• Thực phẩm chức năng

  • Dược mỹ phẩm

  • Thuốc

  • Chăm sóc cá nhân

  • Thiết bị y tế

  • Tiêm chủng

  • Bệnh & Góc sức khỏe

  • Hệ thống nhà thuốc

    1. /
    2. Góc sức khỏe/
    3. Phòng bệnh & Sống khoẻ/
    4. Kiến thức y khoa

    Hình ảnh trật khớp vai và một số trường hợp chỉ định chụp X-quang khớp vai

    Thị Thu

    26/12/2024

    Kích thước chữ

    Trong cuộc sống hằng ngày, chúng ta thường dễ dàng gặp chấn thương không mong muốn, một trong số đó là các chấn thương trật khớp vai. Hình ảnh trật khớp vai hiện lên trong tâm trí khi nghĩ đến các chấn thương phổ biến, đặc biệt là ở những người tham gia các hoạt động thể thao hoặc lao động nặng nhọc. Việc hiểu rõ về trật khớp vai sẽ giúp chúng ta phòng tránh và xử lý kịp thời những tình huống khẩn cấp này.

    Khi nhắc đến trật khớp vai, hình ảnh trật khớp vai thường gắn liền với những cơn đau dữ dội, cánh tay không thể cử động bình thường và cần đến sự can thiệp y tế kịp thời. Việc nhận biết và hiểu rõ về tình trạng này không chỉ giúp chúng ta phòng tránh mà còn có thể xử lý đúng cách khi không may gặp phải.

    Thế nào là trật khớp vai?

    Trật khớp vai là tình trạng dây chằng bị giãn đột ngột khiến chỏm xương cánh tay trật khỏi ổ khớp. Khi trật khớp xảy ra nhiều lần, dây chằng có thể bị giãn hoặc đứt, dẫn đến hệ thống cố định của khớp trở nên mất vững. Lúc này, sụn viền và dây chằng bao khớp bị tổn thương. Thông thường, khớp vai có thể bị trật ra trước, ra sau, xuống dưới, hoặc trật hoàn toàn hay một phần. Nguyên nhân chủ yếu gây trật khớp vai là do va chạm, chấn thương trực tiếp vào vai, hoặc khi ngã mà chống tay xuống đất khiến khớp vai lệch khỏi vị trí.

    Trật khớp vai là tình trạng dây chằng bị giãn đột ngột khiến chỏm xương cánh tay trật khỏi ổ khớp
    Trật khớp vai là tình trạng dây chằng bị giãn đột ngột khiến chỏm xương cánh tay trật khỏi ổ khớp

    Trật khớp xương bả vai không nguy hiểm đến tính mạng nhưng gây đau đớn và giảm khả năng hoạt động của người bệnh. Nếu không được xử lý kịp thời, nó có thể gây ra các di chứng vĩnh viễn, làm giảm hoặc mất chức năng khớp vai, ảnh hưởng nghiêm trọng đến sinh hoạt, lao động và chất lượng cuộc sống. Đáng chú ý, đây là tình trạng khá phổ biến mà ai cũng có nguy cơ mắc phải. Hiểu rõ những yếu tố nguy cơ sẽ giúp bạn dễ dàng kiểm soát và phòng ngừa chấn thương này.

    Nguyên nhân dẫn đến trật khớp vai có thể kể đến như:

