• Thực phẩm chức năng

  • Dược mỹ phẩm

  • Thuốc

  • Chăm sóc cá nhân

  • Thiết bị y tế

  • Tiêm chủng

  • Bệnh & Góc sức khỏe

  • Hệ thống nhà thuốc

    1. /
    2. Góc sức khỏe/
    3. Phòng bệnh & Sống khoẻ

    Bệnh xương thủy tinh có chữa được không?

    06/11/2023

    Kích thước chữ

    Xương thủy tinh không những làm tăng nguy cơ tự gãy xương mà còn khiến cho các khớp xương lỏng lẻo và ảnh hưởng đến hình dạng của cột sống, xương ngắn hơn,… Trong bài viết này, hãy cùng tìm hiểu về bệnh xương thủy tinh và giải đáp thắc mắc: "Xương thủy tinh có chữa được không?".

    Xương thủy tinh là căn bệnh di truyền với biểu hiện xương giòn, xốp dễ gãy. Bệnh này thường xuất hiện ở trẻ sơ sinh ngay từ khi sinh ra ảnh hưởng nghiêm trọng đến sức khỏe của trẻ. Trong bài viết này, hãy cùng tìm hiểu về bệnh xương thủy tinh và giải đáp thắc mắc xương thủy tinh có chữa được không.

    Bệnh xương thủy tinh là gì?

    Bệnh xương thủy tinh hay còn gọi là bệnh xương bất toàn, bệnh giòn xương là một bệnh lý di truyền gen trội liên quan đến cấu trúc xương. Bệnh xương thủy tinh là tình trạng giòn xương, xương dễ gãy, quá trình hủy xương và tạo xương mất cân bằng. Kèm theo đó người bệnh còn bị yếu cơ, lỏng khớp tạo nên các dị tật trên cơ thể. Ngoài ra, thành phần collagen tuýp 1 (thành phần chủ yếu tạo nên gân và dây chằng) bị tổn thương gây ra bệnh lâm sàng ở mắt, da, dây chằng, răng như giảm thính lực, biến dạng xương,…

    Bệnh xương thủy tinh có chữa được không?1 Bệnh xương thủy tinh hay còn gọi là bệnh giòn xương

    Nguyên nhân của bệnh xương thủy tinh

    Hầu hết người bị bệnh xương thủy tinh là do di truyền gen trội hoặc gen lặn từ bố mẹ. Biểu hiện bệnh thường đã có ngay từ khi sinh ra. Những đột biến trên gen dẫn đến tình trạng sản xuất collagen trong cơ thể bị thiếu hụt, chất lượng kém. Điều này gây ra các rối loạn và làm sụt giảm chất lượng xương. Collagen được tạo ra không đáp ứng được cả về số lượng lẫn chất lượng khiến cho khung xương trở nên giòn, xốp, dễ gãy. Tuy nhiên, không phải mọi trường hợp trẻ em bị bệnh giòn xương đều do di truyền từ bố mẹ. Các đột biến trên gen ở thế hệ sau cũng có thể là nguyên nhân gây ra bệnh xương bất toàn này.

    Các triệu chứng bệnh xương thủy tinh

    Bệnh xương thủy tinh có nhiều cấp độ với những biểu hiện khác nhau. Nhưng nhìn chung, người có dấu hiệu bệnh đều có một điểm chung đó là giòn xương, xương dễ gãy dù chỉ xảy ra va chạm nhẹ. Ngoài ra, bệnh còn một số triệu chứng chung như:

    • Người bệnh bị chảy máu cam, dễ bị bầm tím, chảy máu khi bị chấn thương ở mức độ nhẹ.
    • Cơ thể dị tật, chân cong, chân vòng kiềng. Trẻ sơ sinh có thể bị vẹo cột sống.
    • Lòng trắng mắt hơi chuyển sang màu xanh, màu tím hoặc xám.
    • Khó thở, thở gấp, thiếu sức sống, dễ mệt mỏi.
    • Xương khớp lỏng lẻo, cơ yếu. Chiều cao phát triển hạn chế.
    • Răng bị giòn, dễ gãy.
    • Không chịu được nhiệt độ cao.
    • Có thể bị giảm hoặc mất thính lực khi trưởng thành.
    Bệnh xương thủy tinh có chữa được không? Xương thủy tinh gây nên cong vẹo cột sống

