Dược sĩ Đại học có nhiều năm kinh nghiệm trong việc tư vấn Dược phẩm và hỗ trợ giải đáp thắc mắc về Bệnh học. Hiện đang là giảng viên cho Dược sĩ tại Nhà thuốc Long Châu.
Thảo Nhi
10/05/2024
Mặc định
Lớn hơn
Dán răng sứ đã trở thành một phương pháp phổ biến và được nhiều người ưa chuộng để cải thiện hình dáng và thẩm mỹ của răng. Tuy nhiên, như mọi công nghệ và phương pháp điều trị, việc dán răng sứ cũng có nhược điểm riêng. Để hiểu rõ hơn về các hạn chế của phương pháp này, hãy cùng tìm hiểu về nhược điểm của dán răng sứ.
Tìm hiểu nhược điểm của dán răng sứ Veneer không phải là một lý do để bỏ qua phương pháp này mà là để người bệnh và các chuyên gia nha khoa hiểu rõ và lựa chọn phương pháp phù hợp dựa trên tình trạng và mong muốn cá nhân.
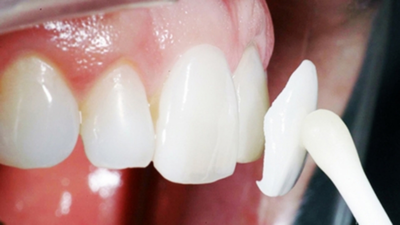
Mặt dán sứ Veneer (Laminate sứ) là một loại vật liệu mỏng có độ dày từ 0.3 - 0.5mm, có màu sắc tương tự như màu răng và được gắn lên bề mặt ngoài của răng. Nó có khả năng ôm khít toàn bộ bề mặt răng, giúp cải thiện hình dáng răng và mang lại hiệu quả thẩm mỹ mong muốn. Veneer thường được sản xuất từ các chất liệu như sứ, composite hoặc nhựa tổng hợp và có thể được gắn chặt lên răng trong thời gian dài.
Phương pháp sử dụng mặt dán sứ Veneer cũng có thể được áp dụng để điều trị một số vấn đề về thẩm mỹ. Cụ thể, những trường hợp nên sử dụng mặt dán sứ Veneer bao gồm:
Có một số nhóm người không phù hợp để tiến hành dán sứ Veneer, bao gồm:

Trong quá trình thực hiện dán sứ Veneer, bác sĩ chỉ mài một lớp mỏng trên bề mặt răng, không gây tác động đến ngà răng hay các mô nhạy cảm xung quanh. Để giảm cảm giác ê buốt, người bệnh sẽ được sử dụng thuốc gây tê.
Mặc dù phương pháp dán răng sứ mang lại nhiều lợi ích vượt trội như đã trình bày, nhưng cần lưu ý những nhược điểm sau đây để đảm bảo tính hiệu quả và an toàn:
Một trong những nhược điểm của dán răng sứ là không phù hợp cho tất cả các trường hợp. Kỹ thuật này không thực hiện việc mài mòn bề mặt răng ngoài, mà chỉ thay đổi dáng dấp và màu sắc của răng. Do đó, nếu tình trạng răng bị thưa, lệch, hoặc hư hỏng quá nặng, việc dán sứ Veneer có thể không mang lại hiệu quả phục hình răng tối ưu.
Thực hiện quá trình dán răng sứ đòi hỏi kỹ thuật cao và kinh nghiệm giàu có từ phía bác sĩ. Bên cạnh việc phải tuân thủ phác đồ điều trị chính xác, bác sĩ cần cẩn thận và tỉ mỉ trong từng bước thực hiện. Một chút sai lệch nhỏ cũng có thể dẫn đến việc miếng dán sứ trở nên lỏng lẻo, mất đi tính thẩm mỹ và dễ bị rơi ra sau một thời gian ngắn.

Mặc dù các ưu và nhược điểm của việc dán răng sứ đã được biết đến, một số khách hàng vẫn cảm thấy e ngại về chi phí. Nguyên nhân cho việc mặt sứ Veneer có mức giá cao là do quá trình chế tác sử dụng chất liệu sứ cao cấp, qua nhiều công đoạn phức tạp và yêu cầu kỹ thuật tỉ mỉ, đòi hỏi sự khéo léo từ bác sĩ cũng như sự hỗ trợ từ các thiết bị hiện đại. Tất cả những yếu tố này đều nhằm mang lại vẻ đẹp tự nhiên, chân thực và độ bền cao, đồng thời đảm bảo an toàn cho khách hàng sau khi dán sứ.
Một số lưu ý quan trọng mà người bệnh cần nhớ sau khi dán sứ là như sau:

Dán răng sứ là một phương pháp giúp bệnh nhân có được hàm răng trắng sáng, đẹp và khỏe mạnh. Khi lựa chọn phương pháp này, hãy tìm hiểu kĩ nhược điểm của dán răng sứ là gì và đến các cơ sở y tế uy tín và được điều trị bởi bác sĩ giàu kinh nghiệm để đảm bảo tính thẩm mỹ và độ bền lâu dài của mặt sứ.
Xem thêm:
Dược sĩ Đại họcNguyễn Mỹ Huyền
Dược sĩ Đại học có nhiều năm kinh nghiệm trong việc tư vấn Dược phẩm và hỗ trợ giải đáp thắc mắc về Bệnh học. Hiện đang là giảng viên cho Dược sĩ tại Nhà thuốc Long Châu.