• Thực phẩm chức năng

  • Dược mỹ phẩm

  • Thuốc

  • Chăm sóc cá nhân

  • Thiết bị y tế

  • Tiêm chủng

  • Bệnh & Góc sức khỏe

  • Hệ thống nhà thuốc

    1. /
    2. Góc sức khỏe/
    3. Phòng bệnh & Sống khoẻ

    Có cách nào chẩn đoán u tế bào mầm ở trẻ em không?

    21/06/2023

    Kích thước chữ

    Các u tế bào mầm có thể gặp ở mọi lứa tuổi, nhưng phổ biến nhất ở trẻ em từ 0 - 3 tuổi. Bởi vậy, căn bệnh này rất cần được chẩn đoán kịp thời.

    Hầu hết các u tế bào mầm đều ảnh hưởng tới buồng trứng hoặc tinh hoàn, làm giảm khả năng sinh sản của trẻ em trong tương lai. Đôi khi các khối u có thể nằm ở các phần khác của cơ thể, mà phổ biến nhất của khối u này là vùng tận cùng của tủy sống, não, ngực và ổ bụng. Tuy nhiên, không khó để các bác sĩ phát hiện ra u tế bào mầm, chính nhờ vào các phương pháp chẩn đoán hiện đại ngày nay.

    Ngoài thăm khám lâm sàng, các xét nghiệm dưới đây có thể được sử dụng để chẩn đoán khối u tế bào mầm:

    Cách chẩn đoán u tế bào mầm ở trẻ em

    Sinh thiết

    Để thực hiện phương pháp này, bác sĩ sẽ tiến hành lấy mẫu mô để kiểm tra dưới kính hiển vi. Theo đánh giá của giới y khoa, chỉ có sinh thiết mới có thể đưa ra chẩn đoán chính xác vị trí của khối u và xác định được khối u là lành tính hay ác tính.

    Siêu âm

    Siêu âm là phương pháp sử dụng sóng âm để tạo ra hình ảnh của các cơ quan bên trong cơ thể. Nếu cơ thể có khối u bất thường, tiếng vang của sóng âm vọng lại từ vị trí này sẽ có tần số khác với sóng âm phát ra từ mô bình thường. Khi đó, bác sĩ sẽ thu hẹp phạm vi phát ra sóng và xác định vị trí khối u.

    Có cách nào chẩn đoán u tế bào mầm ở trẻ em không - Tìm hiểu ngay! 1 Siêu âm là phương pháp sử dụng sóng âm để xác định khối u

    Chụp cắt lớp vi tính CT

    Với phương pháp chụp CT, bác sĩ sẽ thu được hình ảnh 3 chiều bên trong cơ thể bằng cách sử dụng các tia X được chụp từ các góc khác nhau. Những hình ảnh 3 chiều sau khi kết hợp sẽ thể hiện rõ từng bất thường hay khối u trong cơ thể dù là nhỏ nhất. Bởi vậy, để xác định kích thước khối u, các bác sĩ cũng ưu tiên sử dụng phương pháp chụp CT.

    Đôi khi, để những hình ảnh này được rõ ràng hơn người ta thường đưa vào cơ thể bệnh nhân một loại thuốc nhuộm, hay còn được gọi là thuốc cản quang trước khi bắt đầu quét hình ảnh. Bệnh nhân được tiêm thuốc này vào tĩnh mạch hoặc uống thuốc dạng viên hoặc dạng lỏng.

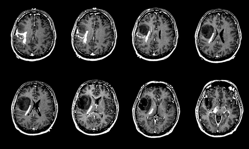
    Chụp cộng hưởng từ MRI

    MRI sử dụng từ trường thay vì tia X để tạo ra hình ảnh chi tiết của cơ thể. Ưu điểm của phương pháp MRI là có thể đo được kích thước của khối u. Cũng giống như phương pháp chụp CT kể trên, các bác sĩ cũng đưa vào cơ thể bệnh nhân thuốc cản quang trước khi bắt đầu quét hình ảnh. Bệnh nhân được tiêm thuốc vào tĩnh mạch hoặc uống thuốc.

