• Thực phẩm chức năng

  • Dược mỹ phẩm

  • Thuốc

  • Chăm sóc cá nhân

  • Thiết bị y tế

  • Tiêm chủng

  • Bệnh & Góc sức khỏe

  • Hệ thống nhà thuốc

    1. /
    2. Góc sức khỏe/
    3. Phòng bệnh & Sống khoẻ/
    4. Kiến thức y khoa

    Các hình ảnh chấn thương sọ não

    21/06/2023

    Kích thước chữ

    Khi chẳng may gặp phải tai nạn chấn thương sọ não, các bác sĩ thường chỉ định cho nạn nhân đi chụp lại những hình ảnh để phân tích và đưa ra những phương pháp đúng đắn điều trị chấn thương sọ não ngay lập tức. Vậy các hình ảnh chấn thương sọ não đó là gì? Làm thế nào để thực hiện?

    Chấn thương sọ não là tình trạng thường xảy ra khi bệnh nhân gặp phải những chấn thương, va chạm nghiêm trọng lên vùng đầu. Vậy dùng các phương pháp chẩn đoán hình ảnh nào để xác định chấn thương sọ não và các hình ảnh chấn thương sọ não sẽ như thế nào?

    Chấn thương sọ não là gì?

    Chấn thương sọ não là tình trạng người bệnh bị tổn thương hộp sọ sau tai nạn. Đây là tổn thương có nguy cơ tử vong cao và để lại nhiều di chứng, hệ lụy nguy hiểm về sau. Chấn thương sọ não có thể nhẹ hoặc nặng tùy theo lực va chạm và mức độ tổn thương của các tế bào não.

    Hình ảnh chấn thương sọ não

    Triệu chứng khi bị chấn thương sọ não

    Các triệu chứng của chấn thương não phụ thuộc vào loại chấn thương và mức độ nghiêm trọng của chấn thương đó. Triệu chứng có thể xuất hiện ngay lập tức hoặc phát triển chậm. Những người bị chấn thương sọ não nhẹ có thể còn hoặc mất ý thức trong một thời gian ngắn.

    Các triệu chứng liên quan khác có thể bao gồm đau đầu, rối loạn hành vi, cảm giác choáng váng, chóng mặt, hoa mắt, ù tai và mệt mỏi. Bệnh nhân còn có thể bị rối loạn giấc ngủ và cảm xúc, gặp rắc rối với trí nhớ, sự tập trung, chú ý, hay suy nghĩ.

    Chấn thương sọ não loại vừa hoặc nặng cũng có thể gây ra nhức đầu dữ dội, nôn mửa, buồn nôn, co giật, không có khả năng thức dậy, giãn đồng tử, và nói lắp. Bên cạnh đó, suy nhược nặng hay tê liệt, mất phối hợp, tăng sự nhầm lẫn hay cảm giác bồn chồn, kích động cũng có thể xảy ra.

    Các dấu hiệu bị tổn thương có thể có khi bị chấn thương sọ não

    Tổn thương nguyên phát:

    • Tổn thương nguyên phát là tổn thương có ngay sau khi bị tai nạn với các biểu hiện:
    • Da đầu bị rách gây mất máu nhiều, có thể gây tụt huyết áp hoặc thậm chí tử vong.
    • Hộp sọ có thể bị vỡ, rạn nứt.
    • Tổn thương gây máu tụ ngoài màng cứng, dưới màng cứng. Tổ chức não bị dập và chảy máu trong não.
    • Chấn thương sọ não có thể làm tổn thương, thoát dịch não tuỷ ra ngoài (đây là một chất dịch giúp bảo vệ và nuôi dưỡng mô não).
    • Nạn nhân bị mất ý thức thoáng qua, quên sự việc vừa xảy ra (gọi là chấn động não) hoặc là hôn mê kéo dài.

    Tổn thương thứ phát:

    • Tổn thương thứ phát là thương tổn não xảy ra ở bất cứ thời điểm nào từ sau chấn thương với các dấu hiệu như:
    • Máu tụ trong sọ: Máu chảy ra bị tích tụ lại, gây ra một khối choán chỗ trong sọ, làm tăng áp lực nội sọ, gây tổn thương tế bào não.
    • Phù não: Tổn thương hàng rào máu não và tổn thương màng tế bào gây ra sự tích tụ nước bất thường ở tổ chức kẽ và trong tế bào.
    • Dãn não thất là hiện tượng gây ra do chảy máu làm tắc đường lưu thông của nước não tủy.
    • Các tổn thương thiếu máu não, tắc mạch, nhiễm trùng, viêm màng não, áp xe đặc biệt là những bệnh nhân có vỡ nền sọ là những tổn thương thứ phát thường gặp, những tổn thương này làm tình trạng lâm sàng chung của bệnh nhân nặng lên thậm trí có thể dẫn tới tử vong.