    Phân loại bệnh xương thủy tinh

    Dựa vào tần suất và mức độ nghiêm trọng của xương gãy, bệnh xương thủy tinh được chia thành 4 loại:

    Loại 1

    Đây là trường hợp nhẹ và phổ biến ở trẻ sơ sinh và trẻ nhỏ dưới 15 tuổi. Dấu hiệu đặc trưng của loại như sau:

    • Xương giòn, dễ gãy dù chỉ gặp chấn thương nhẹ.
    • Khớp lỏng lẻo, cơ yếu.
    • Cột sống cong nhẹ.
    • Lòng trắng mắt hơi có màu xanh.
    • Mắt sâu hoặc lồi ra, suy giảm thính giác.

    Loại 2

    Đây là loại nghiêm trọng và nguy hiểm nhất. Đối với những người thuộc trường hợp này nếu không điều trị kịp thời có thể ảnh hướng đến tính mạng. Thậm chí trẻ sơ sinh có thể chết trong năm đầu tiên sau sinh nếu mắc loại này. Nguyên nhân là do Collagen không thể sản xuất đủ đáp ứng quá trình liên kết xương. Biểu hiện của loại xương thủy tinh này là:

    • Phổi kém phát triển, cơ thể gặp các vấn đề về hô hấp, thường xuyên khó thở, thở gấp.
    • Cơ thể bị dị dạng do xương yếu, phát triển kém. Xương sọ mềm đi ở trẻ sơ sinh.

    Loại 3

    Xương thủy tinh loại 3 có mức độ nhẹ, ít nghiêm trọng hơn so với loại số 2. Collagen trong cơ thể vẫn sản xuất đủ nhưng chất lượng kém khiến xương yếu đi. Dấu hiệu bệnh của loại này tương đối nặng:

    • Trẻ sơ sinh mắc bệnh giòn xương loại 3 có xương rất mềm, dễ vỡ. Xương có thể gãy cả trước khi sinh và trong giai đoạn sơ sinh.
    • Cơ thể dị tật, biến dạng xương nghiêm trọng, cong vẹo cột sống.
    • Khó khăn trong hô hấp.
    • Chiều cao kém phát triển.
    • Chân tay mềm yếu, khó cầm nắm, khó đi lại.
    • Thính lực suy giảm.

    Loại 4

    Xương thủy tinh loại 4 có nhiều điểm tương tự như loại 1. Đây là trường hợp collagen không được cung cấp đủ gây nên các triệu chứng bệnh lúc nặng lúc nhẹ như:

    • Trẻ ở tuổi dậy dễ bị gãy xương.
    • Cong vẹo cột sống, khung xương cong, chân vòng kiềng.
    • Người bệnh thường cần dùng nạng hoặc khung để có thể đi lại.
    Bệnh xương thủy tinh có chữa được không?3 Tập luyện thể thao tốt cho người bị xương thủy tinh

    Xương thủy tinh có chữa được không?

    Có nhiều người thắc mắc: "Bệnh xương thủy tinh có chữa được không?". Câu trả lời là xương thủy tinh không thể chữa trị hoàn toàn. Nguyên nhân của bệnh xương bất toàn này là do đột biến gen. Sửa chữa gen lỗi là một công trình nghiên cứu khoa học khó khăn và lâu dài. Vì vậy, hiện nay các bác sĩ vẫn chưa tìm ra phương pháp đặc trị đối với chứng bệnh này. Thông thường các triệu chứng bệnh xương thủy tinh chỉ có thể được cải thiện thông qua trị liệu và chăm sóc. Một số phương pháp điều trị bệnh xương bất toàn bao gồm:

    Dùng thuốc

    Thuốc không thể điều trị dứt điểm bệnh xương thủy tinh nhưng có tác dụng ngăn ngừa mất xương, tăng khối lượng xương. Điều này giúp giảm nguy cơ gãy xương và giảm tiến triển bệnh. Mỗi người bệnh sẽ có tình trạng và mức độ bệnh khác nhau. Vì vậy, người bị xương thủy tinh cần nghe theo các hướng dẫn của bác sĩ để xác định loại thuốc phù hợp.

