• Thực phẩm chức năng

  • Dược mỹ phẩm

  • Thuốc

  • Chăm sóc cá nhân

  • Thiết bị y tế

  • Tiêm chủng

  • Bệnh & Góc sức khỏe

  • Hệ thống nhà thuốc

    1. /
    2. Góc sức khỏe/
    3. Phòng bệnh & Sống khoẻ

    Nguy cơ gia tăng ung thư vú do mật độ mô vú dày

    21/06/2023

    Kích thước chữ

    Mật độ mô vú dày giúp ngực chị em phụ trông săn chắc hơn. Tuy nhiên, mật độ mô vú dày cũng làm gia tăng nguy cưng mắc ung thư vú hơn.

    Mặc dù chị em phụ nữ quan tâm nhiều đến bộ ngực để giúp cơ thể trở nên đẹp hơn, nhưng ít ai quan tâm đến mật độ mô vú. Mật độ mô vú đóng vai trò quan trọng trong việc khiến ngực trở nên đầy đặn hay không. Bên cạnh đó, mô vú dày hay mỏng cũng quyết định nguy cơ mắc các bệnh liên quan đến ngực, chẳng hạn như ung thư vú. Bài viết này sẽ giúp các bạn hiểu tại sao mật độ mô vú làm gia tăng nguy cơ ung thư vú.

    Mật độ mô vú là gì?

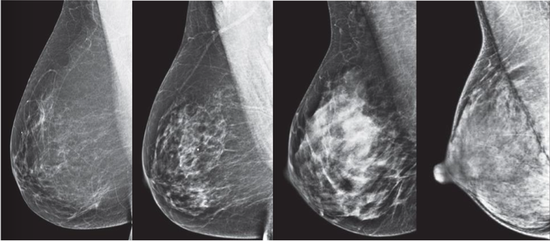
    Mật độ mô vú (hay còn gọi là mật độ nhũ ảnh) là một thuật ngữ y khoa được sử dụng để mô tả hình ảnh vú trên phim chụp tuyến vú để đo các loại mô vú khác nhau.

    Các loại mô vú có thể nhìn thấy trên phim chụp bao gồm:

    • Mô mỡ;
    • Mô tuyến (ống dẫn sữa và tiểu thùy);
    • Mô liên kết (giúp liên kết cố định các mô với nhau).
    Mật độ mô vú (hay còn gọi là mật độ nhũ ảnh) mô tả hình ảnh vú trên phim chụp tuyến vú 1 Mật độ mô vú (hay còn gọi là mật độ nhũ ảnh) mô tả hình ảnh vú trên phim chụp tuyến vú

    Các yếu tố ảnh hưởng đến mật độ mô vú

    Có một số yếu tố có thể ảnh hưởng đến mật độ mô vú, chẳng hạn như phụ nữ trẻ và phụ nữ có chỉ số khối cơ thể (BMI) thấp hơn có xu hướng có mật độ mô vú cao hơn.

    Yếu tố di truyền cũng rất quan trọng trong việc xác định mật độ mô vú. Người mẹ có mật độ mô vú dày thì con gái cũng có khả năng có mật độ mô vú dày.

    Các yếu tố khác có thể làm tăng hoặc giảm mật độ mô vú như:

    • Có con (giảm);
    • Đang điều trị thay thế hormone (tăng);
    • Trải qua thời kỳ mãn kinh (giảm);
    • Đang dùng tamoxifen (giảm).

    Tất cả những yếu tố này có thể thay đổi nồng độ hormone trong cơ thể và ảnh hưởng đến mật độ mô vú.

    Thời kỳ mãn kinh cũng góp phần làm thay đổi mật độ mô vú 2 Thời kỳ mãn kinh cũng góp phần làm thay đổi mật độ mô vú

    Mối liên hệ giữa mật độ mô vú dày và ung thư vú

    Mật độ mô vú rất quan trọng vì nó có thể có tác động nghiêm trọng trong việc chẩn đoán ung thư vú. Phụ nữ có bộ ngực không đều hoặc cực kỳ dày (Loại C và D trên thang điểm BI-RADS) có nguy cơ mắc ung thư vú cao hơn so với phụ nữ có bộ ngực trung bình và nhỏ.

    Các tuyến vú và mô liên kết có thể che giấu bệnh hoặc gây nhầm lẫn, khiến việc phát hiện sớm bệnh ung thư trở nên khó khăn. Điều này là do tế bào ung thư, mô tuyến và mô liên kết đều có màu trắng trên phim chụp quang tuyến vú. Theo đó, các mô khỏe mạnh có thể che giấu tế bào ung thư.

    Phụ nữ có bộ ngực dày (lớn) có nhiều nguy cơ bị chẩn đoán sai bệnh ung thư, và do đó, họ bỏ lỡ giai đoạn phát hiện ung thư sớm ở các lần chụp quang tuyến vú. Các bác sĩ thường phát hiện bệnh khi bệnh nhân có các triệu chứng như có khối u, tiết dịch ở núm vú. Do bị phát hiện muộn, họ mất nhiều thời gian điều trị hơn, nhưng kết quả có thể không khả quan.

    Phụ nữ có bộ ngực dày (lơn) có nhiều nguy cơ bị chẩn đoán sai bệnh ung thư 3 Phụ nữ có bộ ngực dày (lơn) có nhiều nguy cơ bị chẩn đoán sai bệnh ung thư

    Như vậy, ung thư vú cũng có thể được chẩn đoán sớm thông qua mật độ mô vú. Tuy nhiên, yếu tố này cần được xem xét bên cạnh các yếu tố khác, chẳng hạn như chế độ sinh hoạt và di truyền. Điều này có nghĩa là, nếu bạn có mật độ mô vú dày (khi được chẩn đoán) thì bạn không nên quá lo lắng. Điều cần làm là duy trì chế độ sinh hoạt lành mạnh để phòng tránh căn bệnh này.

    Tuyết Linh

    Nguồn tham khảo: bcna.org.au

    Thông tin và sản phẩm gợi ý trong bài viết chỉ mang tính chất tham khảo, vui lòng liên hệ với Bác sĩ, Dược sĩ hoặc chuyên viên y tế để được tư vấn cụ thể. Xem thêm

    Dược sĩ Đại họcNgô Kim Thúy

    Đã kiểm duyệt nội dung

    Tốt nghiệp loại giỏi trường Đại học Y Dược Huế. Từng tham gia nghiên cứu khoa học đề tài về Dược liệu. Nhiều năm kinh nghiệm làm việc trong lĩnh vực Dược phẩm. Hiện đang là giảng viên cho Dược sĩ tại Nhà thuốc Long Châu.