Dược sĩ Đại học có nhiều năm kinh nghiệm trong việc tư vấn Dược phẩm và hỗ trợ giải đáp thắc mắc về Bệnh học. Hiện đang là giảng viên cho Dược sĩ tại Nhà thuốc Long Châu.
Ngọc Diễm
06/03/2025
Mặc định
Lớn hơn
Sâu chân răng là một vấn đề răng miệng phổ biến nhưng thường bị bỏ qua cho đến khi gây đau nhức hoặc biến chứng nghiêm trọng. Nếu không được phát hiện và điều trị kịp thời, sâu chân răng có thể gây viêm nhiễm, mất răng và ảnh hưởng đến sức khỏe toàn thân. Hãy cùng chúng tôi tìm hiểu chi tiết hơn về sâu chân răng và một số thông tin liên quan nhé!
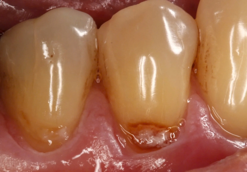
Sâu chân răng là một trong những vấn đề răng miệng phổ biến nhưng thường bị bỏ qua cho đến khi gây ra đau nhức hoặc biến chứng nghiêm trọng. Tình trạng này xảy ra khi vi khuẩn trong mảng bám răng tấn công men răng và lan xuống phần chân răng, gây tổn thương cấu trúc răng và nướu. Tuy nhiên, bệnh lý này hoàn toàn có thể phòng ngừa bằng cách duy trì vệ sinh răng miệng đúng cách và thay đổi thói quen ăn uống. Vậy đâu là nguyên nhân chính gây sâu chân răng, những hậu quả có thể gặp phải và làm thế nào để bảo vệ răng hiệu quả?
Sâu chân răng là một vấn đề răng miệng phổ biến có thể gây đau nhức, viêm nhiễm và ảnh hưởng nghiêm trọng đến sức khỏe răng miệng nếu không được điều trị kịp thời. Tình trạng này thường bắt đầu từ sự tích tụ mảng bám vi khuẩn, nhưng còn có nhiều yếu tố khác góp phần làm tăng nguy cơ sâu chân răng mà không phải ai cũng biết. Dưới đây là một số yếu tố gây nên tình trạng sâu chân răng.
Thực phẩm giàu đường và tinh bột như bánh kẹo, nước ngọt, đồ ăn nhanh là môi trường lý tưởng để vi khuẩn phát triển. Khi tiêu thụ quá nhiều thực phẩm này mà không vệ sinh răng miệng đúng cách, nguy cơ sâu chân răng sẽ tăng cao.

Nước bọt đóng vai trò quan trọng trong việc rửa trôi vi khuẩn và trung hòa axit trong miệng. Khi cơ thể bị mất nước hoặc mắc các bệnh lý gây khô miệng, vi khuẩn có thể phát triển mạnh hơn, làm tăng nguy cơ sâu chân răng.
Chải răng không đúng cách hoặc không sử dụng chỉ nha khoa khiến mảng bám và thức ăn thừa tích tụ quanh chân răng, tạo điều kiện cho vi khuẩn gây sâu răng phát triển. Việc không đi khám nha khoa định kỳ cũng góp phần làm tăng nguy cơ mắc bệnh.

Sâu chân răng không chỉ gây khó chịu và đau nhức mà còn có thể dẫn đến nhiều hậu quả nghiêm trọng nếu không được điều trị kịp thời. Nhiều người thường xem nhẹ dấu hiệu sâu chân răng, dẫn đến các biến chứng nguy hiểm, thậm chí mất răng vĩnh viễn. Vậy sâu chân răng có thể gây ra những hậu quả gì? Sau đây là một số tác hại của sâu chân răng gây nên:

Sâu chân răng là một vấn đề răng miệng phổ biến, có thể gây đau nhức, viêm nhiễm và ảnh hưởng đến sức khỏe răng miệng nếu không được phòng ngừa đúng cách. Tuy nhiên, tình trạng này hoàn toàn có thể ngăn chặn bằng những biện pháp đơn giản nhưng hiệu quả. Dưới đây là một số cách chăm sóc răng miệng đúng cách giúp phòng tránh sâu chân răng mà bạn nên tham khảo:

Sâu chân răng là một vấn đề răng miệng phổ biến nhưng có thể gây ra nhiều hậu quả nghiêm trọng nếu không được phát hiện và điều trị kịp thời. Việc hiểu rõ nguyên nhân gây bệnh giúp mỗi người có thể chủ động phòng tránh, từ đó bảo vệ răng miệng một cách hiệu quả. Bằng cách duy trì thói quen vệ sinh răng miệng đúng cách, kiểm soát chế độ ăn uống và thăm khám nha khoa định kỳ, chúng ta có thể ngăn ngừa sâu chân răng và giữ cho hàm răng luôn chắc khỏe.
Dược sĩ Đại họcNguyễn Mỹ Huyền
Dược sĩ Đại học có nhiều năm kinh nghiệm trong việc tư vấn Dược phẩm và hỗ trợ giải đáp thắc mắc về Bệnh học. Hiện đang là giảng viên cho Dược sĩ tại Nhà thuốc Long Châu.