Tốt nghiệp Đại học Dược Hà Nội, với hơn 10 năm kinh nghiệm trong lĩnh vực Dược phẩm. Hiện là giảng viên giảng dạy các môn Dược lý, Dược lâm sàng,...
Ánh Vũ
31/12/2024
Mặc định
Lớn hơn
Chụp DSA hay chụp cộng hưởng động mạch, là một thủ tục y tế phổ biến nhưng không phải ai cũng hiểu rõ về mức độ an toàn của nó. Trong bài viết này, Nhà thuốc Long Châu sẽ cùng bạn tìm hiểu xem liệu thủ tục chụp DSA có nguy hiểm không, qua đó giúp bạn có cái nhìn toàn diện hơn trước khi quyết định thực hiện.
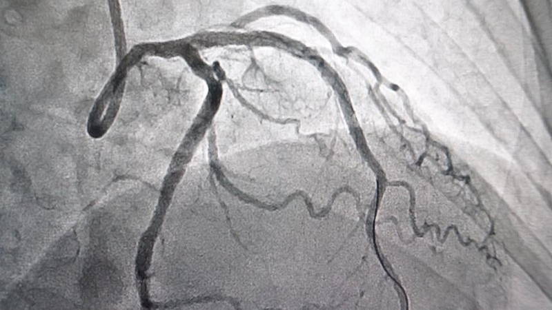
Chụp DSA (Digital Subtraction Angiography) là một phương pháp hình ảnh học được sử dụng rộng rãi trong y khoa để chẩn đoán các vấn đề về mạch máu. Tuy nhiên, câu hỏi chụp DSA có nguy hiểm không thường làm nhiều người lo lắng trước khi quyết định tiến hành thủ thuật này.
Chụp DSA hay còn được biết đến với tên gọi chụp mạch máu kỹ thuật số hóa xóa nền là một phương pháp chẩn đoán hình ảnh tiên tiến được sử dụng để đánh giá chi tiết các mạch máu trong cơ thể. Phương pháp này sử dụng một loại cản quang đặc biệt được tiêm vào các động mạch, sau đó các bức ảnh chụp X-quang sẽ được thực hiện.
Bằng cách sử dụng phần mềm máy tính, hình ảnh nền sẽ được lấy đi, chỉ để lại hình ảnh của các mạch máu đã được nhuộm màu. Điều này cho phép các bác sĩ chẩn đoán một cách chính xác các bệnh lý như tắc nghẽn, hẹp mạch, hay xuất huyết mà không bị ảnh hưởng bởi các cấu trúc xung quanh.

Mặc dù được coi là một công cụ chẩn đoán vô cùng hữu ích, chụp DSA không phải là không có rủi ro. Các nguy cơ liên quan đến thủ tục này chủ yếu phát sinh từ việc sử dụng chất cản quang và can thiệp xâm lấn nhẹ.
Phản ứng dị ứng với chất cản quang là một trong những rủi ro thường gặp nhất khi thực hiện chụp DSA. Đa số phản ứng dị ứng thường nhẹ và có thể được quản lý ngay tại chỗ. Tuy nhiên, trong một số trường hợp hiếm gặp, phản ứng có thể trở nên nghiêm trọng, thậm chí đe dọa tính mạng. Để giảm thiểu nguy cơ này, bệnh nhân cần thông báo cho bác sĩ về bất kỳ tiền sử dị ứng nào, đặc biệt là với iodine, thành phần thường có trong chất cản quang.
Ngoài ra, do chụp DSA yêu cầu can thiệp xâm lấn nhẹ như đưa catheter vào động mạch, nó cũng có thể dẫn đến các biến chứng như: Biến chứng tại chỗ (như hình thành cục máu đông tại vị trí tiêm, tổn thương mô lân cận hoặc giả phình mạch) và biến chứng toàn thân (như thuyên tắc do huyết khối, thuyên tắc khí, bóc tách mạch máu và suy giảm chức năng thận).
Mặc dù những biến chứng này có thể gây ra các vấn đề nghiêm trọng, nhưng với sự chuẩn bị kỹ lưỡng và các biện pháp an toàn đã được thiết lập, rủi ro có thể được kiểm soát hiệu quả.
Dù có các rủi ro tiềm ẩn, chụp DSA vẫn là một thủ tục được đánh giá cao về độ an toàn và hiệu quả khi được thực hiện bởi đội ngũ y tế chuyên nghiệp trong một môi trường kiểm soát chặt chẽ. Các bác sĩ thường sẽ cân nhắc kỹ lưỡng lợi ích so với rủi ro dựa trên tình trạng sức khỏe cụ thể của từng bệnh nhân để đảm bảo rằng thủ tục mang lại lợi ích tối đa với nguy cơ thấp nhất.

