/https://cms-prod.s3-sgn09.fptcloud.com/viem_xuong_so_1_c96a28174f.jpg)
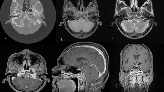
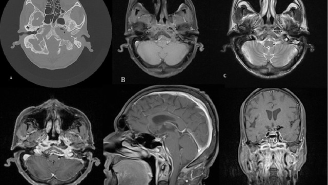
Viêm xương sọ là một tình trạng tương đối hiếm gặp, thường xảy ra như một biến chứng của nhiễm trùng tai hoặc xoang tiến triển ở những bệnh nhân đái tháo đường hoặc bị suy giảm miễn dịch. Chẩn đoán viêm xương sọ bằng lâm sàng và cận lâm sàng, tuy nhiên bệnh thường được chẩn đoán muộn. Thuốc kháng sinh dài hạn kết hợp với phẫu thuật cắt bỏ mô trong các trường hợp nặng là phương pháp điều trị chính. Viêm xương sọ là tình trạng nguy hiểm đến tính mạng nếu không được chẩn đoán và điều trị sớm.
/https://cms-prod.s3-sgn09.fptcloud.com/viem_xuong_ham_3_050434bbe0.jpg)
Viêm xương hàm là một bệnh lý xảy ra khi có sự bất ổn ở khu vực khớp hàm và các khớp cơ xung quanh. Bệnh này không chỉ gây đau hàm thường xuyên, mà còn làm co thắt các cơ, làm mất cân bằng trong hệ thống xương sọ và xương hàm. Viêm xương hàm ảnh hưởng trực tiếp đến quá trình sinh hoạt hàng ngày, đặc biệt là khi nói chuyện và nhai nuốt thức ăn.
/https://cms-prod.s3-sgn09.fptcloud.com/viem_xuong_cb76611ad9.png)
Viêm xương là tình trạng viêm và phá hủy xương do vi khuẩn (nguyên nhân chủ yếu), virus hoặc vi nấm gây ra. Các triệu chứng phổ biến bao gồm đau và yếu cục bộ với các triệu chứng cơ năng thể trạng (trong viêm tủy xương cấp tính) hoặc không có các triệu chứng cơ năng (trong viêm tủy xương mãn tính). Chẩn đoán thông qua hình ảnh học và nuôi cấy vi khuẩn. Điều trị bằng thuốc kháng sinh và đôi khi cũng cần phẫu thuật.
/https://cms-prod.s3-sgn09.fptcloud.com/86_paget_xuong_6034_629c_large_a2ad356aff.jpeg)
Bệnh Paget xương là rối loạn mạn tính ảnh hưởng đến quá trình tái tạo xương, làm cho xương phát triển không đều và yếu đi. Thường xuất hiện ở xương chậu, đầu, cột sống, và chi dưới. Do xương tái phục hồi quá nhanh nên dẫn tới xương to và mềm hơn bình thường, chúng có thể bị biến dạng và dễ bị gãy. Paget thường chỉ ảnh hưởng đến một hoặc một vài xương.
/https://cms-prod.s3-sgn09.fptcloud.com/thoai_hoa_dot_song_co_co_nen_dap_xe_khong_Xi_Im_L_1657943592_c6f794ccf9.jpg)
Thoái hóa đốt sống cổ (tên gọi khác là thoái hóa cột sống cổ) là bệnh về xương khớp gây đau đớn, khó chịu, làm ảnh hưởng đến chất lượng cuộc sống của người bệnh, bệnh này do các yếu tố gây nên như tuổi tác, tính chất công việc, các hoạt động hằng ngày. Câu hỏi “ thoái hóa đốt sống cổ có nên đạp xe không?” là vấn đề mà nhiều người bệnh băn khoăn cần lời giải đáp.
/https://cms-prod.s3-sgn09.fptcloud.com/nguoi_tre_van_bi_thoai_hoa_khop_hay_can_than_s_Hspa_1533003775_0fa1d3d85f.jpg)
Thoái hóa khớp là bệnh không chừa một ai. Vì thế, ngay từ hôm nay, bạn hãy cẩn trọng với sức khỏe chính mình và sớm có biện pháp phòng tránh, khắc phục kịp thời khi có các dấu hiệu dưới đây.