    • Tai nạn lao động: Các công việc đòi hỏi phải nâng, bê, hoặc vác các đồ vật nặng bằng cổ vai gáy là nguyên nhân phổ biến gây trật khớp vai. Những công việc như xây dựng, bốc xếp hàng hóa, hoặc các ngành nghề liên quan đến việc xử lý vật liệu nặng thường khiến người lao động dễ gặp phải chấn thương ở vùng vai. Áp lực lớn lên khớp vai có thể dẫn đến các tai nạn không mong muốn, gây tổn thương cho xương và các cấu trúc xung quanh.
    • Tai nạn giao thông: Trong các vụ tai nạn giao thông, sự va đập mạnh thường xảy ra khi xe đâm nhau hoặc khi người đi bộ bị va chạm với xe cộ. Những cú va chạm này có thể gây ra lực tác động mạnh đến vai, dẫn đến việc khớp vai bị trật. Ngoài ra, khi người lái xe hoặc hành khách không thắt dây an toàn, nguy cơ chấn thương vai càng tăng cao do cơ thể bị văng ra ngoài hoặc đập mạnh vào các bộ phận của xe.
    • Chấn thương khi tập luyện, chơi thể thao: Những môn thể thao có tính đối kháng cao như bóng đá, bóng chuyền, khúc côn cầu thường yêu cầu sự va chạm và sử dụng sức mạnh của vai, dẫn đến nguy cơ trật khớp vai. Các môn thể thao mạo hiểm như lướt ván, xe đạp địa hình cũng đòi hỏi kỹ năng kiểm soát cơ thể và sự thăng bằng tốt, nhưng trong quá trình tập luyện hoặc thi đấu, người chơi có thể gặp phải các tai nạn gây chấn thương vai. Những cú ngã hoặc va đập mạnh trong quá trình chơi thể thao đều có thể làm trật khớp vai.
    • Tai nạn sinh hoạt: Các hoạt động hàng ngày như ngã cầu thang, trượt ngã trên sàn nhà, hoặc ngã chống tay cũng có thể dẫn đến trật khớp vai. Những tai nạn này thường xảy ra một cách bất ngờ và không được lường trước, nhưng khi cơ thể rơi vào tình huống nguy hiểm, phản xạ chống đỡ bằng tay có thể gây áp lực lớn lên vai, dẫn đến chấn thương. Đặc biệt, ở người cao tuổi hoặc những người có vấn đề về xương khớp, nguy cơ trật khớp vai trong các tình huống này càng cao hơn.
    Trật khớp vai khiến người bệnh khó cử động tay và cảm thấy đau nhức
    Có nhiều nguyên nhân có thể gây ra trật khớp vai

    Dấu hiệu và các dạng trật khớp vai điển hình

    Người bệnh có thể nhận biết khớp vai bị trật qua các triệu chứng sau:

    • Không cử động được khớp vai, cảm thấy đau, và thậm chí xuất hiện các cơn đau vai dữ dội khi cố gắng cử động sau chấn thương.
    • Khớp vai bị trật gây biến dạng, khu vực quanh vùng vai và cánh tay bị sưng, bầm tím hoặc tê bì phía dưới cổ tay.

    Khi có bất kì dấu hiệu nào kể trên, bạn cần đến cơ sở y tế để được thăm khám, thực hiện các chẩn đoán hình ảnh trật khớp vai (ví dụ như chụp X-quang) và được chỉ định phương pháp điều trị phù hợp.

    Dựa vào vị trí của chỏm xương cánh tay so với ổ chảo xương vai, tình trạng lệch/trật khớp bả vai được chia thành 3 loại chính: Trật vai ra trước, trật vai xuống dưới ổ chảo, và trật vai ra sau.

    Hình ảnh trật khớp vai

    Đối với những người bị chấn thương do tai nạn, vận động mạnh, hoặc có các biểu hiện bất thường liên quan đến vùng vai như đau vai, trật khớp vai, tê liệt vai, bác sĩ sẽ chỉ định chụp X-quang khớp vai. Kỹ thuật chụp X-quang này sử dụng tia X có khả năng xuyên qua mô mềm và xương của khớp vai, tạo ra hình ảnh trật khớp vai giúp bác sĩ chẩn đoán bệnh và xây dựng phác đồ điều trị phù hợp.

    Trật vai ra trước

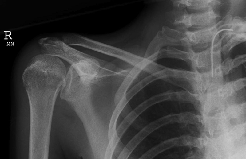
    Chiếm 95% các trường hợp trật khớp vùng vai, chỏm xương bị lật ra trước ổ chảo xương vai, có thể hướng xuống dưới hoặc vào trong. Các dạng cụ thể gồm chỏm ngoài mỏm quạ (bán trật), chỏm dưới mỏm quạ, chỏm trong mỏm quạ và chỏm dưới xương đòn.

    Trật vai trước chiếm khoảng 95% các trường hợp trật khớp vai
    Hình ảnh X-quang trật khớp vai trước

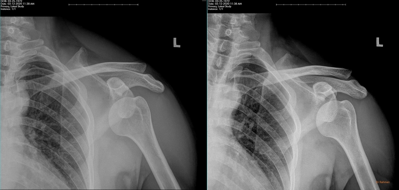
    Trật vai ra sau

    Vì xương bả vai án ngữ nên tình trạng này rất hiếm gặp, chỉ chiếm khoảng 5% các trường hợp. Thường xảy ra do ngã chống tay trong tư thế khép vai hoặc do bị động kinh, điện giật.

