Tốt nghiệp Khoa Dược trường Đại học Võ Trường Toản. Có nhiều năm kinh nghiệm trong ngành Dược. Hiện đang là giảng viên cho Dược sĩ tại Nhà thuốc Long Châu.
12/01/2024
Mặc định
Lớn hơn
Viêm nha chu cấp gây đau đớn và tâm lý e ngại cho người mắc bệnh. Hãy cùng tìm hiểu những thông tin về viêm nha chu qua bài viết dưới đây của chúng tôi.
Viêm nha chu là một bệnh lý răng miệng khá phổ biến với người Việt gây nhiễm trùng nướu răng nghiêm trọng làm tổn thương mô mềm và có thể phá hủy xương nâng đỡ răng của bạn. Dưới đây là những chia sẻ của Nhà thuốc Long Châu về những thông tin bạn cần biết về viêm nha chu cấp mời các bạn cùng tham khảo.
Theo định nghĩa khoa học nha chu là tổ chức ở xung quanh răng, bao gồm: Men chân răng, nướu, xương ổ răng và phần dây chằng. Nha chu có nhiệm vụ giúp đảm bảo giữ vững chắc cho các răng, ôm sát lấy răng là phần nướu răng, giúp ngăn ngừa nguy cơ tấn công của vi khuẩn, đồng thời bảo vệ được phần mô nhạy cảm phía dưới.
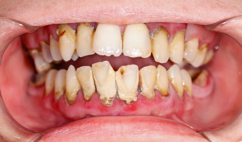
Viêm nha chu cấp là trường hợp các tổ chức quanh răng bị viêm nhiễm dạng cấp tính. Lúc này cấu trúc nâng đỡ răng bị ảnh hưởng đến bởi vấn đề này, từ đó khiến mất đi sự liên kết giữa các chân răng và tổ chức nâng đỡ.
Nếu tình trạng viêm nha chu cấp diễn ra trong thời gian ngắn và được phát hiện sớm, bệnh viêm nha chu chỉ ảnh hưởng đến phần nướu răng và phần mô mềm. Tuy nhiên, cả khung xương ổ răng có thể bị ảnh hưởng đến nếu bệnh kéo dài trong trường hợp nghiêm trọng dễ gây rụng răng hoặc thậm chí là sẽ bị mất răng vĩnh viễn.

Viêm nha chu là trường hợp các tổ chức quanh răng bị viêm nhiễm dạng cấp tính
Có rất nhiều nguyên nhân gây nên bệnh viêm nha chu cấp, trong đó có thể kể đến như:
Các mảng bám thức ăn bám vào răng được tích tụ lâu ngày khiến vi khuẩn phát triển. Từ đó tạo vôi răng, gây viêm nướu, sưng đỏ nướu, chảy máu chân răng và gây viêm nha chu cấp
Việc không khám răng và cạo vôi răng định kỳ khiến vôi răng bám vào răng ngày càng dày khiến vi khuẩn tích tụ, xâm nhập gây viêm nướu, hư men răng và tạo điều kiện cho vi khuẩn gây viêm nha chu phát triển.

Vệ sinh răng miệng kém gây viêm nha chu
Hút thuốc lá không chỉ gây hại cho sức khỏe của bạn và những người xung quanh mà nó còn làm tăng mức độ nặng và lan rộng bệnh vùng quanh răng, có nguy cơ viêm lợi. Hút thuốc nhiều khiến nhiều mảng bám, mắc cao răng dẫn đến viêm nha chu.
Những người có thói quen dùng vật nhọn xỉa răng làm cho vùng khoang miệng dễ bị viêm nhiễm, chảy máu, hở răng khiến vi khuẩn tích tụ gây viêm nha chu. Bên cạnh đó, việc bị rối loạn nội tiết tố trong cơ thể (thường xảy ra ở phụ nữ mang thai, tuổi dậy thì) và hệ miễn dịch kém người mắc các bệnh về tiểu đường, bạch cầu, viêm nhiễm khuẩn, béo phì cũng là nguyên nhân gây viêm nha chu cấp.
Bệnh viêm nha chu cấp gây khiến người bệnh có nguy cơ cao bị viêm tủy răng khiến bệnh nhân bị mất răng vĩnh viễn. Bên cạnh đó căn bệnh này còn gây ra hôi miệng khiến trong giao tiếp hàng ngày khiến người bệnh sẽ mất đi sự tự tin.
Người bị viêm nha chu cấp cũng vì các cơn đau nhức mà mất khẩu vị khiến trong quá trình ăn uống gặp nhiều khó khăn. Việc này khiến người bệnh bị hóp mặt do dễ rơi vào tình trạng thiếu chất, từ đó gây mất thẩm mỹ do cơ hàm không hoạt động gây ảnh hưởng lớn đến dạ dày.
Ngoài ra, viêm nha chu cấp còn làm đau vùng thái dương khiến người bệnh có tâm lý bị stress và những cơn đau đầu từ đó được tạo ra và xuất hiện với tần suất dày đặc. Để ngăn ngừa những biến chứng nguy hiểm của bệnh, bệnh nhân khi bị viêm nha chu cấp nên nhanh chóng đến các cơ sở y tế để thăm khám và điều trị kịp thời. Điều đó cũng giúp bạn tiết kiệm tối đa thời gian và chi phí điều trị bệnh.
Để chữa viêm nha chu cấp nhanh chóng, an toàn và tiết kiệm bạn nên sử dụng các phương pháp trị bệnh sau:
Nghệ ngày càng được sử dụng phổ biến nhờ tính kháng viêm, kháng khuẩn và chống oxy hóa mạnh mẽ mà nó mang lại. Bạn có thể tạo hỗn hợp nghệ bằng cách trộn một thìa cà phê bột nghệ với nửa thìa cà phê muối cùng với nửa thìa cà phê dầu mù tạt, rồi dùng hỗn hợp này thoa lên răng và lợi 2 lần mỗi ngày. Thực hiện cách làm này đều đặn giúp làm giảm các triệu chứng viêm nha chu và tụt lợi hiệu quả.
Việc súc miệng chứa dầu cỏ chanh có hiệu quả trong việc giảm lượng mảng bám gây viêm lợi. Bạn hãy hòa 2 - 3 giọt dầu cỏ chanh với nửa lít nước để tạo thành hỗn hợp nước súc miệng hàng ngày.

Baking soda giúp chữa viêm nha chu hiệu quả
Đánh răng bằng kem đánh răng có chứa baking soda và nước có thể giúp trung hòa các axit trong khoang miệng.Nghiên cứu cho thấy các loại kem đánh răng chứa baking soda giúp loại bỏ mảng bám tốt hơn các loại kem đánh răng không chứa baking soda.
Trên đây là những chia sẻ của Nhà thuốc Long Châu về Những thông tin mà bạn cần biết về viêm nha chu cấp. Hy vọng bài viết đã mang đến cho bạn những thông tin hữu ích giúp bạn hiểu rõ hơn về căn bệnh này và có giải pháp ngăn ngừa và điều trị bệnh hiệu quả nhất.
Xem thêm: Các cách chữa viêm nha chu có mủ hiệu quả
Minh Thúy
Nguồn tham khảo: Tổng hợp
Dược sĩ Đại họcTừ Vĩnh Khánh Tường
Tốt nghiệp Khoa Dược trường Đại học Võ Trường Toản. Có nhiều năm kinh nghiệm trong ngành Dược. Hiện đang là giảng viên cho Dược sĩ tại Nhà thuốc Long Châu.