Tốt nghiệp Đại Học Dược Hà Nội - chuyên môn Dược lâm sàng. Hiện đang là giảng viên cho Dược sĩ tại Nhà thuốc Long Châu.
30/10/2025
Mặc định
Lớn hơn
Sưng nướu răng và nổi hạch là 2 dấu hiệu của một số bệnh lý nhiễm trùng nha khoa. Và nếu không được điều trị kịp thời, tình trạng bệnh của thể tiến triển nặng lên và gây ra những biến chứng nghiêm trọng, thậm chí là gãy rụng răng. Vậy cụ thể tình trạng sưng nướu răng và nổi hạch cảnh báo bệnh gì?
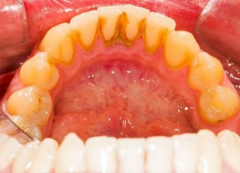
Việc vệ sinh răng miệng không khoa học sẽ tạo điều kiện cho vi khuẩn có hại răng miệng phát triển mạnh và gây ra nhiều bệnh lý về nha khoa với những triệu chứng khiến người bệnh khó chịu. Điển hình với 2 triệu chứng sưng nướu răng và nổi hạch cảnh báo bệnh gì sẽ được Nhà thuốc Long Châu phân tích trong bài viết dưới đây.
Tình trạng sưng nướu răng và nổi hạch cảnh báo bệnh gì?Sưng nướu răng (còn gọi là sưng lợi) là tình trạng lợi bị viêm nhiễm do vi khuẩn răng miệng gây ra, dẫn đến sưng đau, đỏ tấy và rất dễ chảy máu khi lợi bị tác động mạnh từ bên ngoài.
Nổi hạch là phản ứng viêm tự nhiên của cơ thể chống lại sự xâm nhập và gây bệnh của vi khuẩn. Hạch chính là tổ chức các tế bào lympho có chức năng sản sinh ra kháng thể và tế bào bạch cầu nhằm chống lại kháng nguyên - tác nhân gây bệnh. Khi nổi hạch tại bất kỳ vị trí nào trên cơ thể thì hãy nên thận trọng vì đây là dấu hiệu cho thấy vi khuẩn đang phát triển và tấn công mạnh mẽ, gây viêm nhiễm nặng.
Vì vậy, khi xuất hiện 2 triệu chứng sưng nướu răng và nổi hạch cùng lúc cho thấy tình trạng viêm nướu đang sang giai đoạn nghiêm trọng, cần điều trị can thiệp để tránh những biến chứng nặng nề cho sức khỏe răng miệng và toàn thân.
Khi thấy nướu bị sưng và nổi hạch, đây có thể là dấu hiệu một số bệnh lý nha khoa. Cần theo dõi và xử lý kịp thời để hạn chế những biến chứng nguy hiểm có thể xảy ra.
Vệ sinh răng miệng thiếu khoa học hỗ trợ ngăn chặn các bệnh lý viêm nhiễm nha khoaViêm nướu răng là giai đoạn tiến triển của viêm nướu do không được xử trí kịp thời và vệ sinh không đúng cách, tạo môi trường khiến vi khuẩn tấn công mạnh mẽ dẫn đến nhiễm trùng. Điều này gây ra các biểu hiện mắt thường có thể thấy như sưng đỏ nướu, nổi hạch và có thể có sốt nhé. Tình trạng này nếu không điều trị triệt để có thể phát triển sang các dạng tổn thương như viêm loét miệng.
Khi viêm lợi không được điều trị dứt điểm, bệnh sẽ tiến triển nặng lên thành viêm nha chu. Khi viêm nha chu tiến triển có thể phá hủy men răng, nướu, xương và các mô nâng đỡ răng. Tình trạng này gây ra sưng nướu, chảy máu chân răng, tụt lợi, áp xe lợi, nổi hạch, gây đau đớn cho bệnh nhân khi ăn nhai, hơi thở có mùi hôi… Hơn nữa, có thể gây rụng răng nếu không đến nha sĩ điều trị kịp thời.
Sâu răng là một bệnh lý nha khoa phổ biến gặp ở bất kỳ đối tượng nào, nhất là trẻ em. Đây là tình trạng xảy ra do nhiều yếu tố như vệ sinh răng miệng không khoa học, thường xuyên ăn vặt và sử dụng đồ uống có đường… khiến các loại vi khuẩn Lactobacillus, Streptococcus và Actinomyces bùng phát, làm phá hủy các khoáng chất và men răng.
Dấu hiệu và triệu chứng của răng sâu thường khác nhau, tùy thuộc vào mức độ và vị trí sâu răng. Trong giai đoạn đầu, người bệnh thường không có triệu chứng nào. Tuy nhiên, nếu không được phát hiện và điều trị đúng cách, sâu răng có thể tiến triển nặng hơn gây ra nhiều rủi ro hơn như:
Do đó, hãy thường xuyên đến nha sĩ để kiểm tra tổng quát răng miệng định kỳ, sớm phát hiện và điều trị các bệnh lý nha khoa.
