Tốt nghiệp Khoa Dược trường Đại học Nam Cần Thơ. Có nhiều năm kinh nghiệm công tác trong lĩnh vực Dược phẩm. Hiện đang giảng viên cho Dược sĩ tại Nhà thuốc Long Châu.
Thanh Hương
11/06/2024
Mặc định
Lớn hơn
Trồng răng hàm bị sâu giá bao nhiêu phụ thuộc vào tình trạng sâu răng và phương pháp thực hiện. Bạn xem bài viết dưới đây để tham khảo mức chi phí trồng răng hàm bị sâu và lựa chọn phương pháp phù hợp nhé!
Răng hàm có vai trò quan trọng đối với hoạt động nhai của hàm răng. Răng hàm nằm ở góc khuất bên trong nên khó vệ sinh và khó phát hiện khi bị sâu. Nhiều trường hợp đến khi phát hiện thì răng hàm đã bị tổn thương nặng. Trồng răng hàm bị sâu là phương pháp phục hình và đảm bảo chức năng nhai của răng hàm. Có nhiều phương pháp trồng răng hàm với các mức chi phí khác nhau để bạn tham khảo.
Sâu răng hàm là bệnh lý răng miệng phổ biến ở cả trẻ em và người lớn. Không phải mọi trường hợp sâu răng hàm đều phải trồng răng giả. Tùy vào tình trạng của răng mà bác sĩ nha khoa sẽ có biện pháp điều trị phù hợp.
Đối với răng sâu ở mức độ nhẹ, bác sĩ sẽ tiến hành làm sạch vùng răng bị sâu và tái tạo hình dáng của răng bằng cách trám răng. Đây là kỹ thuật sử dụng vật liệu nhân tạo để lấp đầy lỗ răng bị vỡ, mòn do sâu răng hoặc do tổn thương khác. Trường hợp răng hàm có lỗ sâu lớn không thể khắc phục bằng phương pháp trám, bác sĩ sẽ thực hiện kỹ thuật bọc răng sứ.

Trồng răng hàm bị sâu răng được chỉ định khi răng đã bị sâu nghiêm trọng. Răng hàm có lỗ sâu lớn, đã bị tổn thương tủy hoặc chết tủy. Nó sẽ được nhổ bỏ và thay thế bằng răng giả. Việc trồng răng hàm bị sâu là cần thiết để duy trì chức năng nhai thức ăn của răng. Mặt khác, nếu răng hàm bị sâu và mất đi sẽ ảnh hưởng đến cấu trúc của răng miệng. Hàm răng dễ bị xô lệch, mất thẩm mỹ.
Tùy từng trường hợp bệnh lý và phương pháp điều trị mà chi phí trồng răng hàm bị sâu là khác nhau. Nếu sâu răng kèm theo viêm nha chu thì cần phải kết hợp điều trị trước khi trồng răng, kéo theo chi phí thực hiện cũng tăng thêm. Trường hợp răng hàm bị sâu đã tiêu xương thì phải ghép thêm xương. Răng sâu càng nặng thì càng phải thực hiện phương pháp hiện đại, chi phí cao.
Các cơ sở nha khoa khác nhau cũng có sự chênh lệch về giá. Dịch vụ trồng răng ở các bệnh viện nha khoa lớn, bác sĩ nổi tiếng, máy móc hiện đại sẽ có giá cao hơn nha khoa thông thường. Nha khoa có các phương pháp trồng răng khác nhau để phục hình răng hàm bị sâu. Tùy từng phương pháp, chi phí trồng răng sâu có thể từ vài triệu đồng đến hàng chục triệu đồng cho mỗi một chiếc răng. Hiện nay, phục hình răng sâu có 3 phương pháp phổ biến là hàm giả tháo lắp, làm cầu răng sứ và trồng răng implant.

Hàm giả tháo lắp là phương pháp trồng răng truyền thống, dễ thực hiện, chi phí thấp. Hàm giả có thiết kế bao gồm các răng giả và nền hàm giống như nướu thật, sử dụng thay thế cho 1 hoặc nhiều răng hàm đã mất. Làm hàm giả tháo lắp chỉ trong vòng 1 tuần là xong, không xâm lấn nên vẫn bảo tồn được răng thật. Việc vệ sinh răng miệng đối với hàm giả khá dễ dàng vì có thể tháo lắp.
Trong các phương pháp trồng răng hàm sâu hiện nay thì hàm giả tháo lắp có mức giá rẻ nhất. Tùy từng loại hàm mà chi phí sẽ khác nhau. Hàm khung thông thường có giá 1.5 - 2 triệu đồng/hàm. Hàm nhựa dẻo Biosoft có giá khoảng 4 - 5 triệu đồng/hàm. Hàm khung liên kết titan hoặc sứ có giá từ 8 10 triệu đồng/răng. Giá rẻ nhưng độ bền của hàm giả tháo lắp không cao, chỉ được 3 - 5 năm.
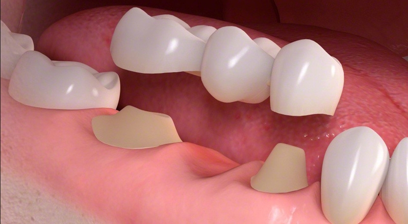
Cầu răng sứ còn gọi là trồng răng bắc cầu. Sẽ có ít nhất 1 chiếc răng thật ở bên cạnh răng sâu được mài đi, làm trụ để chụp cầu răng sứ. Trồng răng hàm bị sâu giá bao nhiêu sẽ phụ thuộc vào chất liệu mão sứ. Chi phí làm cầu răng sứ bằng kim loại là 1 triệu đồng/răng. Răng sứ Titan có giá 2 triệu đồng/răng, răng sứ Emax giá 4 triệu đồng/răng. Cầu răng sứ cao cấp HI-Zirconia có giá 7 triệu đồng/răng.

