Tốt nghiệp Khoa Dược trường Đại học Nam Cần Thơ. Có nhiều năm kinh nghiệm công tác trong lĩnh vực Dược phẩm. Hiện đang giảng viên cho Dược sĩ tại Nhà thuốc Long Châu.
Thanh Hương
22/01/2024
Mặc định
Lớn hơn
Chụp x quang schuller hay chụp X quang tư thế schuller thường được chỉ định khi bác sĩ nghi ngờ có tổn thương ở khớp thái dương hàm, xoang chũm… Trong bài viết này, Long Châu sẽ cùng bạn tìm hiểu về kỹ thuật chụp schuller.
Chụp X quang là một phương pháp chẩn đoán hình ảnh được áp dụng rộng rãi. Hình ảnh thu được từ kỹ thuật chụp X quang giúp bác sĩ quan sát rõ nét các bộ phận, cấu trúc bên trong cơ thể để tìm ra bất thường và dấu hiệu bệnh lý. Có nhiều kỹ thuật, tư thế chụp X quang trong đó có tư thế schuller. Vậy chụp X quang schuller là gì? Giúp chẩn đoán bệnh gì?
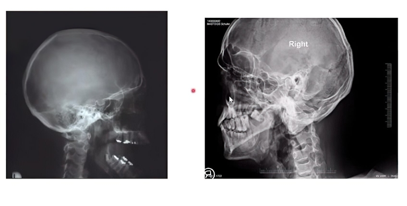
Chụp X quang tư thế schuller là kỹ thuật chụp X quang giúp thể hiện rõ nhất hình ảnh khớp thái dương hàm, hai bên vách của khe sào bào và sào đạo thượng nhĩ. Thông qua hình ảnh chụp X quang thu được, các bác sĩ có thể phán đoán nguyên nhân, chẩn đoán bệnh chính xác và đưa ra hướng điều trị bệnh phù hợp.
Chụp X quang tư thế schuller giúp bác sĩ chẩn đoán các bệnh như:
Kỹ thuật chụp X quang tư thế schuller không được chỉ định cho phụ nữ mang thai để đảm bảo an toàn cho thai nhi.

Người thực hiện chụp X quang tư thế schuller là kỹ thuật viên điện quang, bác sĩ chuyên khoa chẩn đoán hình ảnh. Thiết bị cần dùng là máy chụp X quang chuyên dụng và phim chụp để lưu trữ hình ảnh.
Kỹ thuật chụp X quang schuller cần được thực hiện theo quy trình gồm những bước sau:

Sau khi chụp X quang schuller, bác sĩ quan sát phim X quang thấy rõ được các thông bào và cách ngăn của chúng chứng tỏ kết quả bình thường. Nếu phim chụp thể hiện các đặc điểm dưới đây, bệnh nhân có nguy cơ đã xuất hiện các bệnh lý ở khớp thái dương hàm hay xoang xương chũm:
Liệu chụp X quang có ảnh hưởng gì không? Chụp X quang nói chung và chụp X quang tư thế schuller nói riêng đều có nguyên lý chung là dùng tia phóng xạ chiếu xuyên qua cơ thể để phản ánh hình ảnh bên trong cơ thể - những hình ảnh mà chỉ bằng mắt thường chúng ta không thể quan sát thấy.
Về mặt lý thuyết, tia X phát ra từ máy chụp X quang là một dạng tia bức xạ mạnh và có thể làm ảnh hưởng đến cơ thể con người. Khi tiến hành chụp X quang, cường độ và bước sóng của tia X được kỹ thuật viên điều chỉnh theo đúng quy định để hình chụp X quang rõ nét trong khi vẫn đảm bảo an toàn cho người bệnh. Chỉ khi tiếp xúc với tia X trong thời gian dài và với cường độ cao, sức khỏe của bạn mới thực sự bị ảnh hưởng.

Các bác sĩ khuyên dù chụp X quang schuller hay chụp bằng kỹ thuật nào, chúng ta cũng không nên chụp quá 7 lần mỗi năm. Lượng tia phóng xạ tác động đến cơ thể thông qua kỹ thuật chụp X quang rất thấp, hầu như không đủ để gây hại cho sức khỏe. Bộ Y tế cũng có quy định rõ ràng về liều chụp chiếu khi sử dụng tia X để khám chữa bệnh cho từng nhóm đối tượng cụ thể.
Chi phí dịch vụ chụp X quang tư thế schuller thường dao động trong khoảng 250.000 – 500.000 VNĐ. Giá dịch vụ còn phụ thuộc vào cơ sở y tế mà người bệnh lựa chọn là phòng khám tư hay bệnh viện? Là bệnh viện công lập hay bệnh viện quốc tế. Tuy nhiên, giá dịch vụ không quá đắt và phù hợp với hầu hết bệnh nhân.
Kỹ thuật chụp X quang schuller được đánh giá là có độ an toàn cao, giúp bác sĩ chẩn đoán hình ảnh một cách chính xác mà không xâm lấn, hiếm khi xảy ra tác dụng phụ. Người bệnh nên chọn cơ sở y tế uy tín để có thể đảm bảo an toàn trong quá trình chụp X quang đồng thời có kết quả khám bệnh chính xác nhất.
Xem thêm:
Dược sĩ Đại họcNguyễn Thị Thảo Nguyên
Tốt nghiệp Khoa Dược trường Đại học Nam Cần Thơ. Có nhiều năm kinh nghiệm công tác trong lĩnh vực Dược phẩm. Hiện đang giảng viên cho Dược sĩ tại Nhà thuốc Long Châu.