• Thực phẩm chức năng

  • Dược mỹ phẩm

  • Thuốc

  • Chăm sóc cá nhân

  • Thiết bị y tế

  • Tiêm chủng

  • Bệnh & Góc sức khỏe

  • Hệ thống nhà thuốc

    1. /
    2. Góc sức khỏe/
    3. Phòng bệnh & Sống khoẻ

    Triệu chứng tràn khí màng phổi được chẩn đoán và điều trị như thế nào?

    21/06/2023

    Kích thước chữ

    Triệu chứng tràn khí màng phổi sẽ có những biểu hiện nào? Cách xác định và phương pháp chẩn đoán và điều trị tràn khí màng phổi như nào?

    Triệu chứng tràn khí màng phổi sẽ có những biểu hiện nào? Cách xác định các triệu chứng này như thế nào? Phương pháp chẩn đoán và điều trị tràn khí màng phổi như nào? tất cả sẽ có trong bài viết này, bạn đừng bỏ lỡ các thông tin dưới đây.

    Tràn khí màng phổi là gì?

    Triệu chứng tràn khí màng phổi được chẩn đoán và điều trị như thế nào? 1 Tràn khí màng phổi là gì?

    Tràn khí màng phổi là tình trạng xuất hiện khí trong khoang màng phổi, gồm 2 loại là tràn khí màng phổi tự phát nguyên phát và tràn khí màng phổi tự phát thứ phát. Nguyên nhân gây ra tràn khí màng phổi là do chấn thương hoặc do các thủ thuật chẩn đoán điều trị gây ra.

    Chẩn đoán

    Triệu chứng tràn khí màng phổi được chẩn đoán và điều trị như thế nào? 2 Các phương pháp chẩn đoán triệu chứng tràn khí màng phổi

    Để chẩn đoán được bệnh tràn khí màng phổi có thể thực hiện 3 phương pháp chẩn đoán dưới đây để xác định chính xác bệnh.

    Chẩn đoán xác định

    Triệu chứng lâm sàng

    Các triệu chứng lâm sàng gồm:

    • Đau ngực: thường đột ngột và ở bên bị tràn khí.
    • Khó thở, khi nghỉ hoặc gắng sức sẽ thở nhanh hơn.
    • Ho khan.
    • Lồng ngực bên tràn khí căng vồng kém di động, gõ vang, rì rào phế nang giảm, rung thanh giảm.
    • Có thể có dấu hiệu tràn khí dưới da: Cổ bạnh, mắt híp, ấn da lạo xạo.

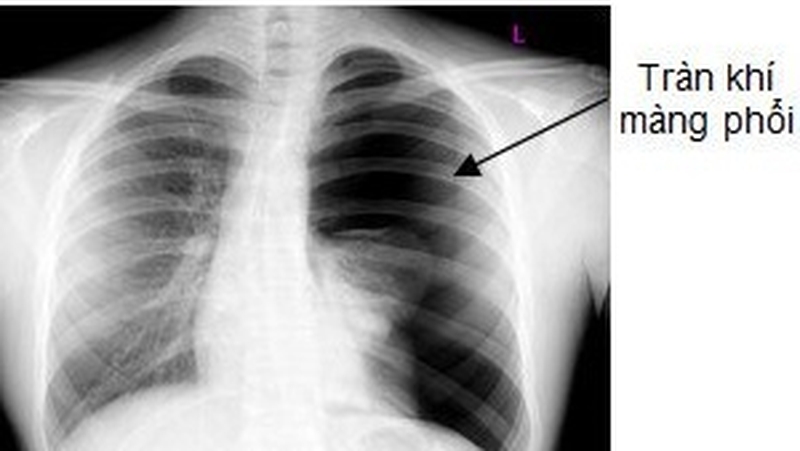
    Cận lâm sàng

    Thực hiện chụp X Quang phổi và quan sát:

    • Khoảng tăng sáng, mất hình nhu mô phổi, hình đường viền ngăn giữa nhu mô phổi và vùng tràn khí.
    • Khoang liên sườn giãn rộng.
    • Trung thất bị đẩy lệch sang bên đối diện trong trường hợp tràn khí màng phổi áp lực dương.

