• Thực phẩm chức năng

  • Dược mỹ phẩm

  • Thuốc

  • Chăm sóc cá nhân

  • Thiết bị y tế

  • Tiêm chủng

  • Bệnh & Góc sức khỏe

  • Hệ thống nhà thuốc

    1. /
    2. Góc sức khỏe/
    3. Phòng bệnh & Sống khoẻ

    Hội chứng Loeffler: Triệu chứng, cách chẩn đoán và điều trị bệnh

    19/01/2025

    Kích thước chữ

    Một số trường hợp nhiễm giun sán có thể khiến bạn mắc phải hội chứng Loeffler. Đây là căn bệnh gì và có biểu hiện như thế nào? Làm cách nào để bác sĩ chẩn đoán và điều trị bệnh? Nhà thuốc Long Châu sẽ gửi đến bạn những kiến thức chi tiết về chứng Loeffler.

    Loeffler là một dạng của chứng bệnh phổi tăng bạch cầu ái toan. Tỷ lệ mắc bệnh rối loạn chức năng hô hấp này khá hiếm nên không phải ai cũng biết đến và chủ động điều trị. Hơn thế nữa, triệu chứng bệnh cũng thoáng qua khiến người bệnh khó phát hiện. Việc nắm được đầy đủ thông tin về hội chứng Loeffler sẽ giúp bạn nhận biết sớm các triệu chứng để xử lý kịp thời.

    Khái niệm về hội chứng Loeffler

    Loeffler là một căn bệnh hô hấp thoáng qua có liên quan đến chứng tăng bạch cầu ái toan trong máu và xuất hiện đám mờ trên phim chụp X quang. Đây là một dạng bệnh lý đặc trưng với các triệu chứng không xuất hiện hoặc xuất hiện triệu chứng nhẹ về hô hấp, thường là ho khan, màng phổi mờ, bạch cầu ưa eosin trong máu ngoại vi.

    Trong sinh lý bệnh, Loeffler được cho là có liên quan đến quá trình ký sinh trùng di chuyển qua phổi theo vòng đời của chúng trong cơ thể người. Khi con người ăn phải thức ăn chứa trứng giun đũa, ấu trùng đi đến ruột, nở ra, xâm nhập vào bạch huyết mạc treo ruột và tiểu tĩnh mạch, sau đó đi đến tuần hoàn phổi. Kế đó, chúng di chuyển qua thành phế nang, cây phế quản vào thực quản, quay trở lại ruột và trưởng thành. Tổng thời gian này là 10 đến 16 ngày sau khi chúng ta ăn thực phẩm có giun móc, giun đũa, giun lươn.

    Thời gian gần đây, Loeffler còn được cho là có liên quan đến việc dùng thuốc, chẳng hạn như thuốc kháng sinh, thuốc chống co giật, thuốc kháng viêm và ức chế miễn dịch… Đa phần các trường hợp mắc Loeffler được xem là lành tính, tự giới hạn, tỷ lệ nhiễm thấp, chưa có ca tử vong. Các triệu chứng thường giảm dần trong 3 đến 4 tuần hoặc thời gian ngắn sau khi ngừng sử dụng thuốc.

    Biểu hiện của hội chứng Loeffler

    Những triệu chứng khi mắc Loeffler thường nhẹ, có khuynh hướng tự hỏi sau vài ngày hoặc vài tuần. Các biểu hiện khi nhiễm hội chứng là:

    • Ho khan.
    • Khó thở, khò khè.
    • Đau cơ.
    • Chán ăn.
    • Nổi mày đay.
    Hội chứng Loeffler: Triệu chứng, cách chẩn đoán và điều trị bệnh 2 Người mắc hội chứng Loeffler thường ho khan, thở khò khè hoặc khó thở

    Nếu những triệu chứng trên do ăn phải thực phẩm có chứa trứng giun đũa thì sẽ xuất hiện sau 10 - 16 ngày. Trong trường hợp nhiễm do liên quan đến thuốc, người bệnh cần có bằng chứng đã sử dụng thuốc gây tăng bạch cầu ái toan.

    Trong trường hợp nghi ngờ hội chứng Loeffler có liên quan đến thuốc, bệnh nhân cần có bằng chứng sử dụng các thuốc có thể gây tăng bạch cầu ái toan đã nêu trên. Nếu mắc phải hội chứng Loeffler, bác sĩ có thể nghe thấy tiếng thở khò khè hoặc tiếng ran nổ. Trái lại, người bệnh tăng bạch cầu ái toan ở phổi do uống thuốc sẽ có tiếng ran rít khi nghe phổi.

