Tốt nghiệp loại giỏi trường Đại học Y Dược Huế. Từng tham gia nghiên cứu khoa học đề tài về Dược liệu. Nhiều năm kinh nghiệm làm việc trong lĩnh vực Dược phẩm. Hiện đang là giảng viên cho Dược sĩ tại Nhà thuốc Long Châu.
25/09/2023
Mặc định
Lớn hơn
Răng cửa bị sâu là vấn đề phổ biến mà ai cũng có thể gặp phải. Nếu không được chăm sóc đúng cách, nó có thể dẫn đến những vấn đề sức khỏe răng miệng nghiêm trọng. Trong bài viết này, chúng ta sẽ tìm hiểu về phương pháp trám răng cửa bị sâu và tính bền vững của quá trình này
Sâu răng cửa là vấn đề khó tránh khỏi nếu không giữ vệ sinh răng miệng đúng cách. Điều này có thể gây ra đau nhức và ảnh hưởng đến nụ cười của bạn. Nhưng đừng lo lắng, phương pháp trám răng cửa bị sâu đang là một giải pháp phổ biến và hiệu quả. Trong bài viết này, chúng tôi sẽ giải đáp thắc mắc của bạn về quá trình này và tính bền vững của nó.
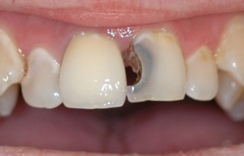
Đối với các trường hợp sâu răng cửa nhẹ, khi chỉ một nửa răng bị sâu, nha sĩ thường sử dụng phương pháp trám răng.
Vật liệu trám răng cửa sâu cần đảm bảo tính thẩm mỹ cao vì răng cửa nằm ở vị trí đại diện cho “bộ mặt” của hàm răng. Composite là loại vật liệu thường được sử dụng, vì có màu sắc gần giống với màu răng và có nhiều màu sắc phù hợp với tình trạng răng của từng người. Ngoài ra, một số người có thể lựa chọn vật liệu trám răng bằng vàng để tôn lên sự sang trọng, quý phái. Tuy nhiên, hỗn hợp vàng, đồng và các kim loại khác này có giá thành đắt hơn và không tự nhiên như trám răng composite.
Đầu tiên, nha sĩ sẽ gây tê vùng xung quanh răng cần trám. Tiếp theo, sử dụng dụng cụ chuyên dụng để loại bỏ phần răng sâu. Dụng cụ được sử dụng phụ thuộc vào trang thiết bị kỹ thuật có sẵn, tay nghề của bác sĩ và mức độ của răng sâu. Sau khi đã loại bỏ toàn bộ các vết sâu, vật liệu trám sẽ được bôi vào lỗ sâu thành từng lớp và sử dụng một ánh sáng đặc biệt để "chữa trị" hoặc làm cứng từng lớp.

Khi quá trình đa lớp hoàn thành, nha sĩ sẽ tạo hình vật liệu theo kết quả mong muốn, cắt bỏ bớt vật liệu thừa và đánh bóng phục hình lần cuối.
Có nên trám răng cửa sâu và liệu miếng trám có đủ bền để chịu được lực nhai mạnh khi ăn nhai? Câu trả lời phụ thuộc vào nhiều yếu tố, bao gồm cả vật liệu trám răng, cơ sở nha khoa và trình độ của nha sĩ cũng như việc chăm sóc răng miệng sau khi trám. Vật liệu composite và vàng đều có tính thẩm mỹ cao và độ bền tương đối, nhưng tuổi thọ khác nhau. Ngoài ra, vật liệu amalgam có tuổi thọ dài hơn, nhưng lại không thẩm mỹ và có thể đổi màu sau một thời gian.

Cơ sở nha khoa và trình độ của nha sĩ cũng ảnh hưởng đến độ bền của miếng trám. Để miếng trám kéo dài tuổi thọ, bạn cần chú ý đến việc hạn chế ăn đồ cứng, dai, quá nóng hoặc quá lạnh, tuân thủ vệ sinh răng miệng tốt và đến nha sĩ thường xuyên để kiểm tra răng miệng. Và với những giải đáp trên thì vấn đề trám răng có bền không chắc hẳn bạn cũng đã có câu giải đáp rồi đúng không?
Để trám răng cửa bị sâu nặng, trám bằng vật liệu là phương pháp ít được áp dụng. Trong trường hợp này, bọc mão răng hoặc sử dụng Inlay - Onlay sứ được khuyên dùng. Bọc mão răng có thể được làm bằng vàng hoặc sứ, tùy thuộc vào tình trạng răng của bạn. Nếu sâu răng cửa đã đến phần tủy bên trong của răng, bạn có thể cần lấy tủy răng để sửa chữa và cứu chiếc răng bị nhiễm trùng hoặc hư hỏng nặng. Nếu tình trạng sâu răng cửa quá nặng và không thể phục hồi, việc nhổ răng có thể là cách duy nhất. Tuy nhiên, để tránh tình trạng răng trống, bạn có thể cân nhắc đến làm cầu hoặc tròng răng để thay thế răng đã mất.

Sâu răng là một vấn đề sức khỏe phổ biến trên thế giới và có thể ảnh hưởng đến mọi lứa tuổi, bao gồm cả răng cửa. Nếu không được điều trị kịp thời, sâu răng cửa có thể gây đau đớn, nhiễm trùng hoặc thậm chí là mất răng. Vì vậy, hãy bảo vệ răng của bạn bằng cách chăm sóc răng miệng thường xuyên và định kỳ kiểm tra với nha sĩ để phát hiện và điều trị sớm các vấn đề về răng miệng.
Tổng kết lại, phương pháp trám răng cửa bị sâu là một giải pháp khá phổ biến và hiệu quả để khắc phục vấn đề sâu răng cửa. Vật liệu trám chủ yếu được sử dụng là composite, với tính thẩm mỹ cao và nhiều màu sắc phù hợp với tình trạng răng của từng người. Quá trình trám răng cửa sâu được thực hiện bởi các chuyên gia nha khoa với dụng cụ chuyên dụng và kỹ thuật cao, tạo ra kết quả tuyệt vời. Và về tính bền vững của quá trình này, nó phụ thuộc vào nhiều yếu tố như chất lượng vật liệu trám, kỹ năng của nha sĩ và chế độ chăm sóc răng miệng sau khi trám. Tuy nhiên, nếu được thực hiện đúng cách và được bảo trì thường xuyên, độ bền của miếng trám răng cửa bị sâu có thể kéo dài đến nhiều năm và không xảy ra tình trạng răng trám lâu ngày bị nhức.
Phương Nhi
Nguồn tham khảo: vinmec.com
Dược sĩ Đại họcNgô Kim Thúy
Tốt nghiệp loại giỏi trường Đại học Y Dược Huế. Từng tham gia nghiên cứu khoa học đề tài về Dược liệu. Nhiều năm kinh nghiệm làm việc trong lĩnh vực Dược phẩm. Hiện đang là giảng viên cho Dược sĩ tại Nhà thuốc Long Châu.