Cầu răng sứ có tính thẩm mỹ cao, màu sắc tự nhiên như răng thật. Độ bền của cầu răng sứ có thể lên tới 10 năm nếu được chăm sóc đúng cách. Tuy nhiên, muốn làm cầu răng sứ thì chiếc răng bên cạnh phải thực sự chắc khỏe, không gặp bất kỳ bệnh lý răng miệng nào. Kỹ thuật làm cầu răng sứ phải xâm lấn mài mòn răng thật. Theo thời gian, nó có thể làm tăng nguy cơ mất thêm răng thật.
Cấy ghép implant là phương pháp trồng răng hiện đại, khắc phục được nhiều hạn chế của các phương pháp khác. Trồng răng implant không cần xâm lấn mài mòn răng thật. Bác sĩ sẽ cấy ghép trực tiếp trụ implant đường kính 3.5 - 6mm, dài 10 - 15mm vào vị trí răng hàm sâu. Trụ implant làm bằng titanium có màu sắc như răng thật, khả năng chịu lực tốt nên sức nhai cũng tương tự như răng thật.
Trồng răng implant có thể bền lên tới trọn đời, không bị giảm sức nhai theo thời gian. Cấy ghép implant ngăn chặn gần như triệt để nguy cơ tiêu xương ở răng hàm bị sâu, điều mà phương pháp hàm giả tháo lắp và cầu răng sứ không làm được. Với những ưu điểm vượt trội, chi phí trồng răng hàm implant rất cao, dao động từ 15 - 35 triệu đồng/răng tùy từng loại implant.

Mỗi phương pháp trồng răng hàm có những ưu điểm và hạn chế riêng. Bác sĩ sẽ đưa ra phương pháp phù hợp với tình trạng sâu răng, vì vậy bạn không nên quá đặt nặng vấn đề trồng răng hàm bị sâu giá bao nhiêu. Bạn tham khảo mức giá kể trên để chủ động về tài chính khi cần phục hình răng hàm bị sâu.
Tuổi thọ của răng giả phụ thuộc vào cách chăm sóc và chế độ ăn uống hàng ngày. Sau khi phục hình răng hàm bị sâu, bạn nên áp dụng các biện pháp dưới đây để kéo dài độ bền của răng.
Ngày đầu tiên sau khi trồng răng, bạn không cần súc miệng cũng như đánh răng. Sang ngày thứ hai, bạn súc miệng bằng nước muối loãng hoặc nước sát khuẩn chứa chlorhexidine. Bạn nên thay bàn chải mới để đánh răng, không dùng bàn chải cũ vì chúng có thể chứa vi khuẩn gây viêm nhiễm vết thương. Sử dụng bàn chải có lông mềm giúp làm sạch nhẹ nhàng, tránh tổn thương răng.
Bác sĩ khuyến cáo không nên dùng tăm nước trong vòng 2 tuần đầu sau khi trồng răng. Sau khi răng đã ổn định, bạn cần duy trì chải răng 2 lần/ngày. Kết hợp sử dụng chỉ nha khoa để làm sạch thức ăn bám dính trong kẽ răng, xung quanh vị trí trồng răng. Bạn dùng thêm nước súc miệng khoảng 2 - 3 lần/ngày giúp loại bỏ vi khuẩn, ngăn ngừa sâu răng.

Cầu răng sứ và trồng răng implant có thể nhai như răng bình thường. Tuy nhiên, bạn vẫn nên lưu ý đến thói quen ăn uống để đảm bảo sức khỏe răng miệng. Thời gian đầu mới trồng răng, bạn nên ăn đồ mềm, dễ nuốt. Sau 2 tuần, bạn có thể ăn uống như bình thường như vẫn cần hạn chế nhai đồ cứng, dai ở răng giả. Bạn tránh uống rượu bia, nước ngọt và tránh ăn thực phẩm chứa nhiều axit, đường. Chúng gây hại men răng và làm giảm tuổi thọ của răng.
Bài viết đã giúp bạn tham khảo thông tin để biết trồng răng hàm bị sâu giá bao nhiêu. Bạn đi khám nha khoa sẽ được bác sĩ tư vấn, báo giá trồng răng hàm theo tình trạng thực tế sâu răng. Bạn nên tìm hiểu và lựa chọn cơ sở nha khoa uy tín, đảm bảo an toàn và chất lượng khi trồng răng.
Dược sĩ Đại họcNguyễn Thị Thảo Nguyên
Tốt nghiệp Khoa Dược trường Đại học Nam Cần Thơ. Có nhiều năm kinh nghiệm công tác trong lĩnh vực Dược phẩm. Hiện đang giảng viên cho Dược sĩ tại Nhà thuốc Long Châu.