Từng làm ở Viện ISDS, nhiều năm cộng tác với CDC Thái Nguyên triển khai dự án phòng chống HIV/AIDS, 2 năm cộng tác với WHO.
:format(webp)/viem_xuong_so_1_c96a28174f.jpg)
:format(webp)/viem_xuong_so_1_c96a28174f.jpg)
Dược sĩ Đại học Nguyễn Tuấn Trịnh
Từng làm ở Viện ISDS, nhiều năm cộng tác với CDC Thái Nguyên triển khai dự án phòng chống HIV/AIDS, 2 năm cộng tác với WHO.
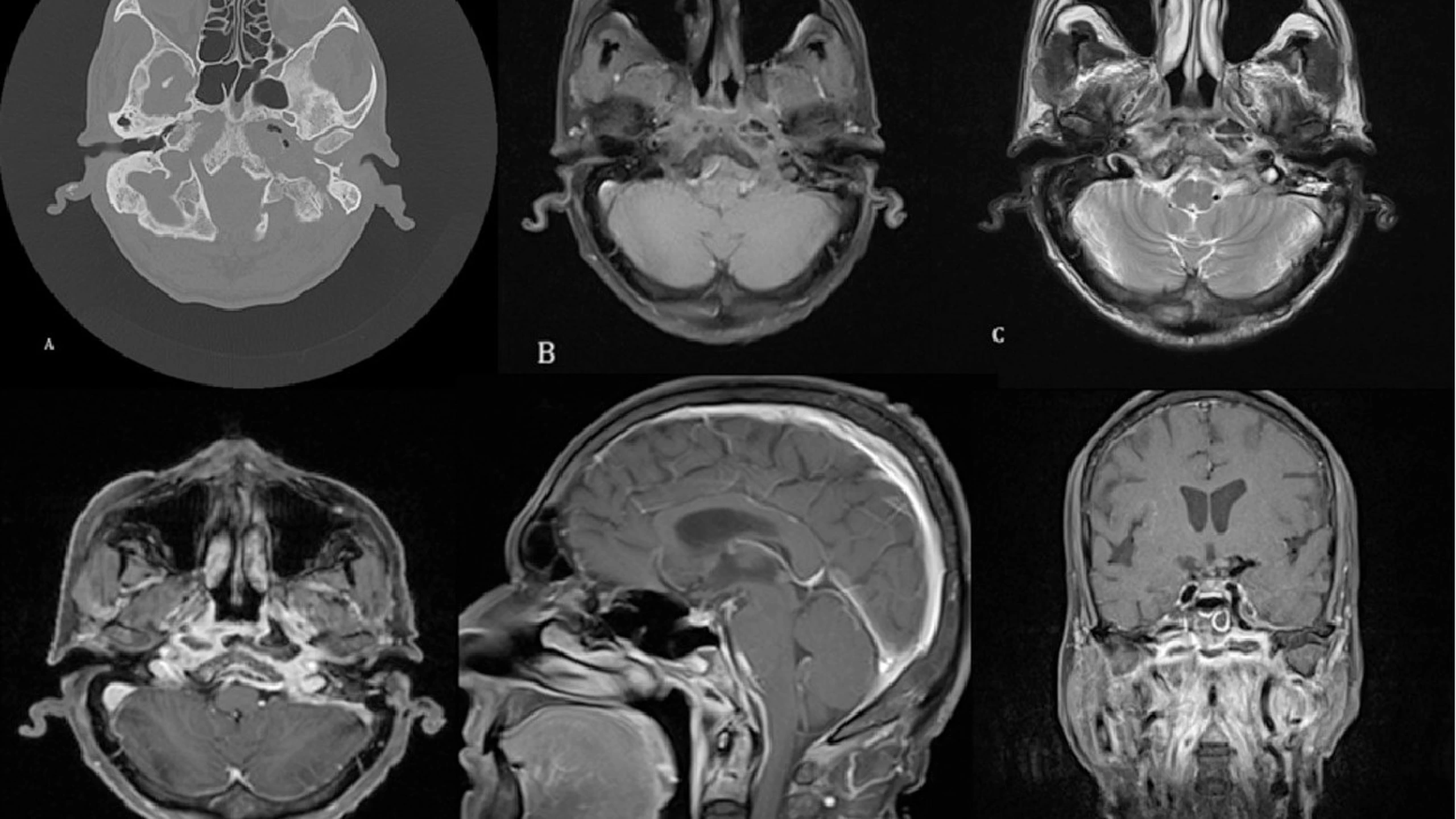
Viêm xương sọ là một tình trạng tương đối hiếm gặp, thường xảy ra như một biến chứng của nhiễm trùng tai hoặc xoang tiến triển ở những bệnh nhân đái tháo đường hoặc bị suy giảm miễn dịch. Chẩn đoán viêm xương sọ bằng lâm sàng và cận lâm sàng, tuy nhiên bệnh thường được chẩn đoán muộn. Thuốc kháng sinh dài hạn kết hợp với phẫu thuật cắt bỏ mô trong các trường hợp nặng là phương pháp điều trị chính. Viêm xương sọ là tình trạng nguy hiểm đến tính mạng nếu không được chẩn đoán và điều trị sớm.
