Tốt nghiệp Đại Học Dược Hà Nội và có nhiều kinh nghiệm trong lĩnh vực Dược phẩm. Nhiều năm công tác giảng dạy tại các trường trung cấp và cao đẳng dược. Hiện đang là giảng viên cho Dược sĩ tại Nhà thuốc Long Châu.
22/07/2025
Mặc định
Lớn hơn
Chăm sóc răng miệng là một việc làm quan trọng để bảo vệ sức khỏe của chúng ta. Tuy nhiên, đôi khi chúng ta vẫn không tránh khỏi việc bị sâu răng, nứt hoặc mất một phần răng. Điều đó khiến cho việc trám răng trở thành một giải pháp hữu hiệu để bảo vệ và cải thiện sức khỏe răng miệng. Nhưng khi nào thì nên trám răng? Trám răng có bền không? Hãy cùng tìm hiểu trong bài viết này.
Không ai muốn răng của mình bị sâu hoặc nứt, tuy nhiên, thực tế là rất nhiều người phải đối mặt với tình trạng này. Trong trường hợp này, trám răng có thể là một phương pháp để giữ gìn và phục hồi răng. Tuy nhiên, khi nào nên trám răng? Trám răng có bền không? Hãy cùng tìm hiểu trong bài viết này.
Việc trám răng hoặc hàn răng là một phương pháp nha khoa sử dụng vật liệu nhân tạo để bổ sung phần mô răng bị thiếu. Phương pháp này mang lại hiệu quả cả về tính thẩm mỹ và chức năng nhai. Ngoài việc trám răng để điều trị sâu răng, bạn cũng có thể cần đến sự can thiệp của nha sĩ khi có lỗ hổng xuất hiện trên răng.
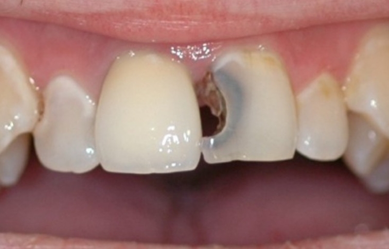
Việc trám răng được áp dụng trong trường hợp răng bị sâu. Tình trạng xuất hiện lỗ hổng trên răng do hoạt động của vi khuẩn tích tụ khi bạn không chăm sóc răng đúng cách. Nếu không điều trị kịp thời, lỗ hổng do sâu răng gây ra sẽ dần lớn lên, dẫn đến đau răng nghiêm trọng, nhiễm trùng và mất răng. Các dấu hiệu của sâu răng bao gồm răng đau bất chợt, răng nhạy cảm, lỗ hổng trên răng, bề mặt răng bị đổi màu nâu, đen hoặc trắng, và đau răng sau khi ăn, uống đồ nóng, ngọt hoặc lạnh.
Khi có triệu chứng sâu răng, chiếc răng bị sâu sẽ cần được trám để làm đầy lỗ hổng trên thân răng, loại bỏ các triệu chứng khó chịu và phục hồi thẩm mỹ cho răng.

Nếu răng bị nứt hoặc mẻ do va chạm mạnh, bạn có thể sử dụng kỹ thuật trám răng để khắc phục vấn đề này. Nếu được phát hiện sớm, nha sĩ sẽ làm sạch vết nứt và trám vật liệu nhân tạo vào chỗ bị mẻ.
Ngoài ra, trường hợp răng bị thưa, đặc biệt là răng cửa, bạn cũng có thể sử dụng kỹ thuật trám răng cửa thẩm mỹ để tạo hình cho răng. Tuy nhiên, phương pháp này chỉ phù hợp với khoảng trống nhỏ dưới 2mm. Nếu khoảng trống lớn hơn, các kỹ thuật khác như bọc răng sứ hoặc niềng răng có thể được đề xuất. Để duy trì hiệu quả của trám răng, bạn cần thường xuyên kiểm tra và làm lại quy trình trám răng khi cần thiết.
Hiện nay, trám răng là một trong những phương pháp điều trị răng miệng phổ biến nhất. Trong đó, có hai loại trám răng phổ biến nhất là trám trực tiếp và gián tiếp. Mỗi kỹ thuật trám sẽ có quy trình thực hiện khác nhau.
Đối với quy trình trám răng trực tiếp, đó là phương pháp trám răng đơn giản và được áp dụng cho nhiều tình trạng răng. Quy trình này thường chỉ cần một buổi hẹn với nha sĩ để hoàn thành. Quy trình bao gồm việc thăm khám và tư vấn, gây tê và vệ sinh chỗ cần trám, tiến hành trám, và chỉnh sửa lại chỗ trám. Thời gian thực hiện thông thường khoảng 20 - 30 phút, tùy thuộc vào tình trạng răng và vật liệu trám được sử dụng.

