Tốt nghiệp đại học Khoa Dược. Có kinh nghiệm hơn 10 năm trong lĩnh vực Dược phẩm, tư vấn thuốc và thực phẩm chức năng. Hiện đang là giảng viên cho Dược sĩ tại Nhà thuốc Long Châu.
08/08/2023
Mặc định
Lớn hơn
Thoát vị hoành bẩm sinh là bệnh lý gây ảnh hưởng nghiêm trọng đến sức khỏe và tính mạng của trẻ. Thoát vị hoành bẩm sinh gây chèn ép khoang lồng ngực, ảnh hưởng đến sự phát triển và hoạt động của các tạng trong lồng ngực (tim, phổi, mạch máu...)
Thoát vị hoành bẩm sinh (Congenital diaphragmatic hernia) là một bệnh lý đe dọa tính mạng ở trẻ sơ sinh và là nguyên nhân chính gây tử vong do hai biến chứng: Giảm sản phổi và tăng áp phổi. Trẻ sơ sinh bị thoát vị hoành bẩm sinh thường bị suy hô hấp nghiêm trọng, có thể đe dọa đến tính mạng trừ khi được điều trị thích hợp. Để hiểu rõ hơn về chứng rối loạn thần kinh chức năng, mời bạn đọc cùng xem qua bài viết dưới đây để có cái nhìn chi tiết nhất về căn bệnh.
Cơ hoành là một lớp cơ và mô mỏng ngăn cách khoang ngực và khoang bụng. Đó là cơ chính tham gia vào quá trình hô hấp của cơ thể.

Thoát vị hoành bẩm sinh là một khiếm khuyết của cơ hoành. Sự phát triển không hoàn toàn của cơ hoành trước khi sinh khiến cho các cơ quan trong ổ bụng của thai nhi có thể bị đẩy vào khoang ngực và cản trở sự phát triển hình thành phổi.
Tỷ lệ mắc thoát vị hoành bẩm sinh là khoảng 1 – 4/10.000 ca sinh sống.
Thoát vị Bochdalek còn được gọi là thoát vị hoành sau bên, là biểu hiện phổ biến nhất của thoát vị hoành bẩm sinh, chiếm hơn 95% trường hợp.
Phần lớn thoát vị Bochdalek xảy ra ở bên trái cơ hoành (80 – 85%), một tỷ lệ thấp hơn các trường hợp còn lại xảy ra ở bên phải
Thoát vị Morgagni là thoát vị hoành bẩm sinh phía trước, chiếm tỷ lệ khoảng 5% số trường hợp, thường ở vị trí sau xương ức hoặc cạnh xương ức.

Đến nay, nguyên nhân của thoát vị hoành bẩm sinh còn chưa rõ ràng và được cho là bị ảnh hưởng bởi đa yếu tố: Yếu tố di truyền, môi trường, dinh dưỡng.
Một số bất thường về di truyền có thể gây ra dị tật thoát vị hoành bẩm sinh như:
Tiền sử mẹ tiếp xúc với các tác nhân gây quái thai trước và trong quá trình mang thai như lithium, mycophenolate mofetil, allopurinol… cũng được ghi nhận có liên quan đến thoát vị hoành bẩm sinh.
Mỗi trẻ có thể gặp các triệu chứng của thoát vị hoành khác nhau, tuy nhiên, các triệu chứng có thể gặp của thoát vị hoành Bochdalek bao gồm:

Trẻ có thoát vị hoành bẩm sinh thể Morgagni có thể có hoặc không có bất kỳ triệu chứng nào. Tuy nhiên, với thể Bochdalek thì có nhiều khả năng trẻ bị các dị tật bẩm sinh khác:
Hiện nay, thoát vị hoành bẩm sinh có thể được chẩn đoán bằng siêu âm, chụp X-quang, chụp cắt lớp vi tính (CT).
Siêu âm là kỹ thuật chẩn đoán hình ảnh bằng cách sử dụng sóng siêu âm (sóng âm tần số cao) để xây dựng và tái tạo hình ảnh về cấu trúc bên trong cơ thể. Siêu âm có thể phát hiện, chẩn đoán thoát vị hoành bẩm sinh khi tuổi thai khoảng 22 – 24 tuần tuổi. Lỗ thoát vị lớn có thể được chẩn đoán ở quý 1 và thường tiên lượng xấu.
Hình ảnh trên siêu âm có thể thấy trung thất và tim bị đẩy lệch qua một bên, trong lồng ngực có xuất hiện các khối phản âm không đồng nhất của dạ dày, ruột, tim… Mặt cắt ngang bụng không thấy hình ảnh dạ dày.
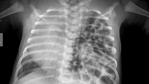
Chụp X-quang là một phương pháp chẩn đoán hình ảnh bằng cách sử dụng tia X-quang, là một loại bức xạ năng lượng cao. Tia X có thể xuyên qua các mô mềm và thành phần dịch trong cơ thể dễ dàng. Chụp X-quang có thể chẩn đoán được thoát vị hoành bẩm sinh sau khi sinh.
Hình ảnh X-quang có thể cho thấy hình ảnh dạ dày và ruột thoát vị vào lồng ngực, đẩy cấu trúc tim và phổi sang bên đối diện.

Chụp cắt lớp vi tính (CT): Chụp CT cũng sử dụng tia X quét lên cơ thể để tạo ra những hình ảnh lát cắt ngnag, sau đó phối hợp với máy tính cho ra kết quả hình ảnh 2 chiều hoặc 3 chiều của vị trí cần chụp, do đó cho hình ảnh rõ nét hơn. Chụp CT cũng chỉ có thể phát hiện thoát vị hoành bẩm sinh sau khi trẻ đã được sinh ra
Để điều trị thoát vị hoành bẩm sinh, cần phối hợp các nguyên tắc điều trị phức tạp khác nhau:
Các phương pháp phẫu thuật: Hiện nay, có thể lựa chọn khâu vá cơ hoành bằng phẫu thuật mổ mở hoặc mổ nội soi.
Phẫu thuật là phương pháp cần thiết để điều trị thoát vị hoành bẩm sinh.

Thông tin trong bài viết đã cung cấp đến bạn đọc các nội dung xoay quanh thoát vị hoành bẩm sinh, qua đó hy vọng giúp mọi người hiểu hơn về căn bệnh này. Chủ động theo dõi các triệu chứng xuất hiện của bệnh và can thiệp điều trị sớm để đạt kết quả tốt nhất
Dược sĩ Đại họcNguyễn Thị Hồng Nhung
Tốt nghiệp đại học Khoa Dược. Có kinh nghiệm hơn 10 năm trong lĩnh vực Dược phẩm, tư vấn thuốc và thực phẩm chức năng. Hiện đang là giảng viên cho Dược sĩ tại Nhà thuốc Long Châu.