Tốt nghiệp Đại học Dược Hà Nội, với hơn 10 năm kinh nghiệm trong lĩnh vực Dược phẩm. Hiện là giảng viên giảng dạy các môn Dược lý, Dược lâm sàng,...
Mỹ Hạnh
09/05/2025
Mặc định
Lớn hơn
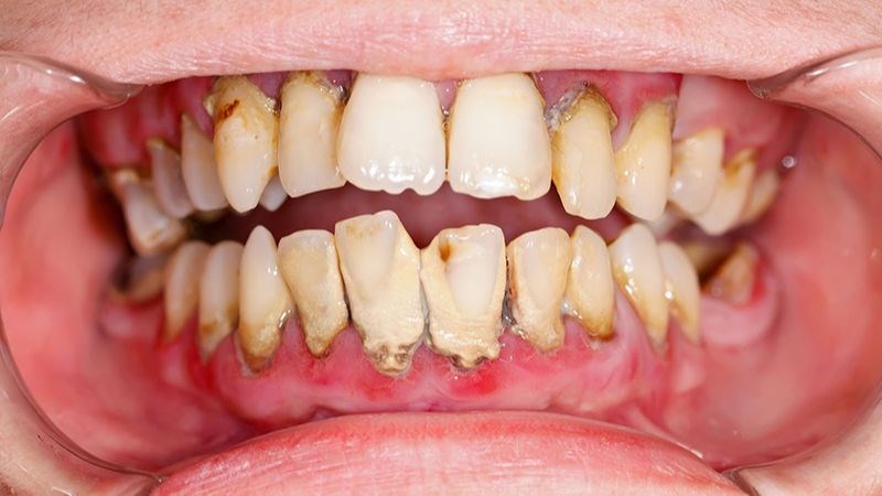
Răng có vết đen không chỉ là vấn đề thường gặp ở mọi đối tượng, đặc biệt là những người trung niên. Ngoài việc gây nên tình trạng mất thẩm mỹ, những đốm đen trên răng còn là biểu hiện của các vấn đề về sức khỏe răng miệng như sâu răng, viêm nha chu, hôi miệng hay tụt nướu.
Người trưởng thành thường có xu hướng chủ quan khi phát hiện vết đen trên răng, vì họ cho rằng nó không ảnh hưởng nhiều đến khả năng nhai. Tuy nhiên, điều quan trọng là nhận thức rằng tình trạng răng có vết đen này thực sự là nguyên nhân của nhiều vấn đề răng miệng bao gồm viêm nha chu, tụt lợi và thậm chí có thể dẫn đến mất răng vĩnh viễn. Hãy tham khảo bài viết dưới đây để hiểu rõ hơn về tình trạng này.
Răng có vết đen có thể xuất phát từ nhiều nguyên nhân khác nhau.

Mảng bám trên răng có vết đen thường được coi là biến thể nặng của vôi răng thông thường. Việc không làm sạch hoặc loại bỏ sớm có thể gây ra các tác động không mong muốn như:

Để khắc phục tình trạng răng bị đen, việc can thiệp sớm là quan trọng để ngăn chặn tác động xấu đối với sức khỏe răng miệng và cải thiện thẩm mỹ.
Đối với nguyên nhân là mảng bám và cao răng, quy trình điều trị thường bao gồm việc lấy cao răng. Điều này cần được thực hiện một cách cẩn thận và kỹ lưỡng để loại bỏ hoàn toàn cao răng và mảng bám ở mọi mặt của răng. Sau đó, quá trình đánh bóng được thực hiện để làm cho bề mặt răng trở nên láng bóng, nhẵn nhụi, giảm thiểu sự hình thành mảng bám và cao răng.
Nếu nguyên nhân là sâu răng, phương pháp điều trị thường bao gồm việc hàn răng sâu. Bác sĩ sẽ loại bỏ toàn bộ tổ chức sâu và ngà bệnh ở vị trí sâu trước khi sử dụng chất hàn thẩm mỹ để tái tạo hình dáng của răng.
Trong trường hợp nguyên nhân là do chụp răng, việc thay thế chụp răng mới là giải pháp hiệu quả. Lựa chọn chụp răng từ vật liệu toàn sứ, không bị oxy hóa là một biện pháp để tránh tình trạng răng bị đen.