    Biện pháp chẩn đoán bệnh Loeffler

    Các dấu hiệu khi mắc phải hội chứng Loeffler thường mơ hồ, không rõ rệt lại thường thoáng qua. Do đó, để chẩn đoán, bác sĩ sẽ yêu cầu bạn làm một số xét nghiệm hỗ trợ bao gồm:

    • Phân tích tế bào máu ngoại vi: Kết quả của xét nghiệm này cho thấy tình trạng tăng bạch cầu ái toan trong máu nhẹ, rơi vào khoảng 5 - 20%. Trong trường hợp bạch cầu ái toan chiếm đến 40% thì nguyên nhân gây bệnh có thể là do thuốc.
    • Xét nghiệm soi phân: Ký sinh trùng và trứng của nó có thể được tìm thấy trong phân trong vòng từ 6 đến 12 tuần sau khi nhiễm ký sinh trùng tiên phát. Mặc dù vậy, ở thời điểm này, các dấu hiệu ở phổi đã tự giới hạn hoặc đã biến mất hoàn toàn.
    • Mức độ immunoglobulin E (IgE): Con số này có thể tăng cao.
    • Phân tích đờm hoặc dịch dạ dày: Xét nghiệm đôi khi tìm thấy trong đờm và dịch hút dạ dày xuất hiện ấu trùng tại thời điểm có dấu hiệu ở phổi.
    • Soi dịch rửa phế quản phế nang: Kết quả xét nghiệm thấy được số lượng bạch cầu ái toan có thể tăng ở mức cao.
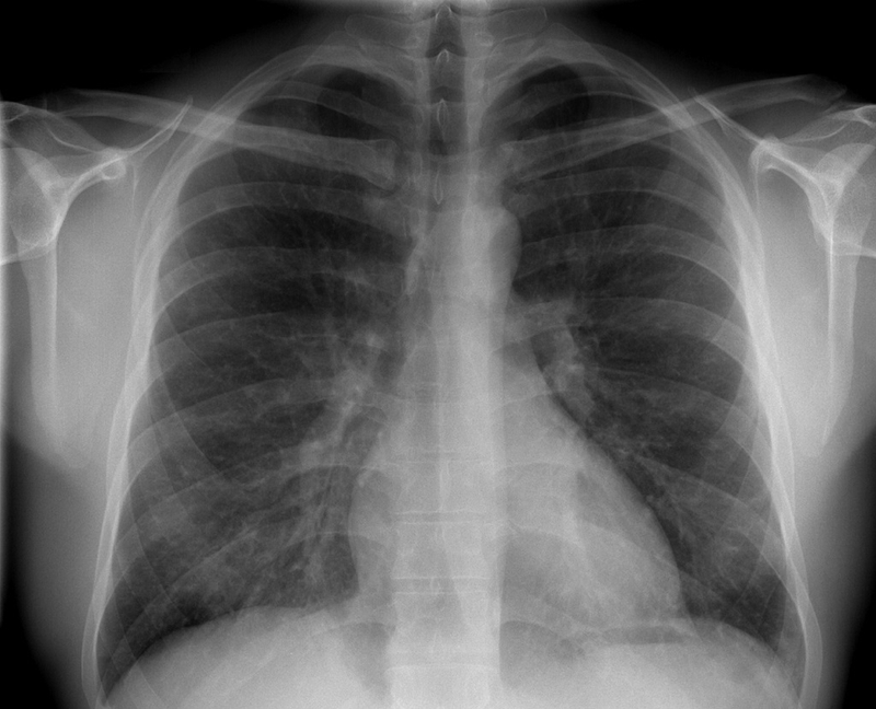
    • Xét nghiệm hình ảnh học như chụp X-quang ngực, CT ngực, nội soi phế quản, hút dịch phế quản: Kết quả chụp X-quang ngực hiển thị có đám mờ di chuyển khác so với vị trí trước đó từ 12 đến 20 ngày. Tuy vậy, những tổn thương phổi quan sát thấy trên phim chụp có thể sẽ hoàn toàn biến mất trong 2 - 4 tuần. Khi mắc bệnh tăng bạch cầu ái toan ở phổi do thuốc, những bất thường trên phim X quang sẽ biến mất hoàn toàn trong vài tuần sau khi dừng việc dùng thuốc nghi ngờ gây bệnh.
    • Phân tích mô học: Các tổn thương phổi cho thấy tình trạng tăng tính xâm nhập bạch cầu ái toan xuất hiện ở phế quản, tiểu phế quản, phế nang và phản kẽ. Các dạng kí sinh thường không tìm thấy trên phổi.
    Hội chứng Loeffler: Triệu chứng, cách chẩn đoán và điều trị bệnh 3 Chẩn đoán hình ảnh giúp chẩn đoán Loeffler

