• Thực phẩm chức năng

  • Dược mỹ phẩm

  • Thuốc

  • Chăm sóc cá nhân

  • Thiết bị y tế

  • Tiêm chủng

  • Bệnh & Góc sức khỏe

  • Hệ thống nhà thuốc

    1. /
    2. Góc sức khỏe/
    3. Phòng bệnh & Sống khoẻ

    Lang ben mông: Nguyên nhân và cách điều trị dứt điểm

    21/06/2023

    Kích thước chữ

    Lang ben mông dẫn tới khá nhiều rắc rối trong cuộc sống thường ngày. Một số người bệnh có thể nhầm lẫn giữa tình trạng trên với các bệnh về da khác. Vậy nên để hiểu rõ hơn về căn bệnh này, mời bạn cùng theo dõi bài viết với những thông tin thú vị sau đây!

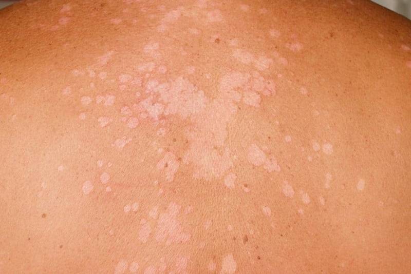
    Lang ben mông gây ra các đốm da có màu đỏ, hồng hay trắng không chỉ gây mất thẩm mỹ mà còn có khả năng lây lan cao cho người khác. Bệnh nếu không được điều trị dứt điểm sẽ dễ tái phát và thậm chí còn lan rộng ra các vùng da lành khác.

    Lang ben mông là gì?

    Lang ben mông là một dạng nhiễm nấm ngoài da. Đặc trưng bởi tình trạng tăng hoặc giảm sắc tố da. Từ đó dẫn đến sự xuất hiện của các đốm da có màu sắc khác biệt rõ rệt. Khu vực bị bệnh thường ít gây ngứa hay đau nhưng có ranh giới rõ ràng với các vùng da lành xung quanh.

    Bệnh lang ben có xu hướng phát triển mạnh ở các nước nhiệt đới, có khí hậu nóng ẩm. Khi vi nấm phát triển mạnh và gây tổn thương ở vùng da mông và có khả năng lan rộng nếu không có biện pháp kiểm soát kịp thời.

    Tuy nhiên, mông là khu vực khá nhạy cảm nên người bệnh thường có tâm lý e ngại khi phát hiện các dấu hiệu nghi ngờ lang ben mông. Điều này dẫn đến sự chậm trễ trong việc thăm khám, làm cho bệnh có xu hướng phát triển nặng hơn gây khó khăn trong việc điều trị.

    Lang ben mông là một dạng nhiễm nấm ngoài da, đặc trưng bởi tình trạng tăng hoặc giảm sắc tố da Lang ben mông là một dạng nhiễm nấm ngoài da

    Nguyên nhân gây lang ben mông

    Tương tự như lang ben da mặt, hay những vị trí khác trên cơ thể, bệnh lang ben mông do một lại nấm có tên là Malassezia gây nên. Malassazia sống ký sinh trong lớp sừng của da. Khi điều kiện thuận lợi cho sự phát triển, loại vi nấm này sẽ tiết ra nhiều enzyme karatinase tác động trực tiếp đến thành phần keratin trong da. Điều này làm cho sắc tố trên da thay đổi một cách bất thường theo chiều hướng tăng hoặc giảm.

    Do vùng mông là nơi thường xuyên bị bít khí và dễ bị đổ mồ hôi, ẩm ướt. Đây là môi trường lý tưởng để Malassezia gây ra bệnh lang ben mông và gây tổn thương cho da. Bên cạnh đó, một số yếu tố khác cũng thúc đẩy sự phát triển của bệnh lang ben mông, gồm:

    • Nội tiết tố thay đổi: Thường gặp ở bà bầu, trẻ bước vào tuổi dậy thì hay phụ nữ tuổi mãn kinh, những người bị căng thẳng quá mức. Tất cả nhưng lý do trên đều có thể dẫn đến tình trạng rối loạn nội tiết tố. Từ đó kích thích các tuyến dưới da tiết nhiều mồ hôi và bã nhờn tạo điều kiện thuận lợi cho nấm phát triển mạnh.
    • Vệ sinh cơ thể kém: Thường xuyên không tắm rửa hay thay quần áo sẽ khiến cho bụi bẩn, mồ hôi và các tế bào chết tích tụ trong lỗ chân lông. Việc này có thể dẫn đến tình trạng lang ben mông và nhiều vấn đề về da khác.
    • Quần áo không phù hợp: Mang quần áo bó sát, chất liệu thô cứng hay mặc quần lót quá nhỏ làm cho mông bị ma sát, bí bách mồ hôi. Việc này làm cho mông luôn trong tình trạng nóng ẩm và dễ bị nhiễm nấm. Bên cạnh đó, người có thói quen mặc quần áo ngay sau khi tắm mà không lau khô người cũng có thể nhiễm lang ben.
    Vùng mông là nơi thường xuyên bị bít khí và dễ bị đổ mồ hôi, ẩm ướt, là môi trường lý tưởng để Malassezia gây ra bệnh lang ben mông Vùng mông bị bít khí và dễ bị đổ mồ hôi, ẩm ướt, dễ gây ra bệnh lang ben mông
    • Hệ miễn dịch suy giảm: Malassezia có khả năng phát triển mạnh khi hệ miễn dịch của cơ thể bị suy yếu. Đây chính là nguyên nhân gây lang ben mông thường gặp ở bệnh nhân nhiễm cúm, bệnh nhân ung thư hoặc nhiễm HIV,...
    • Da dầu: Những người có làn da dầu có nguy cơ bị lang ben mông cao hơn so với người khác. Nhất là những trường hợp bị rối loạn tuyến bã nhờn càng dễ mắc bệnh hơn.
    • Khí hậu nóng ẩm: Loại vi nấm gây bệnh lang ben ưa sống ở môi trường nóng ẩm. Vì thế nên có khả năng tấn công vào các đối tượng đang sống trong điều kiện thời tiết này.
    • Xông hơi thường xuyên: Thói quen này có thể làm cho thân nhiệt tăng cao. Không chỉ vậy, môi trường nóng ẩm của phòng xông hơi cũng chính là điều kiện tốt để vi nấm phát triển.