Để bảo vệ sức khỏe của răng và duy trì một hàm răng mạnh mẽ và trắng sáng, việc duy trì các biện pháp vệ sinh hàng ngày là quan trọng. Điều này bao gồm việc chải răng ít nhất hai lần mỗi ngày và sử dụng chỉ nha khoa để làm sạch kẽ răng. Hạn chế tiếp xúc với các chất có thể gây hại cho răng như thức uống có ga, thực phẩm có đường và thực phẩm có màu sắc quá đậm cũng là một biện pháp quan trọng.
Chế độ ăn uống lành mạnh đóng vai trò quan trọng trong việc duy trì sức khỏe răng. Việc ăn nhiều rau củ, hoa quả tươi, cũng như các thực phẩm giàu canxi và protein, giúp bảo vệ sức khỏe của răng và xương. Tránh ăn đồ ngọt, thức ăn có đường và thức ăn nhanh cũng là cách hiệu quả để ngăn chặn sự hình thành mảng bám và cao răng.
Hơn nữa, việc đến nha khoa định kỳ để kiểm tra và làm sạch răng là quan trọng để duy trì sức khỏe răng miệng. Chuyên gia nha khoa có thể kiểm tra tình trạng răng của bạn và đưa ra các khuyến nghị để cải thiện sức khỏe răng miệng.
Để giảm nguy cơ răng bị đen kẽ, việc duy trì vệ sinh răng miệng đúng cách là quan trọng nhất. Cần chải răng ít nhất hai lần mỗi ngày bằng bàn chải có lông mềm, thay đổi bàn chải định kỳ sau mỗi ba tháng sử dụng hoặc khi lông bàn chải mòn, gãy.

Chú ý đến cách chải răng, nên thực hiện theo chiều dọc của răng để loại bỏ mảng bám và vi khuẩn trên răng và kẽ răng. Sử dụng kem đánh răng chứa Fluoride để bảo vệ men răng và ngăn chặn sự hình thành sâu răng.
Thêm vào đó, sử dụng chỉ nha khoa để làm sạch kẽ răng hàng ngày, giúp loại bỏ mảng bám và thức ăn dính vào kẽ răng. Điều này giúp giảm thiểu nguy cơ răng bị đen kẽ và cải thiện sức khỏe răng miệng.
Để tránh tình trạng răng bị đen kẽ, hạn chế ăn thức ăn chứa đường và acid, vì chúng có thể làm yếu men răng và tạo điều kiện thuận lợi cho vi khuẩn phát triển, gây nguy cơ sâu răng. Thường xuyên uống nước và vệ sinh răng sau khi ăn là cách hiệu quả để giữ cho răng luôn sạch sẽ và khỏe mạnh.
Để bảo vệ sức khỏe răng miệng nên duy trì vệ sinh răng miệng hàng ngày và khám răng định kỳ. Việc kiểm tra định kỳ sẽ giúp phát hiện sớm các vấn đề răng miệng như sâu răng, nhiễm trùng nướu, lở loét miệng, vôi răng và nhiều vấn đề khác. Bác sĩ nha khoa sẽ đưa ra lời khuyên và liệu pháp phù hợp, giúp mọi người chủ động bảo vệ răng miệng và tránh tình trạng răng bị đen kẽ cũng như các vấn đề khác về răng miệng.
Các nguyên nhân và cách khắc phục răng có vết đen đã được trình bày chi tiết trong bài viết này. Nếu bạn đang phải đối mặt với vấn đề này và cảm thấy mất tự tin về hàm răng của mình, hãy đến trung tâm nha khoa uy tín để nhận được sự tư vấn chuyên nghiệp và các phương pháp điều trị hiện đại nhất.
Xem thêm:
Dược sĩ Đại họcNguyễn Thanh Hải
Tốt nghiệp Đại học Dược Hà Nội, với hơn 10 năm kinh nghiệm trong lĩnh vực Dược phẩm. Hiện là giảng viên giảng dạy các môn Dược lý, Dược lâm sàng,...