    Cách điều trị và biện pháp phòng tránh bệnh Loeffler

    Việc chẩn đoán, điều trị và theo dõi quá trình tiến triển khi mắc hội chứng Loeffler có thể được thực hiện ngoại trú và người bệnh không cần nhập viện. Bạn có thể vận động, sinh hoạt, có chế độ ăn uống như bình thường mà không cần kiêng khem gì đặc biệt.

    Đa phần các dấu hiệu ở hầu hết người bệnh mắc chứng Loeffler thường tự giới hạn nên không cần thiết phải điều trị đặc hiệu bệnh lý này. Trong trường hợp bị tăng bạch cầu ái toan ở phổi do nguyên nhân dùng thuốc, người bệnh cần ngưng uống thuốc nghi ngờ gây bệnh. Ngược lại, nếu nghi ngờ nguyên nhân mắc hội chứng là do nhiễm ký sinh trùng thì bác sĩ sẽ chỉ định loại thuốc tẩy giun sán thích hợp.

    Tùy theo mức độ biểu hiện của bệnh mà bác sĩ sẽ theo dõi và có những thay đổi phù hợp. Nếu bệnh nặng hoặc chậm thuyên giảm, bệnh nhân sẽ được chỉ định dùng liệu pháp corticosteroid đường toàn thân cho cả 2 trường hợp nguyên nhân nghi ngờ gây bệnh. Liệu pháp này mang đến hiệu quả cao, cải thiện nhanh chóng các triệu chứng.

    Hội chứng Loeffler: Triệu chứng, cách chẩn đoán và điều trị bệnh 4 Ăn chín uống sôi giúp phòng ngừa nhiễm ký sinh trùng gây Loeffler

    Để phòng tránh tái nhiễm và ngăn ngừa nhiễm hội chứng, mỗi người dân cần có ý thức vệ sinh tốt, có thói quen sinh hoạt lành mạnh, đảm bảo môi trường xung quanh luôn sạch sẽ như:

    • Rửa tay bằng xà phòng trước khi ăn, trước và sau khi đi vệ sinh.
    • Ăn chín uống sôi, hạn chế ăn thực phẩm sống, chưa chín kỹ.
    • Xây dựng nhà ở với hệ thống xử lý phân, nước thải hợp vệ sinh.
    • Bố mẹ cần hướng dẫn con trẻ có thói quen rửa tay thường xuyên bằng xà phòng, không ngậm tay vào miệng, không cắn móng tay, không đi chân trần.
    • Bệnh nhân đã được chẩn đoán bị tăng bạch cầu ái toan ở phổi do uống thuốc thì cần tránh dùng loại thuốc đó trong tương lai.

    Loeffler là tình trạng bệnh không nguy hiểm nhưng người bệnh có thể tái lại nếu không chủ động phòng tránh. Mong rằng những chia sẻ trên từ nhà thuốc Long Châu đã giúp bạn có đầy đủ thông tin về hội chứng Loeffler và cách phòng tránh. Bạn hãy xây dựng thói quen giữ vệ sinh sạch sẽ trong sinh hoạt để không nhiễm bệnh nhé!

    Ánh Vũ

    Nguồn tham khảo: hellobacsi.com

    Có thể bạn quan tâm

    Thông tin và sản phẩm gợi ý trong bài viết chỉ mang tính chất tham khảo, vui lòng liên hệ với Bác sĩ, Dược sĩ hoặc chuyên viên y tế để được tư vấn cụ thể. Xem thêm

    Dược sĩ Đại họcTrần Thị Dương

    Đã kiểm duyệt nội dung

    Tốt nghiệp Đại Học Dược Hà Nội và có nhiều kinh nghiệm trong lĩnh vực Dược phẩm. Nhiều năm công tác giảng dạy tại các trường trung cấp và cao đẳng dược. Hiện đang là giảng viên cho Dược sĩ tại Nhà thuốc Long Châu.

    Xem thêm thông tin