Bạn đã biết được chụp DSA có nguy hiểm không ở nội dung trên. Tuy có nhiều rủi ro bệnh nhân có thể gặp phải, nhưng chụp DSA là một công nghệ chẩn đoán hình ảnh hiện đại mang lại nhiều lợi ích đáng kể trong việc chẩn đoán và điều trị các bệnh lý mạch máu.
Thông qua kỹ thuật này, các bác sĩ có thể có được hình ảnh chi tiết và rõ ràng về hệ thống mạch máu, giúp phát hiện sớm và chính xác các vấn đề như tắc nghẽn, phình mạch, hay dị dạng động - tĩnh mạch.
Chụp DSA có khả năng cung cấp hình ảnh chất lượng cao với độ phân giải vượt trội, cho phép các bác sĩ thấy được những thay đổi nhỏ nhất trong cấu trúc mạch máu. Điều này đặc biệt quan trọng trong việc chẩn đoán và lên kế hoạch can thiệp cho các bệnh nhân mắc phải các bệnh lý phức tạp ở não, cổ, ngực và các chi.
Ví dụ, trong điều trị bệnh lý mạch máu não như phình động mạch não, DSA giúp xác định chính xác vị trí và kích thước của túi phình, từ đó hỗ trợ các bác sĩ trong việc lựa chọn phương pháp can thiệp phù hợp nhất như đặt stent hay thực hiện nong mạch.
Ngoài ra, DSA còn có khả năng theo dõi và đánh giá hiệu quả điều trị, cho phép các nhà chăm sóc sức khỏe theo dõi sự tiến triển của bệnh nhân sau các thủ thuật can thiệp. Điều này đóng một vai trò quan trọng trong việc điều chỉnh kế hoạch điều trị khi cần thiết, đảm bảo an toàn và hiệu quả cho bệnh nhân.
Một lợi ích quan trọng khác của DSA là tính chất ít xâm lấn. So với các thủ thuật mổ mở, chụp DSA giảm thiểu đáng kể sự xâm lấn và rủi ro biến chứng, đồng thời rút ngắn thời gian hồi phục cho bệnh nhân. Điều này không những làm tăng chất lượng cuộc sống cho bệnh nhân sau khi điều trị mà còn giảm bớt gánh nặng cho hệ thống y tế.

Ngoài vấn đề chụp DSA có nguy hiểm không, bạn cũng cần hiểu rõ được các trường hợp cần thực hiện thủ thuật này. Mặc dù công cụ này có nhiều lợi ích trong việc chẩn đoán và can thiệp điều trị các bệnh lý mạch máu nhưng không phải trường hợp nào cũng thích hợp để thực hiện chụp DSA.
Chỉ định chụp DSA trong các trường hợp:
Chống chỉ định chụp DSA:

Bài viết trên của Nhà thuốc Long Châu đã giúp bạn làm rõ chụp DSA có nguy hiểm không cũng những lợi ích vượt trội của kỹ thuật này trong khám và chữa bệnh. Mặc dù có những rủi ro nhất định, nhưng khi được thực hiện bởi các chuyên gia y tế có kinh nghiệm, chụp DSA là một phương pháp an toàn và hiệu quả trong chẩn đoán bệnh lý mạch máu. Nếu bạn còn băn khoăn, hãy thảo luận với bác sĩ để có cái nhìn rõ ràng và an tâm hơn.
Xem thêm:
Dược sĩ Đại họcNguyễn Thanh Hải
Tốt nghiệp Đại học Dược Hà Nội, với hơn 10 năm kinh nghiệm trong lĩnh vực Dược phẩm. Hiện là giảng viên giảng dạy các môn Dược lý, Dược lâm sàng,...