    Chẩn đoán phân biệt

    • Kén khí phổi với tràn khí màng phổi khu trú: kén khí xuất hiện từ trước, bệnh nhân không có triệu chứng lâm sàng, quan sát trên phim X-quang thấy thành kén khí mỏng, góc tiếp giáp với thành ngực là góc nhọn.
    • Giãn phế nang nặng: biểu hiện suy hô hấp mạn tính, trường phổi 2 bên quá sáng khi quan sát phim X quang.
    • Nếp da cơ ở thành ngực, bóng vú ở phụ nữ.

    Phân loại tràn khí màng phổi

    Tràn khí màng phổi tự phát nguyên phát: loại này thường không rõ nguyên nhân và hay gặp ở người trẻ, cao gầy, hút thuốc.

    Tràn khí màng phổi tự phát thứ phát sau một số bệnh phổi:

    • Giãn phế nang, hen phế quản.
    • Nhiễm khuẩn phổi: Do tụ cầu vàng, viêm phổi hoại tử do vi khuẩn Gram âm, lao phổi.
    • Các bệnh phổi mô kẽ như xơ phổi mô kẽ lan tỏa, bệnh phổi đột lỗ,…
    • Bệnh tự miễn: Viêm khớp dạng thấp, viêm da cơ, xơ cứng bì.
    • Ung thư phế quản gây di căn màng phổi làm thủng màng phổi.
    • Do chấn thương hoặc vết thương.
    • Do các thủ thuật chẩn đoán và điều trị: Chọc dịch màng phổi, sinh thiết màng phổi, sinh thiết phổi xuyên thành ngực hay soi phế quản,…

    Điều trị

    Triệu chứng tràn khí màng phổi được chẩn đoán và điều trị như thế nào? 3 Điều trị tràn khí màng phổi như thế nào?

    Nguyên tắc khi điều trị tràn khí màng phổi là hút hết khí khoang màng phổi và phòng tái phát. Có các phương pháp điều trị như sau:

    Tràn khí màng phổi tự phát nguyên phát

    • Đối với trường hợp này lượng khí màng phổi ít, < 15% thể tích bên tràn khí; chiều ngang của dải khí sát màng phổi < 2cm: Không cần hút dẫn lưu, thở oxy 2 - 3 lít/phút trong 2 - 3 ngày. Sau đó cho bệnh nhân chụp lại X quang phổi, nếu ổn định, bệnh nhân có thể ra viện.
    • Việc chọc hút khí màng phổi đơn thuần chỉ dùng cho trường hợp bệnh nhân tràn khí màng phổi tự phát nguyên phát > 15% thể tích bên phổi tràn khí , chiều ngang của dải khí sát màng phổi > 2 cm.

    Tràn khí màng phổi thứ phát sau các thủ thuật

    • Chọc dịch màng phổi, sinh thiết màng phổi sinh thiết phổi xuyên thành ngực; lượng khí ít < 15% thể tích bên phổi tràn khí.
    • Sử dụng kim nhỏ nối với ba chạc và bơm tiêm 50 ml. Sau khi hút hết khí thì rút kim.
    • Nếu hút được 4 lít mà khí vẫn ra đều, không có cảm giác khí sắp hết cần xét chỉ định mở màng phổi.

