Tốt nghiệp Đại Học Dược Hà Nội - chuyên môn Dược lâm sàng. Hiện đang là giảng viên cho Dược sĩ tại Nhà thuốc Long Châu.
21/06/2023
Mặc định
Lớn hơn
Tình trạng cao răng độ 3 dễ dẫn đến nhiều vấn đề cho sức khỏe răng miệng, đồng thời còn tiềm ẩn nguy cơ cao gây ra nhiều biến chứng nguy hiểm.
Ai trong chúng ta cũng đều biết răng cao răng xuất hiện sẽ dẫn đến nhiều vấn đề cho sức khỏe răng miệng. Vì thế, chúng ta cần phải xử lý càng sớm cao răng càng tốt. Trong các mức độ của cao răng, cấp độ 3 được cảnh báo là tình trạng đáng báo động chỉ đứng sau mức độ cao nhất. Vậy làm sao để nhận biết cao răng độ 3 là như thế nào? Tham khảo ngay bài viết này để hiểu rõ hơn về tình trạng này.
Theo các chuyên gia, tình trạng cao răng được phân chia thành 4 cấp độ chính:
Đây là tình trạng cao răng mới hình thành. Ở thời điểm này, chúng ta khó có thể nhận ra khi không quan sát kỹ. Lúc bấy giờ, các mảng bám thức ăn thừa còn mềm và mỏng, chúng có màu trắng nhạt và bám dính ở phía trên khuôn hàm. Bạn có thể dùng móng tay hoặc bàn chải lông mềm để lấy cao răng độ 1.
Ở cấp độ này, các mảng bám mềm và mỏng sẽ dần cứng chắc. Cao răng cũng bám chặt vào bề mặt của răng nhiều hơn. Khác với cấp độ 1, bạn sẽ không thể dùng móng tay hoặc chải răng để loại bỏ hoàn toàn cao răng ở cấp độ 2. Màu sắc của cao răng độ 2 vẫn còn khá nhạt. Nếu không quan sát cẩn thận thì bạn sẽ khó phát hiện ra.
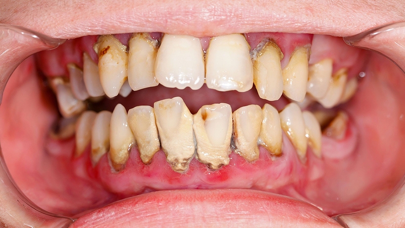
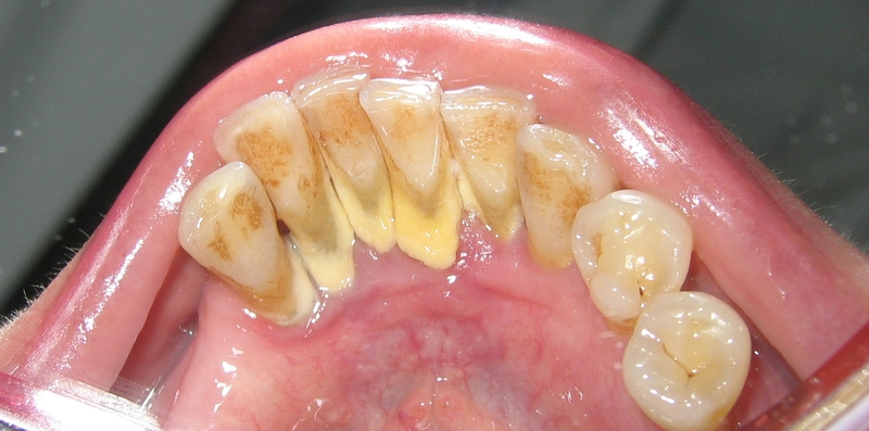
Vào thời điểm cao răng tiến triển lên cấp độ 3, chúng sẽ chuyển dần từ vàng nhạt sang vàng đậm, nâu nhạt. Vì thế, bạn có thể dễ nhận ra chúng hơn. Độ dày và độ cứng chắc của cao răng cũng tăng lên. Cao răng không chỉ còn hình thành ở phần trong hàm, mà còn lấn ra mặt ngoài của răng.
Cao răng độ 3 có màu vàng đậm, dày và cứng chắc, bám nhiều ở mặt trong và ngoài của răng.Đây là mức độ cao nhất khi cao răng hình thành. Màu sắc của cao răng lúc này đã chuyển từ vàng sang đen. Cao răng cũng ăn sâu và bám chắc vào nướu, chân răng, khiến cho phần chân răng lộ rõ ra ngoài. Ở cấp độ này, cao răng có thể tấn công vào cả xương hàm bên trong.
