• Thực phẩm chức năng

  • Dược mỹ phẩm

  • Thuốc

  • Chăm sóc cá nhân

  • Thiết bị y tế

  • Tiêm chủng

  • Bệnh & Góc sức khỏe

  • Hệ thống nhà thuốc

    1. /
    2. Góc sức khỏe/
    3. Phòng bệnh & Sống khoẻ

    Hội chứng Pallister - Killian: Triệu chứng, phương pháp chẩn đoán và cách điều trị

    05/02/2025

    Kích thước chữ

    Hội chứng Pallister - Killian là một hội chứng phức tạp được xác định nhờ hạ huyết áp và nhược cơ nặng ngay từ khi sơ sinh và trẻ nhỏ, các bất thường về mặt, các đốm màu bất thường trên da, tóc thưa, chậm phát triển trí tuệ và nhiều bất thường khác.

    Hội chứng Pallister - Killian là một bệnh hiếm gặp. Tuy nhiên, việc chẩn đoán cũng rất khó khăn với những trường hợp dạng khảm thấp và các triệu chứng không có đặc trưng rõ ràng.

    Hội chứng Pallister - Killian là gì?

    Hội chứng Pallister - Killian có các dấu hiệu và triệu chứng đa dạng. Tuy nhiên hầu hết các trường hợp được ghi nhận đều có chậm phát triển trí tuệ và mang nhiều vấn đề sức khỏe nghiêm trọng khác nhau.

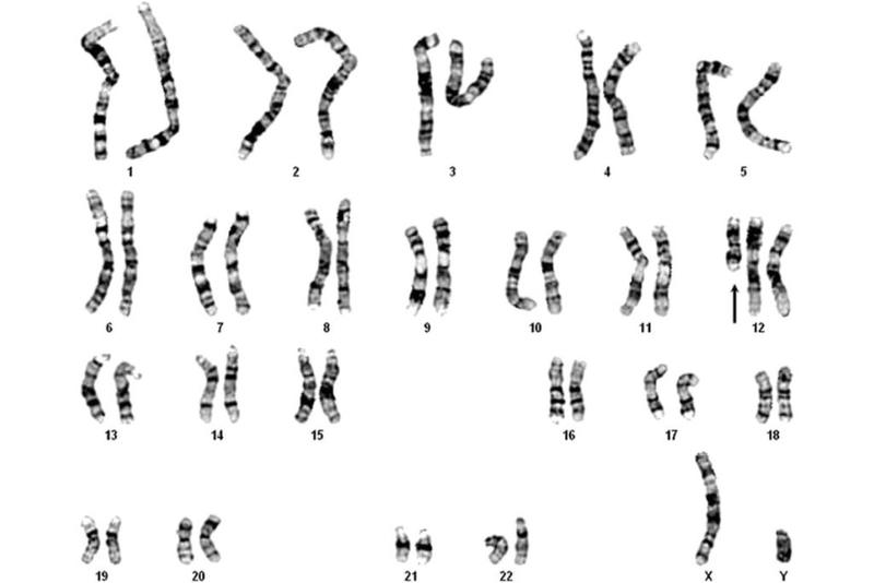
    Hội chứng Pallister - Killian dạng khảm xảy ra do thừa một nhiễm sắc thể số 12 hoặc 1 phần cánh ngắn của nhiễm sắc thể 12. Ở người bình thường có hoạt động của 2 bản sao cánh ngắn nhiễm sắc thể 12, người mắc Pallister - Killian sẽ có hoạt động của 4 bản sao cánh ngắn nhiễm sắc thể 12 dẫn tới các bất thường đặc trưng thuộc hội chứng này.

    Hội chứng Pallister - Killian: Triệu chứng, phương pháp chẩn đoán và cách điều trị Đột biến nhiễm sắc thể 12 do hội chứng Pallister - Killian

    Pallister - Killian dạng khảm không do di truyền từ bố mẹ. Bất thường NST đặc trưng của hội chứng này thường xảy ra ngẫu nhiên trong quá trình hình thành giao tử của bố mẹ (tinh trùng và trứng). Các tế bào phân chia nhưng không phân ly được nhiễm sắc thể số 12 dẫn tới có thêm isochromosome 12p. Do đó, trẻ mắc hội chứng này sẽ có 2 dòng tế bào, đó là một dòng bình thường mang 2 nhiễm sắc thể 12 và 1 dòng bất thường có thêm isochromosome 12p.