    Hình ảnh trật khớp vai sau
    Hình ảnh X-quang trật khớp vai sau

    Một số trường hợp chỉ định sử dụng X-quang khớp vai

    Qua nội dung trên, có lẽ bạn đã nhận biết được hình ảnh trật khớp vai trước và sau, vậy khi nào bác sĩ sẽ chỉ định chụp X-quang khớp vai? Không chỉ trong trường hợp trật khớp vai, kỹ thuật chụp X-quang khớp vai đóng vai trò quan trọng trong việc chẩn đoán và điều trị các vấn đề về sức khỏe xương khớp khác ở khớp vai. Đây là một trong những phương pháp cơ bản giúp bác sĩ kiểm tra, sàng lọc và phát hiện những dấu hiệu bất thường ở khớp vai, từ đó đưa ra phác đồ chữa trị phù hợp cho từng bệnh nhân. Chụp X-quang khớp vai thường được chỉ định trong nhiều trường hợp như:

    • Bệnh nhân gặp chấn thương ở vai do tai nạn lao động, tai nạn thể thao, tai nạn giao thông, hoặc tai nạn sinh hoạt hàng ngày, gây đau đớn ở phần vai.
    • Bệnh nhân bị đau khớp vai không rõ nguyên nhân.
    • Bệnh nhân cao tuổi bị đau khớp vai.
    • Gãy xương bả vai.
    • Trật khớp vai.
    • U xương lành tính hoặc ác tính.
    • Chấn thương xương đòn…

    Biện pháp phòng ngừa trật khớp vai

    Một số biện pháp sau đây sẽ giúp bạn phòng ngừa tình trạng trật khớp vai trong cuộc sống hàng ngày.

    • Vận động, tập luyện thể thao đúng tư thế, động tác: Hãy vận động đúng tư thế và tránh thực hiện các động tác vượt quá khả năng của khớp vai. Để cơ thể nghỉ ngơi đúng cách sau khi hoạt động thể lực kéo dài.
    • Tránh té ngã và mang giày trơn trượt: Luôn cẩn thận để tránh té ngã và hạn chế mang giày có đế trơn trượt.
    • Ăn uống lành mạnh: Bổ sung đầy đủ các thực phẩm, đặc biệt là thực phẩm giàu canxi như hải sản, ngũ cốc, rau xanh, trứng, và sữa để giúp hệ xương khớp chắc khỏe.
    • Khởi động trước khi chơi thể thao: Khởi động kỹ lưỡng để khớp vai dẻo dai và thích nghi với trạng thái hoạt động của cơ thể.
    • Khám sức khỏe thường xuyên: Sau khi trật khớp vai, nếu có bất kỳ biểu hiện nào trật lại, nên đến các cơ sở chuyên khoa để được tư vấn và điều trị phù hợp.
    Khởi động kỹ lưỡng để khớp vai dẻo dai trước khi hoạt động mạnh
    Khởi động kỹ lưỡng để khớp vai dẻo dai trước khi hoạt động mạnh để phòng tránh trật khớp vai

    Hình ảnh trật khớp vai có thể là một tình trạng đau đớn và khó chịu, nhưng với việc nhận biết sớm và điều trị kịp thời, bạn có thể giảm thiểu các biến chứng và phục hồi nhanh chóng. Để phòng ngừa, hãy luôn chú ý đến việc vận động đúng cách, duy trì lối sống lành mạnh và không quên khám sức khỏe định kỳ. Nhờ đó, bạn sẽ bảo vệ được khớp vai của mình khỏi những tổn thương không mong muốn.

    Xem thêm: Các triệu chứng và biến chứng của trật khớp vai

    Có thể bạn quan tâm

    Thông tin và sản phẩm gợi ý trong bài viết chỉ mang tính chất tham khảo, vui lòng liên hệ với Bác sĩ, Dược sĩ hoặc chuyên viên y tế để được tư vấn cụ thể. Xem thêm

    Dược sĩ Đại họcTrần Huỳnh Minh Nhật

    Đã kiểm duyệt nội dung

    Dược sĩ chuyên khoa Dược lý - Dược lâm sàng. Tốt nghiệp 2 trường đại học Mở và Y Dược TP. Hồ Chí Minh. Có kinh nghiệm nghiên cứu về lĩnh vực sức khỏe, đạt được nhiều giải thưởng khoa học. Hiện là Dược sĩ chuyên môn phụ trách xây dựng nội dung và triển khai dự án đào tạo - Hội đồng chuyên môn tại Nhà thuốc Long Châu.

    Xem thêm thông tin