• Thực phẩm chức năng

  • Dược mỹ phẩm

  • Thuốc

  • Chăm sóc cá nhân

  • Thiết bị y tế

  • Tiêm chủng

  • Bệnh & Góc sức khỏe

  • Hệ thống nhà thuốc

    1. /
    2. Góc sức khỏe/
    3. Phòng bệnh & Sống khoẻ

    Siêu âm không có yolksac là gì?

    22/02/2025

    Kích thước chữ

    Hình ảnh siêu âm không có yolksac là hiện tượng xảy ra trong những tuần đầu của thai kỳ. Vậy siêu âm không có yolksac là gì? Nguyên nhân không có yolksac do đâu? Hãy cùng Nhà Thuốc Long Châu tìm hiểu ngay nhé!

    Túi yolksac hay còn gọi là túi noãn hoàng được tìm thấy trong trong những tuần đầu của thai kỳ. Tuy nhiên, khi không tìm thấy túi yolksac có thể khiến các mẹ bầu lo lắng bất an vì tình trạng này báo hiệu rằng mẹ bầu có nguy cơ thai lưu hay sảy thai sớm, thai bất thường. Vậy nguyên nhân siêu âm không có yolksac là do đâu và cách xử lý tình trạng này như thế nào?

    Túi yolksac là gì?

    Túi yolksac hay còn được gọi là túi noãn hoàng thường được tìm thấy trong quá trình siêu âm tuần thứ 5 của thai kỳ. Túi yolksac có kích thước tương đối nhỏ, khoảng bằng hạt vừng nhưng có vai trò rất quan trọng. Sự xuất hiện của yolksac là đánh dấu sự chuẩn bị cho sự hình thành nhau thai sau này.

    Thai khi siêu âm không có yolksac là khoảng từ tuần thứ 5 trở đi, khi siêu âm không quan sát được hình ảnh của túi này. Túi noãn hoàng không phát triển ảnh hưởng rất nghiêm trọng đến thai nhi vì chức năng chính của nó là chuyển hóa, truyền dinh dưỡng cung cấp cho sự phát triển của phôi thai.

    Dù đóng vai trò quan trọng nhưng túi yolksac chỉ tồn tại ở giai đoạn đầu của thai kỳ. Đến khi tuần hoàn nhanh thai đi vào ổn định, túi yolksac sẽ biến mất dần dần nhường lại chức năng nuôi dưỡng cho nhau thai. Nếu siêu âm ở tuần thứ 6 vẫn không tìm thấy hình ảnh của túi yolksac thì mẹ bầu nên đi khám chuyên khoa để được tư vấn về tình trạng thai kỳ.

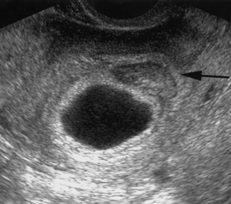
    Túi yolksac là gì? Siêu âm không có yolksac ảnh hưởng nghiêm trọng đến sự hình thành và phát triển của thai nhi

    Nguyên nhân siêu âm không có yolksac là gì?

    Nguyên nhân siêu âm không có yolksac là do trứng trống. Hiện tượng này xảy ra do các vấn đề về nhiễm sắc thể và cấu trúc gen hay cũng có thể do chất lượng của trứng hoặc tinh trùng không đạt đủ yêu cầu hoặc do sự bất thường của quá trình phân chia tế bào.

    Nguyên nhân siêu âm không có yolksac là gì? Trứng rỗng là nguyên nhân thai không có yolksac

    Hiện tượng trứng trống xảy ra khi trứng đã thụ tinh với tinh trùng và cấy vào thành tử cung mà không phát triển thành phôi thai. Khi sản phụ phụ mang trứng rỗng thì khả năng sảy thai sớm là rất cao.

    Trứng sau khi thụ tinh vẫn sẽ phát triển thành phôi thai và túi thai vào tuần thứ 5 - 6. Với những trường hợp thai trứng rỗng, túi thai vẫn phát triển bình thường nhưng không có phôi thai. Hiện tượng sảy thai thường xảy ra vào tuần thứ 8 - 13 của thai kỳ nhưng cũng có thể sớm hơn. Vì vậy, khi bác sĩ phát hiện hình ảnh thai trứng rỗng thường kết hợp thai hỏng.

    Biểu hiện của thai trứng rỗng

    Mặc dù không có phôi thai nhưng người mang thai trứng rỗng vẫn có biểu hiện của có thai như:

    • Buồn nôn, nôn.
    • Đau ngực.
    • Thay đổi khẩu vị. 
    • Trễ kinh nguyệt. 
    • Test thử thai dương tính.
    Biểu hiện của thai trứng rỗng: buồn nôn Sản phụ mang thai trứng rỗng vẫn có thể có biển hiện nghén của mang thai

    Quá trình sảy thai sẽ có các dấu hiệu như:

    • Chảy máu âm đạo.
    • Đau và co thắt vùng bụng.
    • Không còn hiện tượng thai nghén.

