:format(webp)/thay_khop_vai_la_gi_khi_nao_can_thuc_hien_phau_thuat_thay_khop_vai_1_6cabc76a3d.jpg)
Khớp vai là một khớp cầu nằm ở vùng vai, đóng vai trò quan trọng trong việc giúp cánh tay có thể di chuyển linh hoạt. Do tính chất phức tạp và linh hoạt của khớp vai, dễ bị tổn thương và đau đớn. Vậy những tổn thương nào cần phải thực hiện phẫu thuật thay khớp vai và thay khớp vai là gì hãy cùng tìm hiểu qua bài viết dưới đây.
:format(webp)/tim_hieu_ve_ky_thuat_tiem_khop_vai_1_4ef24e4c3c.jpg)
Kỹ thuật tiêm khớp vai là một phương pháp điều trị y học nhằm giảm đau và cải thiện chức năng khớp vai cho bệnh nhân mắc các bệnh lý như viêm khớp, viêm bao hoạt dịch và các tổn thương khác liên quan đến khớp vai. Hãy cùng tìm hiểu về kỹ thuật tiêm khớp vai qua bài viết sau đây.
:format(webp)/tran_dich_khop_la_gi_phuong_phap_dieu_tri_tran_dich_khop_vai_1_f9f62481c6.jpg)
Các vấn đề về xương khớp luôn là mối quan ngại của chúng ta, vì những tổn thương này tác động trực tiếp đến khả năng hoạt động trong cuộc sống thường ngày. Trong đó, tràn dịch khớp vai là một trong những bệnh lý nếu không được điều trị kịp thời sẽ để lại nhiều hậu quả nghiêm trọng. Hãy cùng tìm hiểu tràn dịch khớp vai là gì và cách điều trị bệnh này qua bài viết dưới đây.
:format(webp)/cac_trieu_chung_va_bien_chung_cua_trat_khop_vai_0_9e49ee08b9.jpg)
Trật khớp vai là một vấn đề khớp thường gặp, có thể gây ra nhiều khó khăn và bất tiện trong sinh hoạt hàng ngày của người bệnh. Sự không ổn định của khớp vai có thể dẫn đến các triệu chứng đa dạng và trong một số trường hợp, có thể dẫn đến những biến chứng nghiêm trọng. Việc hiểu rõ về các triệu chứng và biến chứng của trật khớp vai là rất quan trọng để có thể đưa ra các phương pháp điều trị phù hợp và phòng ngừa hiệu quả.
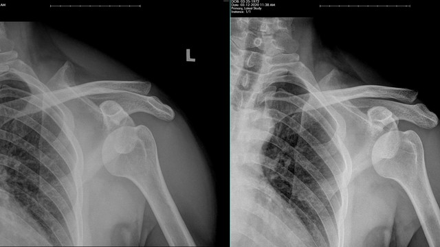
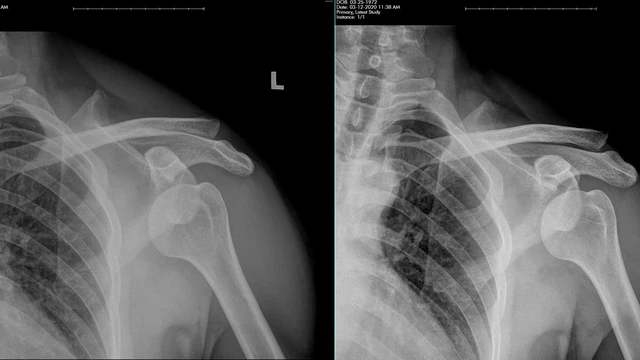
:format(webp)/hinh_anh_trat_khop_vai_0_deaa525fdc.jpg)
Trong cuộc sống hằng ngày, chúng ta thường dễ dàng gặp chấn thương không mong muốn, một trong số đó là các chấn thương trật khớp vai. Hình ảnh trật khớp vai hiện lên trong tâm trí khi nghĩ đến các chấn thương phổ biến, đặc biệt là ở những người tham gia các hoạt động thể thao hoặc lao động nặng nhọc. Việc hiểu rõ về trật khớp vai sẽ giúp chúng ta phòng tránh và xử lý kịp thời những tình huống khẩn cấp này.
:format(webp)/nhom_co_cau_vai_la_gi_va_o_vi_tri_nao_dfafa2ace7.jpg)
Với sự phát triển của nhóm cơ cầu vai, sự săn chắc của nhóm cơ này sẽ làm thân hình trở nên ấn tượng. Vậy nhóm cơ cầu vai là gì, ở vị trí nào và những bài tập nào để nhóm cơ này phát triển giúp bạn có thân hình ấn tượng và vạm vỡ hơn?
:format(webp)/te_ba_vai_phai_0_ad140bd63d.jpg)
Tê bả vai phải là tình trạng đau mỏi gặp ở rất nhiều người, đặc biệt là những người thường làm những công việc nặng tới vai hay chơi thể thao nhiều. Cơn tê bả vai phải có thể gây ra nhiều bất tiện và ảnh hưởng đến chất lượng cuộc sống.
:format(webp)/dau_vai_trai_la_benh_gi_bat_mi_cach_dieu_tri_00_469c8b7fbc.jpg)
Đau vai trái là bệnh gì? Đau vai trái không chỉ gây ra sự khó chịu và hạn chế trong sinh hoạt hàng ngày, mà còn là một dấu hiệu của nhiều vấn đề khác nhau trong cơ xương và cơ bắp. Nguyên nhân của việc đau vai trái có thể bao gồm nhiều yếu tố, từ căng thẳng cơ bắp đến các vấn đề cơ xương khác nhau.
:format(webp)/viem_chop_xoay_vai_0_16ed6d8e87.jpg)
Viêm chóp xoay vai không chỉ gây đau nhức dai dẳng mà còn ảnh hưởng đến chất lượng cuộc sống của người bệnh. Bài viết này sẽ cung cấp cho bạn những thông tin hữu ích về viêm chóp xoay vai, bao gồm nguyên nhân, triệu chứng, chẩn đoán và điều trị, giúp bạn hiểu rõ hơn về căn bệnh này và có cách phòng ngừa, điều trị hiệu quả.
:format(webp)/giai_phau_khop_vai_va_cac_benh_ly_thuong_gap_fb65d62ad6.png)
Khớp vai là khớp phức tạp trong cơ thể con người, đóng vai trò quan trọng trong hoạt động của cánh tay. Bài viết này sẽ cung cấp cho bạn kiến thức cơ bản về giải phẫu khớp vai, giúp bạn hiểu rõ hơn về cách thức hoạt động và tầm quan trọng của nó. Ngoài ra, bài viết cũng sẽ đề cập đến một số bệnh lý thường gặp ở khớp vai và phương pháp điều trị.