    Triệu chứng của hội chứng Pallister - Killian

    Hầu hết các trường hợp mắc hội chứng Pallister - Killian không được chẩn đoán trước khi sinh. Trong suốt quá trình mang thai đều không có biến chứng, việc sinh thường cũng diễn ra một cách thuận lợi và đúng ngày. Trẻ sinh ra có cân nặng và kích thước bình thường. Tuy nhiên, các triệu chứng của hội chứng đôi khi rất nghiêm trọng và đa dạng. Do não bị rối loạn chức năng, trương lực cơ của trẻ cũng rất mềm.

    Ví dụ, nếu quá chùng, trẻ có thể biết ngồi dậy rất muộn hoặc gặp khó khăn để nhấc hoặc giữ đầu khi cho con bú. Mặt chúng thường rất dài và trán phồng, trục mí mắt xiên lên trên và ra ngoài, gốc mũi rộng. Do sắc tố da phân bố không đồng đều nên xuất hiện các vết lấm tấm, đặc biệt là trên lưng, bụng, cánh tay và chân.

    Hầu hết trẻ em bị mắc hội chứng Pallister - Killian đều chậm phát triển trí tuệ nghiêm trọng. Họ bị rối loạn phát triển giọng nói và trong một số trường hợp, họ có thể bị câm. Bên cạnh những triệu chứng thường gặp này, trẻ còn có thể bị thừa ngón tay hoặc ngón chân, co giật động kinh, rối loạn thị giác, các khuyết tật và dị dạng của bộ phận sinh dục cũng có thể xảy ra. Hội chứng Pallister - Killian cũng đặc trưng bởi tính nhạy cảm cao với nhiễm trùng.

    Hội chứng Pallister - Killian: Triệu chứng, phương pháp chẩn đoán và cách điều trị Hiện nay, hội chứng Pallister - Killian chỉ dựa trên điều trị triệu chứng

    Chẩn đoán hội chứng Pallister - Killian

    Chẩn đoán hội chứng Pallister - Killian khá khó khăn. Kiểm tra nhiễm sắc thể thường xuyên có sai sót. Để phát hiện dứt điểm cần thực hiện sinh thiết da trên trẻ em. Chẩn đoán trước sinh cũng không chắc chắn, do không phải tất cả các tế bào đều cho thấy khiếm khuyết của nhiễm sắc thể. Những người mắc bệnh này sẽ bị hạn chế trong suốt quá trình phát triển, suốt phần đời còn lại của họ phải phụ thuộc vào sự trợ giúp và chăm sóc đặc biệt. Tuổi thọ cũng phụ thuộc vào mức độ nghiêm trọng của các triệu chứng nội tạng. Đã có những người mắc hội chứng Pallister - Killian sống qua 40 tuổi.

    Hội chứng Pallister - Killian: Triệu chứng, phương pháp chẩn đoán và cách điều trị Pallister - Killian là hội chứng phức tạp và rất hiếm gặp

    Các biến chứng của hội chứng Pallister - Killian

    Các biến chứng và hạn chế do hội chứng Pallister - Killian gây ra phụ thuộc rất nhiều vào loại và mức độ nghiêm trọng của các dị tật. Trong hầu hết các trường hợp, trẻ bị teo cơ, tình trạng căng cơ vĩnh viễn hay rất khó chịu để giữ được đầu thẳng. Bên cạnh đó, sự khác thường từ khi còn nhỏ cũng dẫn đến việc bị bắt nạt hay bị trêu chọc.

    Do đó, bệnh nhân có thể bị tàn tật rất nặng nề về mặt tinh thần. Vì lý do này, cuộc sống của họ cũng thường phụ thuộc vào sự giúp đỡ của người khác. Khiếm khuyết về tim hoặc các vấn đề về thị lực cũng xảy ra do hội chứng Pallister - Killian. Không thể điều trị theo nguyên nhân của hội chứng nhưng với sự trợ giúp của các liệu pháp khác nhau, các triệu chứng cũng được hạn chế phần nào.