    Quá trình sảy thai này thường xuất hiện sớm khiến nhiều người không biết mình mang thai. Do không có phôi thai nên việc sảy thai gần giống với một chu kỳ kinh nguyệt bình thường.

    Nguyên nhân thai trứng rỗng

    Hiện nay chưa thể xác định chính xác nguyên nhân gây thai trứng rỗng nhưng vẫn có một số yếu tố nguy cơ liên quan đến hiện tượng này:

    • Rối loạn nhiễm sắc thể số 9.
    • Các biến đổi bất thường về cấu trúc gen.
    • Chất lượng của tinh trùng và trứng kém gây ảnh hưởng đến quá trình phát triển phôi thai.
    • Các bất thường về sự phân chia tế bào.
    • Các bệnh lý tự miễn: Lupus, hội chứng Antiphospholipid…
    • Bệnh mãn tính.
    • Yếu tố môi trường.

    Cách xử lý khi thai siêu âm không có yolksac là gì?

    Khi phát hiện thai không có yolksac thì mẹ bầu cần đến ngay phòng khám chuyên khoa để được siêu âm lại và kiểm tra kỹ lưỡng hơn xem có phải trứng rỗng không có phôi thai hay thai đã ngừng phát triển.

    Hầu hết, các mẹ bầu gặp trường hợp thai không có túi yolksac đều không có cách điều trị mà chỉ có cách duy nhất là lấy thai ra khỏi cơ thể sản phụ để tránh các biến chứng nguy hiểm xảy ra như:

    • Sảy thai tự nhiên.
    • Sử dụng thuốc kích thích quá trình sảy thai nhanh hơn.
    • Tiến hành thủ thuật nong nạo tử cung loại bỏ các mô nhau thai.

    Việc sử dụng phương pháp nào trên đây còn phụ thuộc vào thời gian mang thai của mẹ bầu cũng như tình trạng sức khỏe, trạng thái cảm xúc.

    Những lưu ý cho mẹ bầu sau khi dừng thai kỳ

    Dù không có phương pháp điều trị thai không có túi yolksac nhưng những lần mang thai tiếp theo mẹ bầu vẫn có thể mang thai bình thường. Để bảo vệ thai kỳ tiếp theo, sản phụ nên làm thêm một số xét nghiệm:

    • Sàng lọc gen di truyền tiền sản.
    • Xét nghiệm tinh dịch đồ: Phân tích chất lượng tinh trùng của người chồng.
    • Kiểm tra AMH giúp cải thiện chất lượng trứng.
    • Xét nghiệm nồng độ FSH.

    Sau đình chỉ thai kỳ, mẹ bầu nên xây dựng dựng một lối sống lành mạnh để có thể nhanh chóng phục hồi tinh thần và thể chất. Có nhiều nghiên cứu cho rằng môi trường sống tiếp xúc với hóa chất độc hại cũng gây nên thai không có túi yolksac, vì vậy mẹ bầu nên:

    • Ăn uống đầy đủ dinh dưỡng.
    • Luôn giữ trạng thái thoải mái, tránh làm việc quá sức gây căng thẳng, mệt mỏi.
    • Thường xuyên tập thể dục nâng cao sức khỏe, sức đề kháng.
    • Tránh xa các hóa chất gây hại, các chất kích thích…

    Thai không có túi yolksac là điều không sản phụ nào mong muốn xảy ra. Tuy nhiên, mẹ bầu không nên quá buồn vì tâm trạng của mẹ sẽ ảnh hưởng trực tiếp đến lần mang thai tiếp theo. Để tránh thai không có túi yolksac thì mẹ hãy thực hiện các xét nghiệm trên và xây dựng một lối sống lành mạnh.

    Trên đây là thông tin về siêu âm không có yolksac là gì mà nhà thuốc Long Châu gửi tới bạn đọc. Mong rằng những thông tin trên giúp những chị em đang mang thai và sắp có ý định mang thai có thêm những thông tin bổ ích về quá trình thai kỳ. Nếu có bất kỳ đề gì bất thường, hãy đến phòng khám chuyên khoa để được kiểm tra và xử lý kịp thời. Và đừng quên ấn theo dõi trang web của Nhà thuốc Long Châu để đọc thêm những bài viết bổ ích về kiến thức y khoa.

    Ánh Vũ

    Nguồn tham khảo: Tổng hợp

    Thông tin và sản phẩm gợi ý trong bài viết chỉ mang tính chất tham khảo, vui lòng liên hệ với Bác sĩ, Dược sĩ hoặc chuyên viên y tế để được tư vấn cụ thể. Xem thêm

    Dược sĩ Đại họcTrần Thị Dương

    Đã kiểm duyệt nội dung

    Tốt nghiệp Đại Học Dược Hà Nội và có nhiều kinh nghiệm trong lĩnh vực Dược phẩm. Nhiều năm công tác giảng dạy tại các trường trung cấp và cao đẳng dược. Hiện đang là giảng viên cho Dược sĩ tại Nhà thuốc Long Châu.

    Xem thêm thông tin