• Thực phẩm chức năng

  • Dược mỹ phẩm

  • Thuốc

  • Chăm sóc cá nhân

  • Thiết bị y tế

  • Tiêm chủng

  • Bệnh & Góc sức khỏe

  • Hệ thống nhà thuốc

    1. /
    2. Góc sức khỏe/
    3. Phòng bệnh & Sống khoẻ

    Răng vĩnh viễn bị sâu: Nguyên nhân do đâu?

    21/06/2023

    Kích thước chữ

    Răng vĩnh viễn bị sâu ở người lớn và trẻ nhỏ là bệnh lý rất thường gặp. Tình trạng này làm mòn men răng và thậm chí là ảnh hưởng đến tủy răng bên trong khiến người mắc phải cảm thấy đau nhức, ê buốt răng.

    Răng vĩnh viễn bị sâu là bệnh lý ảnh hưởng rất nhiều đến sức khỏe và tinh thần của người bệnh. Vì vậy, bạn nên hiểu rõ về bệnh lý này cũng như cách phòng ngừa và điều trị để bảo vệ sức khỏe răng miệng tốt nhất cho mình.

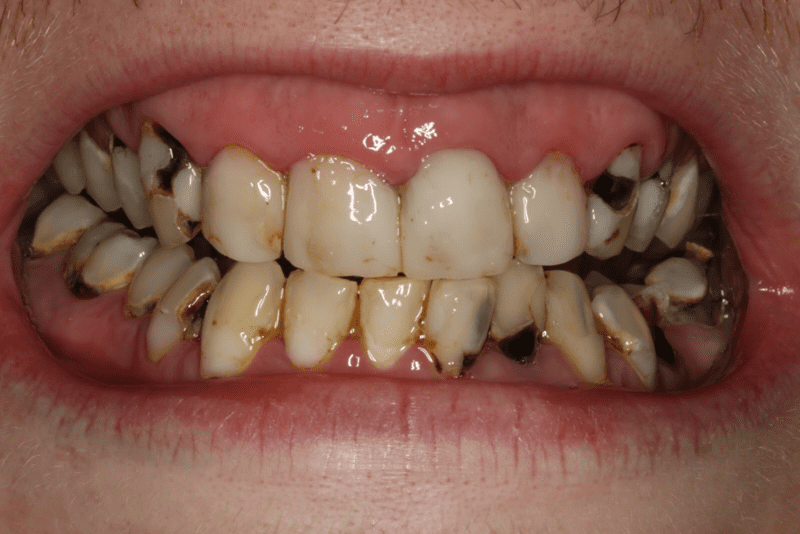
    Từng giai đoạn của sâu răng

    Theo từng giai đoạn phát triển bệnh mà răng vĩnh viễn bị sâu sẽ có những dấu hiệu và biểu hiện khác nhau. Nếu bệnh lý sâu răng ngày càng nặng thì các biểu hiện ấy lại càng rõ ràng và cụ thể:

    • Giai đoạn đầu: Giai đoạn này người bệnh rất khó phát hiện bởi sâu răng chưa có quá nhiều biểu hiện rõ ràng. Chính vì vậy chúng ta phải để ý kỹ mới có thể thấy được. Biểu hiện đó là xuất hiện một vài chấm nhỏ li ti màu vàng nâu trên răng, chủ yếu là ở trong mặt ăn nhai.
    • Giai đoạn giữa: Đây là giai đoạn sâu răng vĩnh viễn tiến triển nặng hơn và dần hình thành nên những lỗ sâu đen hoặc các lỗ rỗng có trên mặt răng. Lúc này, những vi khuẩn đã tấn công vào răng và làm mòn đi lớp men răng vốn có. Tại giai đoạn này răng sẽ dần mất đi lớp bảo vệ bên ngoài, đồng thời làm tăng nguy cơ hỏng răng.
    • Giai đoạn cuối: Đây là giai đoạn nghiêm trọng nhất của bệnh. Lúc này răng bị sâu vĩnh viễn đã đi vào đến tủy răng và làm lộ tủy, viêm tủy, thậm chí nặng hơn là chết tủy. Không còn là những biểu hiện bên ngoài của răng mà sâu răng đã gây ra tình trạng đau răng cho người bệnh.
    Tình trạng răng bị sâu gây đau nhức và ê buốt thường xuyên Tình trạng răng bị sâu gây đau nhức và ê buốt thường xuyên

    Nguyên nhân khiến răng vĩnh viễn bị sâu

    Sâu răng vốn được hình thành do vi khuẩn có trong các mảng bám thức ăn. Chúng đi vào và tiết ra các axit gây nên tình trạng mòn men răng và dần làm hỏng các cấu trúc của răng. Nguyên nhân chủ yếu răng vĩnh viễn bị sâu là do:

    Vệ sinh răng miệng không đúng cách

    Vệ sinh răng miệng không đúng cách hay lười vệ sinh sẽ là nguyên nhân chủ yếu khiến vi khuẩn tích trên bề mặt của răng. Đồng thời, các mảng bám trên răng sẽ là tác nhân khiến cho vi khuẩn phát triển ngày một mạnh hơn và dẫn đến tình trạng răng bị sâu vĩnh viễn.