    Nếu nạn nhân bị chấn thương đầu, sau đó nạn nhân cảm thấy khó chịu hoặc xuất hiện những thay đổi về hành vi bản thân thì hãy đưa nạn nhân đến gặp bác sĩ ngay. Ngoài ra, nếu người thân bị chấn thương trong thời gian gần đây, bạn hãy lập tức đưa họ đến bệnh viện để được kiểm tra và thăm khám.

    Xét nghiệm hình ảnh chấn thương sọ não

    Xét nghiệm hình ảnh là phương pháp chính xác nhất để xác định mức độ tổn thương của người bệnh. Các xét nghiệm hình ảnh chấn thương sọ não có thể bao gồm:

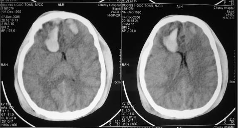
    Chụp cắt lớp vi tính (CT):

    Xét nghiệm này thường được thực hiện trong phòng cấp cứu nếu người bệnh bị nghi ngờ là chấn thương sọ não. Chụp CT có thể giúp bác sĩ nhận biết các xương bị gãy và phát hiện các tình trạng:

    • Xuất huyết hoặc chảy máu bên trong tế bào não
    • Tụ máu, có khối máu đông
    • Mô não bị bầm tím, nhiễm trùng
    • Sưng mô não
    cac-hinh-anh-chan-thuong-so-nao-1Phương pháp chụp cắt lớp vi tính (CT) để xét nghiệm hình ảnh chấn thương sọ não

    Chụp cộng hưởng từ MRI:

    MRI sử dụng sóng vô tuyến và nam châm mạnh để cho ra hình ảnh chất lượng và chi tiết về não bộ. Xét nghiệm này có thể được sử dụng sau khi tình trạng của bệnh nhân đã ổn định hơn hoặc các triệu chứng không được cải thiện sau thời gian nghỉ ngơi và điều trị ban đầu.

    cac-hinh-anh-chan-thuong-so-nao-2Phương pháp chụp cộng hưởng từ MRI để xét nghiệm hình ảnh chấn thương sọ não

    Phương pháp điều trị chấn thương sọ não

    Với những chấn thương nhẹ, có thể chỉ cần quan sát và điều trị làm mất triệu chứng. Ví dụ: Uống thuốc giảm đau nếu nhức đầu.

    Trong 24 giờ đầu khi bị chấn thương, nên đánh thức bệnh nhân mỗi 2 giờ để kiểm tra các dấu hiệu của chấn thương thứ cấp. Nâng cao đầu và dùng thuốc an thần có thể giúp kiểm soát các triệu chứng bệnh.

    Khi áp lực trong sọ não tăng và sưng não, người bệnh sẽ được theo dõi các chức năng và truyền mannitol tĩnh mạch. Nếu bị chảy máu nhiều hoặc nặng có thể cần phải nhờ đến phẫu thuật can thiệp. Ví dụ: Thủ thuật mở hộp sọ để loại bỏ các cục máu đông. Tiến trình làm sạch vết thương mở và rửa các tổn thương bên trong là cần thiết để giúp giảm khả năng nhiễm trùng.

    cac-hinh-anh-chan-thuong-so-nao-3Người bệnh nên tin tưởng hoàn toàn vào bác sĩ để điều trị chấn thương sọ não

    Thói quen sinh hoạt giúp hạn chế diễn tiến của chấn thương sọ não

    Bạn có thể giảm nguy cơ bị chấn thương não nếu bạn thực hiện những thói quen sinh hoạt sau đây:

    • Mang trang thiết bị an toàn khi tham gia giao thông và các môn thể thao (ví dụ như đạp xe, trượt ván hay chơi thể thao đối kháng);
    • Tuân theo tín hiệu giao thông;
    • Nếu gia đình có trẻ nhỏ bị chấn thương vùng não, đảm bảo rằng trẻ được chăm sóc y tế và luôn được theo dõi sau khi bị chấn thương đầu, đặc biệt là sau chấn động mạnh;
    • Không sử dụng các chất có cồn khi tham gia giao thông để tránh tai nạn giao thông.

    Nếu có bất kỳ thắc mắc hay đề nghị phát sinh nào, bạn nên tham khảo ý kiến bác sĩ hoặc chuyên viên y tế để được có giải đáp tốt nhất. Ngoài ra, bạn cũng có thể gặp các biểu hiện và dấu hiệu khác không được đề cập, hỏi bác sĩ để nhận sự tư vấn và lời khuyên là phương pháp đúng đắn.

    Nhân Tâm

    Thông tin và sản phẩm gợi ý trong bài viết chỉ mang tính chất tham khảo, vui lòng liên hệ với Bác sĩ, Dược sĩ hoặc chuyên viên y tế để được tư vấn cụ thể. Xem thêm

    Dược sĩ Đại học Nguyễn Tuấn Trịnh

    Đã kiểm duyệt nội dung

    Từng làm ở Viện ISDS, nhiều năm cộng tác với CDC Thái Nguyên triển khai dự án phòng chống HIV/AIDS, 2 năm cộng tác với WHO.

    Xem thêm thông tin