có thể di truyền cho cả thế hệ trong một gia đình.
    • Thói quen từ nhỏ: Các thói quen xấu từ nhỏ có thể là nguyên nhân thường gặp gây nên tình trạng lệch khớp cắn như mút ngón tay, cắn móng tay, đẩy lưỡi…
    Nguyên nhân lệch khớp cắn Thói quen cắn móng tay từ nhỏ có thể là nguyên nhân gây lệch khớp cắn

    Điều trị lệch khớp cắn

    Ngày nay, có nhiều phương pháp điều trị lệch khớp cắn hiệu quả. Dưới đây là một số phương pháp thường được các nha sĩ sử dụng:

    Nhổ răng

    Nhổ răng là phương pháp thường áp dụng trong điều trị lệch khớp cắn ở trẻ em và thanh thiếu niên, bởi ở lứa tuổi này thường gặp phải tình trạng răng mọc chen chúc nhau. Các nha sĩ sẽ tiến hành nhổ một vài răng mọc lệch nhằm nhường chỗ cho các răng mọc vĩnh viễn. Việc nhổ bỏ răng vĩnh viễn thường rất hạn chế trừ các trường hợp thật sự cần thiết.

    Phẫu thuật hàm

    Phẫu thuật hàm chỉ được đặt ra và sử dụng khi đối tượng đã đủ 18 tuổi trở lên, khi mà sự phát triển của xương hàm đã hoàn thiện. Phẫu thuật nhằm khắc phục những trường hợp lệch khớp cắn nguyên nhân di truyền hay bị gãy xương hàm. Tuy nhiên, phương pháp phẫu thuật khá phức tạp, đòi hỏi tay nghề bác sĩ cao, chi phí tốn kém và mất nhiều thời gian hồi phục. Chính vì vậy, bạn cần lựa chọn các cơ sở nha khoa uy tín, chất lượng.

    Niềng răng mắc cài

    Đây là một phương pháp sử dụng dụng cụ chỉnh nha gồm dây cung và mắc cài niềng răng để dịch chuyển răng dần trở về đúng vị trí trên hàm, từ đó điều chỉnh được khớp cắn giữa hai hàm trở nên chuẩn hơn.

    Ngày nay, trên thị trường có rất nhiều loại niềng răng mắc cài như mắc cài kim loại, mắc cài tự buộc, mắc cài sứ, mắc cài mặt trong… Đây được xem là một phương pháp điều trị truyền thống với hiệu quả khá cao, chi phí không quá đắt, tuy nhiên thời gian niềng răng khá lâu và thường gây cảm giác khá khó chịu trong suốt quá trình niềng răng.

    Niềng răng trong suốt

    Niềng răng trong suốt được xem là một giải pháp giúp cải thiện tình trạng lệch khớp cắn hiện đại, uy tín, được nhiều người yêu thích.

    Thay vì sử dụng các dụng cụ chỉnh nha phức tạp, người lệch khớp cắn sẽ mang khay niềng trong suốt trong quá trình niềng răng. Khay niềng sẽ chỉ tác dụng lực lên răng cần chỉnh mà không tác động lên tất cả các răng, vì vậy ít gây cảm giác đau đớn, khó chịu trong quá trình niềng mà vẫn đảm bảo hiệu quả khi niềng.

    Trên đây là những thông tin về lệch khớp cắn mà Nhà Thuốc Long Châu muốn gửi tới bạn. Hy vọng bài viết giúp bạn hiểu hơn về lệch khớp cắn, nguyên nhân và cách điều trị tình trạng này. Chúc bạn luôn nhiều sức khỏe và đừng quên tiếp tục theo dõi những bài viết tiếp theo của Nhà Thuốc Long Châu nhé!

    Xem thêm:

    Sai khớp cắn loại 3: Nguyên nhân và cách xử lý

    Nguyên nhân gì gây ra bọc răng sứ bị lệch khớp cắn là gì?

    Thông tin và sản phẩm gợi ý trong bài viết chỉ mang tính chất tham khảo, vui lòng liên hệ với Bác sĩ, Dược sĩ hoặc chuyên viên y tế để được tư vấn cụ thể. Xem thêm

    Dược sĩ Đại họcNguyễn Vũ Kiều Ngân

    Đã kiểm duyệt nội dung

    Tốt nghiệp Đại học Y Dược TP. Hồ Chí Minh. Có nhiều năm trong lĩnh vực dược phẩm. Hiện đang là giảng viên cho Dược sĩ tại Nhà thuốc Long Châu.

    Xem thêm thông tin