Tốt nghiệp Khoa Dược trường Đại học Nam Cần Thơ. Có nhiều năm kinh nghiệm công tác trong lĩnh vực Dược phẩm. Hiện đang giảng viên cho Dược sĩ tại Nhà thuốc Long Châu.
Thanh Hương
14/06/2024
Mặc định
Lớn hơn
Bất cứ ai trong chúng ta cũng có cao răng, chỉ là mức độ ít hay nhiều khác nhau mà thôi. Vậy cao răng là gì? Cao răng có ảnh hưởng gì đến sức khỏe răng miệng không? Cách loại bỏ và phòng ngừa cao răng ra sao?
Cao răng được hình thành sau một quá trình các mảng bám tích tụ quanh thân răng, chân răng và bị vôi hóa. Ngoài việc ảnh hưởng đến tính thẩm mĩ của hàm răng, liệu cao răng có gây ra các vấn đề về nha khoa hay sức khỏe răng miệng nào không? Làm thế nào để loại bỏ cao răng hiệu quả?
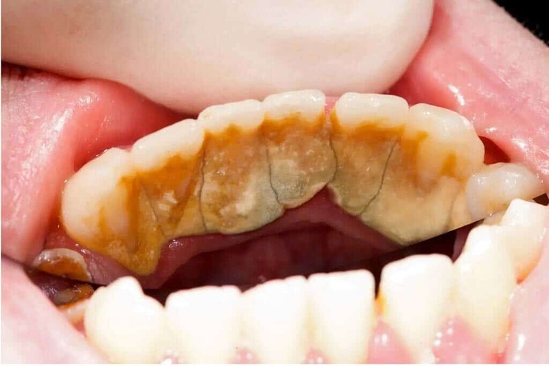
Cao răng là gì? Cao răng hay vôi răng được hình thành do mảng bám tích tụ trong thời gian dài ở chân răng, viền nướu răng và quanh thân răng. Theo thời gian, các mảng bám này dưới tác động của các khoáng chất, acid trong nước bọt và vi khuẩn trong khoang miệng sẽ bị vôi hóa tạo thành vôi răng.
Cần thừa nhận một thực tế, dù chúng ta vệ sinh răng miệng kỹ đến mức nào thì vẫn tồn tại vi khuẩn trong khoang miệng. Vi khuẩn sẽ tiết axit gây mòn men răng và lắng đọng các protein khoáng hóa tạo thành một mảng bám dính khá chặt chẽ trên răng gọi là mảng bám răng. Những mảng bám này nếu chúng ta chải răng không kỹ càng hay chỉ súc miệng sẽ không thể làm sạch. Mảng bám cứ tích tụ dần, ngày càng nhiều, trở nên cứng, dày và thẫm màu hơn. Và chúng ta không thể loại bỏ bằng cách chải răng thông thường.

Trong thành phần của cao răng chủ yếu chứa vi khuẩn đã chết bị khoáng hóa, protein khoáng hóa, canxi photphat, canxi cacbonat, magie photphat. Cao răng chứa nhiều vi khuẩn, có thể làm hỏng men răng, gây tụt lợi khi rìa mô của nướu bao quanh răng bị mòn, gây viêm nha chu, hôi miệng,… Những trường hợp cao răng mức độ nặng còn có thể tiềm ẩn nguy cơ mất xương và mô giữ răng dẫn đến mất răng.
Chúng ta không thể loại bỏ hoàn toàn cơ chế hình thành cao răng vì chúng ta không thể ngừng ăn uống, ngừng tiết nước bọt. Tuy nhiên, có những người cao răng ít, có người răng bị vôi đóng nhiều. Nếu chúng ta tiêu thụ các loại thực phẩm, đồ uống chứa nhiều đường, chất bột đường, vi khuẩn trong khoang miệng sẽ hoạt động mạnh mẽ và tạo điều kiện cho việc hình thành mảng bám trên răng.
Việc vệ sinh răng miệng không kỹ càng, không có thói quen lấy cao răng định kỳ cũng có thể khiến vôi răng tích tụ thành mảng lớn và cứng. Những người nhiều cao răng thường là những người không chú trọng vệ sinh răng miệng và không có thói quen khám nha khoa định kỳ.
Chúng ta có thể đánh giá tình trạng cao răng theo phân loại và phân độ.
Cao răng được phân thành các loại gồm:

Cao răng nhiều hay ít có cách nào để đánh giá không? Câu trả lời chính là dựa vào phân độ cao răng. Theo đó:
Một số trường hợp, cao răng tự vỡ và chúng ta sẽ cảm nhận rõ những mảnh nhỏ lợn cợn trong khoang miệng. Tuy nhiên, những mảnh cao răng tự vỡ chỉ là một phần rất nhỏ trong số những mảng lớn cao răng đang tích tụ trong khoang miệng của chúng ta. Thay vì chờ đợi cao răng tự rụng, chúng ta cần chủ động loại bỏ vôi răng định kỳ.

Có một số cách tẩy cao răng tại nhà chúng ta có thể áp dụng thường xuyên để hạn chế cao răng tích tụ quá dày đặc như:
Chúng ta không thể phòng ngừa cao răng hoàn toàn nhưng chúng ta có cách để hạn chế tích tụ cao răng. Việc này sẽ giúp giảm tần suất lấy cao răng, giảm nguy cơ mắc các bệnh răng miệng, giảm mùi hôi miệng. Một số cách mà bạn có thể áp dụng hàng ngày như:

Thăm khám nha khoa định kỳ và loại bỏ cao răng thường xuyên ngay từ cấp độ 1 và cấp độ 2 là việc cần thiết. Bạn không nên để cao răng tích tụ đến cấp độ 3, cấp độ 4 mới xử lý vì sẽ mất nhiều thời gian hơn và tiềm ẩn nhiều nguy cơ ảnh hưởng đến sức khỏe răng miệng.
Xem thêm:
Dược sĩ Đại họcNguyễn Thị Thảo Nguyên
Tốt nghiệp Khoa Dược trường Đại học Nam Cần Thơ. Có nhiều năm kinh nghiệm công tác trong lĩnh vực Dược phẩm. Hiện đang giảng viên cho Dược sĩ tại Nhà thuốc Long Châu.