:format(webp)/chup_ct_cot_song_that_lung_nhung_thong_tin_co_ban_can_biet_66d0af228e.jpg)
Chụp CT cột sống thắt lưng là kỹ thuật không xâm lấn hiện đại, được áp dụng rộng rãi trong y học ngày nay. Tuy nhiên, trên thực tế, không phải độc giả nào cũng hiểu rõ về phương pháp này. Nếu bạn đang quan tâm đến phương pháp chụp CT cột sống thắt lưng thì đừng bỏ qua bài viết hôm nay bạn nhé.
:format(webp)/tim_hieu_ve_ky_thuat_chup_mach_mau_so_hoa_xoa_nen_dsa_3_57482ac70d.png)
Chụp mạch máu số hóa xóa nền (DSA) là một công nghệ tiên tiến đóng vai trò quan trọng trong việc chẩn đoán và điều trị các bệnh lý liên quan đến mạch máu. Phương pháp này cho phép bác sĩ quan sát rõ ràng lòng mạch máu, giúp phát hiện những bất thường và tình trạng nguy hiểm một cách chính xác. Theo dõi bài viết dưới đây của Nhà thuốc Long Châu để nắm được những thông tin hữu ích về phương pháp này nhé!
:format(webp)/chi_so_haller_la_gi_vai_tro_cua_chi_so_haller_trong_dieu_tri_lom_nguc_e8ad1b7e5e.jpg)
Chỉ số Haller là thước đo y khoa phổ biến, giúp xác định mức độ nghiêm trọng của tình trạng lõm ngực và là cơ sở để quyết định phương pháp điều trị thích hợp. Với những tiến bộ trong y học, phương pháp điều trị lõm ngực hiện nay mang lại hiệu quả cao, giúp cải thiện chất lượng cuộc sống cho người bệnh. Vậy chỉ số Haller là gì?
:format(webp)/chup_dsa_co_nguy_hiem_khong_nhung_dieu_ban_can_biet_truoc_khi_thuc_hien_7342e502bf.jpg)
Chụp DSA hay chụp cộng hưởng động mạch, là một thủ tục y tế phổ biến nhưng không phải ai cũng hiểu rõ về mức độ an toàn của nó. Trong bài viết này, Nhà thuốc Long Châu sẽ cùng bạn tìm hiểu xem liệu thủ tục chụp DSA có nguy hiểm không, qua đó giúp bạn có cái nhìn toàn diện hơn trước khi quyết định thực hiện.
:format(webp)/chup_pet_ct_o_dau_va_khi_nao_d995e1d74a.jpg)
Chụp PET CT là kỹ thuật y tế được dùng để xác định, theo dõi độ di căn, theo dõi hiệu quả điều trị của bệnh lý ung thư. Từ đó, giúp điều trị hiệu quả hơn, nâng cao tỉ lệ sống cho người bệnh. Vậy người bệnh nên chụp PET CT ở đâu và khi nào cần thực hiện chụp PET CT?
:format(webp)/sieu_am_tong_quat_la_gi_quy_trinh_thuc_hien_sieu_am_tong_quat_ra_sao_2_860014484e.png)
Siêu âm tổng quát là một phương pháp chẩn đoán hình ảnh hiện đại, sử dụng sóng âm tần số cao giúp quan sát được các cơ quan nội tạng bên trong cơ thể con người. Nhờ khả năng tạo ra hình ảnh chi tiết về cấu trúc và chức năng của các cơ quan, siêu âm tổng quát đóng vai trò quan trọng trong việc kiểm tra, tầm soát, đánh giá cũng như theo dõi một số bệnh lý của người bệnh. Hãy cùng Nhà thuốc Long Châu tìm hiểu những thông tin chi tiết về siêu âm tổng quát trong bài viết dưới đây nhé!
:format(webp)/tam_quan_trong_cua_sieu_am_thai_nhi_la_gi_sieu_am_nhieu_co_tot_khong_2_aef3d6c368.png)
Siêu âm là một kỹ thuật y khoa hiện đại mang lại nhiều lợi ích cho việc theo dõi sức khỏe thai nhi trong suốt thai kỳ. Tuy nhiên, bên cạnh những lợi ích, nhiều mẹ bầu cũng lo lắng về việc siêu âm nhiều có ảnh hưởng đến thai nhi hay không. Vậy, câu trả lời cho thắc mắc siêu âm nhiều có tốt không là gì?
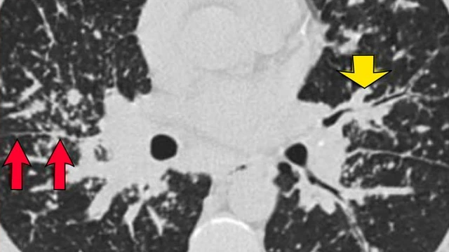
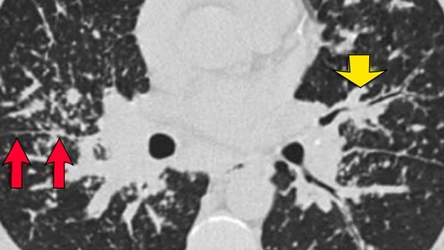
:format(webp)/phuong_phap_chan_doan_hinh_anh_hrct_la_gi_1_67fc0fb28a.jpg)
Chụp HRCT (chụp cắt lớp vi tính độ phân giải cao) là một loại hình chụp CT hiển thị hình ảnh chi tiết về phổi của bạn. Phương pháp này thường được dùng để chẩn đoán và theo dõi các bệnh phổi kẽ và các tình trạng ảnh hưởng đến đường hô hấp nhỏ và phế nang (túi khí) của người bệnh. Bài viết bên dưới sẽ giúp bạn tìm hiểu phương pháp HRCT là gì.
:format(webp)/c_arm_la_gi_0_001ce36187.jpg)
C-Arm là gì? Đây là câu hỏi mà nhiều người đặt ra khi bắt đầu tìm hiểu về thiết bị y tế này. C-Arm là một loại thiết bị chụp hình ảnh y tế sử dụng công nghệ tia X, đóng vai trò quan trọng trong nhiều quy trình phẫu thuật và chẩn đoán. Với khả năng cung cấp hình ảnh chất lượng cao, C-Arm hỗ trợ các bác sĩ và kỹ thuật viên y tế thực hiện các thủ thuật một cách chính xác và hiệu quả, trong đó có thủ thuật đặt ống thông tá tràng.
:format(webp)/chup_xquang_khop_vai_phat_hien_benh_ly_gi_khi_nao_can_thuc_hien_3_c2266c90d8.jpg)
Chụp Xquang khớp vai đóng một vai trò quan trọng trong việc chẩn đoán các tình trạng vai khác nhau, từ gãy xương và trật khớp đến rách gân và các bệnh viêm nhiễm. Phát hiện và điều trị sớm là điều cần thiết để duy trì chức năng vai và ngăn ngừa các biến chứng lâu dài.