Sâu răng tiến triển cũng gây ra các triệu chứng sưng nướu răng và nổi hạchĐây có thể coi là biến chứng của tình trạng sâu răng nặng khi không được điều trị kịp thời. Lúc này vi khuẩn đã phá hủy các mô cứng của răng gây nứt vỡ răng và tấn công đến mô mềm (tủy răng). Dẫn đến viêm tủy, đau nhức và sưng đỏ, nổi hạch.
Có 2 thể viêm tủy răng phổ biến là viêm tủy hồi phục và không hồi phục:
Viêm tủy răng gây đau đớn và khó chịu cho người bệnhTriệu chứng phổ biến nhất khi mọc răng khôn là tình trạng nứt lợi tại vị trí răng khôn đang mọc và gây sưng đau lợi. Nếu không được vệ sinh sạch sẽ có thể gây ra tình trạng viêm lợi trùm răng khôn với các triệu chứng như đau tức, sốt, nổi hạch…
Có nhiều nguyên nhân gây ra tình trạng sưng nướu răng và nổi hạch. Do đó, các phương pháp điều trị bệnh sẽ tùy thuộc vào tình trạng cụ thể của bệnh nhân, từ đó nha sĩ có hướng tư vấn và biện pháp xử lý cụ thể như:
Vệ sinh răng miệng khoa học: Tuy đây là phương pháp đơn giản nhưng không phải ai cũng biết vệ sinh đúng cách để ngăn ngừa bệnh lý về răng miệng. Một số biện pháp mà bác sĩ nha khoa có thể tư vấn cho bạn như: Đánh răng ít nhất 2 lần/ngày và thời gian đánh răng khoảng 4 - 5 phút/lần, sử dụng bàn chải điện nếu có thể, sử dụng kem đánh răng có chứa florua, dùng chỉ tơ nha khoa để làm sạch các kẽ răng, hạn chế hút thuốc lá và đi khám răng định kỳ ít nhất 6 tháng/lần.
Sử dụng nước súc miệng: Nên sử dụng nước súc miệng sát khuẩn chứa Chlorhexidine hoặc Hexetidine giúp hỗ trợ bảo vệ răng miệng và ngăn ngừa viêm nhiễm nướu, nhất là đối với những trường hợp đang gặp vấn đề nha khoa. Tuy nhiên, nước súc miệng chứa Chlorhexidine không nên sử dụng cho phụ nữ có thai và cho con bú. Ngoài ra, sử dụng lâu dài có thể gây ra tình trạng răng ố vàng. Do đó, chỉ nên sử dụng nước súc miệng loại này trong thời gian ngắn.
Sử dụng thuốc: Nguyên nhân chính gây ra những chứng trên là do vi khuẩn, gây ra tình trạng viêm nhiễm, đau đớn và khó chịu cho người bệnh. Khi này, bạn có thể sử dụng một số loại thuốc kháng sinh, giảm đau theo chỉ định để điều trị triệu chứng và giảm dần tình trạng bệnh.
Điều trị nha khoa: Nếu tình trạng sưng nướu và nổi hạch kéo dài và vẫn tiến triển theo hướng xấu đi dù đã áp dụng các phương pháp trên. Hãy đến gặp nha sĩ để được thăm khám, chụp X - quang toàn hàm để xác định các nhân tố có liên quan. Tuỳ thuộc vào nguyên nhân mà bác sĩ có những chỉ định điều trị cụ thể như: Làm sạch cao răng, trám răng, điều trị hủy hoặc nặng hơn sẽ nhổ bỏ răng.
Kiểm tra răng và lấy cao răng định kỳ để ngăn ngừa các bệnh lý viêm nhiễm trong nha khoaNướu răng bị sưng và nổi hạch có thể do nhiều nguyên nhân gây ra và là triệu chứng của nhiều bệnh lý về răng miệng. Hy vọng những thông tin trong bài viết trên đã giúp bạn đọc giải đáp được thắc mắc về tình trạng sưng nướu răng và nổi hạch cảnh báo bệnh gì, đồng thời có những lưu ý trong việc chăm sóc răng miệng.
Ánh Vũ
Nguồn tham khảo: Tổng hợp
:format(webp)/KF_1b_LIQ_Tx_J_Pb27_Vsh90_QN_6b_Xz_OB_Jo_U_f0e2294e2e.png)
Dược sĩ Đại họcNguyễn Chí Chương
Tốt nghiệp Đại Học Dược Hà Nội - chuyên môn Dược lâm sàng. Hiện đang là giảng viên cho Dược sĩ tại Nhà thuốc Long Châu.