Viêm xương sọ hay còn gọi là viêm tủy xương nền sọ (SBO) là một căn bệnh nguy hiểm có nguy cơ biến chứng cao như nhiễm trùng thần kinh. Thông thường, tình trạng viêm xương sọ là do nhiễm trùng từ các mô lân cận như là biến chứng của nhiễm trùng tai, huyết khối xoang tĩnh mạch, viêm màng não, áp xe, bệnh lý thần kinh sọ não và xâm lấn động mạch cảnh. Viêm xương sọ cũng có thể bắt nguồn từ nhiễm trùng cạnh mũi, chẳng hạn như viêm xoang bướm hoặc xoang sàng mà không liên quan đến viêm tai ngoài.
Viêm xương sọ chia thành 2 loại chính: Điển hình và không điển hình.
:format(webp)/DAU_VIEMXUONGSO_CAROUSEL_240520_1_V1_baa584da22.png)
:format(webp)/DAU_VIEMXUONGSO_CAROUSEL_240520_2_V1_0f344fb42b.png)
:format(webp)/DAU_VIEMXUONGSO_CAROUSEL_240520_3_V1_f69ca7fd3f.png)
:format(webp)/DAU_VIEMXUONGSO_CAROUSEL_240520_4_V1_804a44a2a1.png)
:format(webp)/DAU_VIEMXUONGSO_CAROUSEL_240520_5_V1_435a0cc065.png)
:format(webp)/DAU_VIEMXUONGSO_CAROUSEL_240520_6_V1_432b9459b2.png)
:format(webp)/DAU_VIEMXUONGSO_CAROUSEL_240520_7_V1_0b8dba9b74.png)
:format(webp)/DAU_VIEMXUONGSO_CAROUSEL_240520_8_V1_a17fde5461.png)
:format(webp)/DAU_VIEMXUONGSO_CAROUSEL_240520_1_V1_baa584da22.png)
:format(webp)/DAU_VIEMXUONGSO_CAROUSEL_240520_2_V1_0f344fb42b.png)
:format(webp)/DAU_VIEMXUONGSO_CAROUSEL_240520_3_V1_f69ca7fd3f.png)
:format(webp)/DAU_VIEMXUONGSO_CAROUSEL_240520_4_V1_804a44a2a1.png)
:format(webp)/DAU_VIEMXUONGSO_CAROUSEL_240520_5_V1_435a0cc065.png)
:format(webp)/DAU_VIEMXUONGSO_CAROUSEL_240520_6_V1_432b9459b2.png)
:format(webp)/DAU_VIEMXUONGSO_CAROUSEL_240520_7_V1_0b8dba9b74.png)
:format(webp)/DAU_VIEMXUONGSO_CAROUSEL_240520_8_V1_a17fde5461.png)
Bệnh nhân mắc viêm xương sọ thường có các triệu chứng không đặc hiệu như:
Ở viêm xương sọ điển hình, hầu hết bệnh nhân bắt đầu bằng viêm tai ngoài và có biểu hiện đau đầu, đau tai dữ dội, đau mặt, chảy mủ tai và trong những trường hợp nặng có thể mất thính giác dẫn truyền.