    Có cách nào chẩn đoán u tế bào mầm ở trẻ em không - Tìm hiểu ngay! 2 Chụp MRI thường được dùng để xác định khối u khi đã di căn lên não

    Theo dõi

    Đối với những trẻ có khối u nhỏ, hoặc khối u mọc ở những vị trí khó phẫu thuật cắt bỏ, các bác sĩ sẽ đề xuất không nên điều trị ngay mà sẽ tiến hành theo dõi trong một khoảng thời gian nhất định. Trong một số trường hợp, khối u sẽ tự động thu nhỏ và biến mất mà không cần điều trị. Nhưng khả năng tái phát vẫn còn nên cha mẹ không nên lơ là trong quá trình chăm sóc con trẻ.

    Trước, trong và sau khi điều trị, đứa trẻ bị bệnh sẽ tiếp tục được xét nghiệm máu đều đặn để kiểm tra mức AFP và HCG. Nếu các chỉ số này tăng lên bất thường, điều này có nghĩa là khối u có thể quay trở lại. Lúc này, bác sĩ trực tiếp điều trị sẽ thông báo với bệnh nhi và gia đình để chuẩn bị tâm lý cũng như sức khỏe và tài chính để tiến hành điều trị bổ sung.

    Có cách nào chẩn đoán u tế bào mầm ở trẻ em không - Tìm hiểu ngay! 3 Trong quá trình theo dõi, trẻ vẫn được chỉ định xét nghiệm máu

    Tìm hiểu về thử nghiệm lâm sàng bệnh u tế bào mầm

    Thử nghiệm lâm sàng được biết đến như một phương pháp điều trị đặc biệt. Ở một số nước, nhiều trẻ được điều trị như một phần của thử nghiệm nghiên cứu lâm sàng. Thử nghiệm lâm sàng giúp cải thiện sự hiểu biết của chúng ta về cách tốt nhất để điều trị bệnh do luôn có sự so sánh giữa các phương pháp điều trị chuẩn với phương pháp điều trị mới hoặc cải tiến.

    Điều này là do cơ thể của trẻ nhỏ nhất nhạy cảm với các tác nhân được đưa vào cơ thể. Vì vậy, tùy vào thể trạng vào từng thời điểm bất kỳ mà trẻ có thể thích nghi tốt với từng phương pháp điều trị. Thử nghiệm lâm sàng có thể bao gồm cả việc kết hợp từng phương pháp điều trị khác nhau hoặc thử nghiệm một phương pháp điều trị hoàn toàn mới.

    Thử nghiệm lâm sàng dù nhiều rủi ro nhưng nếu thành công rất có thể sẽ điều trị dứt điểm được u tế bào mầm và hạn chế tối đa tình trạng khối u tái phát. Cha mẹ bệnh nhi cũng cần hiểu rằng, việc quyết định cho trẻ tham gia vào thử nghiệm lâm sàng sẽ có sự hỗ trợ và giám sát chặt chẽ từ các nhân viên y tế để đảm bảo cơ thể của trẻ không xảy ra bất cứ biến chứng nghiêm trọng nào. Hơn nữa, điều này là hoàn toàn tự nguyện và bạn có nhiều thời gian để quyết định xem liệu phương pháp này có phù hợp với con mình hay không.

    Có cách nào chẩn đoán u tế bào mầm ở trẻ em không - Tìm hiểu ngay! 4 Thử nghiệm lâm sàng mang đến nhiều phương pháp trị bệnh mới

    Có rất nhiều cách để chẩn đoán u tế bào mầm ở trẻ em với khả năng chính xác là rất cao. Điều quan trọng là trẻ cần được thăm khám sớm vào giai đoạn đầu để được điều trị kịp thời và dứt điểm căn bệnh này. Việc cho trẻ tham gia vào các thử nghiệm lâm sàng cũng là một trong các lựa chọn điều trị mà phụ huynh có thể cân nhắc.

    Thu Trang

    Nguồn tham khảo: Yhoccongdong.com

    Thông tin và sản phẩm gợi ý trong bài viết chỉ mang tính chất tham khảo, vui lòng liên hệ với Bác sĩ, Dược sĩ hoặc chuyên viên y tế để được tư vấn cụ thể. Xem thêm

    Dược sĩ Đại họcNguyễn Mỹ Huyền

    Đã kiểm duyệt nội dung

    Dược sĩ Đại học có nhiều năm kinh nghiệm trong việc tư vấn Dược phẩm và hỗ trợ giải đáp thắc mắc về Bệnh học. Hiện đang là giảng viên cho Dược sĩ tại Nhà thuốc Long Châu.

    Xem thêm thông tin