    Thuốc điều trị dứt điểm lang ben mông

    Các loại thuốc được dùng trong điều trị lang ben mông có thể là thuốc kê đơn hoặc không cần kê đơn. Tuy nhiên, trước khi có ý định dùng bất kỳ loại thuốc nào thì người bệnh cũng cần tham khảo ý kiến của bác sĩ để được tư vấn cách dùng và liều dùng phù hợp nhằm đảm bảo an toàn cho sức khỏe. Tùy vào mức độ nghiêm trọng của bệnh mà bác sĩ có thể chỉ định dùng thuốc bôi ngoài da hay thuốc uống. Bao gồm:

    Tùy vào mức độ nghiêm trọng của bệnh mà bác sĩ có thể chỉ định dùng thuốc bôi ngoài da hay thuốc uống Tùy mức độ bệnh mà bác sĩ chỉ định dùng thuốc bôi ngoài da hay thuốc uống

    Thuốc bôi chữa lang ben mông

    Các loại thuốc bôi có tác dụng tại chỗ nên thích hợp cho những trường hợp nhẹ, tổn thương trên da không nhiều. Loại thuốc này tác động trực tiếp với vùng da bị lang ben nhằm tiêu diệt vi nấm, kích thích tái tạo da. Các loại thuốc bôi trị lang ben mông thường được sử dụng gồm:

    • Thuốc kháng nấm: Chứa thành phần chính là Ketoconazol, có tác dụng kháng nấm và ngăn chặn quá trình phân chia của tế bào nấm.
    • Dung dịch ASA: Thành phần chính là Acetylsalicylic Acid. Loại thuốc này có tác dụng kháng viêm, giảm đau và loại bỏ cảm giác ngứa ngáy, khó chịu ở vùng da mông do bệnh gây ra.
    • Xà phòng chứa Pyrithione kẽm: Được sử dụng để vệ sinh vùng da bị bệnh hoặc tắm rửa toàn thân để hỗ trợ diệt nấm cũng như loại bỏ cảm giác khó chịu cho người bệnh.

    Thuốc trị lang ben ở mông dạng uống

    Bởi vì thuốc dạng uống thường có tác dụng toàn thân nên chỉ được kê đơn cho các trường hợp bị lang ben nặng, vùng tổn thương lan rộng hoặc bệnh tái phát nhiều lần. Bệnh nhân có thể được chỉ định dùng Itraconazole hay Fluconazole. Các loại thuốc này có khả năng kháng nấm mạnh nhưng cũng tiềm ẩn một số tác dụng phụ gây hại cho cơ thể. Vì vậy, người bệnh chỉ nên dùng thuốc uống trị lang ben theo chỉ dẫn của bác sĩ, không tự ý uống thêm hay bớt liều.

    Bên cạnh việc sử dụng thuốc điều trị theo chỉ dẫn của bác sĩ thì người bị lang ben mông cũng cần chăm sóc da và điều chỉnh lối sống phù hợp để tổn thương nhanh chóng hồi phục. Hy vọng qua bài viết này bạn có thể hiểu thêm về lang ben mông và có cách điều trị cũng như phòng ngừa hiệu quả.

    Ngọc Hiếu

    Nguồn tham khảo: Tổng hợp

    Thông tin và sản phẩm gợi ý trong bài viết chỉ mang tính chất tham khảo, vui lòng liên hệ với Bác sĩ, Dược sĩ hoặc chuyên viên y tế để được tư vấn cụ thể. Xem thêm

    Dược sĩ Đại họcNguyễn Thị Hồng Nhung

    Đã kiểm duyệt nội dung

    Tốt nghiệp đại học Khoa Dược. Có kinh nghiệm hơn 10 năm trong lĩnh vực Dược phẩm, tư vấn thuốc và thực phẩm chức năng. Hiện đang là giảng viên cho Dược sĩ tại Nhà thuốc Long Châu.

    Xem thêm thông tin