Tốt nghiệp Đại học Y Dược TP. Hồ Chí Minh. Có nhiều năm trong lĩnh vực dược phẩm. Hiện đang là giảng viên cho Dược sĩ tại Nhà thuốc Long Châu.
12/01/2024
Mặc định
Lớn hơn
Bệnh nha chu ảnh hưởng nghiêm trọng đến chức năng ăn nhai của răng tình trạng này nếu để lâu ngày có thể gây ra đau nhức dữ dội, hôi miệng gây ảnh hưởng đến công việc cũng như cuộc sống. Vậy Bệnh viêm nha chu có lây không hãy cùng tìm hiểu qua bài viết dưới đây của chúng tôi.
Viêm nha chu là tình trạng các mô nha chu bị viêm nhiễm gây đau nhức, hôi miệng khiến người bệnh mất tự tin trong cuộc sống. Tuy nhiên hiện nay vẫn có nhiều người thắc mắc liệu bệnh viêm nha chu có lây không, để giải đáp băn khoăn này hãy tham khảo ngay bài viết dưới đây của Nhà thuốc Long Châu nhé!
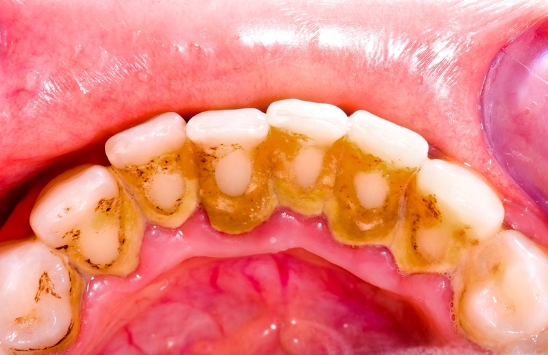
Bệnh nha chu gây ra bởi nguyên nhân chính là các mảng bám răng. Mảng bám răng là những màng sinh học cứng chắc chứa các vi khuẩn có hại thường được hình thành trong miệng của bất cứ cá nhân nào. Đây là nơi tích tụ của các vi khuẩn có hại phá hủy răng và nướu.
Nếu các mảng bám không được loại bỏ rất có thể sẽ dẫn đến nướu tụt ra khỏi răng từ đó hình thành nên những túi nha chu có mủ. Những túi nha chu này cùng với vôi răng cứng chắc sẽ khiến việc loại bỏ các mảng bám gặp nhiều khó khăn nếu không có sự hỗ trợ từ bác sĩ nha khoa. Nếu không được phát hiện và điều trị kịp thời bệnh nha chu sẽ tiến triển nghiêm trọng hơn gây phá hủy toàn bộ tổ chức nâng đỡ cho răng, thậm chí là ảnh hướng đến tận xương ổ răng.

Mảng bám răng gây bệnh viêm nha chu
Viêm nha chu là một trong những bệnh lý răng miệng gây ảnh hưởng rất xấu đến sức khỏe răng miệng của bệnh nhân. Một số biến chứng thường gặp của bệnh viêm nha chu đối với sức khỏe răng miệng của bệnh nhân có thể kể đến như:
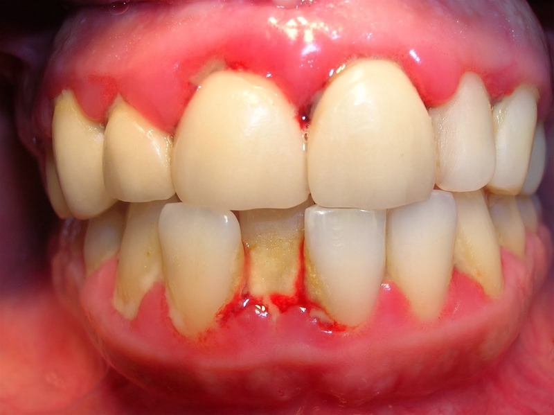
Bệnh viêm nha chu rất ít lây nhiễm và thường sẽ tiến triển theo theo 2 giai đoạn chính đó là viêm nướu răng và viêm nha chu. Trong đó, viêm nướu chính là giai đoạn đầu của viêm nha chu và thường có các biểu hiện như nướu răng bị sưng nướu răng đỏ, mềm, dễ bị chảy máu... Do tình trạng bệnh diễn ra âm thầm, nên các bệnh nhân thường chỉ gây đau nhức khó chịu ít, mức độ nhẹ có thể tự hết nên rất ít người lưu ý tới và thường dễ dàng bị bỏ qua.
Khi bệnh viêm nướu răng nặng hơn sẽ chuyển sang giai đoạn bị viêm nha chu. Lúc này, bệnh nhân sẽ xuất hiện các triệu chứng nặng hơn như tụt lợi, răng bị lung lay, tiêu xương ổ răng,... Ở giai đoạn này, bệnh nhân cần có biện pháp khắc phục sớm để bảo tồn răng thật.

Bệnh viêm nha chu thường không bị lây nhiễm
Thực chất viêm nha chu không phải là bệnh di truyền thế nhưng các yếu tố răng miệng liên quan đến sự phát sinh bệnh lý như: thiểu sản men răng, hình thái răng không tốt, độ nông sâu tự nhiên của rãnh răng và lượng nước bọt lại là những yếu tố có tính chất di truyền khiến răng yếu, hạn chế khả năng chống lại vi khuẩn và việc vệ sinh răng miệng. Các yếu tố trên góp phần khiến mảng bám hình thành nhanh chóng từ đó làm tăng nguy cơ mắc bệnh viêm nướu, viêm nha chu.
Không chỉ làm mất răng, gây ra đau nhức, sưng nướu hay hôi miệng bệnh viêm nha chu còn có nhiều biến chứng nguy hiểm khác như là đau vùng thái dương, tim mạch, nhiễm khuẩn huyết, tiểu đường, thậm chí gây sinh non nhẹ cân,…
Chính vì vậy để phòng tránh bệnh lý này một cách hiệu quả, chúng ta cần ngăn chặn sự hình thành các mảng bám theo những quy tắc dưới đây:

Chải răng ít nhất ngày 2 lần mỗi ngày giúp ngừa viêm nha chu hiệu quả
Qua những chia sẻ, chúng ta cũng có thể thấy được bệnh nha chu vẫn có tính chất lây lan và di truyền. Vì vậy, nếu người thân mắc bệnh nha chu, chúng ta nên hạn chế dùng chung đồ sinh hoạt với người bệnh đặc biệt, không nên giữ thói quen nhai thức ăn trước khi mớm cho con để hạn chế lây bệnh cho bé.
Xem thêm: Những thông tin mà bạn cần biết về viêm nha chu cấp
Minh Thúy
Nguồn tham khảo: Tổng hợp
Dược sĩ Đại họcNguyễn Vũ Kiều Ngân
Tốt nghiệp Đại học Y Dược TP. Hồ Chí Minh. Có nhiều năm trong lĩnh vực dược phẩm. Hiện đang là giảng viên cho Dược sĩ tại Nhà thuốc Long Châu.