    Điều trị và tiên lượng của hội chứng Pallister - Killian

    Điều trị hội chứng Pallister - Killian

    Đây là một rối loạn di truyền, các trẻ mắc hội chứng còn rất hạn chế trong việc di chuyển và cũng ít thể hiện sự chủ động nên sự trợ giúp của mọi người xung quanh là rất quan trọng. Phương pháp tiếp cận với mục đích giới thiệu trẻ đến với thế giới trừu tượng của tư duy. Thông qua các ấn tượng của các giác quan như nghe, nhìn và chạm, chức năng não bộ được kích thích. Nhờ việc quan tâm đặc biệt từ những người chăm sóc, các nhà trị liệu hy vọng sẽ nâng cao trí thông minh về xã hội của trẻ.

    Một trọng tâm khác cũng được đặt phương pháp điều trị này là sự phát triển ngôn ngữ. Thông qua các hoạt động khác nhau, sự hiểu biết ngôn ngữ sẽ được kích thích và mở rộng.

    Lao động trị liệu và vật lý trị liệu là các phương pháp sử dụng để điều trị chứng lỏng lẻo cơ bắp. Mục tiêu trị liệu của phương pháp là cải thiện kiểm soát tư thế. Nếu cấu trúc mũi bị thay đổi hoặc răng không đúng vị trí sẽ gây ra các vấn đề về thở hoặc ăn uống. Lúc này, can thiệp phẫu thuật có thể là cần thiết. Xử trí tương tự cũng được áp dụng nếu tim bị khiếm khuyết. Tuy nhiên, một số trường hợp dị tật tim có thể được điều trị bằng thuốc. Nếu các khối u phát triển do hậu quả của bệnh, điều trị bằng hóa trị liệu có thể được cân nhắc.

    Tiên lượng hội chứng Pallister - Killian

    Đối với các tình trạng hiếm gặp như hội chứng Pallister - Killian, tiên lượng xấu xảy ra do ít nghiên cứu và ít lựa chọn điều trị. Đến nay, chỉ có 70 trường hợp được ghi nhận trên toàn thế giới. Tuy nhiên, các chuyên gia y tế cho rằng, có thể có nhiều trường hợp mắc hội chứng nhưng không được báo cáo. Lý do cho sự phổ biến thấp của hội chứng Pallister - Killian là việc phá thai khi phát hiện có thay đổi bất thường về nhiễm sắc thể.

    Những trẻ em được sinh ra có vô số các rối loạn, dị tật về thần kinh và nhận thức. Hầu hết những người bị ảnh hưởng cần yêu cầu sự chăm sóc và trợ giúp suốt đời. Các dị tật vẹo cột sống, cơ bắp phát triển không đúng cách, trẻ yếu ớt có thể có tiên lượng tốt hơn. Dị tật tim hoặc thoát vị cơ hoành ở trẻ sơ sinh có thể dẫn đến tử vong nếu phẫu thuật. Việc quản lý tốt các vấn đề sau sinh và chăm sóc tốt, trẻ em mắc hội chứng Pallister-Killian có thể đạt độ tuổi trung bình là khoảng 40 tuổi.

    Hội chứng Pallister - Killian: Triệu chứng, phương pháp chẩn đoán và cách điều trị Tiên lượng hội chứng Pallister - Killian khác nhau ở từng cá nhân

    Hiện nay, việc chẩn đoán bệnh lý, hội chứng hiếm vẫn còn là một thách thức lớn, đặc biệt đối với các hội chứng do khảm mô và có biểu hiện lâm sàng ở nhiều mức độ khác nhau. Hy vọng thông qua bài viết trên đây, Nhà thuốc Long Châu đã cung cấp cho bạn những thông tin hữu ích về hội chứng Pallister-Killian. Nhà thuốc Long Châu chúc bạn đọc thật mạnh khỏe!

    Ánh Vũ

    Nguồn tham khảo: Vinmec

    Có thể bạn quan tâm

    Thông tin và sản phẩm gợi ý trong bài viết chỉ mang tính chất tham khảo, vui lòng liên hệ với Bác sĩ, Dược sĩ hoặc chuyên viên y tế để được tư vấn cụ thể. Xem thêm

    Dược sĩ Đại họcNguyễn Thanh Hải

    Đã kiểm duyệt nội dung

    Tốt nghiệp Đại học Dược Hà Nội, với hơn 10 năm kinh nghiệm trong lĩnh vực Dược phẩm. Hiện là giảng viên giảng dạy các môn Dược lý, Dược lâm sàng,...

    Xem thêm thông tin