    Chỉ định mở màng phổi - đặt ống dẫn lưu

    • Tràn khí màng phổi áp lực dương: Nhịp thở > 30 lần/phút, nhịp tim > 120 lần/phút, huyết áp tụt. Lúc này, trung thất bị đẩy lệch về bên đối diện, vòm hoành hạ thấp dẹt và thẳng, có khi đảo ngược và tràn khí dưới da, bạn sẽ thấy khí xì ra nếu chọc kim vào khoang màng phổi.
    • Tràn khí tràn dịch màng phổi (vì có thể do tràn máu màng phổi). Bạn tiến hành mở màng phổi với ống thông 16 - 28F tùy từng trường hợp, còn ống 24 - 28F sẽ dành cho bệnh nhân tràn khí màng phổi cần thở máy hoặc kèm tràn máu màng phổi. Sử dụng van Heimlich hoặc van nước trong 12 - 24 giờ đầu nhằm tránh nguy cơ phù phổi do phổi giãn nở nhanh. Hút áp lực âm 20 cm nước liên tục cho đến khi hết khí màng phổi, sau đó kẹp ống dẫn lưu 24 giờ. Nếu không thấy tràn khí màng phổi tái phát sau 24 giờ hãy rút ống dẫn lưu và tiến hành khám lâm sàng, chụp X quang phổi.

    Dự phòng tái phát

    • Tràn khí màng phổi tự phát nguyên phát đã tái phát từ lần 2 trở đi.
    • Tràn khí màng phổi tự phát thứ phát sau các bệnh: Bệnh phổi tắc nghẽn mạn tính, lao phổi cũ, bệnh phổi mô kẽ.
    • Hình ảnh bóng, kén khí trên phim chụp X-quang, hoặc cắt lớp vi tính.

    Bơm bột Talc y tế qua ống dẫn lưu

    • Chỉ định cho những bệnh nhân mắc tràn khí màng phổi có suy hô hấp hoặc không có điều kiện nội soi màng phổi và được thực hiện ngay khi đặt dẫn lưu màng phổi.
    • Pha 10 gam bột Talc y tế vô trùng với 50 ml Natriclorua 0,9% và 10 ml Lidocain 2%, rồi bơm qua ống dẫn lưu màng phổi. Dừng hút dẫn lưu, thay đổi tư thế 15 phút/lần. Hút dẫn lưu liên tục sau bơm bột talc 2 giờ.

    Bơm Iodopovidon qua ống dẫn lưu

    • Chỉ định bơm Iodopovidone trong trường hợp đã đặt ống dẫn lưu nhiều ngày, hoặc bệnh nhân có suy hô hấp nhiều.
    • Bơm dung dịch pha 40 ml Iodopovidon 10% với 60 ml Natriclorua 0,9%. Dừng hút dẫn lưu, thay đổi tư thế 15 phút/lần. Hút dẫn lưu liên tục sau bơm Iodopovidon 2 giờ.

    Nội soi màng phổi can thiệp

    Qua nội soi màng phổi can thiệp có thể tiến hành nhằm gây dính màng phổi với bột talc dạng phun mù, chà sát màng phổi; đốt điện, cắt bỏ bóng khí, thắt, kẹp hoặc khâu các bóng khí.

    Mở lồng ngực

    • Chỉ định dùng cho trường hợp không có điều kiện nội soi màng phổi hoặc nội soi màng phổi thất bại.
    • Tiến hành mở lồng ngực để xử lý các bóng khí hoặc lỗ rò phế quản - màng phổi. Bên cạnh đó, sẽ kết hợp gây dính màng phổi với hoá chất hoặc gây viêm dính bằng cách chà sát màng phổi.

    Như vậy bài viết trên đã cung cấp cho bạn thông tin về các triệu chứng của tràn khí màng phổi, đồng thời là các phương pháp điều trị bệnh lý này. Nếu thấy bài viết hay đừng quên chia sẻ để mọi người cùng nắm được thông tin nhé!

    Hạ Hạ

    Nguồn: Tổng Hợp

    Có thể bạn quan tâm

    Thông tin và sản phẩm gợi ý trong bài viết chỉ mang tính chất tham khảo, vui lòng liên hệ với Bác sĩ, Dược sĩ hoặc chuyên viên y tế để được tư vấn cụ thể. Xem thêm

    Dược sĩ Đại họcNguyễn Vũ Kiều Ngân

    Đã kiểm duyệt nội dung

    Tốt nghiệp Đại học Y Dược TP. Hồ Chí Minh. Có nhiều năm trong lĩnh vực dược phẩm. Hiện đang là giảng viên cho Dược sĩ tại Nhà thuốc Long Châu.

    Xem thêm thông tin
    Chủ đề:Hô hấp