Tốt nghiệp đại học Khoa Dược. Có kinh nghiệm hơn 10 năm trong lĩnh vực Dược phẩm, tư vấn thuốc và thực phẩm chức năng. Hiện đang là giảng viên cho Dược sĩ tại Nhà thuốc Long Châu.
21/06/2023
Mặc định
Lớn hơn
Tràn khí trung thất là tình trạng xuất hiện khí trong trung thất, thường hiếm gặp nhưng gây nguy hiểm nếu không được điều trị đúng cách. Bài viết này sẽ giúp bạn hiểu rõ hơn về bệnh lý này.
Tràn khí trung thất là bệnh lý trung thất hiếm gặp, thường do vỡ phế nang hoặc các va chạm gây tổn thương phế quản - phế nang, thanh quản gây nên. Mặc dù không quá nguy hiểm và có thể tự khỏi nhưng vẫn có số ít trường hợp tràn khí trung thất dẫn đến các biến chứng nguy hiểm khác. Hiểu rõ về dấu hiệu, nguyên nhân sẽ giúp bạn có cách xử trí tràn khí trung thất kịp thời.
Trung thất là khoang nằm ở giữa - vị trí trung tâm của lồng ngực, được bao quanh các khoang màng phổi. Trong trung thất gồm có các cơ quan như tim, các mạch máu lớn, thực quản, khí quản, thần kinh tim, thần kinh hoành, ống ngực, tuyến ức và hệ thống hạch bạch huyết trong lồng ngực.
Trung thất có thể được chia thành trung thất trên, nằm ở phần trên màng ngoài tim, giới hạn dưới là một đường nối từ góc xương ức với đốt sống ngực L4-L5.
Phần trung thất dưới, tính từ phía trên của màng ngoài tim trở xuống, vùng này được chia làm 3 phần:
Các bệnh lý thường gặp ở trung thất là tình trạng phát triển khối u ở trung thất (chiếm 90%), viêm trung thất và tràn khí trung thất (hiếm gặp).

Tràn khí trung thất là khi có sự xuất hiện của không khí hoặc bất kỳ loại khí nào ở khoang trung thất. Trong đó, khí có thể rò rỉ vào trung thất theo 3 cơ chế sau:
Dựa trên 3 cơ chế kể trên, có thể thấy có nhiều nguyên nhân khác nhau từ nhiễm trùng cho đến tổn thương thực thể ở phổi và đường dẫn khí đều có thể dẫn đến tràn khí trung thất. Một số nguyên nhân khiến khí tự do tràn vào trung thất (vị trí bình thường không có khí) điển hình phải kể đến:
Một số trường hợp có sự xuất hiện của khí trong trung thất mà không rõ nguyên nhân còn được xem là tràn khí trung thất tự phát.

Tràn khí trung thất là bệnh cảnh hiếm gặp và lành tính, thường xảy ra ra ở người trẻ tuổi. Đôi lúc bệnh lý này diễn ra âm thầm, không có triệu chứng. Những trường hợp khác tràn khí trung thất biểu hiện qua những cơn đau ngực sau xương ức, có thể lan đến cổ và cánh tay.
Đặc biệt cơn đau này nặng nề hơn khi bạn nuốt nước bọt và ho. Một số ít trường hợp tràn khí trung thất có thể bao gồm những triệu chứng như: Ho, đau bụng và đau lưng,...
Mặc dù là một bệnh lý trung thất hiếm gặp nhưng khi có các dấu hiệu nghi ngờ tràn khí trung thất, bạn nên nhanh chóng đi khám bác sĩ để tìm ra nguyên nhân và có cách xử trí phù hợp.
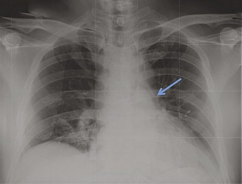
Đừng quá lo lắng khi bị nghi ngờ có khí tự do trong trung thất, hiện nay có nhiều biện pháp để quản lý hiệu quả tình trạng này. Trước tiên, bác sĩ sẽ tiến hành thăm khám lâm sàng và chỉ định người bệnh thực hiện một số xét nghiệm gồm:

Sau khi được chẩn đoán tràn khí trung thất và xác định nguyên nhân gây bệnh, tùy vào nguyên nhân gây tràn khí trung thất mà bác sĩ sẽ có các biện pháp điều trị phù hợp:
Tràn khí trung thất thường khỏi hẳn sau 1 - 2 tuần và ít khi tái phát. Số ít hiếm gặp trường hợp tràn khí trung thất kéo dài hơn 2 tuần và gây nên các biến chứng khác như: Xẹp phổi, tổn thương đường hô hấp hay tràn khí vào ống sống.
Nhìn chung, tràn khí trung thất là một tình trạng hiếm gặp và khi được chăm sóc phù hợp sẽ tự khỏi sau 1 - 2 tuần. Tuy nhiên, tốt nhất là bạn nên theo dõi sát sức khỏe đường hô hấp đặc biệt là ở những người có tiền sử viêm trung thất. Nếu cảm thấy có bất kỳ dấu hiệu bất thường nào, hãy nhanh chóng đi khám bác sĩ.
Quỳnh Vi
Nguồn tham khảo: Tổng hợp
Dược sĩ Đại họcNguyễn Thị Hồng Nhung
Tốt nghiệp đại học Khoa Dược. Có kinh nghiệm hơn 10 năm trong lĩnh vực Dược phẩm, tư vấn thuốc và thực phẩm chức năng. Hiện đang là giảng viên cho Dược sĩ tại Nhà thuốc Long Châu.