Trong các trường hợp viêm xương sọ trung tâm hoặc không điển hình, nguồn gốc có thể là bệnh xoang, dẫn đến có các triệu chứng khác như nghẹt mũi, chảy nước mũi, nhức đầu và sốt.

Viêm xương sọ có thể dẫn đến các biến chứng nguy hiểm như:
Khi xuất hiện các triệu chứng kể trên hay bất kỳ dấu hiệu khác thường nào, cần liên hệ với bác sĩ để được thăm khám và kiểm tra. Điều trị sớm viêm xương sọ để hạn chế bệnh diễn tiến nặng hơn và phòng ngừa các biến chứng có thể nguy hiểm đến tính mạng.
Nhiễm trùng là nguyên nhân gây ra viêm xương sọ, nhiễm trùng có thể là do vi khuẩn hoặc nấm. Bệnh nhân mắc viêm xương sọ do vi khuẩn có nhiều khả năng bị viêm tai ngoài, viêm tai giữa hoặc viêm xương chũm, dẫn đến điếc, đau tai và chảy mủ ở tai. Những bệnh nhân bị ức chế miễn dịch và viêm xoang mãn tính, đau xoang, sưng mặt hoặc quanh hốc mắt và chảy nước mũi thường xuyên, có khả năng mắc viêm xương sọ do nấm nhiều hơn.
Pseudomonas aeruginosa là vi khuẩn phổ biến nhất, tiếp theo là Staphylococcus aureus. Các vi khuẩn khác ít gặp hơn bao gồm Staphylococcus epidermidis, Salmonella, Proteus mirabilis, Mycobacteria không gây lao, Streptococcus pneumoniae, Treponema pallidum và Klebsiella.
Loại nấm thường thấy nhất là loài Aspergillus, các loại nấm khác Candida, Cryptococcus neoformans, Blastomyces, Mucor và Rhizopus.

Viêm xương sọ là một tình trạng nguy hiểm, có khả năng gây ra các biến chứng nghiêm trọng như liệt dây thần kinh, huyết khối xoang hang, giãn màng não và não, thậm chí là có thể gây tử vong.
Nhiễm trùng gây viêm xương sọ xâm nhập vào tai và nền sọ qua ống tai ngoài. Điều này thường xảy ra ở điểm nối giữa phần sụn và phần xương của ống tai ngoài. Chấn thương ở điểm nối này tạo điều kiện cho nhiễm trùng xâm nhập vào các mô bên dưới khiến bệnh lây lan nhanh chóng và sau đó xâm nhập đến xương nền sọ. Viêm tủy xương nền sọ cũng có thể xảy ra sau nhiễm trùng tai giữa.
Viêm xương sọ có thể tái phát. Đây thường là kết quả của việc điều trị không đầy đủ. Việc điều trị cần phải được tiếp tục và tình trạng nhiễm trùng sau đó sẽ được kiểm soát.
Khi cơn đau bắt đầu giảm bớt và biến mất thì điều đó có nghĩa là nhiễm trùng đang phản ứng với thuốc kháng sinh. Bác sĩ cũng sẽ chụp xạ hình gallium xương sau đó để biết tình trạng nhiễm trùng đã thuyên giảm hay chưa. Tuy nhiên triệu chứng chính là đau. Nếu điều đó giải quyết được thì nhiễm trùng cũng được giải quyết. Các dây thần kinh sọ não cũng sẽ lấy lại chức năng bình thường và là dấu hiệu cho thấy tình trạng nhiễm trùng đã được giải quyết.
Tuỳ theo mức độ nhiễm trùng, tình trạng bệnh, phương pháp điều trị và các biến chứng mà thời gian điều trị có thể khác nhau. Ở những bệnh nhân nhập viện vì viêm xương sọ, thời gian điều trị thường dài hơn trong các trường hợp có bệnh đi kèm và/hoặc liệt dây thần kinh. Những bệnh nhân trải qua phẫu thuật nằm viện lâu hơn đáng kể so với những bệnh nhân không can thiệp phẫu thuật.
Hỏi đáp (0 bình luận)