    Vật lý trị liệu

    Những phương pháp vật lý trị liệu bao gồm châm cứu phục hồi chức năng, dùng xe lăn hoặc nạng để hỗ trợ đi lại. Trị liệu vật lý nhằm tăng cường sức mạnh xương khớp, giúp bệnh nhân có thể đi lại được.

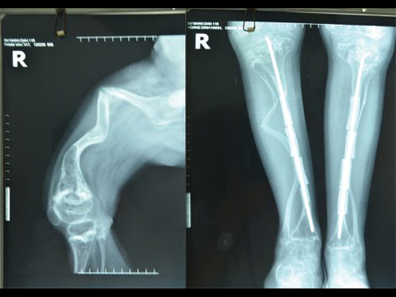
    Can thiệp ngoại khoa

    Đây là phương pháp can thiệp từ bên ngoài, hỗ trợ thêm cho khung xương trong việc chống đỡ cơ thể. Bác sĩ sẽ chèn các thanh kim loại vào ống tủy để nâng cao sức chịu đựng của xương, cải thiện cong vẹo cột sống. Hoặc đặt các thanh vào xương dài để làm xương vững chắc, ngăn ngừa và sửa chữa việc tạo xương bất thường. Tuy nhiên, nhược điểm của phương pháp là có thể để lại một số di chứng lên não bộ, thần kinh hoặc tủy sống.

    Bệnh xương thủy tinh có chữa được không?4 Bơi lội khiến xương trở nên cứng cáp hơn

    Những thói quen sinh hoạt giúp hạn chế diễn biến của bệnh xương thủy tinh

    Điều trị xương thủy tinh chỉ có tác dụng một phần trong việc hạn chế diễn biến bệnh. Những thói quen sinh hoạt đóng vai trò quan trọng trong việc cải thiện bệnh giòn xương. Người bị xương thủy tinh có thể kiểm soát bệnh tốt hơn nếu áp dụng những biện pháp sau:

    • Tạo thói quen ăn uống lành mạnh, đầy đủ dinh dưỡng. Bổ sung các chất có lợi cho xương khớp như canxi, vitamin D,...
    • Duy trì cân nặng vừa phải: Nếu người bệnh bị thừa cân, béo phì thì khung xương không thể nâng đỡ được trọng lượng cơ thể. Điều này có thể làm tăng tỷ lệ bị gãy xương, cong vẹo cột sống ở những người bị bệnh xương thủy tinh.
    • Tập thể dục nhẹ: Nhiều người cho rằng bị bệnh xương thủy tinh thì không thể tập thể dục. Nhưng thực tế, tập thể dục nhẹ nhàng vẫn mang lại hiệu quả tích cực cho người bệnh. Đi bộ, bơi lội là hai hoạt động được khuyến khích nhất khiến xương trở nên cứng cáp hơn.
    • Tuyệt đối tránh xa các chất kích thích như rượu, bia, thuốc lá. Bởi các chất corticoid có thể làm giảm chất lượng xương.
    • Thường xuyên kiểm tra mật độ xương: Việc kiểm tra chất lượng xương định kỳ giúp kiểm soát được mức độ bệnh. Từ đó, các bác sĩ có căn cứ chính xác để tư vấn và điều trị. Người bệnh cũng có cơ sở để điều chỉnh cơ thể theo hướng tốt hơn.

    Trên đây là toàn bộ chia sẻ của chúng tôi liên quan tới vấn đề: "Xương thủy tinh có chữa được không?". Hy vọng thông qua bài viết này các bạn đã hiểu hơn về bệnh xương thủy tinh và biết xương thủy tinh có chữa được không.

    Thu Hòa

    Nguồn tham khảo: Tổng hợp

    Thông tin và sản phẩm gợi ý trong bài viết chỉ mang tính chất tham khảo, vui lòng liên hệ với Bác sĩ, Dược sĩ hoặc chuyên viên y tế để được tư vấn cụ thể. Xem thêm

    Dược sĩ Đại học Nguyễn Tuấn Trịnh

    Đã kiểm duyệt nội dung

    Từng làm ở Viện ISDS, nhiều năm cộng tác với CDC Thái Nguyên triển khai dự án phòng chống HIV/AIDS, 2 năm cộng tác với WHO.

    Xem thêm thông tin