Không cần phải đợi đến khi cao răng đi đến cấp độ 4, khi cao răng độ 3, bạn đã có thể hứng chịu nhiều tác động xấu đến sức khỏe răng miệng. Cao răng độ 3 bao phủ nướu nhiều gây ra tình trạng viêm nướu, tụt lợi, hở chân răng, răng dễ bị lung lay và gãy rụng.
Bên cạnh đó, vùng nướu bị viêm nhiễm sẽ dẫn đến bệnh viêm nha chu, viêm lợi,... gây đau nhức và ảnh hưởng ít nhiều đến chất lượng cuộc sống của bạn. Cao răng độ 3 còn phá hủy men răng và cấu trúc răng, gây viêm tủy răng, thậm chí là hoại tử tủy răng. Chân răng của bạn dễ bị ê buốt và chảy máu hơn. Miệng có mùi hôi khó chịu, chức năng ăn và nhai bị suy giảm.
Cao răng độ 3 có khả năng gây viêm nướu, tụt lợi, sâu răng,... thậm chí là mất răng.Có thể nói rằng, cao răng độ 3 gây ra nhiều nguy hiểm tiềm ẩn cho sức khỏe. Chính vì thế, khi nhận biết cao răng đã tiến triển đến cấp độ này, bạn nên loại bỏ sớm để bảo vệ cơ thể tốt nhất.
Cao răng thường bám rất chắc vào chân và nướu răng. Một vài trường hợp, khi bạn nhai thức ăn, cao răng có thể tự vỡ ra. Thế nhưng, các mảng bám này không thể tự bong tróc hoàn toàn mà cần phải có sự tác động từ bên ngoài. Việc lấy cao răng định kỳ sẽ giúp bạn loại bỏ cao răng và phòng ngừa nhiều vấn đề về sức khỏe răng miệng. Vậy thời điểm nào nên đi lấy cao răng? Theo ý kiến của nhiều chuyên gia, bạn nên đi lấy cao răng tầm khoảng 6 tháng/lần. Trường hợp cao răng hình thành và đóng bám nhiều, bạn có thể cạo vôi răng sau 3 - 4 tháng/lần.
Bạn nên đi lấy cao răng định kỳ 6 tháng/lần.Hiện nay, có rất nhiều phương pháp lấy cao răng. Bạn có thể tận dụng làm sạch cao răng tại nhà bằng nguyên liệu tự nhiên như vỏ chuối, đường nâu, giấm táo,... Với điều kiện là cao răng mới hình thành, hoặc từ cấp độ 2 trở xuống.
Đối với trường hợp cao răng độ 3 trở lên, bạn nên nhờ đến sự trợ giúp của nha sĩ tại các trung tâm nha khoa uy tín, chất lượng. Các nha sĩ sẽ thực hiện lấy cao răng bằng công nghệ sóng siêu âm tiên tiến. Lớp cao răng có độ dày như thế nào cũng dễ dàng bị phá vỡ mà không cần tác động lực mạnh để loại bỏ. Phần men răng cũng được đảm bảo không bị ảnh hưởng.
Tóm lại, cao răng độ 3 được đánh giá là tình trạng đáng báo động của sức khỏe răng miệng. Bạn nên thực hiện ngay các biện pháp loại bỏ cao răng sớm để giảm thiểu nhiều nguy cơ gây ảnh hưởng xấu đến răng và nướu. Ngoài ra, bạn cũng nên giữ thói quen vệ sinh răng miệng sạch sẽ, ăn nhiều thực phẩm tốt cho răng, hạn chế thức ăn ngọt có hại cho men răng,... Từ đó, giúp tăng cường bảo vệ sức khỏe răng miệng tốt nhất. Hy vọng bạn sẽ sớm sở hữu hàm răng trắng sáng và chắc khỏe.
Bảo Vân
Nguồn tham khảo: Tổng hợp
:format(webp)/KF_1b_LIQ_Tx_J_Pb27_Vsh90_QN_6b_Xz_OB_Jo_U_f0e2294e2e.png)
Dược sĩ Đại họcNguyễn Chí Chương
Tốt nghiệp Đại Học Dược Hà Nội - chuyên môn Dược lâm sàng. Hiện đang là giảng viên cho Dược sĩ tại Nhà thuốc Long Châu.