Tốt nghiệp loại giỏi trường Đại học Y Dược Huế. Từng tham gia nghiên cứu khoa học đề tài về Dược liệu. Nhiều năm kinh nghiệm làm việc trong lĩnh vực Dược phẩm. Hiện đang là giảng viên cho Dược sĩ tại Nhà thuốc Long Châu.
Phương Thy
04/04/2024
Mặc định
Lớn hơn
Trám răng amalgam là phương pháp phục hình thẩm mỹ hiệu quả cao, đảm bảo khả năng ăn nhai trong mức chi phí phù hợp.
Để xác định liệu bạn có phù hợp với việc trám răng bằng amalgam hay không, điều đầu tiên bạn cần tìm hiểu rõ về loại vật liệu này.
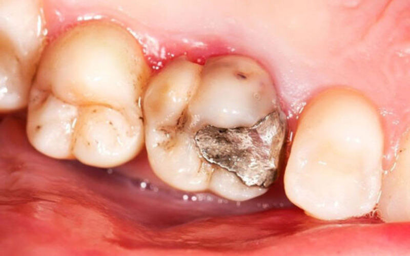
Trám răng bằng vật liệu amalgam còn có tên gọi khác là trám răng bằng chì. Đây là phương pháp phục hình dùng trong các trường hợp: Răng thưa, răng sâu, nứt mẻ, hở kẽ,... phổ biến hiện nay. Kỹ thuật này sử dụng amalgam - loại vật liệu có chứa chì khoảng 50%, bạc 20-35% và các kim loại khác như đồng, thiếc, kẽm với một tỷ lệ nhất định.
Vết trám răng bằng amalgam khá cứng chắc, có màu trắng bạc. Phương pháp này thường được sử dụng cho răng hàm do vị trí này không cần sử dụng lực ăn nhai mạnh cũng như không đòi hỏi tính thẩm mỹ cao.

Dưới đây là một số ưu điểm của loại vật liệu trám răng này giúp chúng được nhiều người đã và đang lựa chọn sử dụng.
Amalgam có tính dẻo nên dễ dàng lấp đầy các vị trí khuyết của răng dễ dàng. Vì vậy, việc phục hình sẽ có hiệu quả cao, đặc biệt trong những trường hợp răng bị gãy vỡ hoặc sứt mẻ lớn.
Vật liệu trám này có độ bền chắc cao, khả năng chịu lực ăn nhai tốt. Răng trám bằng amalgam có thời gian sử dụng lâu có thể lên đến 10 năm, thậm chí lâu hơn mà không lo bong tróc hay rơi rớt.
Chi phí thực hiện trám răng bằng amalgam khá thấp, phù hợp với ngân sách của nhiều người nhưng vẫn mang đến hiệu quả cao. Vì vậy, phương pháp này đang được rất nhiều đối tượng lựa chọn.
Bên cạnh các ưu điểm, bạn cũng nên cân nhắc vì phương pháp này tiềm ẩn những nguy cơ:
Amalgam có màu xám bạc nên chỉ thích hợp dùng để trám các răng hàm nằm ở phía trong. Nếu bạn cần trám răng cửa thì bạn cần cân nhắc lựa chọn các vật liệu thẩm mỹ hơn.

Thực phẩm trong quá trình ăn uống sẽ tiếp xúc với vết trám bằng amalgam làm vật liệu này dễ bị đổi màu, thậm chí ảnh hưởng đến những răng kế bên.
Đặc tính amalgam là dẫn nhiệt tốt. Vì vậy, khi sử dụng đồ nóng lạnh sẽ khiến bạn cảm thấy bị ê buốt và ăn không ngon miệng.
Để lấy sạch phần răng bị sâu răng, bác sĩ cần tiện rãnh hoặc gờ ở răng để cố định lớp trám răng. Trong một số trường hợp phức tạp sẽ cần tiện khá nhiều răng mới với mục đích giữ cho lớp trám được cứng chắc. Điều này có thể gây ảnh hưởng đến những chiếc răng thật.
Trong amalgam có đến 50% là thủy ngân và có thể được hấp thụ bởi phổi. Những nghiên cứu từ FDA đã chỉ ra rằng, nồng độ thủy ngân trong chất trám này an toàn cho trẻ em trên 6 tuổi và người lớn. Tuy nhiên, đối với phụ nữ mang thai, thai nhi và trẻ nhỏ, hệ thống thần kinh sẽ nhạy cảm với thủy ngân. Vì vậy, FDA khuyến cáo không nên sử dụng chất trám này cho những đối tượng đó.
Dù vậy, trên thực tế, bệnh nhân dù là người lớn hay trẻ nhỏ trên 6 tuổi không chỉ hấp thụ lượng thủy ngân từ amalgam mà còn từ nhiều nguồn khác như: Hải sản bị nhiễm thủy ngân, sơn, trang sức, mỹ phẩm,...

Chính vì vậy, khi tiếp xúc với thủy ngân tích lũy qua nhiều nguồn khác nhau và đạt đến mức độ phơi nhiễm nhất định sẽ dẫn đến các nguy cơ cho sức khỏe: Ảnh hưởng hệ miễn dịch, tổn thương não, thận, rối loạn trí nhớ, gây ra các vấn đề về hệ tiêu hóa, thần kinh, hô hấp, gây rụng tóc, ảnh hưởng việc sinh nở,... Do đó, việc sử dụng phương pháp trám răng bằng loại vật liệu này vẫn nên được cân nhắc thận trọng.
Ngành nha khoa ngày càng phát triển nên các chuyên gia đã phát hiện ra nhiều vật liệu không chứa thủy ngân có thể thay thế amalgam, bao gồm: Gold Foil (mạ vàng), trám răng composite, glass ionomer, plastic ionomer, compomers,...
Trong những loại vật liệu trên, composite đang là giải pháp được lựa chọn nhiều nhất, mang đến tính thẩm mỹ vượt trội so với amalgam. Tuy nhiên, loại vật liệu này có nhược điểm đó là có giá thành khá cao.
Dựa vào đó, Ivoclar Vivadent đã sản xuất ra một sản phẩm cải tiến và sáng tạo hơn với tên gọi Cention N nhằm thay thế miếng trám amalgam và GIC. Cention N là vật liệu trám cơ bản có gốc resin, hóa trùng hợp sở hữu nhiều ưu điểm vượt trội: Tính thẩm mỹ và độ bền cao, ngăn ngừa sâu răng, thao tác đơn giản, dễ sử dụng, an toàn, giá thành thấp, bảo vệ môi trường.
Nhìn chung, amalgam tiềm ẩn những rủi ro không chỉ cho người sử dụng mà còn cho cả môi trường bởi trong đó chứa thủy ngân là chất đòi hỏi sự xử lý phức tạp. Người bệnh nên đến những cơ sở nha khoa uy tín để được bác sĩ tư vấn phương pháp trị liệu bằng những loại vật liệu thay thế khác tốt hơn.
Xem thêm: Trường hợp nào cần trám răng? Trám răng có đau không?
Dược sĩ Đại họcNgô Kim Thúy
Tốt nghiệp loại giỏi trường Đại học Y Dược Huế. Từng tham gia nghiên cứu khoa học đề tài về Dược liệu. Nhiều năm kinh nghiệm làm việc trong lĩnh vực Dược phẩm. Hiện đang là giảng viên cho Dược sĩ tại Nhà thuốc Long Châu.