Cách thực hiện trám răng gián tiếp (Inlay – Onlay) là một phương pháp tiên tiến giúp giảm kẽ hở giữa miếng trám và mô răng. Đầu tiên, quy trình bắt đầu bằng việc khám và gây tê như phương pháp trám trực tiếp. Tuy nhiên, nha sĩ sẽ lấy dấu hàm răng và làm thành miếng trám bên ngoài.
Sau đó, nha sĩ sẽ kiểm tra vị trí cần trám, xác định kích thước và tư vấn cho bạn về vật liệu sử dụng. Nha sĩ sẽ tiến hành gây tê cục bộ tại vị trí cần trám, vệ sinh chỗ trám và loại bỏ vụn thức ăn hay cao răng nếu cần thiết.
Tiếp theo, nha sĩ sẽ lấy dấu hàm răng để tạo hình miếng trám theo đúng kích thước lỗ hổng. Thông thường, quy trình này sẽ mất khoảng hai lần hẹn với nha sĩ, mỗi lần khoảng 30 - 45 phút. Sau khi miếng trám được tạo hình, nha sĩ sẽ gắn vừa khít miếng trám lên răng bằng vật liệu kết dính chuyên dụng.
Trám răng là một liệu pháp điều trị trong nha khoa, giúp khắc phục những vấn đề như sâu răng, răng nứt, vỡ hoặc mẻ, gây mất đi vẻ đẹp và độ trắng sáng của răng và gây khó khăn khi nhai. Dưới đây là một số trường hợp nên đi trám răng:
Sâu răng: Nếu bạn có các lỗ sâu nhỏ, nên trám răng để ngăn chặn sự lan rộng của sâu và tránh các cơn đau dữ dội. Nguyên nhân có thể là do ăn uống, vệ sinh răng miệng, hoặc chải răng không đúng cách. Bác sĩ sẽ làm sạch vùng răng bị sâu hoặc viêm nhiễm, điều trị tủy răng nếu cần, và sau đó trám vùng răng hư tổn bằng vật liệu composite an toàn.
Mòn ngót cổ răng: Hay còn gọi là mòn cổ chân răng là những khuyết hình chêm ở cổ răng, gây ra cảm giác ê buốt khi chải răng và nhạy cảm với nhiệt độ. Nên trám răng để phục hồi lại phần men răng đã bị khuyết bằng composite quang trùng hợp.
Chấn thương: Khi răng bị bể, mẻ hoặc không còn hình dạng như lúc đầu sau va chạm, bạn cần trám răng để phục hồi chức năng ăn nhai, hình dáng và giảm ê buốt răng.
Răng thưa: Trám thẩm mỹ sẽ giúp đóng kín các kẽ răng và cải thiện thẩm mỹ. Tuy nhiên, trám răng thưa không được khuyến khích do khả năng lưu giữ kém và thẩm mỹ không cao như dán răng sứ hoặc phục hình sứ. Vậy trám răng có bền không?
Bọc răng và trám răng cửa sâu có độ bền khác nhau. Trám răng cửa sâu bằng vật liệu composite có tính thẩm mỹ cao và chịu lực tốt, nhưng trám răng composite có tuổi thọ chỉ từ hai đến ba năm.
Trám bằng vàng có độ bền kéo dài lâu hơn, từ 10 đến 15 năm và không bị ăn mòn. Nếu chọn trám bằng vật liệu amalgam, tuổi thọ kéo dài từ 5 đến 6 năm, tuy nhiên tính thẩm mỹ kém. Cơ sở nha khoa và trình độ của nha sĩ cũng ảnh hưởng đến độ bền của miếng trám.

Ngoài ra, để kéo dài tuổi thọ của trám răng cửa sâu, cần hạn chế ăn đồ ăn cứng, dai, quá nóng hoặc quá lạnh và tuân thủ vệ sinh răng miệng tốt.
Sau khi hoàn thành việc trám răng, bạn cũng nên duy trì đến nha sĩ thường xuyên để kiểm tra răng miệng và xử lý khi có các vấn đề liên quan đến trám răng.
Tóm lại, việc trám răng là một phương pháp để bảo vệ và cải thiện sức khỏe răng miệng, tuy nhiên, độ bền của trám răng phụ thuộc vào nhiều yếu tố như loại vật liệu được sử dụng, độ ăn mòn của răng và thói quen chăm sóc răng miệng của mỗi người. Do đó, hãy luôn chăm sóc và duy trì sức khỏe răng miệng của mình để trám răng có thể kéo dài thời gian sử dụng, tránh tình trạng răng trám lâu ngày bị nhức và mang lại hiệu quả tốt nhất.
Phương Nhi
Nguồn tham khảo: hellobacsi.com
Dược sĩ Đại họcTrần Thị Dương
Tốt nghiệp Đại Học Dược Hà Nội và có nhiều kinh nghiệm trong lĩnh vực Dược phẩm. Nhiều năm công tác giảng dạy tại các trường trung cấp và cao đẳng dược. Hiện đang là giảng viên cho Dược sĩ tại Nhà thuốc Long Châu.