    Bên cạnh đó, việc dùng bàn chải quá cứng hoặc khi đánh răng đã chà xát răng quá mạnh cũng sẽ làm cho răng dần yếu đi và rất dễ mắc các bệnh lý sâu răng.

    Ăn nhiều thực phẩm chứa đường và tinh bột

    Đây là một trong những nguyên nhân chính khiến răng vĩnh viễn bị sâu thường gặp ở trẻ nhỏ. Các chất đường và tinh bột có trong các thực phẩm sẽ là cơ sở để các vi khuẩn sinh sôi và phát triển hơn, dần dẫn đến bệnh lý sâu răng.

    Các nguyên nhân phổ biến khiến răng bị sâu nhiều Các nguyên nhân phổ biến khiến răng bị sâu nhiều

    Men răng quá yếu

    Men răng vốn được xem là tấm chắn giúp bảo vệ cấu trúc bên trong của răng. Khi lớp men răng đã bị tổn thương sẽ khiến cho rằng dần yếu đi và các vi khuẩn có thể dễ dàng tấn công và phá hủy răng.

    Răng vĩnh viễn bị sâu có nguy hiểm không?

    Đây là câu hỏi đang được rất nhiều người quan tâm. Sâu răng vốn là một bệnh lý răng miệng rất phổ biến, tuy nhiên lại có nhiều người lại lơ là, không để ý tới tình trạng này. Ban đầu có thể bệnh lý này chưa gây ảnh hưởng quá nhiều đến sức khỏe răng miệng nhưng nếu để tiếp diễn lâu dài thì nó sẽ trở thành một bệnh lý nguy hiểm.

    Khi răng bị sâu vĩnh viễn đồng nghĩa với việc sẽ làm tủy răng bị viêm. Trong khi đó, tủy răng chính là nguồn dinh dưỡng duy nhất giúp nuôi sống và phát triển răng. Khi đó, răng sẽ dần bị yếu đi, lung lay và gãy rụng sớm thậm chí là chết tủy.

    Tình trạng răng vĩnh viễn bị sâu cực kỳ nguy hiểm Tình trạng răng vĩnh viễn bị sâu cực kỳ nguy hiểm

    Bên cạnh đó, việc viêm tủy răng nếu không được điều trị kịp thời sẽ dần làm lây lan vi khuẩn sang các răng ở kế bên. Lâu dần sẽ dẫn đến sâu răng, viêm tủy hàng loạt làm ảnh hưởng và là mối đe dọa lớn đến toàn bộ các răng trên cung hàm.

    Một số cách phòng ngừa tình trạng răng vĩnh viễn bị sâu

    Xây dựng chế độ ăn uống khoa học

    • Hạn chế ăn các loại đồ ăn và đồ uống có đường, có gas như các loại bánh kẹo, socola, nước ngọt,…
    • Bổ sung đầy đủ các loại thực phẩm tốt, các chất cần thiết như canxi để răng phát triển khỏe mạnh.
    • Ăn thật nhiều trái cây và rau xanh để có thêm chất xơ sẽ giúp làm sạch mảng bám trên răng.
    • Uống thật nhiều nước mỗi ngày để nâng cao khả năng tiết nước bọt nhằm bảo vệ các mô mềm và mô cứng trong khoang miệng.
    Chăm sóc sức khỏe răng miệng thường xuyên Chăm sóc sức khỏe răng miệng thường xuyên

    Vệ sinh răng miệng đúng cách

    Đánh răng thường xuyên 2 lần mỗi ngày buổi sáng và trước khi đi ngủ vào buổi tối. Đồng thời lựa chọn bàn chải lông có độ cứng vừa phải và loại kem đánh răng có chứa fluor. Thường xuyên dùng chỉ nha khoa để vệ sinh các kẽ răng và chải cả lưỡi mỗi khi đánh răng.

    Đặc biệt, hãy súc miệng bằng nước muối pha loãng hoặc nước súc miệng diệt khuẩn thường xuyên để làm sạch vi khuẩn trong khoang miệng.

    Trên đây là những thông tin về răng vĩnh viễn bị sâu. Hy vọng qua bài viết này, chúng tôi đã giúp các bạn có thêm những kiến thức bổ ích và cần thiết, giúp cho quá trình hỗ trợ trị sâu răng vĩnh viễn của người bệnh được tiến triển và tốt hơn.

    Cẩm Ly

    Nguồn: Tổng hợp

    Có thể bạn quan tâm

    Thông tin và sản phẩm gợi ý trong bài viết chỉ mang tính chất tham khảo, vui lòng liên hệ với Bác sĩ, Dược sĩ hoặc chuyên viên y tế để được tư vấn cụ thể. Xem thêm

    Dược sĩ Đại họcNgô Kim Thúy

    Đã kiểm duyệt nội dung

    Tốt nghiệp loại giỏi trường Đại học Y Dược Huế. Từng tham gia nghiên cứu khoa học đề tài về Dược liệu. Nhiều năm kinh nghiệm làm việc trong lĩnh vực Dược phẩm. Hiện đang là giảng viên cho Dược sĩ tại Nhà thuốc Long Châu.